AI-Driven Clinical Literacy


Table of Contents

Documenting the patient's medical record

Clinical documentation snippets

Radiological Report Expressions

Heart and Lung Auscultation Findings


Pharmacological Management of Cardiovascular Conditions

Receptor and Channel Mechanisms in the Cardiovascular System

Antiarrhythmic Drug Classes

Comparative Analysis of Dopamine vs. Norepinephrine

Management of Hypotension with Dobutamine Infusion: Systolic vs. Diastolic Blood Pressure Monitoring


Pulmonology

Nebulized Medications for Respiratory Management

Tuberculosis

TB, MDR-TB, and XDR-TB

Analysis and Diagnostic Protocol for Tuberculosis (Written February 13, 2025)


AntiBiotics

Antibiotic Classifications, Mechanisms, Examples, and Clinical Application

IV Antibiotics Reference Guide


Lipidology

Hyperlipidemia: Classification, Diagnosis, and Management


Neurology & Psychiatry

Criteria for Prescribing Dementia Medications

Mental Status Levels

Restless syndrome: Causes and coping methods (Written March 7, 2025)

Pharmacological Management of Sleep Disturbances and Delirium in Elderly Patients in LTCFs (Written March 26, 2025)

Management of nocturnal “cat-like” vocalizations in a psychiatric inpatient (Written May 22, 2025)

Night-time sedation assessment for acting-out patient (Written June 24, 2025)

Seizure Medications (Written March 28, 2025)

Management of hiccups with pharmacotherapy (Written May 19, 2025)


Endocrinology

Diabetes Medications (Written December 15, 2024)

Systematic Review of Cushing’s Syndrome and Cushing’s Disease (Written December 22, 2024)

Pharmacological Management of Thyroid Disorders (Written December 23, 2024)

Modern Pharmacological Obesity Treatments (Written February 19, 2025)


Nephrology

ESRD and GFR (Written March 21, 2025)

Laboratory evaluation and dialysis considerations in impending end‑stage renal disease (Written July 29, 2025)


Dermatology

Seborrheic Dermatitis and Its Differential Diagnoses (Written January 7, 2025)


Radiology

Pending CXR Examination (Written December 25, 2024)

Cross-Sectional Imaging Techniques for the Thorax (Written January 8, 2025)

Alveolar Pneumonia vs. Interstitial Pneumonia

Differentiating Alveolar and Interstitial Changes in General (Written January 8, 2025)

Radiographic Differentiation of Interstitial and Alveolar Lung Diseases (Written January 8, 2025)

Radiographic Features of Interstitial and Alveolar Pneumonia (Written January 8, 2025)

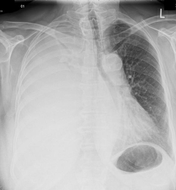
Approximate pleural effusion volume on chest X-ray (upright PA) — rough reference (Written February 23, 2026)


Pain Management

Pharmacologic Agents and Interventional Procedures (Written December 22, 2024)

Clinical Guidance on Opioid and Adjunct Analgesics (Written December 22, 2024)

Trigger Point Injections (Written December 22, 2024)

Understanding the 0-10 Scale for NRS, FPS, and FLACC (Written April 8, 2025)


Clinical Protocols and Intervention Procedures

Locking and Unlocking Pigtail Catheters

Differentiating Rhythms in Cardiac Arrest, for CPR and Defibrillation

Timing of epinephrine during CPR in cardiac arrest (Written December 30, 2025)

PTBD and PTGBD (Written December 6, 2024)

Central venous access at cervical and femoral sites (Written July 25, 2025)


Suture

Guide to Surgical Suturing (Written April 8, 2025)


Sonography

Endorectal Sonography for Prostate: Procedure During Insertion and Role of Seminal Vesicles

Guide to Upper Endoscopy (Written December 15, 2024)

K-TIRADS Sonographic Classification (Written December 15, 2024)

The Clinical Value of Measuring Post-Void Residual (PVR) Urine Using a Bladder Scanner (Written March 14, 2025)

Echocardiography scanning (Written April 6, 2025)

Rotator cuff assessment and ultrasound examination (Written April 6, 2025)


Diet & Enteral Feeding

Classification of NPO Protocols

Enteral Feeding: L-Tube and PEG (Written December 31, 2024)

Determining FW from Diet Amount (Written March 27, 2025)

Parenteral Nutrition Solutions (Written April 9, 2025)


Gynecology

Refractory vaginal discharge in an 80-year-old woman: diagnosis rationale, regimen, and drug-by-drug guidance (Written August 4, 2025)


Urinology

Evaluation and management of frequent urinary urgency in older women (Written June 4, 2025)

KMLE style U/A Interpretation (Written November 4, 2025)

Purple Urine Bag Syndrome (PUBS) (Written November 4, 2025)


Other Managements

Calculating Infusion Rates

Medications, Side Effects, and Antidotes

Dosing Notation

Intravenous Fluid Solutions, Compositions, and Clinical Considerations (Written December 13, 2024)

Compounding 10DW into 10DS with a 20 mL 2.34 g NaCl ampoule (Written July 25, 2025)

Tdap, DTaP, DT, and Td Vaccines (Written December 15, 2024)

Hierarchical Overview of IV Medications: From “Avoid IV Push” to “Permissible With Caution” (Written January 16, 2025)

Diaphoresis in elderly bedridden patients: diagnostic approach (Written July 24, 2025)

Clinical case study: I/O even과 I/O + 500의 임상적 의미 (Written December 5, 2025)

Medications associated with long-term survival (Written December 27, 2025)


Miscellaneous Material

Considerations for Febuxostat Use in Patients with Cardiovascular and Dermatological Concerns

Heart Rate Variability Analysis: Key Metrics, Normal Ranges, Clinical Interpretation, and Practical Interventions (Written February 15, 2025)

S-Adenosylmethionine (SAMe) in Human Biochemical Pathways (Written February 15, 2025)


Global Healthcare Systems: Pillars of National Stability

Healthcare Privatization in Leading OECD Countries

Japan's Healthcare Cost-saving Strategies: Lessons from Kaigo Hoken

Navigating the NHS and Private Medical Practice in Britain


Documenting the patient's medical record


Clinical documentation snippets

  1. Insulin sliding-scale order

    Blood Glucose > 300 mg/dL → insulin 4 U; > 400 mg/dL → 6 U; > 500 mg/dL → 8 U.
    RI sliding scale: blood glucose > 300 mg/dL → 4 Unit; > 400 → 6; > 500 → 8.
    RI sliding: (1) BST > 300, RI 4U (2) BST > 400, RI 6U (3) BST > 500, RI 8U
    RI sliding: (1) BST<150, RI 0Unit (2) BST<200, 2U (3) BST<250, 4U (4) BST<300, 6U (5) BST<350, 8U (6) BST≥350, 10U
  2. Baseline chest radiograph

    Baseline chest radiograph obtained on admission for future comparison.

    Admission chest radiograph obtained for baseline comparison; extensive chronic parenchymal changes from prior pneumonias limit detailed assessment.
    X-ray obtained for outpatient specialist review; no acute abnormality noted.
  3. Chest radiograph

    Chest X-ray within normal limits.
    No interval change since prior exam.
    Heart size within normal limits.

    Mild increase in bilateral lobar haziness compared with admission; recommend clinical correlation and laboratory evaluation.
    Interval increase in bilateral infiltrates and consolidation, indicating pneumonia exacerbation.
    Worsening bilateral infiltrates and consolidation consistent with progressive pneumonia.

    No definitive change; slight increase in bilateral lobar haziness compared with the prior study, of uncertain significance; further clinical correlation and blood tests are recommended.
    CXR is equivocal between possible consolidation and motion artifact. Clinical correlation required.
    This chest radiograph was obtained for submission to a specialist for further evaluation.
  4. Bowel gas pattern

    Unremarkable bowel gas pattern.
    No abnormal mass shadow or calcification identified.

    Gas-filled central small-bowel loops.
    Dilated bowel loops concerning for obstruction.
    Distended colon with extensive stool burden, compatible with severe constipation or fecal impaction.
    Mildly distended colon with minimal stool burden, consistent with mild constipation.
  5. HFNC (M0046 for HFNC, MM400 for BiPAP)

    Apply HFNC: 40 L/min@FiO2 0.30; keep SpO2>= 92 %
    Start HFNC 60 L/min @ FiO2 40%; SpO2 ≥ 92%; reassess in 30 min
  6. No significant fracture

    No significant fracture seen.
  7. L-tube

    Upon its protruding into the oral cavity, insert a new 18Fr L-tube.
    Upon its having protruded into the oral cavity, a new 18Fr L-tube was inserted.
  8. Misc

    Stitch-out of three simple sutures


Auscultation

  1. Abdominal auscultation – normal

    Normoactive bowel sounds in all four quadrants.
    Abd auscultation: bowel sounds present and normoactive.

Written on May 21, 2025


Radiological Report Expressions

Auscultation and radiological assessments are pivotal in diagnosing various clinical conditions. The following tables provide a structured summary of radiological findings across different clinical scenarios.


Chest

  1. Comparative Assessment

    Clinical Scenario Radiological Description
    Baseline Radiograph
    • Upon admission, a baseline radiograph was obtained for comparative assessment against subsequent radiographic studies.
    Changes Compared to Previous Exam
    • Compared to the previous examination, there is evidence of worsened lung infiltration and consolidation in bilateral lung fields, suggestive of an exacerbation of the underlying pneumonia process.
    • No interval changes detected; the X-ray appears within normal limits.
    • No remarkable interval change since the previous study.
    No Admission Radiograph
    • X-ray not performed until discharge.
    • Admission X-ray not done before discharge.
  2. Lungs

    Clinical Scenario Radiological Description
    Normal Findings
    • No active lung lesions observed. Lungs are essentially clear.
    • Lungs appear clear with no abnormalities detected.
    Infiltrates and Consolidation
    • Consolidation involving multiple lung lobes.
    • Worsened bilateral lung infiltrates and consolidation, consistent with an exacerbation of pneumonia.
    • Decreased consolidation/Ground-Glass Opacity (GGO) in bilateral lower lobes, indicative of improving pneumonia.
    Chronic Pathology
    • Recurrent pneumonia suggested by chronic parenchymal lung pathology. Clinical correlation and ongoing observation are crucial for a definitive diagnosis.
  3. Heart

    Clinical Scenario Radiological Description
    Normal Findings
    • Heart size is within normal limits. No enlargement detected.

Abdomen

  1. Bowel Gas Pattern

    Clinical Scenario Radiological Description
    Normal Findings
    • No remarkable findings in the bowel gas pattern of the abdomen.
    Obstruction Indicators
    • Gas-filled loops of small bowel observed in the central abdomen.
    • Dilated loops of bowel, suggestive of bowel obstruction.
    • Imaging reveals dilated bowel loops with some improvement in motility compared to the previous study on May 20th.
  2. Constipation

    Clinical Scenario Radiological Description
    Constipation
    • Abdominal X-ray reveals notable findings consistent with constipation.
    • The colon appears distended with significant gas accumulation, particularly in the sigmoid and descending colon.
    • Marked retention of feces throughout the large bowel, indicative of fecal impaction.
    • Prominent stool burden observed throughout the colon.

Additional Findings

Written on December 2nd, 2024


Heart and Lung Auscultation Findings

Auscultation of the heart and lungs is a fundamental clinical skill essential for diagnosing various cardiopulmonary conditions. The following tables provide a concise yet comprehensive summary of auscultation findings for both the heart and lungs across different clinical scenarios.

Heart Auscultation Findings

Clinical Scenario Auscultation Description
Normal Findings S1 and S2 heart sounds audible with a regular rate and rhythm. No murmurs, rubs, or gallops detected.
Murmur Detected Grade 3/6 systolic ejection murmur best heard at the left sternal border, radiating to the carotid arteries.
Gallop Rhythm (S3) Presence of an S3 gallop, suggestive of volume overload.
Gallop Rhythm (S4) Detection of an S4 gallop, indicative of decreased ventricular compliance.
Pericardial Rub Audible pericardial friction rub, triphasic in nature, loudest during end-expiration.
Irregular Rhythm Irregularly irregular rhythm with variable S1 intensity, consistent with atrial fibrillation.

Lung Auscultation Findings

Clinical Scenario Auscultation Description
Normal Findings Bilateral breath sounds clear and vesicular, with no adventitious sounds present.
Fine Crackles (Rales) Presence of fine crackles at bilateral lung bases, consistent with pulmonary edema.
Coarse Crackles Coarse crackles heard over the right lower lobe, suggestive of pneumonia.
Wheezing Diffuse expiratory wheezing bilaterally, indicative of bronchospasm.
Rhonchi Low-pitched rhonchi detected in the right lower lobe, with improvement following coughing.
Absent Breath Sounds Absence of breath sounds over the left hemithorax, consistent with pneumothorax.
Stridor Inspiratory stridor noted, suggesting upper airway obstruction.
Pleural Rub Audible pleural friction rub over the right mid-zone.
Diminished Breath Sounds Breath sounds in the left lung are less distinct than in the right, making it more challenging to assess for pneumonia on the left side.
Pneumonia Specific Findings Presence of localized coarse crackles and bronchial breath sounds in the affected lobe, possibly accompanied by increased tactile fremitus and egophony.

Written on December 2nd, 2024


Pharmacological Management of Cardiovascular Conditions


Receptor and Channel Mechanisms in the Cardiovascular System

The cardiovascular system is intricately regulated by receptors and ion channels that respond to neurotransmitters and pharmacological agents. Below is a comprehensive overview of alpha, beta, and dopaminergic receptors, as well as ion channels involved in cardiac function, along with associated medications.

         Adrenergic Receptors (Cardiovascular System)
                   /                      \
                Alpha                      Beta
              /      \                /    |         \
        Alpha-1     Alpha-2      Beta-1  Beta-2        Beta-3
        |               |          |          |              |
Vasoconstriction  Sympatholytic   Increased Vasodilation     Lipolysis
(Vessels)         (CNS & Vessels) Heart    (Vessels & Lungs) (Adipose)
    |                   |          |          |
Phenylephrine     Clonidine    Atenolol      Albuterol
Prazosin          Methyldopa   Dobutamine    Isoproterenol
  

(A) Alpha Receptors

Alpha receptors are adrenergic receptors activated by catecholamines such as norepinephrine and epinephrine.

1. Alpha-1 Receptors

2. Alpha-2 Receptors

(B) Beta Receptors

Beta receptors significantly influence cardiac function and vascular tone.

1. Beta-1 Receptors

2. Beta-2 Receptors

3. Beta-3 Receptors

(C) Dopaminergic Receptors

Dopaminergic receptors respond to dopamine and influence cardiovascular dynamics, particularly renal blood flow and vascular tone.

1. D1-like Receptors (D1, D5)

2. D2-like Receptors (D2, D3, D4)

(D) Ion Channels and Antiarrhythmic Medications

Ion channels are essential for cardiac electrophysiology. Antiarrhythmic drugs target these channels to manage arrhythmias.

1. Sodium Channels (Class I Antiarrhythmics)

2. Beta-Adrenergic Blockers (Class II Antiarrhythmics)

3. Potassium Channel Blockers (Class III Antiarrhythmics)

4. Calcium Channel Blockers (Class IV Antiarrhythmics)




Antiarrhythmic Drug Classes

Below is a detailed table summarizing the antiarrhythmic drug classes, their mechanisms, medications, indications, contraindications, elimination pathways, and common side effects.

Antiarrhythmic Drug Classes Overview

Class Mechanism Medications Indications Contraindications Elimination Side Effects
Class I
Sodium Channel Blockers
Moderate block, prolongs repolarization Quinidine, Procainamide, Disopyramide Atrial and ventricular arrhythmias Myasthenia gravis, heart block Hepatic/Renal QT prolongation, lupus-like syndrome
Weak block, shortens repolarization Lidocaine, Mexiletine Ventricular arrhythmias Severe SA block, Adams-Stokes syndrome Hepatic CNS effects (dizziness, seizures)
Strong block, minimal effect on repolarization Flecainide, Propafenone Atrial fibrillation, SVTs Structural heart disease, post-MI Hepatic Proarrhythmic risk, dizziness
Class II
Beta-Adrenergic Blockers
Decrease sympathetic activity Propranolol, Atenolol, Metoprolol Tachyarrhythmias, rate control Asthma (non-selective blockers), AV block Hepatic/Renal (varies) Bradycardia, hypotension
Class III
Potassium Channel Blockers
Prolong action potential duration Amiodarone, Sotalol, Dofetilide Atrial and ventricular arrhythmias Long QT syndrome, bradycardia Hepatic (Amiodarone has long half-life) Thyroid dysfunction, pulmonary fibrosis (Amiodarone)
Class IV
Calcium Channel Blockers
Slow AV node conduction Verapamil, Diltiazem SVTs, rate control Severe hypotension, AV block Hepatic Constipation, AV block

Notes:
- Dosage Information: Specific dosing is patient-specific and should be determined by a healthcare professional.
- Pediatric Use: Some medications may have limited data in pediatric populations and require specialist consultation.
- Elimination Pathways: Understanding hepatic versus renal elimination is crucial for dose adjustments in organ impairment.
- Side Effects: Monitoring is essential to detect adverse effects early.

Key Points for Each Antiarrhythmic Class




Comparative Analysis of Dopamine vs. Norepinephrine

Dopamine and norepinephrine are both widely utilized vasopressors in critical care settings, employed to elevate blood pressure through distinct mechanisms and clinical applications. Understanding their specific modes of action and potential clinical impacts can aid in the judicious selection of these agents based on patient needs and underlying conditions.

(A) Dopamine

Mechanism of Action: Dopamine operates on various adrenergic and dopaminergic receptors depending on dosage. At lower doses (1–5 µg/kg/min), dopamine primarily activates dopaminergic receptors, promoting vasodilation in renal and mesenteric vessels. At intermediate doses (5–10 µg/kg/min), it acts on β1-adrenergic receptors, enhancing heart rate and contractility, thus improving cardiac output. High doses (>10 µg/kg/min) predominantly stimulate α1-adrenergic receptors, leading to vasoconstriction and an increase in systemic vascular resistance (SVR).

Clinical Use: Dopamine is frequently used in scenarios where both cardiac output and blood pressure require augmentation. Its β1 effects make it especially effective for patients with concurrent heart failure. However, dopamine's propensity to cause tachycardia and arrhythmias can limit its use, particularly among patients predisposed to these conditions.

(B) Norepinephrine

Mechanism of Action: Norepinephrine primarily engages α1-adrenergic receptors, producing strong vasoconstriction that elevates SVR and, consequently, blood pressure. Although norepinephrine also exhibits β1-adrenergic effects, which can modestly increase heart rate and cardiac contractility, its dominant action lies in regulating vascular tone.

Clinical Use: Often selected as a first-line treatment for hypotension, norepinephrine is especially favored in septic shock due to its potent vasoconstrictive capabilities. By predominantly influencing vascular tone, it raises blood pressure with a relatively lower effect on heart rate, rendering it advantageous for patients who may not tolerate elevated heart rates.

(C) Key Differences

Written on October 16, 2024




Management of Hypotension with Dobutamine Infusion: Systolic vs. Diastolic Blood Pressure Monitoring

Hypotension necessitates prompt and effective management to ensure adequate organ perfusion and prevent organ dysfunction. Dobutamine hydrochloride (Inopan) is an inotropic agent frequently employed to enhance cardiac output in hypotensive patients. This document delineates strategies for managing hypotension with dobutamine infusion, emphasizing the roles of systolic blood pressure (SBP) and diastolic blood pressure (DBP) monitoring. Special considerations for elderly patients under hospice care and those presenting with wide pulse pressure are also discussed.


(A) Dobutamine Infusion for Hypotension

Prior to initiating therapy, it is imperative to dilute the desired dose of dobutamine appropriately. Specifically, 4 ampules of dobutamine hydrochloride (0.2 g/5 mL) should be mixed in a 500 cc normal saline (N/S) solution. The infusion rate is calculated in micrograms per kilogram per minute (mcg/kg/min), typically ranging from 2 to 20 mcg/kg/min. Commencing at a lower dose, approximately 2.5 mcg/kg/min, facilitates careful titration based on the patient's response.


(B) Infusion Rate Adjustments Based on Blood Pressure

Systolic Blood Pressure Monitoring

Blood Pressure Category SBP (mmHg) Initial Infusion Rate Considerations
Mild Hypotension 90–100 2.5 mcg/kg/min Monitor SBP closely; adjust infusion rate upwards if necessary
Moderate Hypotension 70–90 5–10 mcg/kg/min Frequent SBP monitoring is crucial; titrate based on hemodynamic response
Severe Hypotension <70 10–20 mcg/kg/min Close monitoring required due to risks of tachyarrhythmias and increased myocardial oxygen demand
Improvement in BP >100 (SBP) Gradually taper Aim for hemodynamic stability; adjust infusion rate downward
Persistent Low BP As above Increase within therapeutic range Avoid excessive rates; monitor for side effects such as tachycardia or arrhythmias

Diastolic Blood Pressure Monitoring

Blood Pressure Category DBP (mmHg) Initial Infusion Rate Considerations
Mildly Low DBP 50–60 2.5 mcg/kg/min Avoid overcompensation; moderate rate increases may be needed
Moderately Low DBP 40–50 5–10 mcg/kg/min Supports adequate diastolic pressure and coronary perfusion
Severely Low DBP <40 10–20 mcg/kg/min Rapid adjustments are critical due to risks of inadequate organ perfusion
DBP Improvement >60 Gradually taper Aim to maintain DBP in a range ensuring both systemic and coronary perfusion
Persistent Low DBP As above Increase within therapeutic range Avoid excessive rates; monitor for side effects such as tachycardia or arrhythmias

(C) Systolic vs. Diastolic Blood Pressure Monitoring

Parameter Systolic Blood Pressure (SBP) Diastolic Blood Pressure (DBP)
Advantages

- Broad indicator of systemic perfusion pressure

- Easier to monitor and commonly used in acute settings

- Directly assesses severity of hypotension or shock

- Critical for assessing coronary blood flow during diastole

- Reflects vascular tone and resistance

Best Use Cases

- Acute management where the primary concern is organ perfusion

- Patients without significant coronary artery disease

- Patients with ischemic heart disease or at risk of myocardial ischemia

- Situations involving vasodilation or decreased vascular tone

Disadvantages

- May overlook diastolic hypotension affecting coronary perfusion

- Focusing solely on DBP might underestimate systemic perfusion needs

- Potential for over-intervention in hospice settings

Combined Monitoring Approach: Monitoring both SBP and DBP provides a comprehensive understanding of the patient’s hemodynamic status:


(D) Special Considerations: Wide Pulse Pressure

A wide pulse pressure (difference >60 mmHg between SBP and DBP) often indicates decreased arterial compliance, common in elderly patients.

Implications

Factor Details
Aortic Stiffness and Arteriosclerosis Leads to elevated SBP and low DBP, reflecting decreased arterial compliance.
Increased Cardiovascular Risk Associated with higher risks of heart failure and stroke.

Recommended Approach

Parameter Target Range Considerations
Moderate SBP Control 120–140 mmHg Reduces cardiac strain and risk of stroke or heart failure.
Maintain Adequate DBP ≥50 mmHg Prevents myocardial ischemia and ensures adequate coronary perfusion.

(E) Dobutamine Infusion Rate Guidelines

Blood Pressure Category SBP (mmHg) DBP (mmHg) Initial Infusion Rate Considerations
Mild Hypotension 90–100 50–60 2.5 mcg/kg/min Monitor BP; titrate upwards if needed
Moderate Hypotension 70–90 40–50 5–10 mcg/kg/min Frequent BP monitoring; adjust based on hemodynamic response
Severe Hypotension <70 <40 10–20 mcg/kg/min Close monitoring required; watch for tachyarrhythmias and increased myocardial oxygen demand
Improvement in BP >100 (SBP) >60 (DBP) Gradually taper Aim for hemodynamic stability; adjust infusion rate downward
Persistent Low BP As above As above Increase within therapeutic range Avoid excessive rates; monitor for side effects such as tachycardia or arrhythmias

Note: This document is intended for informational purposes and should be utilized in conjunction with clinical judgment and individual patient considerations.

Written on October 22, 2024


Pulmonology


Nebulized Medications for Respiratory Management

Nebulized medications are essential in the management of various respiratory conditions, including asthma, chronic obstructive pulmonary disease (COPD), cystic fibrosis, and bronchitis. By delivering drugs directly to the lungs, nebulization enables rapid absorption and targeted action, making it an efficient approach for relieving bronchospasm, reducing inflammation, and improving airflow. Below is a comprehensive outline of the primary categories of nebulized medications, including mechanisms, effects, dosage guidelines, and an in-depth comparison of two prominent bronchodilators, Ventolin (albuterol) and Atrovent (ipratropium bromide).


(A) Bronchodilators

Aspect Ventolin (Albuterol/Salbutamol) Atrovent (Ipratropium Bromide)
Drug Class Beta-2 Adrenergic Agonist (Short-Acting) Anticholinergic/Antimuscarinic (Short-Acting)
Mechanism of Action Stimulates beta-2 adrenergic receptors in the bronchial smooth muscle, leading to rapid muscle relaxation and bronchodilation. Blocks muscarinic receptors in the bronchial smooth muscle, preventing acetylcholine-induced bronchoconstriction.
Onset of Action Rapid, typically within 5–15 minutes Moderate, usually within 15–30 minutes
Duration of Action Approximately 4–6 hours, short-acting Also around 4–6 hours, short-acting
Indications Primarily used for acute relief of bronchospasm in asthma and COPD, especially effective during exacerbations. Primarily used in COPD management; occasionally in asthma. Effective when combined with beta-agonists for enhanced bronchodilation.
Dosage (Nebulized) Generally 2.5 mg every 4–6 hours as needed Typically 0.5 mg every 4–6 hours as needed
Primary Effects Provides quick relief from acute bronchospasm, reduces wheezing, and improves airflow. Reduces airway resistance, provides bronchodilation, and decreases mucus secretion.
Common Side Effects Tremor, nervousness, tachycardia, and palpitations Dry mouth, cough, headache, and occasionally blurred vision.
Unique Considerations Considered the frontline rescue treatment for acute asthma exacerbations due to its rapid onset and beta-2 agonist effect. Often preferred in COPD due to its ability to reduce mucus secretion, and it complements beta-2 agonists like Ventolin effectively.

2. Corticosteroids


3. Mucolytics


4. Antibiotics

- written on October 29th, 2024 -


Tuberculosis


TB, MDR-TB, and XDR-TB

Tuberculosis (TB), Multidrug-Resistant Tuberculosis (MDR-TB), and Extensively Drug-Resistant Tuberculosis (XDR-TB) represent significant clinical and public health challenges. These conditions, defined by their varying resistance profiles, require specific diagnostic and therapeutic approaches. A detailed exploration follows, including the antibiotics used, potential side effects, and precise criteria for determining a cure.


Tuberculosis (TB)

  1. Definition

    Tuberculosis is a bacterial infection caused by Mycobacterium tuberculosis. It primarily affects the lungs (pulmonary TB) but may also involve other organs (extrapulmonary TB).

  2. Diagnosis

    • Clinical Presentation: Chronic cough, hemoptysis, fever, night sweats, fatigue, and weight loss.
    • Microbiological Tests:
      • Sputum smear microscopy
      • Liquid or solid culture systems
    • Molecular Diagnostics:
      • Nucleic Acid Amplification Tests (NAATs), e.g., GeneXpert MTB/RIF, detect TB and rifampin resistance.
    • Radiological Imaging: Chest X-rays or CT scans for structural abnormalities.
    • Latent TB Tests: Tuberculin Skin Test (TST) or Interferon-Gamma Release Assays (IGRA).
  3. Treatment

    • Standard First-Line Drugs:
      • Isoniazid (INH): Inhibits mycolic acid synthesis.
        • Side effects: Hepatotoxicity, peripheral neuropathy (prevented with pyridoxine).
      • Rifampin (RIF): Inhibits RNA synthesis.
        • Side effects: Hepatotoxicity, orange discoloration of bodily fluids, drug interactions.
      • Pyrazinamide (PZA): Effective in acidic environments, targeting dormant bacilli.
        • Side effects: Hepatotoxicity, hyperuricemia, arthralgia.
      • Ethambutol (EMB): Inhibits cell wall synthesis.
        • Side effects: Optic neuritis (dose-dependent, reversible).
    • Regimen:
      1. 2 months of intensive phase: INH, RIF, PZA, EMB.
      2. 4 months of continuation phase: INH, RIF.
  4. Cure Criteria

    • Negative sputum cultures at the end of treatment.
    • Consecutive negative cultures (minimum of two) taken at least one month apart.
    • Resolution of clinical and radiological abnormalities.

Multidrug-Resistant Tuberculosis (MDR-TB)

  1. Definition

    MDR-TB is caused by strains of Mycobacterium tuberculosis resistant to at least Isoniazid (INH) and Rifampin (RIF), the two most potent first-line drugs.

  2. Diagnosis

    • Rapid Molecular Diagnostics:
      • GeneXpert MTB/RIF for rifampin resistance detection.
    • Drug Susceptibility Testing (DST):
      • Testing for INH and other first-line drugs.
    • Line Probe Assays (LPAs):
      • Detect specific mutations conferring drug resistance.
  3. Treatment

    • Second-Line Drugs:
      • Fluoroquinolones: e.g., Levofloxacin (LEV), Moxifloxacin (MOX).
        • Mechanism: Inhibit DNA gyrase.
        • Side effects: Tendonitis, QT prolongation.
      • Injectable Agents: e.g., Amikacin (AMK), Kanamycin (KAN), Capreomycin (CAP).
        • Mechanism: Protein synthesis inhibitors.
        • Side effects: Nephrotoxicity, ototoxicity.
      • Bedaquiline (BDQ): Targets ATP synthase.
        • Side effects: QT prolongation, hepatotoxicity.
      • Linezolid (LZD): Protein synthesis inhibitor.
        • Side effects: Myelosuppression, peripheral neuropathy.
    • Regimen:
      1. Combination of at least four effective second-line drugs.
      2. Duration: 18-24 months, tailored to patient response and drug tolerance.
  4. Cure Criteria

    • Consecutive negative cultures (minimum of three) taken at least one month apart during the final six months of treatment.
    • Absence of clinical and radiological evidence of active disease.
    • No recurrence within a specified follow-up period (typically 12 months).

Extensively Drug-Resistant Tuberculosis (XDR-TB)

  1. Definition

    XDR-TB is an advanced form of MDR-TB with additional resistance to at least one fluoroquinolone and one injectable second-line drug.

  2. Diagnosis

    • Comprehensive Drug Susceptibility Testing (DST):
      • Includes both first-line and second-line drugs.
    • Whole Genome Sequencing (WGS):
      • Identifies specific resistance mutations.
    • Phenotypic Culture Testing:
      • Confirms resistance patterns observed in molecular assays.
  3. Treatment

    • Advanced Regimens:
      • Novel Drugs: Bedaquiline (BDQ), Delamanid (DLM).
      • Repurposed Drugs: Clofazimine, Carbapenems (e.g., Meropenem) with Amoxicillin-Clavulanate.
      • Adjunctive Therapy: High-dose Vitamin D for immune modulation.
    • Regimen:
      1. Individualized combination of novel, repurposed, and second-line drugs.
      2. Duration: Often exceeds 24 months, adjusted based on patient response and drug tolerance.
  4. Cure Criteria

    • Minimum of six consecutive negative cultures taken at monthly intervals during the final phase of treatment.
    • Continuous clinical improvement with radiological stability or resolution.
    • No evidence of relapse within two years of completing therapy.

Aspect TB MDR-TB XDR-TB
Definition Drug-sensitive M. tuberculosis. Resistant to INH and RIF. MDR-TB with additional resistance to fluoroquinolones and injectables.
Diagnosis Sputum smear, culture, NAATs. DST, GeneXpert, LPAs. Comprehensive DST, whole genome sequencing.
Treatment INH, RIF, PZA, EMB for 6 months. Second-line drugs for 18-24 months. Tailored regimens with novel and repurposed drugs for >24 months.
Drugs INH, RIF, PZA, EMB. Fluoroquinolones, injectables, BDQ, LZD. BDQ, DLM, Clofazimine, Carbapenems.
Side Effects Hepatotoxicity, neuropathy, optic neuritis. Nephrotoxicity, QT prolongation, ototoxicity. Similar to MDR-TB with added complexity (e.g., increased risk of QT prolongation).
Cure Criteria Two negative cultures at end of therapy. Three negative cultures in final 6 months. Six negative cultures with two-year follow-up.

This refined and detailed presentation serves as a comprehensive resource for understanding and managing TB, MDR-TB, and XDR-TB, emphasizing precision and thoroughness. Further refinements are welcome to ensure clarity and utility.

- written on November 15th, 2024 -


Analysis and Diagnostic Protocol for Tuberculosis (Written February 13, 2025)

This document provides an integrated analysis of key diagnostic tests for tuberculosis (TB), including their pricing, sensitivity, specificity, and clinical purpose. The tests reviewed include the Acid-Fast Bacilli (AFB) stain, AFB culture, chest X-ray, and the Interferon-Gamma Release Assay (IGRA). In addition, an algorithmic protocol is proposed to guide the diagnostic pathway, facilitating early detection and appropriate management of TB cases.

Test Sensitivity Specificity Purpose
AFB Stain ~30–60% (variable by sample) ~95% Rapid screening for TB by detecting acid-fast bacilli in sputum specimens.
AFB Culture ~70–90% Nearly 100% Confirmatory diagnosis; enables drug susceptibility testing and pathogen identification.
Chest X-ray ~80–90% ~50–70% Imaging to identify pulmonary abnormalities suggestive of TB; used as an initial screening tool.
IGRA (Interferon-Gamma Release Assay) ~75–90% ~95–100% Detection of latent TB infection by assessing immune response to TB-specific antigens.

Diagnostic Algorithm for Tuberculosis

The following algorithm outlines a systematic approach to TB diagnosis, incorporating the diagnostic tests discussed above. This protocol is designed to optimize test selection based on initial clinical assessment, radiological findings, and laboratory results.

  1. Initial Clinical Evaluation
    • Assess patient history, symptoms (e.g., chronic cough, weight loss, fever, night sweats), and risk factors.
  2. Primary Screening
    1. Perform an AFB Stain on sputum specimen.
      • If Positive: Proceed to confirmatory testing (AFB Culture).
      • If Negative but Suspicion Remains High: Proceed to Chest X-ray.
  3. Radiological Assessment
    1. Conduct a Chest X-ray to detect pulmonary abnormalities.
      • If Abnormal Findings Suggestive of TB: Proceed to AFB Culture for confirmatory diagnosis.
      • If Chest X-ray is Non-diagnostic: Consider IGRA to evaluate latent TB infection.
  4. Confirmatory Testing
    1. Perform AFB Culture to definitively diagnose TB and assess drug susceptibility.
      • If Positive Culture: Confirm TB diagnosis and initiate appropriate treatment.
      • If Negative Culture with Persistent Clinical Suspicion: Consider additional tests, including IGRA and clinical re-evaluation.
  5. Latent TB Infection Assessment
    • Use IGRA when there is a history of Bacille Calmette-Guérin (BCG) vaccination or for screening of contacts or individuals with suspected latent TB.
            ┌────────────────────────┐
            │ Clinical Evaluation    │
            └──────────┬─────────────┘
                       │
                       ▼
            ┌────────────────────────┐
            │ Perform AFB Stain      │
            └──────────┬─────────────┘
                       │
             ┌─────────┴─────────┐
             │                   │
          Positive             Negative
             │                   │
             ▼                   ▼
   ┌─────────────────┐    ┌─────────────────┐
   │ AFB Culture     │    │ Chest X-ray     │
   └───────┬─────────┘    └───────┬─────────┘
           │                      │
           ▼                      ▼
   If Positive?         Abnormal Findings?
           │                      │
           ▼                      ▼
   Confirm TB &          ┌───────────────┐
   Initiate Tx           │ AFB Culture   │
                         └───────┬───────┘
                                 │
                                 ▼
                     Confirm TB & Initiate Tx
                                 │
                                 ▼
                        Consider IGRA if Needed

Written on February 13, 2025


AntiBiotics


Antibiotic Classifications, Mechanisms, Examples, and Clinical Application

Antibiotics encompass a wide range of drug classes, each with unique mechanisms of action, spectrums of activity, and clinical uses. Understanding these classifications, along with their abbreviations, common brand names, recommended dosages for specific conditions, and considerations for antibiotic susceptibility testing (AST), is crucial for effective and responsible antibiotic therapy. Below is a refined and detailed overview of key antibiotic classes, their characteristics, and clinical application guidelines.


1. Beta-Lactam Antibiotics

1.1 Beta-Lactamase Inhibitors

Beta-lactamase inhibitors are compounds that inhibit bacterial beta-lactamases, enzymes that degrade beta-lactam antibiotics. They are typically combined with beta-lactam antibiotics to enhance their effectiveness against resistant bacteria.

Mechanism:
These inhibitors bind irreversibly to the active site of beta-lactamase enzymes, preventing them from breaking down the antibiotic.

Combination Common Brand Names Indications Dosage Recommendations AST Route
Amoxicillin/Clavulanic Acid (AMX/CLV) Augmentin, Co-amoxiclav Pneumonia, otitis media, sinusitis, skin infections For pneumonia: 500 mg/125 mg every 8 hours or 875 mg/125 mg every 12 hours orally Yes Oral
Ampicillin/Sulbactam (AMP/SUL) Unasyn Intra-abdominal infections, skin infections, pneumonia, gynecological infections For pneumonia (IV): 1.5-3 g every 6 hours Yes IV
Piperacillin/Tazobactam (PIP/TAZ) Zosyn Sepsis, complicated intra-abdominal infections, pneumonia, urinary tract infections (UTIs) For sepsis (IV): 3.375 g every 6 hours or 4.5 g every 6-8 hours Yes IV
Ceftazidime/Avibactam (CAZ/AVI) Avycaz Complicated intra-abdominal infections, complicated UTIs, hospital-acquired pneumonia For complicated infections (IV): 2.5 g every 8 hours Yes IV
Meropenem/Vaborbactam (MEM/VAB) Vabomere Complicated UTIs, hospital-acquired pneumonia, complicated abdominal infections For complicated UTIs (IV): 4 g every 8 hours No IV

Note: Beta-lactamase inhibitor combinations often require AST to tailor the therapy effectively.


1.2 Penicillins

Penicillins are among the earliest classes of antibiotics, effective against a wide range of bacteria including some Gram-positive and Gram-negative organisms.

Mechanism:
Penicillins inhibit cell wall synthesis by binding to penicillin-binding proteins (PBPs), preventing the cross-linking of the peptidoglycan cell wall.

Antibiotic Common Brand Names Indications Dosage Recommendations AST Route
Penicillin G (PEN G) Pfizerpen Syphilis, endocarditis, pneumonia, meningitis caused by susceptible organisms For pneumonia (IV): 2-4 million units every 4-6 hours No IV, IM
Amoxicillin (AMX) Amoxil Otitis media, sinusitis, pneumonia, urinary tract infections For pneumonia (oral): 500 mg every 8 hours or 875 mg every 12 hours No Oral
Ampicillin (AMP) Omnipen Meningitis, endocarditis, respiratory tract infections, GI infections For pneumonia (IV): 1-2 g every 4-6 hours Yes IV, IM, Oral
Piperacillin (PIP) Pipracil Pseudomonas infections, hospital-acquired pneumonia, intra-abdominal infections For hospital-acquired pneumonia (IV): 3-4 g every 4-6 hours Yes IV
Nafcillin (NAF) Unipen Staphylococcal infections (MSSA), endocarditis, osteomyelitis For MSSA endocarditis (IV): 1-2 g every 4-6 hours Yes IV, IM

1.3 Cephalosporins

Cephalosporins are beta-lactam antibiotics subdivided into generations, each with varying spectrums of activity. They are used to treat a wide range of infections, from skin infections to more serious hospital-acquired infections.

Mechanism:
Similar to penicillins, cephalosporins inhibit cell wall synthesis by binding to PBPs.

Generation Antibiotic Common Brand Names Indications Dosage Recommendations AST Route
1st Generation Cefazolin (CEZ) Ancef, Kefzol Surgical prophylaxis, skin infections, MSSA infections For surgical prophylaxis (IV): 1-2 g single dose No IV, IM
Cephalexin (CFX) Keflex Skin infections, respiratory tract infections For skin infections (oral): 500 mg every 6 hours No Oral
2nd Generation Cefuroxime (CXM) Zinacef, Ceftin Respiratory tract infections, UTIs, skin infections For pneumonia (oral): 500 mg twice daily Yes IV, IM, Oral
Cefoxitin (CXT) Mefoxin Intra-abdominal infections, surgical prophylaxis For surgical prophylaxis (IV): 2 g single dose Yes IV, IM
3rd Generation Ceftriaxone (CRO) Rocephin Pneumonia, meningitis, UTIs, gonorrhea For pneumonia (IV): 1-2 g once daily Yes IV, IM
Ceftazidime (CAZ) Fortaz, Tazicef Pseudomonas infections, hospital-acquired pneumonia For hospital-acquired pneumonia (IV): 2 g every 8 hours Yes IV, IM
4th Generation Cefepime (FEP) Maxipime Sepsis, pneumonia, complicated UTIs, neutropenic fever For sepsis (IV): 2 g every 8 hours Yes IV, IM
5th Generation Ceftaroline (CPT) Teflaro MRSA skin infections, community-acquired pneumonia For community-acquired pneumonia (IV): 600 mg every 12 hours Yes IV

1.4 Carbapenems

Carbapenems are broad-spectrum beta-lactam antibiotics typically reserved for severe or high-risk bacterial infections, including those resistant to other beta-lactams.

Mechanism:
Carbapenems bind to PBPs, inhibiting the final transpeptidation step of cell wall synthesis.

Antibiotic Common Brand Names Indications Dosage Recommendations AST Route
Meropenem (MEM) Merrem Sepsis, hospital-acquired pneumonia, complicated UTIs, complicated intra-abdominal infections For sepsis (IV): 1 g every 8 hours No IV
Imipenem/Cilastatin (IPM/CIL) Primaxin Sepsis, complicated intra-abdominal infections, UTIs For sepsis (IV): 500 mg to 1 g every 6-8 hours No IV
Ertapenem (ETP) Invanz Complicated intra-abdominal infections, skin infections, community-acquired pneumonia For pneumonia (IV): 1 g once daily No IV, IM
Doripenem (DOR) Doribax Complicated intra-abdominal infections, complicated UTIs, hospital-acquired pneumonia For hospital-acquired pneumonia (IV): 500 mg every 8 hours No IV

1.5 Monobactams

Monobactams are beta-lactam antibiotics effective primarily against Gram-negative bacteria and are often used in patients with penicillin allergies.

Mechanism:
Monobactams inhibit bacterial cell wall synthesis by binding selectively to PBPs of Gram-negative bacteria.

Antibiotic Common Brand Names Indications Dosage Recommendations AST Route
Aztreonam (AZT) Azactam Pseudomonas infections, UTIs, pneumonia For pneumonia (IV): 1-2 g every 6-8 hours Yes IV, IM

2. Glycopeptides

Glycopeptides are antibiotics that target Gram-positive bacteria, including multi-resistant strains such as Methicillin-Resistant Staphylococcus aureus (MRSA).

Mechanism:
Glycopeptides inhibit cell wall synthesis by binding to the D-alanyl-D-alanine terminus of cell wall precursors, preventing peptidoglycan synthesis.

Antibiotic Common Brand Names Indications Dosage Recommendations AST Route
Vancomycin (VAN) Vancocin, Firvanq MRSA infections, severe C. difficile infection For MRSA pneumonia (IV): 15-20 mg/kg every 8-12 hours No IV, Oral
Teicoplanin (TEC) Targocid MRSA infections, endocarditis, osteomyelitis For MRSA infections (IV): 6 mg/kg every 12 hours for 3 doses, then daily Yes IV, IM
Dalbavancin (DAL) Dalvance Acute bacterial skin and skin structure infections (ABSSSI) caused by Gram-positive organisms Single-dose regimen (IV): 1500 mg x1 Yes IV
Oritavancin (ORI) Orbactiv ABSSSI caused by Gram-positive organisms Single-dose regimen (IV): 1200 mg x1 Yes IV

Note: Serum drug levels for vancomycin are often monitored to ensure therapeutic levels and reduce toxicity risk.


3. Aminoglycosides

Aminoglycosides are broad-spectrum antibiotics, particularly effective against Gram-negative bacteria and often used in combination with other antibiotics for severe infections such as sepsis.

Mechanism:
Aminoglycosides bind to the 30S subunit of bacterial ribosomes, causing misreading of mRNA and inhibition of protein synthesis.

Antibiotic Common Brand Names Indications Dosage Recommendations AST Route
Gentamicin (GEN) Garamycin Sepsis, endocarditis (in combination), UTIs For sepsis (IV): Loading dose of 2 mg/kg, then 1-1.7 mg/kg every 8 hours Yes IV, IM
Amikacin (AMK) Amikin Severe Gram-negative infections, sepsis For sepsis (IV/IM): 15 mg/kg once daily or divided doses Yes IV, IM
Tobramycin (TOB) Nebcin Pseudomonas infections, severe UTIs For Pseudomonas pneumonia (IV): 5-7 mg/kg once daily Yes IV, IM
Streptomycin (SM) Tuberculosis (in combination therapy) For tuberculosis (IM): 15 mg/kg once daily Yes IM
Neomycin (NEO) Neo-Fradin, Mycifradin Bowel decontamination, topical infections Topical or oral only Yes Oral, Topical

Note: Aminoglycosides require careful monitoring of serum levels due to nephrotoxicity and ototoxicity risk.


4. Tetracyclines

Tetracyclines are broad-spectrum antibiotics effective against various bacterial infections and some atypical organisms. They are used for conditions like acne, pneumonia, and certain STDs.

Mechanism:
Tetracyclines bind to the 30S ribosomal subunit, inhibiting the attachment of aminoacyl-tRNA to the mRNA-ribosome complex, thereby preventing protein synthesis.

Antibiotic Common Brand Names Indications Dosage Recommendations AST Route
Tetracycline (TET) Sumycin, Achromycin Acne, respiratory tract infections, Helicobacter pylori infections For acne (oral): 250-500 mg every 6 hours Yes Oral
Doxycycline (DOX) Vibramycin, Doryx Community-acquired pneumonia, Lyme disease, acne For pneumonia (oral/IV): 100 mg every 12 hours No Oral, IV
Minocycline (MIN) Minocin, Solodyn Acne, skin infections, MRSA skin infections For acne (oral): 100 mg every 12 hours Yes Oral, IV
Tigecycline (TIG) Tygacil Complicated skin and intra-abdominal infections, community-acquired pneumonia For complicated infections (IV): 100 mg loading dose, then 50 mg every 12 hours Yes IV

Note: Tetracyclines can cause photosensitivity and are contraindicated in children under 8 years and pregnant women.


5. Oxazolidinones

Oxazolidinones are synthetic antibiotics primarily used for treating Gram-positive bacterial infections, including those resistant to other antibiotics, such as MRSA and VRE (Vancomycin-Resistant Enterococci).

Mechanism:
Oxazolidinones inhibit the initiation of bacterial protein synthesis by binding to the 50S ribosomal subunit, preventing the formation of the 70S initiation complex.

Antibiotic Common Brand Names Indications Dosage Recommendations AST Route
Linezolid (LNZ) Zyvox MRSA pneumonia, VRE infections, skin infections For MRSA pneumonia (oral/IV): 600 mg every 12 hours Yes Oral, IV
Tedizolid (TZD) Sivextro Acute bacterial skin and skin structure infections (ABSSSI) caused by Gram-positive organisms For ABSSSI (oral/IV): 200 mg once daily for 6 days Yes Oral, IV

Note: Linezolid and tedizolid can cause hematological side effects; monitoring blood counts is recommended during long-term use.


6. Streptogramins

Streptogramins are antibiotics used particularly against Gram-positive bacteria, including multi-resistant strains like MRSA and VRE.

Mechanism:
Streptogramins bind to distinct sites on the 50S ribosomal subunit, inhibiting protein synthesis. Quinupristin binds to a site, resulting in a conformational change in the ribosome that enhances the binding of dalfopristin.

Antibiotic Common Brand Names Indications Dosage Recommendations AST Route
Quinupristin/Dalfopristin (Q/D) Synercid VRE infections (E. faecium), MRSA infections, complicated skin infections For VRE infections (IV): 7.5 mg/kg every 8 hours Yes IV

Note: Quinupristin/dalfopristin is not active against Enterococcus faecalis. Adjustments may be needed based on AST results.


7. Chloramphenicol

Chloramphenicol is a broad-spectrum antibiotic effective against a variety of bacteria. However, its use is limited due to serious side effects such as aplastic anemia.

Mechanism:
Chloramphenicol inhibits bacterial protein synthesis by binding to the 50S ribosomal subunit and preventing peptide bond formation.

Antibiotic Common Brand Names Indications Dosage Recommendations AST Route
Chloramphenicol (CAP) Chloromycetin, Viceton Typhoid fever, meningitis, rickettsial infections For serious infections (IV): 50-100 mg/kg/day in divided doses every 6 hours Yes IV, Oral

Note: Chloramphenicol requires regular monitoring of blood counts due to the risk of aplastic anemia.


8. Macrolides

Macrolides are antibiotics effective primarily against Gram-positive bacteria and some Gram-negative bacteria. They are often used for respiratory infections, skin infections, and sexually transmitted infections.

Mechanism:
Macrolides bind to the 50S subunit of bacterial ribosomes, inhibiting the translocation step of protein synthesis.

Antibiotic Common Brand Names Indications Dosage Recommendations AST Route
Erythromycin (ERY) E-Mycin, Erythrocin Respiratory tract infections, skin infections, whooping cough For pneumonia (oral): 500 mg every 6 hours No Oral, IV
Azithromycin (AZM) Zithromax, Azithrocin Community-acquired pneumonia, STIs, respiratory tract infections For pneumonia (oral): 500 mg on day 1, then 250 mg once daily days 2-5 No Oral, IV
Clarithromycin (CLR) Biaxin, Klacid Respiratory tract infections, Helicobacter pylori infections For pneumonia (oral): 500 mg every 12 hours No Oral
Fidaxomicin (FDX) Dificid Clostridioides difficile infection For C. difficile infection (oral): 200 mg every 12 hours for 10 days Yes Oral

Note: Macrolides have drug-drug interactions due to CYP450 metabolism. AST is not always required for typical pathogens unless resistance is suspected.


9. Lincosamides

Lincosamides are antibiotics effective mainly against Gram-positive cocci and anaerobes. They are used in various infections including skin and soft tissue infections, and anaerobic infections.

Mechanism:
Lincosamides bind to the 50S subunit of the bacterial ribosome, inhibiting protein synthesis by blocking the translocation step.

Antibiotic Common Brand Names Indications Dosage Recommendations AST Route
Clindamycin (CLI) Cleocin, Dalacin Anaerobic infections, skin infections, pneumonia For MRSA skin infections (oral): 300-450 mg every 6 hours Yes Oral, IV, IM
Lincomycin (LNM) Lincocin Similar to clindamycin but less commonly used For serious infections (IM/IV): 600 mg every 8-12 hours Yes IV, IM

Note: Clindamycin is known to cause C. difficile-associated diarrhea; AST recommended to ensure susceptibility.


10. Fluoroquinolones

Fluoroquinolones are broad-spectrum antibiotics effective against a variety of Gram-positive and Gram-negative organisms. They are widely used for respiratory infections, UTIs, and abdominal infections.

Mechanism:
Fluoroquinolones inhibit bacterial DNA gyrase and topoisomerase IV, enzymes essential for DNA replication and transcription.

Antibiotic Common Brand Names Indications Dosage Recommendations AST Route
Ciprofloxacin (CIP) Cipro, Ciprobay UTIs, abdominal infections, respiratory infections For pneumonia (oral): 500 mg twice daily Yes Oral, IV
Levofloxacin (LEV) Levaquin, Tavanic Community-acquired pneumonia, UTIs, skin infections For pneumonia (oral/IV): 500-750 mg once daily Yes Oral, IV
Moxifloxacin (MOX) Avelox, Vigamox Community-acquired pneumonia, skin infections, intra-abdominal infections For pneumonia (oral/IV): 400 mg once daily Yes Oral, IV
Ofloxacin (OFL) Floxin, Tarivid UTIs, respiratory infections, skin infections For UTIs (oral): 200-400 mg twice daily Yes Oral, IV

Note: Fluoroquinolones can cause QT prolongation and tendon rupture. AST is typically recommended for severe infections or resistant organisms.


11. Quinolones (Non-Fluorinated)

Quinolones are an older class of antibiotics, primarily effective against Gram-negative bacteria. They have largely been replaced by fluoroquinolones with broader spectrums and better pharmacokinetics.

Mechanism:
Quinolones inhibit bacterial DNA replication by targeting DNA gyrase (topoisomerase II).

Antibiotic Common Brand Names Indications Dosage Recommendations AST Route
Nalidixic Acid (NAL) Wintomylon Uncomplicated UTIs For UTIs (oral): 1 g every 6 hours Yes Oral

Note: Nalidixic acid is of historical interest and is rarely used due to bacterial resistance and availability of better agents.


12. Sulfonamides

Sulfonamides are synthetic bacteriostatic antibiotics effective against a wide range of Gram-positive and Gram-negative bacteria. They are frequently used in combination with dihydrofolate reductase inhibitors.

Mechanism:
Sulfonamides inhibit dihydropteroate synthase, an enzyme involved in folate synthesis, thus preventing bacterial growth.

Antibiotic Common Combination Common Brand Names Indications Dosage Recommendations AST Route
Sulfamethoxazole (SMX) combined with Trimethoprim as Co-Trimoxazole (TMP-SMX) Co-Trimoxazole Bactrim, Septra, Co-Trimoxazole UTIs, Pneumocystis pneumonia (PCP), MRSA skin infections For pneumonia (oral/IV): 15-20 mg/kg/day (based on TMP) in divided doses every 6-8 hours No Oral, IV
Sulfadiazine (SDZ) Combined with pyrimethamine Toxoplasmosis For toxoplasmosis (oral): 1000 mg four times daily in combination with pyrimethamine Yes Oral

Note: Adequate hydration is needed to prevent crystalluria; monitoring for hypersensitivity reactions is important.


13. Dihydrofolate Reductase (DHFR) Inhibitors

DHFR inhibitors are often combined with sulfonamides to achieve a synergistic bactericidal effect by inhibiting successive steps in folate synthesis.

Mechanism:
These agents inhibit dihydrofolate reductase, an enzyme required for folate synthesis and bacterial DNA replication.

Antibiotic Common Combinations Indications Dosage Recommendations AST Route
Trimethoprim (TMP) Combined with sulfamethoxazole as co-trimoxazole UTIs, PCP, MRSA skin infections See TMP-SMX dosage recommendations in sulfonamides section No Oral, IV
Pyrimethamine (PYR) Combined with sulfadiazine Toxoplasmosis, pneumocystis pneumonia in combination therapy For toxoplasmosis (oral): 200 mg loading dose, then 50-75 mg daily in combination with sulfadiazine Yes Oral

Note: Folate supplementation may be required during long-term therapy to prevent hematological side effects.


14. Nitroimidazoles

Nitroimidazoles are effective primarily against anaerobic bacteria and protozoa. They are commonly used for infections like C. difficile colitis, intra-abdominal infections, and gynecological infections.

Mechanism:
Nitroimidazoles cause DNA strand breakage and inhibit nucleic acid synthesis in anaerobic organisms by interacting with their DNA.

Antibiotic Common Brand Names Indications Dosage Recommendations AST Route
Metronidazole (MTZ) Flagyl, Metrogyl Anaerobic infections, C. difficile colitis, trichomoniasis For C. difficile infection (oral): 500 mg three times daily for 10-14 days Yes Oral, IV
Tinidazole (TND) Tindamax Trichomoniasis, bacterial vaginosis, giardiasis For trichomoniasis (oral): 2 g single dose Yes Oral

Note: Patients should avoid alcohol during and 48 hours after treatment with nitroimidazoles due to a disulfiram-like reaction.


15. Rifamycins

Rifamycins are a class of antibiotics with potent activity against Mycobacterium tuberculosis and other organisms. They are commonly used in tuberculosis treatment regimens and for prophylaxis against certain infections.

Mechanism:
Rifamycins inhibit bacterial DNA-dependent RNA polymerase by binding to the β-subunit, preventing RNA synthesis.

Antibiotic Common Brand Names Indications Dosage Recommendations AST Route
Rifampin (RIF) Rifadin, Rimactane Tuberculosis, meningococcal prophylaxis For tuberculosis (oral/IV): 10 mg/kg (up to 600 mg) once daily Yes Oral, IV
Rifabutin (RBT) Mycobutin TB in HIV patients, Mycobacterium avium complex prophylaxis For prophylaxis (oral): 300 mg once daily Yes Oral
Rifaximin (RFX) Xifaxan Traveler's diarrhea, hepatic encephalopathy, IBS-D For traveler's diarrhea (oral): 200 mg three times daily for 3 days No Oral

Note: Rifamycins have strong inducing effects on the cytochrome P450 system, leading to drug-drug interactions.


Conclusion

Each antibiotic class has distinct mechanisms of action, spectrums of activity, and clinical uses. Knowledge of these classes, along with representative antibiotics, their acronyms, commonly known brand names, recommended dosages for specific infections, and requirements for antibiotic susceptibility testing (AST), is crucial for effective treatment.

This comprehensive overview aims to guide clinical decision-making by providing detailed information on the selection and use of various antibiotic agents. Continual updates and refinements are encouraged to keep pace with the evolving landscape of antibiotic development and resistance patterns, ensuring that practitioners are well-equipped to choose the most appropriate therapy for their patients.

Note: All dosage recommendations are general guidelines and may vary based on patient factors such as age, weight, renal function, and severity of infection. Appropriate AST, therapeutic drug monitoring, and clinical judgment should be applied when selecting and dosing antibiotics.


IV Antibiotics Reference Guide

This table offers physicians a comprehensive platform to review essential information about IV antibiotics, including dosage, concentration, recommended dosage for standard adult pneumonia, and contraindications/interactions.

Medication Class Supplied As pH Concentration
(mg/mL)
Rec Dosage
for Standard Adult Pneumonia
Contraindications/Interactions
Ampicillin/Sulbactam (Unasyn) Penicillin/Beta-lactamase Inhibitor mg 7 - 8 - 1,500 - 3,000 mg IV every 6 hours Avoid in penicillin allergy; monitor for rash. Effective against beta-lactamase producing organisms; monitor renal function. Applicable for MRAB.
Piperacillin / Tazobactam (Zosyn) Penicillin / Beta-lactamase inhibitor mg 5.5 - 4,500 - 6,000 mg IV every 6 hours Avoid in penicillin allergy; monitor renal function.
Cefepime Cephalosporin mg 4.5 - 1,000 - 2,000 mg IV every 8-12 hours Caution in renal impairment; neurotoxicity.
Ceftazidime / Avibactam (Avycaz) Cephalosporin / Beta-lactamase Inhibitor mg 5.5 - 6.5 - 2,000 mg IV every 8 hours Avoid in severe penicillin or cephalosporin allergies; monitor renal function. Applicable for CRE.
Ceftaroline (Teflaro) Cephalosporin mg 6.0 - 600 mg IV every 12 hours Avoid in cephalosporin or penicillin allergies; risk of allergic reactions with beta-lactam antibiotics. Applicable for MRSA.
Ceftolozane / Tazobactam (Zerbaxa) Cephalosporin / Beta-lactamase Inhibitor mg 5.5 - 6.0 - 1,500 mg IV every 8 hours Avoid in cephalosporin or beta-lactamase inhibitor allergies; monitor renal function, risk of nephrotoxicity. Applicable for MRPA.
Cefiderocol (Fetroja) Siderophore Cephalosporin mg 5.0 - 7.0 - 2,000 mg IV every 8 hours Avoid in cephalosporin allergy; monitor renal function, risk of kidney damage in renal impairment. Applicable for CRE, MRPA, MRAB.
Vancomycin Glycopeptide mg 2.5 - 4.5 - 15-20 mg/kg IV every 8-12 hours Nephrotoxicity; "Red man syndrome"; Requires TDM. Effective against MRSA but not VRE.
Teicoplanin (Targocid) Glycopeptide mg 7.2 - 400 mg loading dose, then 200 mg IV every 24 hours Ototoxicity; nephrotoxicity. Requires loading dose for optimal levels. Alternative for MRSA and can be considered for VRE with caution.
Daptomycin (Cubicin) Lipopeptide mg 7.4 - 500 mg IV every 24 hours Avoid in daptomycin allergy; risk of muscle damage (rhabdomyolysis), especially with statins. Monitor CPK levels. Applicable for MRSA, VRE.
Ciprofloxacin Fluoroquinolone mg 3.9 - 400 mg Tendon rupture risk; avoid in myasthenia gravis.
Levofloxacin Fluoroquinolone mg 4.5 - 5 - 500 - 750 mg Tendon rupture risk; QT prolongation.
Metronidazole (Flagyl) Nitroimidazole mg 5.5 - 6 - 500 mg IV every 8 hours (as adjunctive therapy for PMC) Avoid alcohol; disulfiram-like reaction. Used as adjunctive therapy for pneumonia requiring anaerobic coverage (PMC).
Imipenem / Cilastatin (Primaxin) Carbapenem / Dehydropeptidase Inhibitor mg 6.8 - 500 - 1,000 mg IV every 6 hours Seizure risk; caution in CNS disorders. Cilastatin helps prevent renal degradation.
Imipenem / Relebactam (Recarbrio) Carbapenem/Beta-lactamase Inhibitor mg 7.0 - 1,000 mg IV every 6 hours Avoid in beta-lactam allergy; seizure risk in CNS disorders. Caution with drugs that lower seizure threshold. Applicable for CRE, MRPA, MRAB.
Meropenem Carbapenem mg 7.3 - 500 - 1,000 mg IV every 8 hours Seizure risk; adjust dose in renal impairment. Effective against MRPA but not against CRE.
Meropenem/Vaborbactam (Vabomere) Carbapenem/Beta-lactamase Inhibitor mg 7.3 - 4,000 mg IV every 8 hours Avoid in beta-lactam allergy; risk of seizures, especially in CNS disorders. Monitor renal function. Applicable for CRE.
Ertapenem (Invanz) Carbapenem mg 7.5 - 1,000 mg IV once daily Not for pediatric use; seizure risk.
Gentamicin Aminoglycoside mg/mL 4.0 40 3 - 5 mg/kg/day IV divided into 2-3 doses Ototoxicity and nephrotoxicity; IM permissible.
Amikacin Aminoglycoside mg/mL 3.5 250 15 mg/kg/day IV once or divided doses Ototoxicity and nephrotoxicity; IM permissible. Effective against MRPA;
Tigecycline (Tygacil) Glycylcycline mg 4.5 - 5 - 100 - 100 mg IV every 12 hours Not for children; may increase mortality. Effective against VRE and some MRSA strains; not recommended as monotherapy for pneumonia.
Colistin (Polymyxin E) Polymyxin mg 6 - 8 - 2.5 - 5 mg/kg IV loading dose, then 1.25 - 2.5 mg/kg IV every 12 hours Nephrotoxicity; neurotoxicity. Last-resort option for CRE, MRPA, and MRAB. Requires careful dosing and monitoring of renal function. Effective against MRSA in combination therapy; use Linezolid or Vancomycin as first-line for MRSA.
Linezolid (Zyvox) Oxazolidinone mg 4.7 - 600 mg IV or oral every 12 hours MAOI interaction; caution with serotonergic drugs. Effective against VRE and MRSA; Monitor for thrombocytopenia and serotonin syndrome.
Fosfomycin (Monurol) Phosphonic Acid Derivative mg 6.0 - 3,000 mg IV every 6 hours Avoid in fosfomycin allergy; monitor sodium levels, avoid in hypernatremia or heart/kidney disease. Applicable for CRE, MRAB.

Lipidology


Hyperlipidemia: Classification, Diagnosis, and Management

Hyperlipidemia is a condition characterized by elevated levels of lipids in the blood, which increases the risk of cardiovascular diseases. It can be classified into primary (genetic) and secondary (acquired) types. Understanding these classifications aids in effective diagnosis and management.


Classification of Hyperlipidemia

(A) Primary Hyperlipidemia

Primary hyperlipidemia is caused by genetic defects affecting lipid metabolism. The following table summarizes the different types, their distinguishing features, and management strategies.

Type Defect Elevated Lipoproteins Clinical Features Management
Type I
(Familial Hyperchylomicronemia)
Deficiency of lipoprotein lipase or apo C-II Chylomicrons Pancreatitis, eruptive xanthomas, hepatosplenomegaly Low-fat diet; Fibrates may be considered
Type IIa
(Familial Hypercholesterolemia)
Defective LDL receptors LDL cholesterol Tendon xanthomas, premature atherosclerosis Statins, Ezetimibe, PCSK9 inhibitors
Type IIb
(Familial Combined Hyperlipidemia)
Overproduction of VLDL LDL cholesterol, VLDL Premature coronary artery disease Statins, lifestyle modifications
Type III
(Familial Dysbetalipoproteinemia)
Apo E2 subtype causing defective remnant clearance IDL (intermediate-density lipoproteins) Palmar xanthomas, premature atherosclerosis Fibrates, Niacin, lifestyle changes
Type IV
(Familial Hypertriglyceridemia)
Overproduction of VLDL VLDL Pancreatitis, obesity, hyperglycemia Fibrates, Omega-3 fatty acids, lifestyle modifications
Type V
(Mixed Hyperlipoproteinemia)
Increased VLDL and chylomicrons VLDL, chylomicrons Pancreatitis, eruptive xanthomas Fibrates, low-fat diet

(B) Secondary Hyperlipidemia

Secondary hyperlipidemia results from other conditions or lifestyle factors influencing lipid metabolism.

Cause Mechanism Management
Diabetes Mellitus Insulin deficiency/resistance leading to increased VLDL production Glycemic control, Statins
Hypothyroidism Decreased LDL receptor activity Thyroid hormone replacement
Nephrotic Syndrome Increased hepatic lipoprotein synthesis Treat underlying renal disease
Alcoholism Increased VLDL synthesis Alcohol cessation, Fibrates
Medications
(e.g., beta-blockers, thiazides)
Altered lipid metabolism Medication review and adjustment

Mechanisms of Lipid-Lowering Medications

Understanding the mechanisms helps in selecting appropriate medications based on the lipid profile and provides foundational knowledge essential for clinical examinations such as the USMLE Step 1.

Medication Class Mechanism_of_Action Indications Examples and Dosages Side Effects Contraindications
Statins Inhibit HMG-CoA reductase, decreasing cholesterol synthesis and upregulating LDL receptors Elevated LDL cholesterol, cardiovascular risk reduction Atorvastatin: 10–80 mg daily
Rosuvastatin: 5–40 mg daily
Myopathy, liver enzyme elevations, gastrointestinal disturbances Active liver disease, pregnancy, certain drug interactions (e.g., with certain antibiotics, antifungals)
Fibrates Activate PPAR-α, increasing lipoprotein lipase activity, reducing VLDL production High triglycerides, Type III, IV, V hyperlipidemia Fenofibrate: 48–145 mg daily
Gemfibrozil: 600 mg twice daily
Gastrointestinal issues, myopathy (especially with statins), gallstones Severe liver or kidney disease, history of gallbladder disease
Niacin
(Nicotinic Acid)
Inhibits hepatic VLDL synthesis, reduces LDL, increases HDL Mixed hyperlipidemia, low HDL cholesterol Niaspan: Start at 500 mg nightly, titrate up to 2,000 mg Flushing, hyperglycemia, hyperuricemia, hepatotoxicity Active peptic ulcer disease, liver disease, pregnancy
Bile Acid Sequestrants Bind bile acids in the intestine, increasing conversion of cholesterol to bile acids Elevated LDL cholesterol Cholestyramine: 4 g once or twice daily
Colesevelam: 3.75-15 mg twice daily with meals
Gastrointestinal discomfort, constipation, potential for reduced absorption of other medications Biliary obstruction, severe renal impairment
Ezetimibe Inhibits intestinal absorption of cholesterol Elevated LDL cholesterol, often with statins Ezetimibe: 10 mg daily Headache, gastrointestinal symptoms, potential liver enzyme elevations Active liver disease, pregnancy
PCSK9 Inhibitors Monoclonal antibodies inhibiting PCSK9, increasing LDL receptor availability Familial hypercholesterolemia, statin-resistant cases Alirocumab: 75–150 mg SC every 2 weeks
Evolocumab: 140 mg SC every 2 weeks
Injection site reactions, potential neurocognitive effects, cost considerations Hypersensitivity to the drug
Omega-3 Fatty Acids Reduce hepatic VLDL synthesis, increase triglyceride clearance Severe hypertriglyceridemia Icosapent Ethyl: 2 g twice daily Gastrointestinal symptoms, increased bleeding risk at high doses Fish allergy, bleeding disorders

Prescribing Considerations Based on Mechanism

A comprehensive understanding of the pharmacodynamics and pharmacokinetics of lipid-lowering agents is crucial for effective management.

(A) Statins

Statins are the first-line therapy for elevated LDL cholesterol due to their potent LDL-lowering effects and proven benefits in reducing cardiovascular events. They work by inhibiting the enzyme HMG-CoA reductase, a key enzyme in the cholesterol biosynthesis pathway (mevalonate pathway). This inhibition leads to decreased cholesterol synthesis in the liver and upregulation of LDL receptors on hepatocytes, enhancing the clearance of LDL from the bloodstream.

HMG-CoA Reductase (inhibited by statins)
    ↓
Decreased Cholesterol Synthesis in Liver
    ↓
Upregulation of LDL Receptors on Hepatocytes
    ↓
Increased Clearance of LDL from Blood  

(B) Fibrates

Fibrates are the treatment of choice for patients with significant hypertriglyceridemia (Types III, IV, V) as they effectively lower triglyceride levels and can modestly increase HDL cholesterol. They activate peroxisome proliferator-activated receptor alpha (PPAR-α), which plays a role in lipid metabolism by increasing lipoprotein lipase activity and reducing VLDL production.

Activation of PPAR-α by Fibrates
    ↓
Lipoprotein Lipase Activity ↑         VLDL Production ↓
    ↓                                   ↓
Enhanced Breakdown of Triglycerides   Less VLDL Secreted by Liver
    ↓                                   ↓
    Decreased Triglyceride Levels in Blood  

(C) Niacin

Niacin is used when both LDL and triglycerides are elevated, and HDL cholesterol is low. It inhibits hepatic VLDL synthesis, which subsequently reduces LDL levels and increases HDL levels. This is achieved through the inhibition of diacylglycerol acyltransferase-2, leading to decreased triglyceride synthesis and VLDL formation.

Niacin Inhibits VLDL Synthesis in Liver
    ↓
Decreased VLDL Production
    ↓
Reduced LDL Levels (as LDL is a VLDL derivative)
    ↓
Increased HDL Levels (mechanism not fully understood)

(D) Bile Acid Sequestrants

These agents are suitable for patients who cannot tolerate statins or require additional LDL cholesterol reduction. They function by binding bile acids in the intestine, preventing their reabsorption. This leads to increased conversion of cholesterol into bile acids in the liver, thereby reducing hepatic cholesterol levels and upregulating LDL receptors to clear more LDL from the blood.

Bile Acid Sequestrants Bind Bile Acids in Intestine
    ↓
Prevents Reabsorption of Bile Acids
    ↓
Liver Uses Cholesterol to Synthesize More Bile Acids
    ↓
Decreased Hepatic Cholesterol Levels
    ↓
Upregulation of LDL Receptors
    ↓
Increased Clearance of LDL from Blood

(E) Ezetimibe

Ezetimibe provides additional LDL cholesterol reduction by inhibiting the Niemann-Pick C1-Like 1 (NPC1L1) protein involved in intestinal cholesterol absorption. This reduces the amount of cholesterol delivered to the liver, enhancing clearance of LDL from the bloodstream.

Ezetimibe Inhibits NPC1L1 Protein
    ↓
Reduced Cholesterol Absorption in Small Intestine
    ↓
Less Cholesterol Delivered to Liver
    ↓
Upregulation of LDL Receptors
    ↓
Increased Clearance of LDL from Blood

(F) PCSK9 Inhibitors

PCSK9 inhibitors are indicated for familial hypercholesterolemia or patients not reaching LDL cholesterol goals despite maximum tolerated statin therapy. They work by binding to proprotein convertase subtilisin/kexin type 9 (PCSK9), a protein that degrades LDL receptors on hepatocytes. By inhibiting PCSK9, these medications increase the availability of LDL receptors, enhancing LDL clearance.

PCSK9 Inhibitors Bind to PCSK9 Protein
    ↓
Prevent Degradation of LDL Receptors
    ↓
Increased LDL Receptor Availability on Hepatocytes
    ↓
Enhanced Clearance of LDL from Blood

(G) Omega-3 Fatty Acids

Used primarily in patients with severe hypertriglyceridemia to reduce the risk of pancreatitis. Omega-3 fatty acids reduce hepatic VLDL synthesis and increase triglyceride clearance by enhancing the activity of lipoprotein lipase.

Omega-3 Fatty Acids Reduce VLDL Synthesis
    ↓
Decreased Secretion of VLDL by Liver
    ↓
Enhanced Activity of Lipoprotein Lipase
    ↓
Increased Clearance of Triglycerides from Blood

Written on October 21, 2024


Neurology


Criteria for Prescribing Dementia Medications

This document provides a detailed overview of the criteria for prescribing dementia medications in South Korea, including donepezil and other oral medications and patches. The guidelines aim to support healthcare professionals in making informed and compliant prescribing decisions, adhering to the regulatory standards set by the Health Insurance Review & Assessment Service (HIRA).


Table 1: Dementia Medications in South Korea

Generic Name Brand Name Form _____________Dosage____________ _______Indications________ Contraindications _____Side_Effects_____
Donepezil Aricept Oral Tablet

Starting Dose: 5 mg once daily

Maintenance Dose: 5-10 mg once daily

Mild to Moderate Alzheimer's Disease Hypersensitivity to donepezil or piperidine derivatives Nausea, diarrhea, insomnia, muscle cramps
Rivastigmine Exelon Oral Capsule

Starting Dose: 1.5 mg twice daily

Maintenance Dose: Increase by 3 mg/day every 2 weeks up to 6 mg twice daily

Mild to Moderate Alzheimer's Disease
Parkinson's Disease Dementia
Hypersensitivity to rivastigmine or carbamate derivatives Nausea, vomiting, weight loss, dizziness
Rivastigmine Patch Exelon Patch Transdermal Patch

Starting Dose: 4.6 mg/24h patch

Maintenance Dose: Increase to 9.5 mg/24h after 4 weeks

Maximum Dose: 13.3 mg/24h

Mild to Moderate Alzheimer's Disease
Parkinson's Disease Dementia
Skin reactions at application site, hypersensitivity Skin irritation, nausea, vomiting
Galantamine Razadyne Oral Tablet, Capsule

Starting Dose: 4 mg twice daily

Maintenance Dose: Increase by 8 mg/day every 4 weeks up to 12 mg twice daily

Mild to Moderate Alzheimer's Disease Severe hepatic or renal impairment, hypersensitivity Nausea, vomiting, diarrhea, dizziness
Memantine Namenda Oral Tablet

Starting Dose: 5 mg once daily

Titration: Increase by 5 mg/week

Target Dose: 10 mg twice daily

Moderate to Severe Alzheimer's Disease Hypersensitivity to memantine Dizziness, headache, constipation
Memantine / Donepezil Combination Namzaric Oral Capsule

Dosage: 28 mg memantine extended release / 10 mg donepezil once daily

Moderate to Severe Alzheimer's Disease Same as individual components Combination of side effects from memantine and donepezil

Table 2: Prescription Criteria Based on Cognitive Assessment Scales

Medication ___MMSE_Score___ CDR_Stage GDS_Stage ___________Dosage_Criteria_____________ _____Insurance_Coverage_Criteria_____
Donepezil 10 ≤ MMSE ≤ 26 CDR 1 or 2 GDS 4 or 5

Oral Tablet: Start at 5 mg once daily
→ Increase to 10 mg once daily after 4-6 weeks if tolerated

Indicated for mild to moderate Alzheimer's disease

Coverage when MMSE score is between 10 and 26

Rivastigmine 10 ≤ MMSE ≤ 24 CDR 1 or 2 GDS 4 or 5

Oral Capsule: Start at 1.5 mg twice daily
→ Increase by 3 mg/day every 2 weeks up to 6 mg twice daily

Patch: Start at 4.6 mg/24h
→ Increase to 9.5 mg/24h after 4 weeks

Indicated for mild to moderate Alzheimer's or Parkinson's disease dementia

Coverage with MMSE 10-24

Galantamine 10 ≤ MMSE ≤ 24 CDR 1 or 2 GDS 4 or 5

Oral Tablet/Capsule: Start at 4 mg twice daily
→ Increase by 8 mg/day every 4 weeks up to 12 mg twice daily

Indicated for mild to moderate Alzheimer's disease

Coverage requires MMSE score between 10 and 24

Memantine MMSE ≤ 15 CDR 2 or 3 GDS 5 to 7

Oral Tablet: Start at 5 mg once daily
→ Increase by 5 mg/week

Target Dose: 10 mg twice daily

Indicated for moderate to severe Alzheimer's disease

Coverage when MMSE score is 15 or below

Memantine / Donepezil Combination MMSE ≤ 15 CDR 2 or 3 GDS 5 to 7

Oral Capsule: 28 mg memantine extended-release / 10 mg donepezil once daily

Indicated for moderate to severe Alzheimer's disease

Coverage applicable with MMSE score of 15 or lower

Notes on Cognitive Assessment Scales:


Mechanism of Action of Dementia Medications

(A) Cholinesterase Inhibitors

Cholinesterase inhibitors, including donepezil, rivastigmine, and galantamine, function by inhibiting the enzyme acetylcholinesterase. This inhibition results in increased levels of acetylcholine in the synaptic cleft, thereby enhancing cholinergic neurotransmission. The cholinergic system is critical for cognitive processes such as memory and learning, which are typically impaired in Alzheimer's disease.

(B) NMDA Receptor Antagonists

Memantine belongs to the class of NMDA (N-methyl-D-aspartate) receptor antagonists. It acts by blocking NMDA receptors, which are involved in excitatory neurotransmission and synaptic plasticity. Overactivation of NMDA receptors by glutamate can lead to excitotoxicity, contributing to neuronal damage in Alzheimer's disease. Memantine's antagonistic action helps to regulate glutamate activity, thereby protecting neurons from excitotoxicity.

(C) Combination Therapies

The combination of memantine and donepezil leverages the distinct mechanisms of action of both drugs. While donepezil enhances cholinergic neurotransmission, memantine modulates glutamatergic activity. This synergistic approach aims to address multiple pathways involved in the pathophysiology of Alzheimer's disease, potentially offering enhanced therapeutic benefits compared to monotherapy.


It is recommended to consult the latest clinical guidelines and engage in ongoing professional development to ensure the most current and effective treatment strategies are employed in dementia care.

Written on October 21, 2024


Mental Status Levels

Integrated Descriptive and Feature-Based Classification (From Most Active to Least Active)

Level of Mental Status Description Awareness of Self/Surroundings Response to Verbal Stimuli Response to Painful Stimuli Purposeful Movement Sleep-Wake Cycle Any Communication Brainstem Reflexes
Alert Fully aware, oriented, and responsive; normal cognitive function. O O O O O O O
Delirium Disturbed attention and awareness with confusion, agitation, or hallucinations. O (Impaired) O (Confused) O O (Disorganized) O O (Disorganized) O
Lethargy (Drowsy) Reduced alertness; can be awakened easily, but responses are slow and subdued. O (Reduced) O (Slow) O (Slowed) O (Reduced) O O (Slower) O
Obtundation Significantly lowered alertness; moderate stimuli required to elicit a response. O (Markedly Reduced) O (Requires Effort) O (Requires Effort) O (Minimal) O O (Minimal) O
Stupor Profound unresponsiveness; only vigorous stimulation yields any limited response. X (Minimal) X (Requires Vigorous) O (With Strong Stimuli) X (Very Limited) O X (Very Limited) O
Semi-Coma Very deep unresponsiveness, deeper than stupor but not fully comatose. X (Very Minimal) X (Nearly None) X (Rare/Very Strong Stimuli) X (Nearly None) O X (None) O
Minimally Conscious State Minimal, inconsistent awareness; occasional, limited purposeful responses. X (Slight) X (Inconsistent) O (Occasional) O (Occasional) O O (Minimal) O
Vegetative State Presence of sleep-wake cycles without awareness; reflexive actions only. X X O (Reflexive Only) X (Reflexive Only) O X O
Coma Unarousable unconsciousness; no response to any type of stimulus. X X X X X X O
Brain Death Complete and irreversible loss of all brain function and activity. X X X X X X X

Suggested Communication Approach

When explaining these conditions, it is helpful to use simple, direct language and avoid overly technical terms. Highlighting what the individual can or cannot do (for example, whether they can open their eyes, respond to voices, or show any purposeful movement) allows for easier comprehension. Adopting a calm, supportive tone helps reduce anxiety and ensures that families and patients understand both the current situation and the potential implications for care and recovery.

Written on December 9th, 2024


Restless syndrome: Causes and coping methods (Written March 7, 2025)

Restless syndrome—often associated with restless legs syndrome—is a condition that leads to an uncontrollable urge to move certain parts of the body, typically the legs. This restlessness, which often intensifies during periods of inactivity or rest, can significantly disrupt daily life. A comprehensive review of causes, symptoms, and management strategies is provided below.

Underlying Cause Characteristics Recommended Interventions
Iron deficiency Lower-than-normal iron levels affecting dopamine function Iron supplementation and iron-rich diet
Chronic diseases Diabetes, kidney disease, autoimmune disorders Condition-specific management and medication
Medication-induced Certain antihistamines, antidepressants, and antipsychotics Adjusting doses or changing prescriptions
Peripheral neuropathy Nerve damage leading to heightened sensations Neuropathic pain management, physical therapy
Lifestyle factors Excess caffeine, alcohol, smoking, high stress Reduced substance intake, relaxation techniques

I. Overview

  1. Definition

    Restless syndrome is characterized by an uncomfortable or tingling sensation in the limbs, leading to an irresistible need for movement. Although the legs are most commonly affected, other parts of the body may also experience similar symptoms.

  2. Prevalence and significance
    • Common in various age groups, with a higher incidence in middle-aged to older adults.
    • Can interrupt sleep, reduce daytime productivity, and adversely impact overall quality of life.

II. Causes

  1. Neurological factors

    Imbalance in dopamine levels within the central nervous system is frequently associated with restless syndrome. Proper neurotransmitter regulation is crucial for smooth muscle control and movement coordination.

  2. Genetic predisposition

    A family history of restless syndrome has been observed in numerous cases, suggesting a genetic component. Early onset is especially correlated with inherited factors.

  3. Underlying medical conditions
    • Iron deficiency: Low iron levels in the brain can contribute to abnormal dopamine function.
    • Chronic diseases: Kidney disease, diabetes, and certain autoimmune disorders have been linked to symptoms of restlessness.
    • Peripheral neuropathy: Damage to peripheral nerves may amplify sensations that trigger restlessness.
  4. Lifestyle and external influences
    • Medication side effects: Some antihistamines, antidepressants, and antipsychotics may exacerbate restlessness.
    • Substance intake: Excessive caffeine, alcohol, and nicotine use can heighten symptoms.
    • Stress and anxiety: Emotional distress and prolonged psychological tension often intensify discomfort and restlessness.

III. Key symptoms

  1. Uncomfortable sensations
    • Tingling, itching, or crawling feelings in the lower limbs.
    • Urges for movement generally worsen during extended periods of inactivity.
  2. Sleep disruption
    • Onset or worsening of symptoms during the night.
    • Frequent awakenings and non-restorative sleep lead to daytime fatigue.
  3. Relief upon movement

    Temporary symptom alleviation is often experienced when walking, stretching, or shaking the affected area.

IV. Management strategies

  1. Lifestyle modifications
    • Healthy sleep habits: Adherence to consistent bedtimes and a relaxing nighttime routine can mitigate sleep disturbances.
    • Moderation of stimulants: Limiting caffeine, alcohol, and tobacco consumption lowers aggravating factors.
    • Physical activity: Mild to moderate exercise, such as stretching or low-impact aerobics, may alleviate symptoms. Overly intense workouts, however, are best approached with caution.
  2. Nutritional support
    • Balanced diet: Adequate intake of iron, folate, and magnesium is strongly recommended.
    • Dietary supplements: Professional consultation may determine the need for iron supplementation or vitamins.
  3. Medical interventions
    • Pharmacological therapy: Dopamine agonists and certain anti-seizure medications are frequently prescribed.
    • Addressing underlying conditions: Correcting iron deficiency or managing chronic diseases helps reduce restlessness.
    • Medication adjustments: Healthcare professionals may recommend altering existing prescriptions that intensify symptoms.
  4. Stress reduction techniques
    • Mindfulness and relaxation: Breathing exercises, meditation, or yoga may lessen psychological triggers.
    • Professional counseling: Therapy sessions help identify stress factors contributing to restlessness.

Written on March 7, 2025


Pharmacological Management of Sleep Disturbances and Delirium in Elderly Patients in LTCFs (Written March 26, 2025)

Elderly patients in long-term care facilities (LTCFs) commonly experience sleep disturbances or delirium. While non-pharmacological measures—such as optimizing the sleep environment, maintaining consistent sleep–wake schedules, and reducing nighttime noise—are always the first line, pharmacological therapy may be needed when these measures prove inadequate.

Due to altered metabolism, higher sensitivity, and polypharmacy concerns in older adults, clinicians must prescribe sedatives, hypnotics, and antipsychotics judiciously. The guiding principle is to use the lowest effective dose for the shortest duration, with frequent reassessment to minimize risks such as falls, respiratory depression, excessive sedation, and worsening confusion.

Classification of Medications (Mild to Severe)

Below is a general framework for medications used for insomnia or delirium in older adults, arranged roughly from those with milder effects and fewer side effects to agents reserved for more severe agitation or psychotic symptoms:

  1. Melatonin
  2. Low-dose Doxepin
  3. Trazodone
  4. Mirtazapine
  5. Zolpidem
  6. Benzodiazepines (e.g., alprazolam, lorazepam)
  7. Atypical Antipsychotics (e.g., quetiapine, risperidone, aripiprazole)
  8. Typical Antipsychotics (e.g., haloperidol)

Commonly Used Medications in LTCFs

Medication Typical Daily Dosage Range General Use Key Contraindications / Cautions Potential Side Effects
Melatonin 2 mg (prolonged-release) once daily at bedtime Mild insomnia; circadian rhythm regulation – Severe liver impairment
– Caution in autoimmune disorders
– Daytime sleepiness
– Headache
– Dizziness
Low-dose Doxepin 3–6 mg at bedtime Mild insomnia (especially sleep maintenance) – Narrow-angle glaucoma
– Urinary retention risk
– Sedation
– Anticholinergic effects (dry mouth, constipation)
– Orthostatic hypotension
Trazodone 25–100 mg at bedtime Mild insomnia; depression with insomnia – Concomitant MAOIs
– Cardiac disease (risk of QT prolongation)
– Orthostatic hypotension risk
– Sedation
– Orthostatic hypotension
– Dry mouth
– Priapism (rare)
Mirtazapine 7.5–15 mg at bedtime Off-label for insomnia; also depression with poor appetite – Severe hepatic impairment
– Caution in patients at risk for serotonin syndrome
– Sedation
– Increased appetite, weight gain
– Dizziness
Zolpidem 5–10 mg at bedtime Short-term management of insomnia – History of complex sleep behaviors (e.g., sleepwalking)
– Severe respiratory insufficiency
– Drowsiness
– Dizziness
– Potential for dependence and rebound insomnia
Alprazolam 0.25–0.5 mg up to three times daily or at bedtime (for sleep) Anxiety-related insomnia; short-term sedation – Severe respiratory insufficiency
– Acute narrow-angle glaucoma
– Caution in substance use disorder
– Sedation
– Confusion
– Risk of dependence and withdrawal
– Dizziness, falls
Lorazepam (PO/IV) PO: 0.5–2 mg at bedtime or in divided doses
IV: 0.5–2 mg (slow IV push)
Anxiety, acute agitation, short-term use in delirium – Severe respiratory insufficiency
– Myasthenia gravis
– Caution in severe hepatic/renal impairment
– Sedation
– Dizziness
– Risk of dependence
– Paradoxical agitation (rare)
Quetiapine 12.5–50 mg at bedtime (mild insomnia/delirium)
Up to 100 mg (or higher) for severe psychosis/agitation
Delirium with psychotic features; significant agitation; off-label for insomnia – Known QT prolongation
– History of neuroleptic malignant syndrome (NMS)
– Hypersensitivity
– Sedation
– Orthostatic hypotension
– Metabolic disturbances (weight gain, dyslipidemia)
Risperidone 0.25–1 mg daily (mild to moderate agitation)
Up to 2 mg daily (severe agitation/psychosis)
Delirium with psychotic symptoms; major agitation – Dementia-related psychosis (FDA caution)
– Severe hepatic/renal impairment
– Parkinson’s disease (caution)
– Extrapyramidal symptoms (EPS)
– Orthostatic hypotension
– Elevated prolactin levels
Aripiprazole 2–5 mg daily (initiate at 2 mg and titrate slowly) Delirium with psychotic features; alternative when sedation risk is high – Dementia-related psychosis caution
– Parkinson’s disease (may still pose EPS risk)
– History of NMS
– Akathisia (restlessness)
– Possible EPS
– Insomnia or sedation (varies)
– Metabolic changes
Haloperidol (PO/IM/IV) PO: 0.5–2 mg daily in divided doses (mild delirium/agitation); up to 5 mg in severe cases
IM/IV: 0.5–2 mg for acute severe agitation (may repeat carefully as needed)
Severe delirium, psychosis, or agitation unresponsive to other measures – Parkinson’s disease
– Lewy body dementia
– High risk of EPS & tardive dyskinesia
– Extrapyramidal symptoms (EPS)
– QT prolongation (higher risk IV)
– Anticholinergic effects
– Neuroleptic malignant syndrome (NMS)

Medications by Severity and Dosage Tiers

The table below provides a stepped approach based on symptom severity (mild insomnia to severe agitation/psychosis), with corresponding dosage ranges. Always start low and titrate slowly in elderly patients.

Medication Mild Presentation Moderate Presentation Severe Presentation
Melatonin 2 mg at bedtime
Low-dose Doxepin 3 mg at bedtime 6 mg at bedtime
Trazodone 25 mg at bedtime 50–75 mg at bedtime 100 mg at bedtime (rarely needed for insomnia alone)
Mirtazapine 7.5 mg at bedtime 15 mg at bedtime 15 mg or higher (caution: sedation, weight gain)
Zolpidem 5 mg at bedtime 10 mg at bedtime (short term) – (Generally not indicated for severe delirium/agitation)
Alprazolam 0.25 mg once or twice daily PRN 0.5 mg TID (short term for anxiety/agitation) – (Usually not first-line for severe agitation/delirium)
Lorazepam (PO) 0.5 mg at bedtime or PRN 1–2 mg/day in divided doses
Lorazepam (IV) 0.5–1 mg IV for acute agitation 2 mg IV (extreme agitation; close monitoring)
Quetiapine 12.5 mg at bedtime (mild insomnia/mild delirium) 25–50 mg at bedtime or split doses (moderate agitation/psychosis) 100 mg or higher (severe agitation; titrate cautiously)
Risperidone 0.25 mg daily 0.5–1 mg daily 2 mg daily (severe agitation/psychosis; monitor for EPS)
Aripiprazole 2 mg daily (initiate low) 2–5 mg daily (titration based on response) 5 mg or higher (severe agitation/psychosis; monitor for akathisia, EPS)
Haloperidol (PO) 0.5 mg in divided doses (mild delirium) Up to 2 mg/day in divided doses (moderate agitation/psychosis) 5 mg/day (severe cases; increased EPS risk)
Haloperidol (IM/IV) 0.5–1 mg for acute agitation (may repeat carefully) 2–5 mg for severe acute agitation; watch for QT prolongation, EPS

Written on March 26, 2025


Management of nocturnal “cat-like” vocalizations in a psychiatric inpatient (Written May 22, 2025)

🔍 Background and clinical concern

Nocturnal animal-like sounds may disturb ward milieu and sleep quality of fellow inpatients. Respectfully identifying the underlying mechanism precedes pharmacological changes, in order to avoid unnecessary dose escalation and to tailor supportive measures.

🧩 Differential considerations

1. Catathrenia (sleep-related expiratory groan)

2. Residual psychotic or mood symptoms

3. Drug-induced motor phenomena

4. Obstructive sleep apnoea (OSA) and weight-related airway narrowing

🪜 Recommended stepwise approach

Step Action Key notes
1 Obtain 1–3 nights of bedside audio–video monitoring Document timing, duration, and coupling with respiratory cycle.
2 Arrange PSG ± titration CPAP trial Rule out catathrenia and co-existing OSA.
3-A Confirmed catathrenia
  • Initiate auto-CPAP or fixed CPAP.
  • If partial response, consider bedtime clonazepam 0.25–1 mg (monitor falls).
3-B Psychiatric symptom persistence
  • Gradual increase aripiprazole → 15–20 mg or switch to risperidone/olanzapine.
  • For tic or tardive phenomena, reduce aripiprazole ≤ 5 mg; add propranolol 20–40 mg.
4 Optimise hypnotic regimen
  • Administer quetiapine 100 mg as single dose 30 min before sleep.
  • Titrate within 50–300 mg based on sedation and metabolic profile.
5 Environmental modifications Offer private room if feasible; provide earplugs or white-noise device to cotenants.

💊 Illustrative prescription (awaiting PSG; catathrenia suspected)

At bedtime
• Quetiapine 100 mg PO once daily
• Clonazepam 0.5 mg PO once daily PRN (maximum 7 nights)

Daytime
• Aripiprazole 10 mg PO once daily

⚠️ Monitoring and safety

📑 Summary

Prioritising careful differential diagnosis safeguards the patient from unwarranted antipsychotic escalation and preserves ward harmony. Stepwise assessment—objective sleep recording, polysomnography, judicious pharmacological adjustment, and environmental support—addresses the complaint with minimal iatrogenic risk. Continuous monitoring of cardiometabolic and neuromotor parameters remains essential throughout therapy optimisation. 🙏

Written on May 22, 2025


Night-time sedation assessment for acting-out patient (Written June 24, 2025)

The following review humbly integrates dosing-time information (HS, at bedtime; QE, every evening) into the previous analysis, lists the Korean brand names of behaviour-modifying agents, and evaluates proposed additional sedatives for their capacity to induce night-time sleep.:contentReference[oaicite:0]{index=0}

리페리돈정 0.5 mg (QE), 쎄로켈정 25 mg (QE 2 T + BID 1 T), 트리람정 0.25 mg (QE), 멀타핀정 15 mg (QE), 보령부스파정 5 mg (BID), 아리셉트정 5 mg (QE)

Ranked strength overview

Rank Generic ingredient Usual dose & timing* Pharmacologic class Principal behavioural / sedative effect Key notes
1 Risperidone 0.5 mg QE Atypical antipsychotic Reduces aggression & agitation; mild hypnotic at low dose Monitor EPS, QTc, metabolic indices:contentReference[oaicite:1]{index=1}
2 Quetiapine fumarate 25 mg × 2 QE + 25 mg BID Atypical antipsychotic Prominent H1-mediated sedation; curbs impulsivity Useful if EPS risk high; watch orthostasis:contentReference[oaicite:2]{index=2}
3 Triazolam 0.25 mg QE Short-acting benzodiazepine Rapid sleep induction Limit to ≤ 2 weeks to avoid rebound & dependence:contentReference[oaicite:3]{index=3}
4 Mirtazapine 15 mg QE NaSSA antidepressant Improves sleep & appetite; evening calming Track weight & sodium:contentReference[oaicite:4]{index=4}
5 Buspirone 5 mg BID (am & noon) 5-HT1A partial agonist Attenuates underlying anxiety Onset 1–2 wk; minimal sedation:contentReference[oaicite:5]{index=5}
6 Donepezil 5 mg QE AChE inhibitor Modest agitation reduction via cognition GI discomfort common:contentReference[oaicite:6]{index=6}

*HS = hour of sleep (bedtime); QE = quaque evening (every evening).

Pharmacologic summaries

Risperidone

  1. Dual D2/5-HT2A antagonist offering the strongest anti-aggression profile in this regimen.
  2. Evening dosing (QE) at 0.5 mg minimises daytime drowsiness yet calms nocturnal agitation.
  3. Caution: orthostatic hypotension, prolactin elevation, cerebrovascular risk.:contentReference[oaicite:7]{index=7}

Quetiapine fumarate

  1. Marked H1 binding induces sleep within 30–60 min after HS dosing.
  2. Split daytime tablets sustain anxiolysis and mood stabilization.
  3. Requires surveillance for metabolic syndrome and QT prolongation.:contentReference[oaicite:8]{index=8}

Triazolam

  1. Short half-life (≈ 2 h) achieves rapid sleep onset with minimal next-day hang-over.
  2. Risk of amnestic reactions and tolerance necessitates intermittent or short-course use.
  3. Avoid co-administration with strong CYP3A4 inhibitors.:contentReference[oaicite:9]{index=9}

Mirtazapine

  1. α2 antagonism and 5-HT2/3 blockade enhance slow-wave sleep and appetite.
  2. Evening 15 mg often suffices; higher doses may paradoxically reduce sedation.
  3. Monitor weight gain and serum sodium.:contentReference[oaicite:10]{index=10}

Buspirone

  1. Non-sedating; serves as adjunct to lower benzodiazepine demand.
  2. Delayed anxiolytic onset (1–2 wk) limits utility for acute agitation.
  3. Negligible abuse liability; favourable in polypharmacy.:contentReference[oaicite:11]{index=11}

Donepezil

  1. Primary cognitive benefits may secondarily lessen behavioural disturbances.
  2. Evening dosing mitigates daytime GI upset yet may cause vivid dreams; monitor tolerance.
  3. Effect on agitation is mild and gradual.:contentReference[oaicite:12]{index=12}

Comparison with proposed adjunct sedatives

Night-time sedative options

Option Intended dose & timing Expected onset / duration Relative hypnotic potency Safety highlights
Haloperidol 2.25 mg HS 30–60 min / 4–8 h Moderate High EPS & QT-c risk; limited hypnotic depth:contentReference[oaicite:13]{index=13}
Risperidone 3 mg HS 30–60 min / 6–12 h High (antipsychotic + sedative) Cerebrovascular caution in dementia:contentReference[oaicite:14]{index=14}
Lorazepam 1 mg PO BID 15–30 min / 6–8 h High for first 1–2 weeks Cognitive slowing, falls, tolerance in elderly:contentReference[oaicite:15]{index=15}
Lorazepam 2 mg IM HS 10–20 min / 6–8 h Very high (rapid & deep) Respiratory depression; monitor closely:contentReference[oaicite:16]{index=16}

Evaluation

  1. Risperidone 3 mg HS balances hypnotic depth with behavioural control; however, cerebrovascular and metabolic risks necessitate diligent monitoring.
  2. Lorazepam 2 mg IM HS provides the most rapid and profound sedation but carries the greatest risk of respiratory depression and delirium; reserve for severe, unmanageable agitation after other measures fail.
  3. Lorazepam 1 mg PO BID is suitable for anticipatory anxiety but may lose efficacy as tolerance develops; avoid long-term reliance.
  4. Haloperidol 2.25 mg HS offers antipsychotic control yet produces lighter sleep and higher extrapyramidal liability compared with atypical antipsychotics or benzodiazepines.

Recommendations

Written on June 24, 2025


Seizure Medications (Written March 28, 2025)

1. Sodium Channel Blockers

Medication Brand Names Typical Adult Dosing Indications (Ix) Contraindications (CIx) Common Side Effects Description
Lamotrigine Lamictal - Start 25 mg/day, titrate slowly to 100–200 mg/day
- Up to 400 mg/day in severe cases (slow titration crucial)
Focal and generalized seizures; also used in bipolar disorder Known hypersensitivity; caution when used with valproate (requires slower titration) Rash (including SJS/TEN), dizziness, headache, nausea Popular for broad coverage; well‐tolerated if titrated slowly; risk of serious skin rash
Oxcarbazepine Trileptal - 300 mg twice daily; titrate to 600 mg twice daily or higher as needed Focal (partial) seizures Hypersensitivity to oxcarbazepine or eslicarbazepine Dizziness, fatigue, nausea, hyponatremia, headache Similar to carbamazepine but with potentially fewer drug interactions; can cause hyponatremia
Carbamazepine Tegretol, Carbatrol - 200 mg twice daily; titrate to 800–1,200 mg/day Focal (partial) and tonic‐clonic seizures History of bone marrow suppression, certain arrhythmias, known hypersensitivity Dizziness, diplopia, ataxia, leukopenia, hyponatremia (SIADH), rash (SJS/TEN) Common first‐line for focal seizures; may exacerbate absence/myoclonic seizures
Lacosamide Vimpat - 100 mg twice daily; titrate to 200–300 mg twice daily Focal (partial) seizures Severe cardiac conduction disturbances (e.g., AV block) Dizziness, headache, nausea, PR interval prolongation, ataxia Available IV/PO; well‐tolerated; risk of cardiac conduction effects
Phenytoin Dilantin - Mild/Moderate: 300–400 mg/day in divided doses
- Status Epilepticus (Loading): 15–20 mg/kg (IV fosphenytoin often preferred)
Focal and generalized tonic‐clonic seizures; status epilepticus Sinus bradycardia, heart block, hypersensitivity to phenytoin Gingival hyperplasia, hirsutism, ataxia, nystagmus, rash (SJS/TEN), hypotension (IV), arrhythmias Classic agent for status epilepticus loading; narrow therapeutic index; monitoring levels is essential

2. Broad-Spectrum Anti-Seizure Medications

Medication Brand Names Typical Adult Dosing Indications (Ix) Contraindications (CIx) Common Side Effects Description
Gabapentin Neurontin - 900–1,800 mg/day in divided doses Adjunctive for focal (partial) seizures; neuropathic pain Severe renal impairment (dose adjustments), known hypersensitivity Drowsiness, dizziness, peripheral edema, weight gain Often add-on therapy; generally well-tolerated; useful for comorbid neuropathic pain
Pregabalin Lyrica - 150–600 mg/day in divided doses Adjunctive for focal (partial) seizures; neuropathic pain Severe renal impairment (dose adjustments), known hypersensitivity Drowsiness, dizziness, edema, weight gain Similar to gabapentin but with more predictable absorption; also used in neuropathic pain
Ethosuximide Zarontin - Absence seizures: 250 mg twice daily; titrate to 1,000–1,500 mg/day Absence seizures Known hypersensitivity GI upset (nausea, vomiting), lethargy, headache, potential blood dyscrasias Specific for absence seizures; lacks broad-spectrum coverage
Zonisamide Zonegran - 100 mg/day initially; titrate to 200–400 mg/day Adjunctive for focal (partial) seizures Hypersensitivity to sulfonamides, severe renal/hepatic impairment Somnolence, dizziness, kidney stones, weight loss, metabolic acidosis Sulfonamide derivative; must monitor for kidney stones and metabolic acidosis
Topiramate Topamax - 25–50 mg/day initially; titrate to 200–400 mg/day
- Up to 400 mg/day in severe scenarios
Focal and generalized tonic‐clonic seizures; migraine prophylaxis History of kidney stones, caution in glaucoma Cognitive slowing, weight loss, paresthesias, kidney stones, confusion Broad-spectrum; also used for migraine prophylaxis; can affect cognition
Eslicarbazepine Acetate Aptiom - 400–800 mg once daily; max ~1,200 mg/day Focal (partial) seizures (adjunct or monotherapy) Hypersensitivity to eslicarbazepine or oxcarbazepine Dizziness, somnolence, headache, nausea, hyponatremia Similar profile to oxcarbazepine; once‐daily dosing can improve adherence
Levetiracetam Keppra, Keppra XR - Mild/Moderate: 500–1,000 mg twice daily
- Severe: up to 1,500 mg twice daily; (IV loading ~2–4 g in status epilepticus)
Focal, generalized seizures, status epilepticus adjunct Known hypersensitivity Drowsiness, dizziness, mood changes, irritability Frequently used for broad‐spectrum coverage; minimal drug interactions
Brivaracetam Briviact - 50–100 mg/day in divided doses Focal (partial) seizures in patients ≥16 years Known hypersensitivity Dizziness, sedation, fatigue, possible psychiatric symptoms Similar to levetiracetam with potential for fewer behavioral side effects
Valproate (Valproic Acid) Depakote, Depakene, Epival - Mild/Moderate: 10–30 mg/kg/day in divided doses
- Status Loading: 20–40 mg/kg IV, then maintenance
Broad-spectrum (focal, generalized, absence seizures) Severe liver disease, urea cycle disorders, high teratogenicity risk Nausea, tremor, weight gain, hair loss, hepatotoxicity, thrombocytopenia One of the broadest spectrums; significant teratogenic risk; caution in women of childbearing potential
Vigabatrin Sabril - 500 mg twice daily initially; titrate to ~1,500 mg twice daily Refractory focal (partial) seizures, infantile spasms Pre‐existing vision issues, severe ocular conditions Visual field constriction, drowsiness, fatigue, psychiatric disturbances Risk of irreversible vision loss; used when other treatments have failed
Felbamate Felbatol - 1,200–3,600 mg/day in divided doses Severe refractory seizures (e.g., Lennox–Gastaut syndrome) History of blood dyscrasias or hepatic impairment; black box for aplastic anemia & liver failure Aplastic anemia, acute liver failure, GI upset, insomnia Reserved for refractory cases due to severe side effect profile

3. GABAergic Agents & Sedative Drugs

  1. Benzodiazepines (Commonly Used for Seizure Control & Sedation)

    Medication Brand Names Typical Adult Dosing Indications (Ix) Contraindications (CIx) Common Side Effects Description
    Clonazepam Klonopin - Mild/Chronic: 0.5–2 mg/day in divided doses
    - Moderate to Severe: up to ~4 mg/day in divided doses
    Absence seizures, myoclonic seizures, adjunct therapy Severe hepatic impairment, significant respiratory depression Sedation, dizziness, dependence, tolerance Often used for refractory absence or myoclonic seizures; has long half‐life
    Diazepam Valium - Acute Seizures: 5–10 mg rectal/IV; may repeat
    - Status Epilepticus: up to 0.15 mg/kg IV (max 10 mg/dose)
    Acute seizure cessation, initial management of status epilepticus Severe respiratory depression, myasthenia gravis Sedation, dizziness, respiratory depression, dependence Rapid onset; rectal formulation (Diastat) commonly used outside hospital
    Lorazepam Ativan - Status Epilepticus: 0.1 mg/kg IV (max 4 mg/dose), may repeat once First‐line IV benzodiazepine for status epilepticus Severe respiratory depression, myasthenia gravis Sedation, hypotension, respiratory depression, dependence Often considered first choice for status epilepticus if IV access is available
    Midazolam Versed - Status Epilepticus: 0.2 mg/kg IM or 0.1–0.2 mg/kg IV repeated as needed Status epilepticus (IM/IV/IN routes), sedation Severe respiratory depression Profound sedation, respiratory depression, hypotension (IV) Particularly useful if no IV access; intranasal/buccal routes for rapid absorption
  2. Barbiturates

    Medication Brand Names Typical Adult Dosing Indications (Ix) Contraindications (CIx) Common Side Effects Description
    Primidone Mysoline - Mild to Moderate: 100–125 mg at bedtime, titrate to 750–1,500 mg/day in divided doses Focal and generalized tonic‐clonic seizures Hypersensitivity to barbiturates Sedation, ataxia, nausea, vomiting, dizziness Metabolized partially to phenobarbital; used in select cases
    Phenobarbital Luminal, generic (common international name) - Mild to Moderate: 60–100 mg/day in divided doses
    - Status Epilepticus (IV Loading): 15–20 mg/kg
    Focal and generalized tonic‐clonic seizures; status epilepticus (often in resource‐limited settings) Severe respiratory depression, porphyria Sedation, cognitive impairment, respiratory depression, dependence, hypotension (IV) One of the oldest anti‐seizure agents; used globally, especially in cost‐constrained settings
  3. Other Sedative Adjunct

    Medication Brand Names Typical Adult Dosing Indications (Ix) Contraindications (CIx) Common Side Effects Description
    Clobazam Onfi - Mild to Moderate: 5–10 mg/day; titrate to ~20–40 mg/day Adjunct for Lennox–Gastaut; adjunct in various seizure types Severe hepatic impairment, significant respiratory depression Sedation, drooling, ataxia, dependence, tolerance Often used in pediatric epilepsy syndromes; longer half‐life than many benzodiazepines

4. Anesthetic Agents for Refractory Status Epilepticus

These agents are typically reserved for refractory status epilepticus and require ICU monitoring with continuous EEG.

Medication Brand Names Typical Adult Dosing Indications (Ix) Contraindications (CIx) Common Side Effects Description
Ketamine Generic (various) - Refractory SE Infusion: Start ~1–2 mg/kg/hr IV; titrate based on EEG/clinical response Super‐refractory status epilepticus, adjunct therapy Uncontrolled hypertension, elevated ICP Elevated BP, tachycardia, psychotomimetic effects, hypersalivation NMDA receptor antagonist; may help in difficult‐to‐control seizures, often combined with GABAergic drugs
Propofol Diprivan - Refractory SE Infusion: Start 5–10 mg/kg/hr IV; titrate to burst suppression or clinical control Refractory status epilepticus requiring deep sedation Hypotension, severe cardiac dysfunction Hypotension, bradycardia, respiratory depression, hypertriglyceridemia Rapid‐acting sedative‐hypnotic; frequent hemodynamic monitoring required
Pentobarbital Nembutal (older) - Loading: 5–15 mg/kg IV
- Maintenance: 0.5–5 mg/kg/hr infusion
Refractory status epilepticus requiring barbiturate coma Porphyria, severe respiratory depression Profound sedation, hypotension, respiratory depression, decreased GI motility, ileus Used if other IV sedatives fail; continuous EEG monitoring essential
Thiopental Pentothal (older) - Similar to pentobarbital (variable infusion rates to achieve burst suppression) Refractory status epilepticus requiring barbiturate coma Porphyria, severe respiratory depression Hypotension, respiratory depression, potential for arrhythmias, myocardial depression Barbiturate with rapid onset; requires close BP and cardiac monitoring

5. Recommendations by Clinical Scenario

Below is a quick‐reference guide that organizes treatments by severity. Dosing ranges are included for immediate bedside reference, though exact regimens may vary depending on patient weight, comorbidities, and institutional protocols.

  1. Mild to Moderate Seizures

    1. Initiate Oral Monotherapy
      • Levetiracetam (Keppra, Keppra XR): 500–1,000 mg twice daily; may go up to 1,500 mg twice daily
      • Valproate (Depakote): 10–30 mg/kg/day in divided doses
      • Lamotrigine (Lamictal): 25 mg/day initially, titrate to 100–200 mg/day
      • Carbamazepine (Tegretol): 200 mg twice daily, titrate to 800–1,200 mg/day
      • Topiramate (Topamax): 25–50 mg/day initially, titrate to 200–400 mg/day
    2. Adjunctive or Add-On Therapy
      • Gabapentin (Neurontin): 900–1,800 mg/day in divided doses
      • Pregabalin (Lyrica): 150–600 mg/day in divided doses
      • Clonazepam (Klonopin): 0.5–2 mg/day in divided doses if intermittent benzodiazepine needed
  2. Moderate to Severe Seizures

    1. Oral or Initial Intravenous Therapy
      • Valproate (Depakote IV): Loading 20–40 mg/kg, then 15–60 mg/kg/day
      • Levetiracetam (Keppra IV): Loading ~2–4 g, then 500–1,500 mg twice daily
      • Phenytoin (Dilantin) or Fosphenytoin: Loading 15–20 mg/kg; maintenance ~300–400 mg/day (phenytoin)
    2. Rapid Control with IV Benzodiazepines (as needed)
      • Lorazepam (Ativan): 0.1 mg/kg IV (max 4 mg/dose); may repeat once
      • Diazepam (Valium): 5–10 mg IV, may repeat; or 0.15 mg/kg in status settings
  3. Status Epilepticus

    1. First‐Line: Benzodiazepines
      • Lorazepam (Ativan): 0.1 mg/kg IV (max 4 mg/dose), may repeat once
      • If no IV access: Midazolam (Versed): 0.2 mg/kg IM (or intranasal/buccal), or Diazepam (Valium): 0.15 mg/kg rectal
    2. Second‐Line (After Benzodiazepines)
      • Fosphenytoin/Phenytoin (Dilantin): Loading 15–20 mg PE/kg IV
      • Valproate (Depakote IV): Loading 20–40 mg/kg
      • Levetiracetam (Keppra IV): Loading 2–4 g
    3. Refractory Status Epilepticus
      • Continuous infusions to achieve burst suppression (guided by continuous EEG):
        • Midazolam (Versed) Infusion
        • Propofol (Diprivan) Infusion
        • Pentobarbital/Thiopental
      • Ketamine infusion (1–2 mg/kg/hr) can be considered in super‐refractory cases

Written on March 28, 2025


Management of hiccups with pharmacotherapy (Written May 19, 2025)

딸꾹질(​hiccup, singultus)은 횡격막이 불수의적으로 수축하면서 성대가 급격히 닫혀 발생하는 특징적 “hic” 음을 동반하는 현상이다. 48 시간 이상 지속되면 persistent , 1 개월 이상이면 intractable 로 정의하며, 이 단계에서는 수면·섭식 장애, 흉복부 통증, 탈수·전해질 이상 등이 동반될 수 있어 약물치료가 권고된다.
근본 질환 교정이 최우선이나, 원인이 불명확하거나 교정 불가능할 때는 증상 완화를 위해 약물 요법을 시행한다. 약물 선택은 근거 수준·환자 기저질환·부작용 프로파일을 모두 고려하여 단계적으로 진행한다.

1차 선택 약물

💊 Baclofen (바클란 정)

대안·병용 가능 약제 한눈에 보기

💊 약제 용량·용법 Ix CIx 주요 부작용 설명
Chlorpromazine 25 – 50 mg PO/IV/IM q6–8 h (≤ 200 mg/일) FDA 승인 난치성 딸꾹질 CNS 억제, 중증 심혈관‧골수 억제 기립성 저혈압, 진정, 추체외로 증상 D 2 차단·진정 작용으로 횡격막 반사 억제
Metoclopramide 10 mg PO/IV q8 h (≤ 40 mg/일) 말초성(위식도 관련) 딸꾹질 장폐색, 위장관 출혈, 파킨슨병 졸림, 불안, EPS D 2 /5-HT 3 길항·위배출 촉진
Gabapentin 100 – 300 mg HS 시작 → 300 mg TID, 목표 0.9 – 2.4 g/일 중추병변·신부전 등 바클로펜 제한 시 중증 신부전(감량), 과민 반응 현훈, 체중 증가, 부종, 진정 Ca 2+ 채널 α 2 δ 서브유닛 결합, 신경 흥분 억제
Haloperidol 2 – 5 mg PO/IM q8–12 h (≤ 20 mg/일) 정신증 동반·다른 약제 실패 시 QT 연장, 파킨슨병, 중증 CNS 억제 EPS, QT 연장, 진정 D 2 강력 차단으로 중추 흥분 억제
Pregabalin 75 mg BID 시작 → 300 – 450 mg/일 목표 Gabapentin 불내성/효과 부족 시 중증 심‧신부전, 과민 반응 부종, 체중 증가, 진정, 어지럼 Ca 2+ 채널 α 2 δ 결합, 신경 흥분 억제
Valproic acid 250 mg TID → 15 mg/kg/일 간질·편두통 동반 환자 활동성 간질환, 임신 1분기 간독성, 췌장염, 체중 증가 GABA 농도↑; 증례 보고 기반
Nifedipine 10 mg PO TID PRN 고혈압·협심증 동반 중증 저혈압, 심부전 말초 부종, 두통, 안면 홍조 L-형 Ca 2+ 차단으로 횡격막 수축 억제 추정

투여 순서·병용 전략

  1. 원인 검색 – 구조적·대사성·약물성 요인 교정이 최우선.
  2. Baclofen 5–10 mg TID 로 시작, 필요 시 증량(신부전 감량).
  3. 불응 시 chlorpromazine, gabapentin, metoclopramide 중 환자 상태에 맞춰 추가·교체.
  4. 지속되면 haloperidol·pregabalin 등 2차 약제 고려, QT·신기능 모니터링.
  5. 약물치료 실패 시 phrenic/vagal block, 전기자극 등 시술적 방법 검토.

임상 적용 시 유의 사항

Written on May 19, 2025


Endocrinology


Diabetes Medications (Written December 15, 2024)

Medication Class Product Name Mechanism of Action Dosage (Typical) Indications Contraindications Side Effects Additional Details
Biguanides Metformin (Glucophage, Glucophage XR, others)
  • Inhibits hepatic gluconeogenesis by activating AMP-activated protein kinase (AMPK).
  • Enhances peripheral insulin sensitivity.
  • Increases glucose uptake in skeletal muscle.
  • 500 mg twice daily to 2000 mg/day (divided doses)
  • First-line therapy for Type 2 Diabetes Mellitus.
  • Favored in patients with overweight or obesity.
  • Suitable for patients with cardiovascular risk factors.
  • Renal impairment: eGFR < 30 mL/min/1.73 m².
  • Significant hepatic disease.
  • Acute conditions predisposing to lactic acidosis.
  • Common:
    • Nausea
    • Diarrhea
    • Abdominal discomfort
  • Serious:
    • Lactic acidosis
    • Vitamin B12 deficiency
  • Renal Considerations: Not indicated in patients with reduced renal function.
  • Weight neutrality or modest weight loss.
  • Requires monitoring of renal function and vitamin B12 levels periodically.
  • Should be taken with meals to reduce gastrointestinal side effects.
  • Contraindicated in patients with significant hepatic disease or acute conditions predisposing to lactic acidosis.
Sulfonylureas Glipizide (Glucotrol)
  • Stimulates insulin secretion from pancreatic β-cells.
  • Binds to SUR1 subunit of K_ATP channels, causing cell membrane depolarization and insulin release.
  • 5 mg once daily to 40 mg/day (depending on formulation)
  • Preferred for patients needing potent insulin secretagogues.
  • Beneficial when rapid onset is required.
  • Suitable for patients who can adhere to meal schedules.
  • Renal impairment: Increased risk of hypoglycemia.
  • Hypersensitivity to sulfonylureas.
  • Common:
    • Hypoglycemia
    • Weight gain
  • Less Common:
    • Dermatologic reactions
    • Gastrointestinal disturbances
  • Renal Considerations: Caution in patients with renal impairment.
  • Requires meals to prevent hypoglycemia.
  • Not recommended in patients with significant hepatic or renal impairment.
  • May require dose adjustment in elderly patients.
  • Regular monitoring of blood glucose levels is essential to minimize the risk of hypoglycemia.
Glyburide (Diabeta, others)
  • Stimulates insulin secretion from pancreatic β-cells.
  • Binds to SUR1 subunit of K_ATP channels, leading to insulin release.
  • 1.25 mg to 20 mg/day (depending on formulation)
  • Suitable for patients requiring long-acting insulin secretagogues.
  • Beneficial in patients at higher risk of nocturnal hypoglycemia.
  • Renal impairment: Increased risk of prolonged hypoglycemia.
  • Cardiovascular disease (with caution).
  • Common:
    • Hypoglycemia
    • Weight gain
  • Less Common:
    • Cardiovascular events
    • Dermatologic reactions
  • Renal Considerations: Increased risk of prolonged hypoglycemia in renal impairment.
  • Higher risk of hypoglycemia compared to other sulfonylureas, especially in elderly patients.
  • Should be used with caution in patients with renal or hepatic impairment.
  • Regular monitoring of blood glucose is necessary to adjust doses appropriately.
Glimepiride (Amaryl)
  • Binds to SUR1 receptor on pancreatic β-cells.
  • Causes closure of K_ATP channels, leading to membrane depolarization and insulin secretion.
  • Longer duration with lower hypoglycemia risk.
  • 1 mg to 8 mg/day
  • Preferred for patients needing effective glycemic control with lower hypoglycemia risk.
  • Beneficial for patients with irregular meal schedules due to longer action.
  • Renal impairment: Increased risk of hypoglycemia.
  • Hepatic impairment: Use with caution.
  • Hypersensitivity to sulfonylureas.
  • Common:
    • Hypoglycemia (less frequent)
    • Weight gain
  • Less Common:
    • Gastrointestinal disturbances
    • Allergic reactions
  • Renal Considerations: Use with caution in renal impairment due to increased hypoglycemia risk.
  • More favorable side effect profile regarding hypoglycemia compared to other sulfonylureas.
  • May be preferred in patients at risk of hypoglycemia or requiring once-daily dosing.
  • Regular blood glucose monitoring is essential to ensure efficacy and safety.
Meglitinides Repaglinide (Prandin)
  • Binds to SUR1 subunit of pancreatic β-cell K_ATP channels.
  • Causes rapid, short-term closure leading to insulin secretion.
  • Faster onset and shorter duration compared to sulfonylureas.
  • 0.5 mg before meals, up to three times daily
  • Ideal for patients with irregular meal times.
  • Suitable for those requiring flexible dosing schedules.
  • Appropriate for combination with metformin or other non-insulin agents.
  • Hypersensitivity to meglitinides.
  • Severe hepatic impairment.
  • Common:
    • Hypoglycemia (less severe than sulfonylureas)
    • Weight gain
  • Less Common:
    • Gastrointestinal disturbances
    • Dizziness
    • Headache
  • Renal Considerations: Dose adjustment may be necessary in renal impairment to prevent hypoglycemia.
  • Requires precise meal timing to maximize efficacy and minimize hypoglycemia risk.
  • May be taken up to three times daily with meals.
  • Suitable for patients who experience significant postprandial hyperglycemia.
  • Regular monitoring of blood glucose levels is recommended.
Nateglinide (Starlix)
  • Stimulates rapid, short-term insulin release by binding to SUR1 subunit of K_ATP channels on pancreatic β-cells.
  • Leads to insulin secretion.
  • 60 mg before meals, up to three times daily
  • Beneficial for patients needing control over postprandial glucose spikes.
  • Suitable for those requiring flexibility in meal timing.
  • Appropriate for combination therapy with other oral agents.
  • Severe hepatic impairment.
  • Hypersensitivity to meglitinides.
  • Pregnancy and breastfeeding.
  • Common:
    • Hypoglycemia (rare)
    • Weight gain
  • Less Common:
    • Headache
    • Dizziness
    • Gastrointestinal issues
  • Renal Considerations: Dose adjustment may be required in renal impairment to reduce hypoglycemia risk.
  • Offers flexibility in dosing with respect to meal timing.
  • Rapid onset and short duration may reduce hypoglycemia risk.
  • Requires patient education on meal planning to optimize therapeutic outcomes.
  • Regular monitoring is advised to ensure optimal glycemic control.
Alpha-Glucosidase Inhibitors Acarbose (Precose)
  • Inhibits intestinal α-glucosidases, delaying the breakdown and absorption of complex carbohydrates in the small intestine.
  • Reduces postprandial hyperglycemia.
  • 25 mg three times daily with the first bite of each main meal
  • Preferred for patients with postprandial hyperglycemia.
  • Suitable for those who can adhere to dietary modifications.
  • Appropriate for combination with other oral agents.
  • Inflammatory bowel disease.
  • Chronic intestinal disease with structural changes.
  • Inflammatory bowel disease.
  • Common:
    • Flatulence
    • Diarrhea
    • Abdominal pain
  • Less Common:
    • Bloating
    • Indigestion
  • Renal Considerations: Generally well-tolerated, but caution may be needed in patients with renal impairment.
  • Efficacy enhanced with strict adherence to a carbohydrate-controlled diet.
  • May require gradual dose titration to minimize gastrointestinal side effects.
  • Regular monitoring of digestive tolerance is necessary.
Miglitol (Glyset)
  • Inhibits intestinal α-glucosidases, slowing carbohydrate digestion and absorption.
  • Reduces postprandial blood glucose levels.
  • 25 mg three times daily with the first bite of each main meal
  • Suitable for managing postprandial hyperglycemia in Type 2 Diabetes Mellitus.
  • Preferred for patients who can manage dietary carbohydrate control.
  • Severe hepatic impairment.
  • Chronic intestinal disease with structural changes.
  • Hypersensitivity to miglitol.
  • Common:
    • Flatulence
    • Diarrhea
    • Abdominal pain
  • Less Common:
    • Nausea
    • Dizziness
  • Renal Considerations: Dose adjustment recommended in renal impairment to prevent accumulation and exacerbated side effects.
  • Shorter duration of action compared to acarbose, offering some flexibility in dosing schedules.
  • Requires patient education on dietary carbohydrate management to optimize therapeutic outcomes.
  • Monitoring of gastrointestinal tolerance is essential.
Thiazolidinediones Pioglitazone (Actos)
  • Acts as a PPAR-γ agonist, enhancing insulin sensitivity in adipose tissue, skeletal muscle, and liver.
  • Modulates gene expression related to glucose and lipid metabolism.
  • 15-45 mg/day
  • Preferred for patients with insulin resistance.
  • Suitable for those with non-alcoholic steatohepatitis (NASH).
  • Beneficial for patients at risk for cardiovascular events.
  • Appropriate for combination with other oral agents.
  • Active heart failure.
  • History of bladder cancer (with pioglitazone).
  • Severe hepatic impairment.
  • Common:
    • Weight gain
    • Edema
    • Increased risk of bone fractures
  • Serious:
    • Heart failure exacerbation
    • Bladder cancer risk (controversial)
  • Renal Considerations: May cause fluid retention, contraindicated in patients with active heart failure.
  • Improves lipid profiles by lowering triglycerides and increasing HDL cholesterol.
  • Requires monitoring for signs of heart failure and regular screening for bladder cancer in long-term use.
  • Not recommended for patients with NYHA Class III or IV heart failure.
Rosiglitazone (Avandia)
  • Acts as a PPAR-γ agonist, increasing insulin sensitivity in peripheral tissues.
  • Enhances glucose uptake and reduces insulin resistance.
  • 4-8 mg/day
  • Utilized for patients requiring significant improvement in insulin sensitivity.
  • Preferred for those who have not achieved glycemic control with other agents.
  • Suitable for combination therapy with other oral agents.
  • Active heart failure.
  • History of myocardial infarction or stroke.
  • Severe hepatic impairment.
  • Common:
    • Weight gain
    • Edema
    • Increased risk of bone fractures
  • Serious:
    • Cardiovascular risks (e.g., myocardial infarction)
    • Heart failure exacerbation
  • Renal Considerations: May induce fluid retention, contraindicated in heart failure patients.
  • Associated with increased cardiovascular risks, leading to restricted use in some regions.
  • Requires careful patient selection and monitoring for signs of heart failure and other adverse effects.
  • Regular liver function tests may be necessary.
DPP-IV Inhibitors Sitagliptin (Januvia)
  • Inhibits dipeptidyl peptidase-4 (DPP-IV) enzyme.
  • Prevents degradation of incretin hormones (GLP-1 and GIP).
  • Prolongs incretin action to increase insulin secretion and decrease glucagon release in a glucose-dependent manner.
  • 100 mg once daily
  • Preferred for patients seeking weight-neutral therapy.
  • Suitable for those with a low risk of hypoglycemia.
  • Appropriate for combination with most other oral agents, including metformin and SGLT-2 inhibitors.
  • History of pancreatitis.
  • Severe hepatic impairment.
  • Hypersensitivity to DPP-IV inhibitors.
  • Common:
    • Nasopharyngitis
    • Headache
    • Upper respiratory tract infections
  • Serious:
    • Pancreatitis (rare)
    • Joint pain
    • Hypersensitivity reactions
  • Renal Considerations: Dose adjustment required in severe renal impairment for some agents.
  • Generally weight-neutral with a low risk of hypoglycemia.
  • Suitable for elderly patients and those with a history of hypoglycemic episodes.
  • Monitoring for signs of pancreatitis and joint pain is recommended.
Saxagliptin (Onglyza)
  • Inhibits DPP-IV, increasing incretin levels.
  • Enhances insulin secretion and suppresses glucagon secretion in a glucose-dependent manner.
  • 5 mg once daily
  • Suitable for patients requiring effective glycemic control without weight gain.
  • Preferred for those combining with other oral antidiabetic agents.
  • Appropriate for patients seeking low hypoglycemia risk therapies.
  • History of pancreatitis.
  • Severe hepatic impairment.
  • Hypersensitivity to DPP-IV inhibitors.
  • Common:
    • Upper respiratory infections
    • Headache
    • Nasopharyngitis
  • Serious:
    • Pancreatitis (rare)
    • Acute renal failure
    • Hypersensitivity reactions
  • Renal Considerations: Dose adjustment necessary in moderate to severe renal impairment.
  • May slightly increase risk for heart failure hospitalization.
  • Patients should be monitored for signs of heart failure, especially those with existing cardiovascular conditions.
  • Regular renal function tests are advised.
Linagliptin (Tradjenta)
  • Inhibits DPP-IV enzyme.
  • Elevates incretin levels, enhancing insulin secretion and reducing glucagon release in a glucose-dependent manner.
  • 5 mg once daily
  • Ideal for patients with renal impairment.
  • Does not require dose adjustment in renal impairment.
  • Suitable for combination therapy with other oral antidiabetic agents.
  • History of pancreatitis.
  • Severe hepatic impairment.
  • Hypersensitivity to DPP-IV inhibitors.
  • Common:
    • Nasopharyngitis
    • Headache
    • Diarrhea
  • Serious:
    • Pancreatitis (rare)
    • Hypersensitivity reactions
    • Joint pain
  • Renal Considerations: No dose adjustment needed for renal impairment.
  • Convenient for patients with chronic kidney disease due to no dose adjustment requirement.
  • Reduces complexity of therapy in patients with renal issues.
  • Regular monitoring for pancreatitis and hypersensitivity is recommended.
SGLT-2 Inhibitors Dapagliflozin (Farxiga)
  • Inhibits sodium-glucose co-transporter 2 (SGLT-2) in the proximal renal tubules.
  • Reduces glucose reabsorption and increases urinary glucose excretion.
  • Lowers blood glucose and promotes weight loss and diuresis.
  • 10-20 mg once daily
  • Favored for patients with Type 2 Diabetes Mellitus.
  • Suitable for those with cardiovascular disease, heart failure, or chronic kidney disease.
  • Preferred for patients needing benefits beyond glycemic control.
  • Severe renal impairment.
  • History of Fournier’s gangrene.
  • Active bladder cancer.
  • Common:
    • Genital infections
    • Urinary tract infections
    • Increased urination
    • Dehydration
  • Serious:
    • Euglycemic diabetic ketoacidosis
    • Acute kidney injury
    • Fournier’s gangrene (rare)
  • Renal Considerations: Requires adequate renal function; less effective in severe renal impairment.
  • May confer cardiovascular and renal protective effects.
  • Monitoring for urinary and genital infections is essential.
  • Patients should maintain adequate hydration to prevent dehydration and renal complications.
  • Requires monitoring of renal function and electrolyte balance.
Ipragliflozin (specific regional name)
  • Inhibits SGLT-2 in the kidneys.
  • Enhances urinary glucose excretion, contributing to lower blood glucose levels.
  • Promotes weight loss and blood pressure reduction.
  • 50 mg once daily (varies by region)
  • Indicated for Type 2 Diabetes Mellitus patients requiring additional glycemic control.
  • Favored for those benefiting from weight loss and blood pressure reduction.
  • Suitable for combination with other oral agents.
  • Severe renal impairment.
  • History of Fournier’s gangrene.
  • Active bladder cancer.
  • Common:
    • Genital mycotic infections
    • Urinary tract infections
    • Increased urination
    • Dehydration
  • Serious:
    • Euglycemic ketoacidosis
    • Acute kidney injury
    • Necrotizing fasciitis of the perineum (Fournier’s gangrene)
  • Renal Considerations: Efficacy reduced in severe renal impairment; caution needed to avoid volume depletion.
  • Offers cardiovascular and renal benefits similar to other SGLT-2 inhibitors.
  • Educate patients on maintaining personal hygiene to reduce infection risk.
  • Advised to stay hydrated to prevent dehydration and renal complications.
  • Regular monitoring of renal function and electrolyte balance is recommended.
Empagliflozin (Jardiance)
  • Inhibits SGLT-2 in the renal proximal tubule.
  • Decreases glucose reabsorption and increases urinary glucose excretion.
  • Lowers plasma glucose and induces osmotic diuresis, promoting weight loss and lowering blood pressure.
  • 10-25 mg once daily
  • Preferred for patients with Type 2 Diabetes Mellitus.
  • Suitable for those with established cardiovascular disease, heart failure, or chronic kidney disease.
  • Favored due to proven cardiovascular and renal benefits.
  • Severe renal impairment.
  • History of Fournier’s gangrene.
  • Active bladder cancer.
  • Common:
    • Genital infections
    • Urinary tract infections
    • Increased urination
    • Dehydration
  • Serious:
    • Euglycemic diabetic ketoacidosis
    • Acute kidney injury
    • Fournier’s gangrene (rare)
  • Renal Considerations: Not recommended in patients with severe renal impairment; efficacy depends on adequate renal function.
  • Demonstrated significant reductions in cardiovascular mortality and hospitalization for heart failure.
  • Patients should be monitored for signs of dehydration, renal function, and potential urinary or genital infections.
  • Education on recognizing symptoms of ketoacidosis is essential despite its euglycemic nature.

Written on December 15th, 2024


Systematic Review of Cushing’s Syndrome and Cushing’s Disease (Written December 22, 2024)

Cushing’s syndrome is a clinical condition arising from prolonged exposure to excessive glucocorticoids. When the etiology lies in an adrenocorticotropic hormone (ACTH)-secreting pituitary adenoma, the condition is designated as Cushing’s disease. Although both terms are closely intertwined, Cushing’s disease represents a subset of Cushing’s syndrome, accounting for the majority of endogenous ACTH-dependent cases. A thorough understanding of the pathophysiology, differential diagnoses, clinical manifestations, and management strategies is fundamental for all physicians and healthcare professionals involved in patient care.

Differential Diagnosis and Classification

Cushing’s syndrome is broadly categorized based on the origin of hypercortisolism: primary (adrenal), secondary (pituitary), tertiary (hypothalamic), or exogenous (iatrogenic). The following sections provide a structured approach to differentiating these etiologies.

Parameter Primary (Adrenal) Secondary (Pituitary / Cushing’s Disease) Tertiary (Hypothalamic) Exogenous
Etiology
  • Adrenal adenoma
  • Adrenal carcinoma
  • Bilateral nodular hyperplasia
  • ACTH-secreting pituitary adenoma (Cushing’s disease)
  • Rarely, pituitary hyperplasia
  • CRH-secreting hypothalamic tumor
  • Excess CRH release from hypothalamus
  • Chronic administration of glucocorticoids (oral, IV, inhaled)
Cortisol ↑ (autonomous secretion) ↑ (secondary to high ACTH) ↑ (secondary to high ACTH, which is driven by high CRH) ↑ (exogenous supply)
ACTH ↓ (due to negative feedback from high cortisol) ↑ or Inappropriately N (lack of normal feedback suppression) ↑ (due to high CRH) ↓ (suppression of HPA axis)
CRH ↓ (hypothalamus suppressed by high cortisol) ↓ (if purely pituitary cause, hypothalamus is suppressed) ↑ (autonomous CRH release) ↓ (suppression of hypothalamic activity)
Clinical Features
  • Prominent cortisol excess signs
  • Adrenal mass on imaging
  • Often marked hypercortisolism
  • Classic Cushingoid features
  • Possible pituitary mass on MRI
  • Often mild hyperpigmentation if ACTH is very high (less common than in ectopic ACTH)
  • Similar to pituitary Cushing’s
  • May have more complex hypothalamic involvement (e.g., metabolic dysregulation, appetite changes)
  • Features overlap with endogenous hypercortisolism (moon facies, weight gain, etc.)
  • Often iatrogenic
Symptoms
  • Central obesity
  • Purple striae
  • Hypertension, osteoporosis
  • Hypokalemia less common than ectopic
  • May have mild androgen excess
  • Similar symptoms: buffalo hump, moon facies, easy bruising
  • Menstrual irregularities, decreased libido
  • May have mild hyperpigmentation (but less compared to ectopic)
  • Same as other forms of hypercortisolism
  • May have additional hypothalamic signs (e.g., altered appetite, thirst)
  • Similar cushingoid stigmata
  • Risk of iatrogenic complications (steroid-induced osteoporosis, etc.)
Management
  • Surgical resection of adrenal tumor (adrenalectomy)
  • Medical therapy if surgery is not feasible (ketoconazole, metyrapone, etc.)
  • Mitotane for adrenal carcinoma
  • Transsphenoidal resection of pituitary adenoma (first-line)
  • Medical therapy: ketoconazole, metyrapone, pasireotide, or cabergoline if surgery is not curative
  • Pituitary radiation if surgery fails or disease recurs
  • Resection of hypothalamic CRH-secreting lesion if identifiable
  • Medical therapy to control hypercortisolism (ketoconazole, metyrapone, etc.)
  • Consider pituitary or adrenal-directed therapies depending on severity
  • Taper and discontinue exogenous glucocorticoids if clinically appropriate
  • Use lowest effective dose to reduce iatrogenic hypercortisolism
  1. Primary Cushing’s (Adrenal Lesion)
    • Autonomously functioning adrenal adenoma, carcinoma, or bilateral nodular hyperplasia.
    • Characterized by elevated cortisol production independent of ACTH stimulation.
  2. Secondary Cushing’s (Pituitary Lesion) – Cushing’s Disease
    • ACTH-secreting pituitary adenoma (most common cause of endogenous Cushing’s syndrome).
    • Excessive ACTH drives bilateral adrenal hyperplasia and cortisol secretion.
  3. Tertiary Cushing’s (Hypothalamic Lesion)
    • Excess hypothalamic corticotropin-releasing hormone (CRH) secretion.
    • Leads to elevated pituitary ACTH and subsequent adrenal overproduction of cortisol.
  4. Exogenous Cushing’s (Iatrogenic)
    • Prolonged administration of exogenous glucocorticoids.
    • Most frequent overall cause of Cushing’s syndrome in clinical practice.

Clinical Presentation


Diagnostic Approach


Management

Management of Cushing’s syndrome depends on the underlying etiology and disease severity. Optimal care often involves a multidisciplinary team comprising endocrinologists, neurosurgeons, radiologists, and sometimes oncologists.


References

  1. Nieman LK et al. “The Diagnosis of Cushing’s Syndrome: An Endocrine Society Clinical Practice Guideline.” J Clin Endocrinol Metab. 2008.
  2. Newell-Price J et al. “Cushing’s Syndrome.” Lancet. 2006.
  3. Pivonello R et al. “Medical Treatment of Cushing’s Disease: Past, Present, and Future.” J Clin Endocrinol Metab. 2015.

Written on December 22th, 2024


<

Pharmacological Management of Thyroid Disorders (Written December 23, 2024)

Thyroid disorders are classified into two broad categories: hypothyroidism (underactive thyroid function) and hyperthyroidism (overactive thyroid function). The following sections provide a hierarchical overview of common pharmacological treatments, including indications, contraindications, side effects, and other essential considerations.

Medication Common Brand Names / Examples Indications Dosage Contraindications Side Effects Other Considerations Key Points
Levothyroxine (Synthetic T4) Synthroid, Euthyrox, Tirosint
  • Primary hypothyroidism
  • Secondary (pituitary) or tertiary (hypothalamic) hypothyroidism
  • Typical initial dose in otherwise healthy adults: 1.6 micrograms/kg/day
  • Lower initial dose (25–50 mcg/day) for older adults or those with cardiovascular disease
  • Dose adjustments based on TSH and clinical response (reassessed every 6–8 weeks)
  • Untreated adrenal insufficiency
  • Known hypersensitivity to levothyroxine
  • Signs of hyperthyroidism (e.g., palpitations, tremor) if overdosed
  • Rare allergic reactions
  • Ideally taken on an empty stomach, 30 minutes to 1 hour before breakfast
  • Avoid co-administration with calcium, iron, or antacids within 4 hours
  • Monitor TSH and free T4 regularly
  • Gold standard for hypothyroidism therapy
  • Careful in patients with pre-existing cardiovascular disease
Liothyronine (Synthetic T3) Cytomel
  • Short-term T3 replacement
  • Adjunct therapy in combination with levothyroxine for refractory cases
  • Initial dose: 25 mcg once daily
  • May be increased by 12.5–25 mcg/day every 1–2 weeks
  • Close monitoring of T3, TSH, and symptoms is essential
  • Uncorrected adrenal insufficiency
  • Untreated hyperthyroidism
  • Known hypersensitivity
  • Risk of hyperthyroidism with overdose
  • Cardiac arrhythmias, palpitations
  • Anxiety, insomnia
  • Shorter half-life and faster onset than levothyroxine
  • Used less frequently as monotherapy due to fluctuating hormone levels
  • Typically reserved for specific scenarios (e.g., myxedema coma)
  • Combination with T4 may be beneficial in selected patients
Natural Desiccated Thyroid (NDT) Armour Thyroid, Nature-Throid
  • Hypothyroidism in select patients who prefer a natural product or have not responded optimally to synthetic T4
  • Often started at 30 mg (½ grain) daily, with gradual titration
  • Known hypersensitivity to porcine or bovine-derived products
  • Untreated adrenal insufficiency
  • Hyperthyroid symptoms if dosage is excessive
  • Potential variability in potency
  • Contains both T4 and T3 in varying ratios
  • Higher potential for batch-to-batch variability
  • Some patients report subjective improvement
  • Clinical guidelines generally recommend synthetic T4 due to standardization
Methimazole Tapazole
  • Graves’ disease
  • Toxic multinodular goiter
  • Hyperthyroidism prior to radioactive iodine therapy or surgery
  • Initial dose: 15–60 mg/day in divided doses (depending on severity)
  • Maintenance dose: 5–15 mg/day
  • Known hypersensitivity
  • Caution in the first trimester of pregnancy (PTU is preferred)
  • Agranulocytosis (rare but serious)
  • Rash, pruritus
  • Hepatotoxicity (less common than PTU)
  • Periodically monitor complete blood count (CBC) and liver function
  • Avoid in first trimester of pregnancy if possible
  • First-line antithyroid drug for most patients with hyperthyroidism
  • Monitoring of TFTs guides dosage adjustments
Propylthiouracil (PTU) Generic (often referred to as PTU)
  • Patients intolerant to methimazole
  • First trimester of pregnancy when antithyroid therapy is necessary
  • Initial dosage: 100–300 mg/day in divided doses
  • Maintenance dosage: 50–150 mg/day
  • Known hypersensitivity
  • Hepatotoxicity (Black Box Warning)
  • Agranulocytosis (rare)
  • Rash, arthralgia
  • Inhibits peripheral conversion of T4 to T3
  • Requires more frequent dosing than methimazole
  • Reserved for special populations (e.g., first trimester of pregnancy)
  • Frequent liver function monitoring is essential
Beta-Blockers (Adjunctive Therapy) Propranolol, Atenolol
  • Symptomatic control in hyperthyroidism (palpitations, anxiety, tremors)
  • Thyrotoxic crisis (thyroid storm)
  • Propranolol: 10–40 mg every 6–8 hours (titration based on heart rate and symptom control)
  • Severe reactive airway disease (e.g., uncontrolled asthma)
  • Certain types of heart block
  • Bradycardia, hypotension
  • Fatigue, dizziness
  • Provides rapid symptomatic relief but does not alter underlying thyroid hormone production
  • Nonselective beta-blockers (e.g., propranolol) can reduce peripheral T4 to T3 conversion
  • Not curative but crucial for symptom management
  • Titration based on symptom control and heart rate
Potassium Iodide
(Lugol’s Iodine, SSKI)
Lugol’s Iodine, SSKI
  • Acute management of thyrotoxic crisis
  • Preoperative preparation for thyroidectomy (reduces gland vascularity)
  • Typical regimen: 3–5 drops (each drop ~6 mg iodine) orally 3 times daily
  • Known hypersensitivity to iodine
  • Metallic taste, GI upset
  • Hypersensitivity reactions (rash, angioedema)
  • Must be given at least 1 hour after antithyroid drugs to prevent new hormone synthesis
  • Effectiveness may wane due to “escape” phenomenon
  • Temporarily inhibits thyroid hormone release
  • Useful for reducing vascularity of the gland pre-surgery
Radioactive Iodine (I-131) N/A
  • Graves’ disease
  • Toxic adenoma
  • Multinodular goiter
  • Usually a single oral dose is sufficient
  • Some patients may require retreatment
  • Pregnancy and lactation (absolute contraindications)
  • Hypothyroidism over time (often needs levothyroxine replacement)
  • Mild neck tenderness
  • Rarely, sialadenitis
  • Selectively taken up by thyroid tissue, causing localized radiation damage
  • Radiation safety instructions are necessary (limited contact with others, especially children and pregnant individuals)
  • A definitive therapy for hyperthyroidism
  • Post-treatment hypothyroidism is common, requiring lifelong follow-up


Hypothyroidism is characterized by insufficient production of thyroid hormones. Treatment primarily involves thyroid hormone replacement to restore normal physiological levels.

1.1 Levothyroxine (Synthetic T4)

Feature Description
Common Brand Names Synthroid, Euthyrox, Tirosint
Dosage
  • Typical initial dose: 1.6 micrograms/kg/day (adults without comorbidities)
  • Lower initial dose (25–50 mcg/day) in older adults or those with cardiovascular disease
Indications
  • Primary hypothyroidism
  • Secondary (pituitary) or tertiary (hypothalamic) hypothyroidism
Contraindications
  • Untreated adrenal insufficiency
  • Known hypersensitivity to levothyroxine
Side Effects
  • Signs of hyperthyroidism if overdosed (e.g., palpitations, insomnia, tremors)
  • Rare allergic reactions
Other Considerations
  • Ideally taken on an empty stomach, 30 minutes to 1 hour before breakfast
  • Monitor TSH and free T4 levels at regular intervals
  • Avoid co-administration with calcium, iron, or antacids within 4 hours due to absorption interference
Key Points

1.2 Liothyronine (Synthetic T3)

Feature Description
Common Brand Names Cytomel
Dosage
  • Initial dose: 25 mcg once daily
  • May be increased by 12.5–25 mcg/day every 1–2 weeks
Indications
  • Short-term T3 replacement therapy
  • Adjunct therapy in combination with levothyroxine in certain refractory cases
Contraindications
  • Uncorrected adrenal insufficiency
  • Untreated hyperthyroidism
  • Known hypersensitivity
Side Effects
  • Risk of hyperthyroidism with overdose
  • Cardiac arrhythmias, palpitations
  • Anxiety, insomnia
Other Considerations
  • Has a shorter half-life and faster onset compared to levothyroxine
  • Used less frequently as monotherapy due to fluctuating hormone levels
Key Points

1.3 Natural Desiccated Thyroid (NDT)

Feature Description
Common Brand Names Armour Thyroid, Nature-Throid
Dosage
  • Often started at 30 mg (1/2 grain) daily, with gradual titration
Indications
  • Hypothyroidism in select patients who prefer a natural product or have not responded well to synthetic T4
Contraindications
  • Known hypersensitivity to porcine or bovine-derived products
  • Untreated adrenal insufficiency
Side Effects
  • Potential hyperthyroid symptoms if excessive dosage is used
  • Variability in potency may cause fluctuating thyroid hormone levels
Other Considerations
  • Composed of both T4 and T3 in varying ratios
  • Higher potential for batch-to-batch variability
Key Points


Hyperthyroidism results from excessive thyroid hormone production. Treatment options include antithyroid medications, adjunctive therapies such as beta-blockers, and definitive treatments like radioactive iodine ablation or surgical thyroidectomy.

2.1 Methimazole

Feature Description
Common Brand Names Tapazole
Dosage
  • Initial dosage: 15–60 mg/day in divided doses (depending on severity)
  • Maintenance dosage: 5–15 mg/day
Indications
  • Graves’ disease
  • Toxic multinodular goiter
  • Hyperthyroidism prior to radioactive iodine therapy or surgery
Contraindications
  • Known hypersensitivity
  • Caution in first trimester of pregnancy (propylthiouracil is preferred)
Side Effects
  • Agranulocytosis (rare but serious)
  • Rash, pruritus
  • Hepatotoxicity (less common than with PTU)
Other Considerations
  • Avoid in the first trimester of pregnancy if possible
  • Periodically monitor complete blood count (CBC) and liver function
Key Points

2.2 Propylthiouracil (PTU)

Feature Description
Common Brand Names Generally referred to as PTU (generic)
Dosage
  • Initial dosage: 100–300 mg/day in divided doses
  • Maintenance dosage: 50–150 mg/day
Indications
  • First trimester of pregnancy when antithyroid therapy is necessary
  • Patients intolerant to methimazole
Contraindications Known hypersensitivity
Side Effects
  • Hepatotoxicity (Black Box Warning)
  • Agranulocytosis (rare)
  • Rash, arthralgia
Other Considerations
  • Has additional peripheral action by inhibiting T4 to T3 conversion
  • Requires more frequent dosing than methimazole
Key Points

2.3 Beta-Blockers (Adjunctive Therapy)

Feature Description
Common Agents Propranolol, Atenolol
Dosage
  • Propranolol: 10–40 mg every 6–8 hours (titration based on heart rate and symptom control)
Indications
  • Symptomatic control in hyperthyroidism (palpitations, anxiety, tremors)
  • Thyrotoxic crisis (thyroid storm)
Contraindications
  • Severe reactive airway disease (e.g., uncontrolled asthma)
  • Certain types of heart block
Side Effects
  • Bradycardia, hypotension
  • Fatigue, dizziness
Other Considerations
  • Used for rapid symptomatic relief rather than a disease-modifying effect
  • Nonselective beta-blockers (e.g., propranolol) may reduce peripheral T4 to T3 conversion
Key Points

2.4 Potassium Iodide (Lugol’s Iodine, SSKI)

Feature Description
Common Brand Names Lugol’s Iodine, SSKI (Saturated Solution of Potassium Iodide)
Dosage
  • Typical regimen: 3–5 drops (each drop contains ~6 mg iodine), orally 3 times daily
Indications
  • Acute management of thyrotoxic crisis
  • Preoperative preparation for thyroidectomy (to reduce gland vascularity)
Contraindications Known hypersensitivity to iodine
Side Effects
  • Metallic taste, GI upset
  • Hypersensitivity reactions (rash, angioedema)
Other Considerations
  • Must be administered at least 1 hour after antithyroid drugs to prevent incorporation of iodine into new hormone synthesis
Key Points

2.5 Radioactive Iodine (I-131)

Feature Description
Indications
  • Graves’ disease
  • Toxic adenoma
  • Multinodular goiter
Mechanism Selective uptake by thyroid tissue, causing localized radiation damage and gradual destruction of thyroid cells
Contraindications Pregnancy and lactation (absolute contraindications)
Side Effects
  • Hypothyroidism over time (often requires levothyroxine replacement)
  • Mild neck tenderness
  • Rarely, sialadenitis
Other Considerations
  • Usually a single oral dose is sufficient, though some patients may require retreatment
  • Radiation safety instructions must be provided (limited contact with others, especially children and pregnant individuals)
Key Points

Written on December 23th, 2024


<

Modern Pharmacological Obesity Treatments (Written February 19, 2025)

Recent advances in pharmacological therapy have revolutionized obesity management. Many agents initially developed for diabetes mellitus—particularly glucagon-like peptide-1 (GLP-1) receptor agonists—are now approved or utilized off-label for weight reduction. In addition, central appetite suppressants, combination therapies, and emerging agents such as dual GIP/GLP-1 receptor agonists are expanding therapeutic options. This review provides an integrated discussion of these agents, encompassing clinical indications, contraindications, routes of administration, dosage schedules, side effects, and notable brand names.

Medication & Brand Category Route Typical Dosage & Duration Mechanism of Action Indications Key Side Effects Major Contraindications / Cautions
Liraglutide
(Saxenda for obesity;
Victoza for diabetes)
GLP-1 Receptor Agonist SC injection Obesity: Start 0.6 mg daily, titrate weekly to 3 mg.
Long-term use for weight management.
Enhances satiety,
slows gastric emptying
Adults with BMI ≥30,
or ≥27 + comorbidities
GI symptoms (nausea, diarrhea),
rare pancreatitis,
injection site reactions
Personal/family history of medullary thyroid carcinoma,
MEN 2,
hypersensitivity
Semaglutide
(Wegovy For obesity;
Ozempic/Rybelsus for diabetes)
GLP-1 Receptor Agonist SC injection
(Oral form for DM only)
Obesity: Start 0.25 mg weekly, titrate every 4 weeks up to 2.4 mg.
Long-term use for weight management.
Enhances satiety,
slows gastric emptying
Adults with BMI ≥30,
or ≥27 + comorbidities
GI symptoms (nausea, vomiting),
rare pancreatitis
Personal/family history of medullary thyroid carcinoma,
MEN 2,
hypersensitivity
SGLT2 Inhibitors
(e.g., Canagliflozin [Invokana],
Dapagliflozin [Farxiga],
Empagliflozin [Jardiance])
SGLT2 Inhibitors Oral tablets Diabetes: Varies by agent (e.g., canagliflozin 100–300 mg qd).
Used indefinitely if tolerated.
Increases urinary glucose excretion,
resulting in mild weight loss
Type 2 diabetes
(Off-label for obesity in selected cases)
Genitourinary infections,
volume depletion,
rare euglycemic DKA
Avoid in severe renal impairment,
monitor for hypotension,
possible risk of ketoacidosis
Tirzepatide
(Mounjaro)
Dual GIP/GLP-1 Receptor Agonist SC injection Diabetes: Start 2.5 mg weekly, titrate every 4 weeks.
Investigational for obesity,
long-term use anticipated.
Enhances insulin secretion,
reduces appetite and caloric intake
Adults with type 2 diabetes
(Potential future obesity indication)
GI symptoms (nausea, diarrhea),
potential pancreatitis
Similar to GLP-1 RAs (e.g., medullary thyroid carcinoma risk),
monitor for GI tolerance
Phentermine
(Adipex-P, Lomaira)
Central Appetite Suppressant Oral tablets
or capsules
Obesity: 15–37.5 mg daily,
typically up to 12 weeks.
Increases norepinephrine release,
leading to appetite suppression
Short-term obesity management
(BMI ≥30 or ≥27 + comorbidities)
Tachycardia, elevated BP,
insomnia, nervousness
Uncontrolled HTN,
CV disease,
hyperthyroidism,
MAOI use,
history of drug abuse
Phentermine + Topiramate
(Qsymia)
Central Appetite Suppressant Oral capsules Obesity: Titrate from low dose
(3.75/23 mg) to higher doses.
Long-term use if effective.
Norepinephrine release (phentermine),
+ satiety enhancement (topiramate)
Long-term obesity management
(BMI ≥30 or ≥27 + comorbidities)
Tachycardia,
insomnia,
paresthesia,
kidney stones (topiramate)
Similar to phentermine,
pregnancy (teratogenic risk),
caution with nephrolithiasis,
metabolic acidosis
Bupropion + Naltrexone
(Contrave)
Non-Controlled Appetite Suppressant Oral tablets Obesity: Gradual titration to
2 tablets twice daily.
Long-term use if beneficial.
Bupropion ↑ dopamine/norepinephrine,
naltrexone blocks opioid receptors
Long-term obesity management
(BMI ≥30 or ≥27 + comorbidities)
Nausea, constipation,
insomnia,
headache,
risk of seizures
Seizure disorders,
uncontrolled HTN,
chronic opioid use,
abrupt alcohol/benzo withdrawal

Overview of Pharmacological Options

  1. GLP-1 Receptor Agonists

    • Examples:
      • Liraglutide (Brand for obesity: Saxenda; for diabetes: Victoza)
      • Semaglutide (Brand for obesity: Wegovy; for diabetes: Ozempic, Rybelsus [oral form])

    These agents enhance satiety, slow gastric emptying, and promote weight loss. Liraglutide is administered via subcutaneous (SC) injection daily, whereas semaglutide is typically given once weekly (SC) for obesity indications. Both are indicated for adults with a body mass index (BMI) ≥30 kg/m² or ≥27 kg/m² with weight-related comorbidities. They are contraindicated in individuals with personal or family histories of medullary thyroid carcinoma or multiple endocrine neoplasia type 2 (MEN 2). Gastrointestinal side effects are the most common.

  2. SGLT2 Inhibitors

    • Examples: Canagliflozin (Invokana), Dapagliflozin (Farxiga), Empagliflozin (Jardiance)

    Originally indicated for type 2 diabetes, these oral medications induce glucosuria by blocking sodium-glucose cotransporter 2 in the proximal renal tubule, leading to modest weight reduction. Though less potent for weight loss compared to GLP-1 receptor agonists, they are sometimes used off-label in overweight or obese individuals, particularly those with coexisting type 2 diabetes. Main side effects include genitourinary infections and potential volume depletion.

  3. Dual GIP/GLP-1 Receptor Agonists

    • Example: Tirzepatide (Mounjaro)

    Recently approved for type 2 diabetes, tirzepatide acts on both glucose-dependent insulinotropic polypeptide (GIP) and GLP-1 receptors. Clinical trials demonstrate significant weight reduction, positioning it as a promising agent for obesity management pending additional regulatory approvals. It is administered via SC injection once weekly. Side effects overlap with those of GLP-1 receptor agonists, primarily gastrointestinal symptoms.

  4. Central Appetite Suppressants

    • Phentermine (Brand: Adipex-P, Lomaira)
    • Phentermine + Topiramate (Brand: Qsymia)

    Phentermine is a sympathomimetic amine (Schedule IV controlled substance in many regions) that stimulates norepinephrine release in the hypothalamus, reducing appetite. It is typically used short-term (up to 12 weeks). Combination with topiramate, an anticonvulsant with weight-loss properties, extends the duration of use and can enhance efficacy. These oral medications are indicated for individuals with a BMI ≥30 kg/m² or ≥27 kg/m² with comorbidities. Caution is warranted in patients with cardiovascular disease and hypertension. Topiramate carries a teratogenic risk.

  5. Non-Controlled Appetite Suppressant

    • Bupropion + Naltrexone (Brand: Contrave)

    Combines bupropion’s inhibition of dopamine and norepinephrine reuptake with naltrexone’s opioid receptor antagonism, reducing cravings and appetite. Indicated for long-term weight management in adults with obesity or overweight plus comorbidities. Contraindications include uncontrolled hypertension, seizure disorders, and chronic opioid use. Gastrointestinal upset, insomnia, and potential elevation in blood pressure are notable side effects.

Written on February 19, 2025


Nephrology


ESRD and GFR (Written March 21, 2025)

End-stage renal disease (ESRD) represents the final, irreversible stage of chronic kidney disease (CKD), in which renal function deteriorates severely, leading to significant morbidity and mortality. The glomerular filtration rate (GFR) is a key indicator of renal function and plays a central role in diagnosing CKD, classifying its stages, and determining the appropriate timing for renal replacement therapy such as dialysis.

I. Importance of GFR in renal function assessment

GFR measures how much blood the kidneys filter per unit time, usually expressed in milliliters per minute per 1.73 m² (mL/min/1.73 m²). A lower GFR indicates reduced kidney function. Multiple equations have been developed to estimate GFR from serum creatinine, age, sex, and other variables.

II. Common equations for estimated GFR (eGFR)

  1. Cockcroft-Gault formula

    $$\text{Creatinine Clearance} = \frac{(140 - \text{age}) \times \text{weight (kg)}}{72 \times \text{serum creatinine (mg/dL)}}$$

    Multiply by 0.85 if female.

    One of the earliest equations proposed for estimating creatinine clearance, which roughly correlates with GFR.

  2. Modification of Diet in Renal Disease (MDRD)

    $$\text{eGFR}_{\text{MDRD}} = 175 \times (\text{serum creatinine})^{-1.154} \times (\text{age})^{-0.203} \times (0.742 \text{ if female})$$

    Incorporates serum creatinine, age, and sex. More accurate at lower GFR levels but can underestimate kidney function in individuals with near-normal GFR.

  3. CKD-EPI

    For females:

    • If serum creatinine ≤ 0.7 mg/dL:

      $$\text{eGFR}_{\text{CKD-EPI}} = 144 \times \left(\frac{\text{serum creatinine}}{0.7}\right)^{-0.329} \times (0.993)^{\text{age}}$$

    • If serum creatinine > 0.7 mg/dL:

      $$\text{eGFR}_{\text{CKD-EPI}} = 144 \times \left(\frac{\text{serum creatinine}}{0.7}\right)^{-1.209} \times (0.993)^{\text{age}}$$

    For males:

    • If serum creatinine ≤ 0.9 mg/dL:

      $$\text{eGFR}_{\text{CKD-EPI}} = 141 \times \left(\frac{\text{serum creatinine}}{0.9}\right)^{-0.411} \times (0.993)^{\text{age}}$$

    • If serum creatinine > 0.9 mg/dL:

      $$\text{eGFR}_{\text{CKD-EPI}} = 141 \times \left(\frac{\text{serum creatinine}}{0.9}\right)^{-1.209} \times (0.993)^{\text{age}}$$

    An improved formula over MDRD, particularly in those with higher levels of kidney function, and widely recommended in clinical practice due to better accuracy across broader ranges of GFR.

Footnote: Additional adjustments for African American individuals are considered in some versions of these equations; however, these factors are not included in the above formulas, as the practice setting in Korea does not encounter such cases.

III. Classification of CKD stages by GFR

Chronic kidney disease is traditionally divided into five stages based on GFR, as shown in Table 1.

Stage GFR (mL/min/1.73 m²) Description
1 ≥ 90 Normal or high GFR with kidney damage
2 60 – 89 Mild decrease in GFR
3a 45 – 59 Mild to moderate decrease in GFR
3b 30 – 44 Moderate to severe decrease in GFR
4 15 – 29 Severe decrease in GFR
5 < 15 Kidney failure (ESRD)

IV. Indications for dialysis

Dialysis is typically indicated at Stage 5 or ESRD (GFR < 15 mL/min/1.73 m²). However, it may be initiated sooner if severe complications appear, such as:

Written on March 21, 2025


Laboratory evaluation and dialysis considerations in impending end‑stage renal disease (Written July 29, 2025)

I. Chronic kidney disease staging

Stage eGFR (mL/min/1.73 m²) Clinical description
1 ≥ 90 Kidney damage with preserved filtration
2 60 – 89 Mild reduction
3a 45 – 59 Moderate reduction (early)
3b 30 – 44 Moderate reduction (advanced)
4 15 – 29 Severe reduction
5 (ESRD) < 15 Kidney failure—dialysis or transplantation usually required

II. Baseline laboratory assessment on admission

Test panel / item Purpose & interpretation Suggested frequency
Basic metabolic panel
(BUN, Creatinine, Na⁺, K⁺, Cl⁻, HCO3⁻, Glucose)
Estimate eGFR, identify azotemia, electrolyte imbalance, and metabolic acidosis Daily until stable, then as clinically indicated
Calcium & Phosphate Detect mineral‑bone disorder; guide phosphate binder / vitamin D therapy Every 2–3 days during acute changes
Intact PTH Assess secondary hyperparathyroidism At admission and every 1–3 months
Albumin, Total protein Evaluate nutritional and oncotic status Weekly or if clinical concern
CBC with differential Screen for anemia, infection, platelet abnormalities Weekly, or more often if bleeding risk
Iron studies
(Serum iron, Ferritin, TIBC)
Define anemia etiology and iron supplementation needs Monthly or prior to ESA titration
HbA1c (in diabetes) Glycemic control evaluation Every 3 months
Lipid profile Cardiovascular risk stratification Baseline and annually
Urinalysis with ACR Quantify albuminuria; exclude infection or hematuria Baseline; repeat if clinically indicated
Arterial / venous blood gas Detect and quantify metabolic acidosis When HCO3⁻ < 22 mmol/L or symptomatic

III. Specialized tests for dialysis planning

IV. Initiation of renal replacement therapy

  1. Absolute indications

    • Refractory hyperkalemia (serum K⁺ ≥ 6.0 mmol/L despite medical therapy)
    • Severe metabolic acidosis (pH < 7.1 or HCO3⁻ < 10 mmol/L) unresponsive to bicarbonate
    • Persistent or worsening pulmonary edema / volume overload not controlled by diuretics
    • Uremic complications: pericarditis, encephalopathy, uncontrollable bleeding, intractable nausea / vomiting, severe pruritus
    • eGFR typically < 10 mL/min/1.73 m² in non‑diabetics or < 15 mL/min/1.73 m² in diabetics, when accompanied by any of the above
  2. Relative or early indications

    • Progressive decline of eGFR with malnutrition, sarcopenia, or cachexia
    • Recurrent hospitalizations for fluid or electrolyte disturbances
    • Difficult‑to‑control hypertension despite multi‑drug therapy
    • Planning for timely vascular access maturation
  3. Situations in which initiation may be deferred

    • Stable metabolic profile with eGFR > 10 mL/min/1.73 m² and absence of uremic symptoms
    • Potential for reversible acute kidney injury superimposed on chronic disease
    • In advanced frailty, end‑stage malignancy, or severe cognitive impairment, conservative management may be preferred after shared decision‑making.

V. Practical follow‑up recommendations

  1. Review laboratory trends at each clinical encounter, prioritizing potassium, bicarbonate, phosphorus, calcium, and hemoglobin.
  2. Maintain meticulous fluid balance charts and daily weights to anticipate volume overload.
  3. Refer early to a multidisciplinary kidney care team for education on modality options and access placement.
  4. Reassess dialysis indications whenever new symptoms, laboratory instability, or eGFR < 10 mL/min/1.73 m² arise.
  5. Document and revisit patient values and goals to align therapy with quality‑of‑life priorities.

Written on July 29, 2025


Dermatology


Seborrheic Dermatitis and Its Differential Diagnoses (Written January 7, 2025)

Seborrheic dermatitis is a chronic, relapsing inflammatory skin condition characterized by erythema, greasy scales, and pruritus. Although it is common in areas with numerous sebaceous glands (e.g., scalp, eyebrows, nasolabial folds), various other dermatological conditions can present with overlapping or similar features. A thorough knowledge of clinical presentation and access to appropriate treatment options—including local hospital products—are crucial for accurate diagnosis and management.

  1. Seborrheic Dermatitis: Characterized by greasy scales in sebaceous-rich areas. Management centers on reducing inflammation (low- to mid-potency steroids), controlling yeast overgrowth (antifungals), and maintaining skin barrier function (moisturizers).
  2. Differential Diagnoses:
    • Allergic & Irritant Contact Dermatitis: Identify and eliminate offending agents; use topical steroids or immunomodulators to control inflammation.
    • Atopic Dermatitis: Chronic relapsing condition with an atopic history; mainstay includes emollients and intermittent anti-inflammatory therapy.
    • Xerotic Eczema: Primarily dryness-driven; responds best to consistent moisturization and short steroid courses for flares.
    • Candidiasis: Satellite papules and moist erythema in skin folds; topical or oral antifungals as needed.
    • Drug Eruption & Photosensitivity: Critical to discontinue or substitute the offending drug; supportive care (topical steroids, antihistamines) may be necessary.
Condition Key Symptoms/Signs Commonly Affected Areas Diagnostic Clues Medication Options Local Hospital Products Dosage & Duration
Seborrheic Dermatitis
  • Greasy, yellowish scales or plaques
  • Mild to moderate erythema
  • Pruritus (variable intensity)
  • Scalp (dandruff in mild form)
  • Eyebrows, nasolabial folds, glabella
  • Behind the ears, external ear canal
  • Upper chest (sternal region)
  • Typically clinical diagnosis
  • Rarely requires biopsy
  • Must exclude psoriasis or fungal infections if atypical
  • Topical Antifungals (e.g., ketoconazole 2% shampoo/cream)
  • Topical Corticosteroids (low- to mid-potency)
  • Calcineurin Inhibitors (tacrolimus/pimecrolimus)
  • DesOwen Lotion (desonide) for mild inflammation
  • Betavate (betamethasone) for moderate inflammation
  • Mujonal Cream (if it contains an antifungal component)
  • Apply antifungal or steroid topically once or twice daily
  • Typical course: 2–4 weeks or until remission
  • Intermittent use for maintenance
Allergic Contact Dermatitis
  • Erythematous, pruritic rash
  • Possible blistering or weeping
  • May have well-demarcated borders
  • Often appears where skin contacts allergen (e.g., jewelry sites, cosmetic application areas)
  • Patch testing often confirms allergen
  • History of new cosmetic, jewelry, or topical agent
  • Topical Corticosteroids (low- to mid-potency)
  • Immunomodulators (severe cases)
  • Avoidance of confirmed allergen
  • DesOwen Lotion, Betavate for inflammatory control
  • Madecassol Combination Ointment if minor wounds or broken skin
  • Apply corticosteroid once or twice daily
  • Duration: 1–2 weeks or until lesion resolution
Irritant Contact Dermatitis
  • Dry, erythematous, cracked skin
  • Occasional burning sensation > itching
  • Fissuring in severe cases
  • Hands (repeated washing, chemical exposure)
  • Face (occupational or cosmetic irritants)
  • Exclusion of allergic cause
  • Direct history of irritant exposure
  • Improvement after avoidance
  • Topical Corticosteroids (low- to mid-potency)
  • Barrier Creams (protective emollients)
  • Emollients (frequent application)
  • LactiCare Lotion (moisturizing lotion)
  • DesOwen Lotion for mild steroid therapy
  • Apply barrier cream or emollient frequently
  • Corticosteroid once or twice daily for flare
  • Continue until skin barrier recovers
Atopic Dermatitis
  • Chronic pruritus, erythema, lichenification
  • Excoriations from scratching
  • May have seasonal or stress-related flares
  • Flexural surfaces (elbows, knees)
  • Neck, face, wrists
  • Infants: face, extensor surfaces
  • Personal or family history of atopy (asthma, allergic rhinitis)
  • Recurrent or chronic course
  • Topical Corticosteroids
  • Calcineurin Inhibitors (tacrolimus, pimecrolimus)
  • Emollients (maintenance)
  • DesOwen Lotion, Betavate (according to severity)
  • LactiCare Lotion (for hydration)
  • Steroid or calcineurin inhibitor once/twice daily
  • Emollient use multiple times daily
  • Maintenance for chronic management
Xerotic Eczema
  • Dry, scaly, itchy patches
  • Skin may appear cracked or fissured
  • Often worsens in cold, dry weather
  • Extremities (especially lower legs)
  • Arms, hands, trunk
  • Common in elderly patients
  • Aggravated by low-humidity climates
  • Improvement with adequate moisturization
  • Thick Emollients (petrolatum-based, lactic acid lotions)
  • Topical Steroids for acute flares
  • LactiCare Lotion for hydration
  • DesOwen Lotion for mild flares
  • Apply emollients multiple times daily
  • Short courses of topical steroid for flares
Candidiasis
  • Erythematous, moist patches
  • Satellite papules or pustules
  • May have maceration in skin folds
  • Intertriginous areas (axilla, groin, inframammary)
  • Genitals
  • Oral mucosa (thrush)
  • KOH prep or fungal culture
  • Clinical appearance (satellite lesions)
  • Topical Antifungals (e.g., clotrimazole, miconazole)
  • Oral Antifungals (fluconazole) if severe or extensive
  • Mujonal Cream (if it is an antifungal)
  • Silkron-G Cream (if combined steroid + antifungal)
  • Topical application 2–3 times daily
  • Continue 1–2 weeks or until clinical resolution
Drug Eruption
  • Sudden onset rash
  • Polymorphic appearance (maculopapular, urticarial, bullous)
  • Possible systemic involvement (fever, organ impairment) if severe
  • Can be widespread or localized
  • Depends on medication trigger
  • Temporal relationship with new drug
  • Resolution upon discontinuation
  • Possibly requires biopsy if atypical
  • Discontinuation of offending agent
  • Topical or systemic steroids (depending on severity)
  • Supportive Care (emollients, antihistamines)
  • DesOwen Lotion, Betavate for inflammatory lesions
  • Esroban Ointment (if secondary bacterial infection)
  • Varies widely
  • Typically improves over days to weeks after drug cessation
Drug-Induced Photosensitivity
  • Erythema or rash resembling sunburn
  • Possible eczematous or urticarial lesions in sun-exposed areas
  • Can be intensely pruritic
  • Face, neck, dorsal arms, backs of hands
  • Any photo-exposed region
  • Recent history of a photosensitizing medication
  • Phototesting if uncertain
  • Discontinue or switch offending medication
  • Sun protection (sunscreens, protective clothing)
  • Topical steroids if inflammatory
  • DesOwen Lotion, Betavate (if inflammatory response is significant)
  • Improves after avoidance of photosensitizer
  • Continue sun protection measures indefinitely

Written on January 7, 2025


Radiology


Pending CXR Examination (Written December 25, 2024)

1. Possible Phrasings

2. Notes

Choose the most suitable option based on the context and required level of de

Written on December 25th, 2024


Cross-Sectional Imaging Techniques for the Thorax (Written January 8, 2025)

Cross-sectional imaging has revolutionized thoracic diagnostics by providing detailed visualization of the lungs, mediastinum, vascular structures, and surrounding tissues. Common modalities include Computed Tomography (CT), Magnetic Resonance Imaging (MRI), and Ultrasound (US). Each modality has specific strengths, limitations, and optimal clinical applications. This document presents an integrated discussion of imaging planes, image interpretation, characteristic features of different modalities, and considerations for selecting the best imaging technique.

Parameter CT MRI T1-Weighted MRI T2-Weighted Ultrasound
Key Indications
  • Pulmonary nodules, masses, infections
  • Trauma evaluation (chest wall, lung)
  • Pulmonary embolism (CTPA)
  • Anatomical detail (chest wall, mediastinal fat)
  • Post-contrast imaging (gadolinium)
  • Fluid collections (effusions, cysts)
  • Inflammatory or edematous changes
  • Assessing pleural effusions, empyemas
  • Guidance for fluid drainage
Advantages
  • Fast acquisition, high spatial resolution
  • 3D reconstructions
  • Excellent for demonstrating fat and soft tissue interfaces
  • Better anatomical contrast than CT for certain tissues
  • Highly sensitive to fluid, edema, and inflammation
  • Cine imaging for dynamic motion (cardiac)
  • No radiation
  • Portable and real-time
Limitations
  • Ionizing radiation
  • Iodinated contrast risks
  • Longer scan times
  • Costly and less available than CT
  • Susceptible to motion artifacts
  • Not all patients tolerate MRI environment
  • Limited penetration through air or bone
  • Operator-dependent
Contraindications / Cautions
  • Pregnancy (relative; avoid if possible)
  • Severe renal insufficiency (contrast studies)
  • Metallic implants, pacemakers
  • Claustrophobia
  • Same as T1 (MRI environment restrictions)
  • Gadolinium caution in renal failure
  • Bone or air-filled areas limit utility
  • Obesity can reduce image quality

Imaging Planes: Axial, Sagittal, Coronal, and Oblique

  1. Axial (Transverse) Plane

    Oriented horizontally, dividing the body into superior (upper) and inferior (lower) parts.

    Chest CT images are conventionally viewed as if looking up from the patient’s feet (i.e., from below). The patient’s right side appears on the left side of the image.

  2. Sagittal Plane

    Divides the body into right and left portions.

    Useful for assessing anterior-to-posterior relationships within the thorax, such as the position of mediastinal masses relative to the sternum or vertebral column.

  3. Coronal Plane

    Splits the body into anterior (front) and posterior (back) segments.

    Aids in evaluating the lungs and mediastinal structures in a frontal perspective.

  4. Oblique Plane

    Any plane that deviates from the standard axial, sagittal, or coronal orientations.

    Employed to better delineate lesions or structures that follow complex trajectories (e.g., vascular or bronchial abnormalities).


Computed Tomography (CT) of the Chest

  1. Basic Principles

    CT imaging uses X-rays and computer processing to generate cross-sectional slices. Structures can be evaluated based on their Hounsfield Unit (HU) measurements, which quantify tissue density.

    Hounsfield Scale (Approximate Ranges)

    Tissue / Structure HU Value Comments
    Air (e.g., pneumothorax) ~ –1000 Most radiolucent
    Lung Parenchyma ~ –800 Varies with inflation and pathology
    Fat ~ –80 to –120 Subcutaneous or mediastinal fat
    Water 0 Reference point
    Muscle ~ +40 Soft tissue density
    Bone ~ +350 (can range +300 to +1000) Highly radiodense
    • Higher HU values indicate denser (more radiopaque) tissues (e.g., bone).
    • Lower (negative) HU values represent radiolucent (less dense) tissues or air (e.g., lung, pneumothorax).

    Window Settings in Chest CT

    • Lung Window: Optimized to visualize parenchymal detail (e.g., nodules, consolidation, interstitial patterns).
    • Mediastinal Window: Highlights mediastinal structures (e.g., heart, vessels, lymph nodes).
    • Bone Window: Enhances bony detail for detecting rib fractures or focal lesions in vertebrae.
  2. Advantages of CT

    • Rapid imaging with high spatial resolution, ideal for evaluating lung parenchyma, pleural abnormalities, and acute chest conditions.
    • Widely available and relatively straightforward to perform in most clinical settings.
    • Enables three-dimensional reconstructions for surgical planning or further analysis.
  3. Disadvantages of CT

    • Ionizing Radiation exposure.
    • Frequent use of iodinated contrast agents, which may pose risks for nephrotoxicity or allergic reactions in susceptible individuals.
  4. Common Indications and Contraindications for Chest CT

    Indications Contraindications / Cautions
    • Detection and characterization of pulmonary nodules, masses, or infections
    • Evaluation of pulmonary embolism (CT pulmonary angiogram)
    • Assessment of traumatic injuries to the chest wall, lungs, or mediastinum
    • Preoperative mapping for thoracic surgery
    • Severe contrast allergy or renal insufficiency (when contrast is indicated)
    • Concerns about radiation dose in pregnant patients or pediatric populations
    • Need to avoid iodinated contrast in hyperthyroidism or specific drug interactions

Magnetic Resonance Imaging (MRI) of the Chest

  1. Basic Principles

    MRI relies on the interaction of hydrogen nuclei with strong magnetic fields and radiofrequency pulses. Different pulse sequences emphasize various tissue properties such as fat, fluid, and blood flow. Unlike CT, MRI does not use Hounsfield Units; instead, tissue characterization is based on signal intensities, primarily determined by T1 and T2 relaxation times.

  2. T1-Weighted vs. T2-Weighted Imaging

    Sequence Key Characteristics Common Applications
    T1-Weighted
    • Fat appears bright (high signal)
    • Water/Fluid appears darker
    • Good anatomical detail
    • Evaluating normal anatomical structures
    • Assessing fat-containing lesions
    • Post-contrast imaging (e.g., gadolinium enhancement)
    T2-Weighted
    • Fluids (e.g., edema, cystic lesions) appear bright
    • Fat may appear relatively darker
    • Highlights fluid and inflammation
    • Identifying fluid collections, edema, inflammatory changes
    • Characterizing cystic lesions or pleural effusions
  3. Contrast Agents and Safety Considerations

    • Gadolinium-Based Contrast Materials: Used to enhance vascularity and tissue perfusion in MRI.
    • Advantages of MRI include the absence of ionizing radiation and avoidance of iodinated contrast, reducing certain risks associated with CT. However, gadolinium agents can be contraindicated in patients with severe renal dysfunction due to the risk of nephrogenic systemic fibrosis.
  4. Indications and Contraindications for Chest MRI

    Indications Contraindications / Cautions
    • Cardiac imaging: functional assessment of the heart in systole and diastole
    • Vascular and mediastinal tumors: delineation of vascular invasion and soft tissue detail
    • Assessment of complex chest wall or spinal involvement (e.g., Pancoast tumors)
    • Further characterization of indeterminate soft tissue lesions
    • Presence of certain metallic implants, pacemakers, or devices incompatible with strong magnetic fields
    • Claustrophobia or inability to remain still (though sedation or open MRI scanners may mitigate these issues)
    • Renal insufficiency when using gadolinium-based agents

Ultrasound (US) of the Chest

  1. Role of Ultrasound

    Ultrasound is less commonly employed for routine lung imaging because air-filled lung parenchyma impedes sound wave transmission. However, it is highly valuable for pleural assessments and other specific thoracic applications.

  2. Evaluating Pleural Effusions and Empyema

    • Ultrasound can differentiate transudates vs. exudates by comparing echogenicity relative to the liver or spleen.
    • Transudates often appear anechoic or hypoechoic (similar or slightly darker than liver).
    • Exudates or empyemas may show internal echoes, septations, or debris, indicating higher protein or cellular content.
    • Real-time guidance for thoracentesis or drainage makes ultrasound indispensable in managing pleural fluid collections.
  3. Advantages and Limitations

    • Advantages: No radiation, real-time imaging, portability (e.g., bedside use), excellent for fluid assessment and guided interventions.
    • Limitations: Air in the lungs and bony structures limit visualization of deeper thoracic structures.

Best Imaging Modality for Specific Clinical Scenarios

  1. Pleural Effusion

    Ultrasound is highly sensitive for detecting and characterizing pleural fluid, guiding thoracentesis, and differentiating between transudates and exudates.

  2. Tumor Invading the Mediastinum

    MRI is often preferred for superior soft tissue delineation and assessment of tumor invasion into mediastinal structures, major vessels, or the spine.

  3. Assessment of Heart in Systole and Diastole

    MRI offers detailed cine sequences to visualize cardiac function dynamically.

    CT can provide gated images of the heart but typically relies on rapid data acquisition rather than continuous real-time evaluation.

Written on January 7, 2025


Differentiating Alveolar and Interstitial Changes in General (Written January 8, 2025)

Understanding the distinction between alveolar (often referred to as radiolucent under normal conditions but appearing radiodense when filled with fluid or exudate) and interstitial (commonly described as radiodense when thickened) lung changes is essential in interpreting chest imaging findings and guiding clinical management. Alveolar and interstitial patterns manifest differently on radiographs or computed tomography (CT) scans and are associated with distinct pathological processes, most notably alveolar pneumonia vs. interstitial pneumonia or alveolar consolidation vs. interstitial thickening.

Feature Alveolar (Airspace) Pattern Interstitial Pattern
Appearance on X-ray/CT Fluffy, confluent opacities; air bronchograms Linear, reticular, or reticulonodular markings
Primary Location Alveolar spaces filled with exudate/fluid Alveolar walls, septa, connective tissue
Radiodensity Radiodense when alveolar spaces are filled Radiodense lines or nets within lung interstitium
Clinical Examples Lobar pneumonia, pulmonary edema, hemorrhage Interstitial pneumonia, pulmonary fibrosis, edema
Onset Often acute Often subacute or chronic
Typical Symptoms Productive cough, acute fever, localized signs Progressive dyspnea, dry cough, diffuse findings

I. Alveolar Region and Alveolar (Airspace) Changes

  1. Normal Appearance of Alveoli
    • The alveoli are typically air-filled, creating a radiolucent appearance on standard chest radiographs.
    • Under normal conditions, the alveolar walls and spaces are not individually visible because of their thin structure and the dominance of air.
  2. Alveolar (Airspace) Opacification
    • When alveoli become filled with fluid, pus, blood, or cells (e.g., in pneumonia, hemorrhage, or edema), they appear more radiodense (opaque) on imaging.
    • Alveolar opacification often presents as fluffy, confluent, or homogeneous densities that may obscure normal anatomic landmarks, such as vascular markings or airway outlines.
  3. Alveolar Pneumonia (Consolidation)
    • Pathophysiology: Characterized by an infectious or inflammatory process within the alveolar spaces. Exudate accumulates in the alveoli, reducing air content and increasing radiodensity on imaging.
    • Radiological Features:
      • Homogeneous or segmental consolidations.
      • Air bronchograms (air-filled bronchi made visible by surrounding alveolar opacification).
    • Clinical Correlation: Often presents with acute symptoms (fever, productive cough, and localized auscultatory findings).
  4. Alveolar Consolidation
    • Definition: Consolidation refers to the filling of alveolar spaces with fluid or cells, leading to increased density.
    • Imaging Appearance:
      • Lobar or segmental distribution of opacities.
      • Tendency to have clearly demarcated borders correlating with anatomical lung segments.

II. Interstitial Region and Interstitial (Supporting Framework) Changes

  1. Normal Interstitium
    • The interstitium consists of alveolar septa, connective tissue, and the supporting framework of the lung.
    • Under normal conditions, it contributes subtle linear markings without forming dense, reticular, or nodular patterns on standard chest radiographs.
  2. Interstitial Thickening (Radiodense)
    • Thickening or infiltration of the interstitial tissues (by fluid, fibrosis, or inflammatory cells) increases radiodensity in a linear, reticular, or reticulonodular pattern.
    • Unlike alveolar consolidation, the airspace is generally preserved, so air bronchograms are less common.
  3. Interstitial Pneumonia
    • Pathophysiology: Involves inflammation primarily within the interstitial and alveolar wall regions rather than the alveolar spaces.
    • Radiological Features:
      • Reticular or reticulonodular markings.
      • Ground-glass opacities on CT scans.
      • More diffuse involvement, often bilateral, reflecting widespread interstitial inflammation.
    • Clinical Correlation: Symptoms may be more chronic or subacute (e.g., progressive dyspnea, a dry cough, and diffuse auscultatory findings).
  4. Interstitial Thickening
    • Definition: Thickening of alveolar septa or interstitial tissues by edema, fibrotic changes, or infiltration.
    • Imaging Appearance:
      • Linear septal lines (Kerley B lines).
      • Ground-glass changes on high-resolution CT.
      • “Honeycombing” in fibrotic conditions.

III. Clinical and Diagnostic Implications

  1. Alveolar Pneumonia vs. Interstitial Pneumonia
    • Alveolar pneumonia: Typically caused by bacteria (e.g., Streptococcus pneumoniae) presenting with lobar consolidation and acute symptoms.
    • Interstitial pneumonia: More commonly associated with viruses, atypical bacteria, or chronic processes (e.g., Mycoplasma, fungi, or idiopathic pulmonary fibrosis), presenting with a more gradual onset.
  2. Alveolar Consolidation vs. Interstitial Thickening
    • Alveolar consolidation: Rapidly developing opacities that can obscure vascular markings, often associated with exudative processes.
    • Interstitial thickening: Progressive radiodensities in linear or reticular patterns suggesting fibrosis or infiltrative disease.
  3. Treatment Considerations
    • Alveolar (Consolidation) Processes: Require treatments targeting the cause (e.g., antibiotics for bacterial pneumonia, diuretics for edema).
    • Interstitial Processes: Often managed with anti-inflammatory agents (corticosteroids), immunosuppressants, or supportive measures, depending on the underlying etiology.
  4. Prognostic Differences
    • Alveolar disorders can often resolve completely if treated appropriately.
    • Interstitial disorders (particularly fibrotic changes) may result in permanent structural lung alterations if not addressed early.

Written on January 7, 2025


Radiographic Differentiation of Interstitial and Alveolar Lung Diseases (Written January 8, 2025)

Lung parenchyma is broadly divided into two key components: the interstitium (supporting structures such as arteries, veins, and bronchi) and the alveoli (air sacs). On a normal chest radiograph (CXR), these structures manifest distinct appearances that help differentiate various pulmonary pathologies—primarily interstitial lung disease versus alveolar (airspace) filling disease.


Normal Lung Anatomy and Radiographic Appearance

Interstitium

Alveoli

Normal Radiographic Signs



Feature Interstitial Disease Alveolar (Airspace) Filling Disease
Visibility of Pulmonary Vessels Prominent, often more numerous or distorted Diminished or obscured within the consolidated areas
Lung Aeration Maintained (alveoli remain air-filled) Reduced or absent in involved regions (alveoli filled with fluid)
Air Bronchogram Rarely visible Often present (unless bronchi are also filled with fluid)
Silhouette Sign Not typical, as aerated lung usually surrounds vessels and mediastinal borders Common, especially if consolidation abuts the heart, diaphragm, or aortic arch
Disease Pattern Reticular, nodular, or reticulonodular; in chronic cases, shows distortion or honeycombing Homogeneous or patchy consolidation, may exhibit air bronchograms and silhouette sign
  1. Interstitial Lung Disease

    Thickening or alteration of the supporting structures (bronchi, vessels, connective tissue) while alveoli typically remain aerated. Lungs appear aerated, yet pulmonary markings are increased in number, prominence, or distortion.

    1. Acute vs. Chronic Interstitial Disease

      • Acute Interstitial Changes:
        • Markings appear hazy or ill-defined.
        • No significant angular or irregular distortions of vessels.
      • Chronic Interstitial Changes:
        • Markings are sharp, well-defined, and distorted (e.g., angular, bowed, or irregular).
        • May exhibit characteristic findings such as honeycombing or other fibrotic patterns.
    2. Types of Interstitial Patterns

      1. Reticular (Linear) Pattern
        • Appears as a network of fine lines.
        • May progress to coarse reticulation or honeycombing in chronic stages.
      2. Nodular Pattern
        • Manifests as discrete nodular densities scattered throughout the lungs.
        • Can be focal, multifocal, or diffuse.
      3. Reticulonodular Pattern
        • Combination of both linear and nodular changes.
    3. Silhouette and Air Bronchogram in Interstitial Disease

      • Silhouette Sign: Typically absent because aerated alveoli remain interposed between pulmonary vessels and adjacent structures (e.g., diaphragm, heart, aorta).
      • Air Bronchogram: Rarely seen, since the bronchi are still surrounded by aerated lung tissue.
  2. Alveolar (Airspace) Filling Disease

    Filling of alveoli by fluid, exudate, or other material, replacing the normal air content. Portions of the lung appear opaque, obscuring the underlying vascular markings in those areas.

    1. Radiographic Characteristics

      1. Reduced Visibility of Vessels in the consolidated regions.
      2. Homogeneous or Patchy Opacification indicating alveolar filling.
      3. Air Bronchogram Sign
        • Often present because bronchi remain air-filled while the surrounding alveoli are opacified with fluid/disease.
        • Absent if the bronchi themselves are also filled with fluid.
      4. Silhouette Sign
        • Present when consolidated (water-density) alveoli are in direct contact with adjacent water-density structures (e.g., heart border, diaphragm, aorta).
        • Absent if the consolidation does not physically contact a structure of similar density.
    2. Multifocal Alveolar Disease

      Small, multiple areas of alveolar consolidation may not consistently demonstrate air bronchograms (especially if bronchi are filled or if the area of consolidation is too small). The silhouette sign appears only when consolidation abuts a known anatomical border.


Key Radiographic Signs

  1. Silhouette Sign
    • Loss of the normal interface between the lung and adjacent structures when both become the same radiographic density.
    • Typical of alveolar consolidation abutting the heart border, diaphragm, or aortic knob.
    • Rare in interstitial disease because some aerated lung typically remains at the interface.
  2. Air Bronchogram
    • Visualization of air-filled bronchi within an opaque (consolidated) lung field.
    • Characteristic of alveolar filling disease when bronchi remain patent.
    • Uncommon in interstitial disease because surrounding alveolar spaces are still air-filled.
  3. Hyperinflation
    • Diaphragms appear flattened and depressed to or below the 10th posterior rib.
    • Often noted in emphysema, sometimes accompanied by visible bullae (lucent areas devoid of normal lung markings).

Additional Considerations

Written on January 8, 2025


Radiographic Features of Interstitial and Alveolar Pneumonia (Written January 8, 2025)

This document provides a comprehensive overview of the characteristic chest X-ray (CXR) findings associated with interstitial and alveolar pneumonia, along with guidance on interpreting related radiological terminology. The purpose is to offer a refined, systematic, and professional reference for clinicians and radiologists.

Feature Alveolar Pneumonia Interstitial Pneumonia
Primary Radiographic Pattern Homogeneous or patchy alveolar opacities (consolidation, air bronchograms, silhouette sign) Reticular, nodular, or reticulonodular changes (septa thickening, fine linear densities)
Lung Volumes May be reduced in severe consolidation Often preserved, even if opacities are present
Terminology Clues Increased infiltration and consolidation” → alveolar filling “Increased radiopacity” in a diffuse, lattice-like or nodular fashion → interstitial involvement

Alveolar Pneumonia

Alveolar pneumonia involves the airspaces (alveoli) becoming filled with fluid, inflammatory cells, or exudates. On CXR, this process typically presents as more homogeneous or patchy opacities, often with characteristic signs such as air bronchograms or silhouette signs.

  1. Lobar Consolidation
    Dense homogeneous opacity in the right lower lobe, obliterating the right hemidiaphragm contour, consistent with alveolar consolidation.

    A well-demarcated, dense opacity that replaces air in the affected lobe, frequently obscuring adjacent anatomical borders.

  2. Patchy Airspace Opacities
    Bilateral patchy alveolar infiltrates with air bronchograms, more pronounced in the mid-lung fields, suggestive of multifocal pneumonia.

    Patchy areas of increased density with visible air-filled bronchi (air bronchograms) are typical of alveolar filling processes.

  3. Silhouette Sign
    Ill-defined opacity in the left lower zone obscuring the left heart border, indicating alveolar involvement with a positive silhouette sign.

    The loss of the normal interface between the lung and adjacent structures (e.g., heart border or diaphragm) supports alveolar consolidation in that region.

Interstitial Pneumonia

Interstitial pneumonia primarily involves the interstitial structures of the lung, such as the alveolar septa and the interlobular septa. On CXR, the hallmark is a reticular, nodular, or reticulonodular pattern rather than dense, homogeneous opacities.

  1. Diffuse Reticular Pattern
    Bilateral fine reticular opacities predominantly in the lower zones, with preserved lung volumes, suggestive of an interstitial process.

    This description underscores subtle, thread-like opacities extending across both lungs, often sparing normal lung volumes.

  2. Septal Thickening
    Prominent interlobular septal lines and mild perihilar reticulation, consistent with an interstitial pneumonia pattern.

    Thickening of the septa creates linear densities throughout the lung fields, reflecting an underlying interstitial process.

  3. Reticulonodular Opacities
    Diffuse reticulonodular opacities without significant consolidation; interstitial pneumonia should be considered.

    A combination of fine linear and nodular lesions scattered throughout the lung parenchyma suggests the possibility of interstitial pneumonia.

Radiographic Terminology

  1. Increased Infiltration

    Refers to the filling of alveolar spaces by fluid, exudate, or cells, commonly encountered in alveolar processes such as pneumonia or pulmonary edema.

    • Typically associated with alveolar processes.
  2. Increased Radiopacity

    • Alveolar Pattern: Radiopacity arises from replacement of air in the alveoli by fluid, pus, or blood, creating dense or homogeneous opacities (e.g., lobar consolidation).
    • Interstitial Pattern: Radiopacity results from thickening of interstitial structures (e.g., alveolar septa, interlobular septa, or fibrosis). This manifests as reticular, nodular, or reticulonodular patterns rather than consolidated, uniform opacities.

Radiographic Findings in a General Way

  1. Alveolar Pneumonia

    • The chest X-ray reveals regions of increased density in the lung tissue, which may suggest that fluid, pus, or inflammatory material has filled the airspaces.
    • There are patchy areas of consolidation observed on the image, consistent with an alveolar infection.
    • Some areas of the lung show a loss of normal boundaries with adjacent structures, often seen when dense inflammatory material is present.
  2. Interstitial Pneumonia

    • The imaging displays a network-like or lattice pattern throughout the lungs, which can be indicative of inflammation or scarring within the lung’s supporting framework.
    • Instead of large consolidated areas, the X-ray shows a diffuse web of linear and small nodular opacities, suggesting changes in the lung interstitium.
    • A subtle, widespread pattern of increased markings is evident, pointing to interstitial lung disease.

Approximate pleural effusion volume on chest X-ray (upright PA) — rough reference (Written February 23, 2026)

I. Upright PA reference ranges

II. Image examples

CPA blunting

Example of costophrenic angle blunting suggesting small-to-moderate pleural effusion on upright PA chest X-ray

Meniscus sign

Example of a clear meniscus sign suggesting pleural effusion on upright PA chest X-ray

Hemithorax ~1/3

Example of pleural effusion occupying approximately one-third of a hemithorax on upright PA chest X-ray

III. Image References

  1. What is a blunted costophrenic angle? — X-ray Interpreter
  2. Pleural effusion — Dr. Indu Bubna (Pulmonologist)
  3. Right hemithorax white-out — pleural effusion (case) — Radiopaedia

Written on February 23, 2026


Pain Management


Pharmacologic Agents and Interventional Procedures (Written December 22, 2024)

Table of Contents

  1. Introduction
  2. Pharmacologic Interventions
    1. Local Anesthetics – Lidocaine
    2. Corticosteroids – Triamcinolone and Dexamethasone
  3. Interventional Procedures
    1. Nerve Block
      1. C-arm Guided Nerve Blocks
    2. Radiofrequency Ablation
    3. Shockwave Therapy
  4. Comparative Summary Table
  5. Expanded Procedural Guidelines
    1. Lidocaine Injection Technique
    2. Corticosteroid Injection Technique
    3. Nerve Block Technique
      1. C-arm Guided Nerve Blocks
    4. Radiofrequency Ablation Essentials
    5. Shockwave Therapy Key Steps
  6. Conclusion

1. Introduction

Pain management frequently requires a comprehensive approach that may include local anesthetics, corticosteroids, nerve blocks, radiofrequency ablation (RFA), and shockwave therapy. Each modality provides distinct mechanisms of action, has specific indications and contraindications, and carries potential complications. When appropriately selected and administered, these interventions can offer substantial relief from acute or chronic pain.

A careful review of each treatment’s pharmacodynamics, procedural protocols, and potential adverse effects informs responsible clinical decision-making. Imaging techniques—such as ultrasound or fluoroscopy—further enhance safety and accuracy, helping ensure optimal patient outcomes.


2. Pharmacologic Interventions


3. Interventional Procedures

4. Comparative Summary Table

Intervention Mechanism Primary Indications Contraindications Dosage / Administration Key Procedure Tips Potential Complications
Lidocaine Sodium channel blockade for local anesthesia Acute musculoskeletal pain, minor procedures, nerve blocks Amide local anesthetic allergy; infection at site Concentration: 1% (dilute 2% if necessary)
Volume: 1–10 mL
Needle Gauge: 22–25 G (or 20–22 G for deeper)
  • Sterile prep
  • Aspirate to avoid intravascular injection
  • Consider epinephrine unless end-artery site
  • CNS/CV toxicity if overdose
  • Hematoma, infection, allergic reaction
Triamcinolone (Triam) Corticosteroid reducing inflammation Joint inflammation (arthritis), bursitis, tendonitis Systemic fungal infections; hypersensitivity; local infection Dose: 10–40 mg/injection
Frequency: ≤ every 3 months/site
Needle Gauge: 22–25 G (20–22 G for large joints)
  • Often combined with local anesthetic (e.g., Lidocaine)
  • Use imaging guidance for deeper joints
  • Skin atrophy, hypopigmentation
  • Tendon rupture risk
  • Hyperglycemia, HPA axis suppression
Dexamethasone (Dexa) Potent corticosteroid; immunosuppressive, anti-inflammatory Epidural steroid injections, small joint inflammation Hypersensitivity; active infection Dose: 1–4 mg for epidural/small joints
Frequency: ≤ every 3 months
Needle Gauge: 22–25 G (18–22 G epidural)
  • Fluoroscopic guidance for epidurals
  • Check coagulopathy risk before epidurals
  • Epidural hematoma or infection
  • Hyperglycemia, fluid retention, adrenal suppression
Nerve Block Injection of local anesthetic (± steroid) around nerve Acute & chronic pain, diagnostic blockade Local infection, coagulopathy, severe allergy Local Anesthetic: Lidocaine 1–2% or Bupivacaine 0.25–0.5% ± steroid
Volume: 5–10 mL
Needle Gauge: 22–25 G (18–22 G for deeper blocks)
  • Use ultrasound or nerve stimulator guidance
  • Aspirate intermittently to avoid intravascular injection
  • Neurological injury
  • Local Anesthetic Systemic Toxicity (LAST)
  • Hematoma, infection, allergic reaction
Radiofrequency Ablation Thermal lesioning of sensory nerves (80–90°C) Chronic facet pain, SI joint pain, genicular nerve pain (knee) Coagulopathy, local infection, pregnancy (relative) Temperature: 80–90°C
Time: 60–90 seconds
Needle/Probe Gauge: 18–22 G RFA cannula
  • Fluoroscopy or ultrasound guidance
  • Perform sensory & motor stimulation before ablation
  • Nerve damage, neuritis
  • Infection, hematoma or bleeding
Shockwave Therapy High-energy acoustic waves promoting tissue repair, analgesia Chronic tendinopathies, myofascial pain Open growth plates, acute fractures, malignancy, coagulopathy Sessions: 3–6, spaced 1–2 weeks apart
Energy Level: Increased gradually by tolerance
  • Precise probe positioning
  • Use ultrasound gel
  • Adjust frequency/energy for patient comfort
  • Bruising, transient pain flare
  • Rare tendon/ligament injury if improperly applied

5. Expanded Procedural Guidelines


<

Clinical Guidance on Opioid and Adjunct Analgesics (Written December 22, 2024)

Opioid analgesics constitute a mainstay of therapy for moderate to severe pain. These agents include strong opioids such as morphine, fentanyl, oxycodone, hydromorphone, and moderate opioids such as tramadol (classified differently depending on local regulations). Certain combination products, such as Targin (oxycodone/naloxone), are designed to minimize opioid-related adverse effects, notably constipation.

Non-opioid analgesics (e.g., acetaminophen) remain valuable for mild pain or as adjuncts to opioid therapy, often providing synergistic pain relief and minimizing the required opioid dose. Careful assessment of pain severity, patient comorbidities, and risk factors for opioid misuse is essential when initiating and titrating any analgesic regimen.

  1. Strong Opioids
    • Morphine
    • Fentanyl
    • Oxycodone (including combination products like Targin)
    • Hydromorphone
    • Norspan® (buprenorphine transdermal patch)
  2. Moderate Opioids
    • Tramadol (classifications vary across regions)
  3. Non-Opioid Analgesics
    • Acetaminophen
Medication Indication Contraindications Side Effects Typical Dosage & Duration Common Brand Names Pain Control (1–5) Antidote Other Important Aspects
Morphine (strong opioid) Severe acute or chronic pain
  • Hypersensitivity
  • Severe respiratory depression
  • Acute asthma
  • Paralytic ileus
  • Nausea, vomiting
  • Constipation
  • Sedation
  • Pruritus
  • Respiratory depression
  • Oral (immediate-release): 15–30 mg every 4 hr PRN
  • IV: 2–10 mg every 2–4 hr PRN
  • Duration varies by clinical scenario; reassess regularly
MS Contin, Kadian 5 Naloxone (for overdose)
  • Considered the benchmark opioid
  • Monitor for sedation, respiratory status
  • May require opioid rotation if tolerance develops
Fentanyl (strong opioid)
  • Severe chronic pain (transdermal)
  • Acute severe pain (IV)
  • Adjunct in anesthesia
  • Opioid-naïve patients (for patch)
  • Severe respiratory depression
  • Hypersensitivity
  • Dizziness
  • Bradycardia
  • Hypotension
  • Constipation
  • Respiratory depression
  • Transdermal patch (Duragesic): 12–100 mcg/hr, changed every 72 hr
  • IV (Sublimaze): 25–100 mcg bolus; frequency depends on analgesic response
Duragesic (patch), Sublimaze (IV) 5 Naloxone (for overdose)
  • Extremely potent; requires careful patient selection
  • Patch onset delay (12–24 hr)
  • Proper disposal of used patches is crucial
  • Risk of severe respiratory depression
Oxycodone (strong opioid) Moderate to severe pain (acute & chronic)
  • Hypersensitivity
  • Severe respiratory depression
  • Paralytic ileus
  • Acute or severe bronchial asthma
  • Sedation
  • Constipation
  • Nausea
  • Respiratory depression
  • Immediate-release: 5–15 mg every 4–6 hr PRN
  • Extended-release (OxyContin): 10–80 mg every 12 hr
  • Individualize based on patient response
OxyContin, Roxicodone, OxyIR 5 Naloxone (for overdose)
  • Highly potent analgesic
  • Abrupt discontinuation may cause withdrawal
  • Frequent reassessment of sedation, respiratory function
Targin (oxycodone/naloxone) (strong) Moderate to severe chronic pain
  • Hypersensitivity
  • Severe respiratory depression
  • Paralytic ileus
  • Acute or severe asthma
  • Similar to oxycodone (sedation, nausea, constipation)
  • Naloxone component may reduce opioid-induced constipation
  • Extended-release tablet: Typically dosed every 12 hr (e.g., Targin 10/5 mg q12h)
  • Adjust dosage based on prior opioid exposure and clinical response
Targin 5 Naloxone (for overdose)
  • Naloxone counters peripheral opioid effects (notably constipation)
  • Careful use in opioid-tolerant individuals
  • Not intended for acute, short-term pain
Hydromorphone (strong opioid) Moderate to severe pain
  • Hypersensitivity
  • Severe respiratory depression
  • Severe asthma
  • Paralytic ileus
  • Nausea, vomiting
  • Constipation
  • Sedation
  • Respiratory depression
  • Confusion
  • Oral (immediate-release): 2–4 mg every 4–6 hr PRN
  • IV: 0.2–1 mg every 2–3 hr PRN
  • Duration individualized; monitor frequently
Dilaudid 5 Naloxone (for overdose)
  • More potent than morphine on a mg-to-mg basis
  • Requires stringent monitoring
  • Useful in cases of morphine intolerance
Norspan® (Buprenorphine Transdermal Patch) (partial opioid agonist) Moderate to severe chronic pain requiring continuous, long-term opioid analgesia
  • Hypersensitivity to buprenorphine
  • Severe respiratory depression
  • Acute or severe asthma
  • Patients requiring short-term opioid therapy only
  • Nausea, vomiting
  • Constipation
  • Sedation
  • Headache
  • Respiratory depression (rare but possible)
  • Transdermal Patch: 5, 10, 15, or 20 mcg/hr, typically changed every 7 days
  • Dosage individualized based on prior opioid exposure and clinical response
Norspan, Butrans (in some regions) 4 Naloxone (for overdose)
  • Partial µ-opioid agonist; high receptor affinity
  • Can precipitate withdrawal in patients on full opioid agonists
  • Monitor for sedation and respiratory function
  • Patch site should be rotated to reduce skin irritation
Tramadol (moderate opioid) Moderate to moderately severe pain
  • Severe respiratory depression
  • Acute intoxication with alcohol, sedatives
  • Uncontrolled epilepsy (lowers seizure threshold)
  • Dizziness
  • Nausea
  • Constipation
  • Potential for seizures (especially at higher doses or with SSRIs/SNRIs)
  • Oral: 50–100 mg every 4–6 hr PRN
  • Maximum 400 mg/day
  • Usually short- to medium-term
Ultram, Tridol, Tramal 3 Naloxone (efficacy may be partial)
  • Weak µ-opioid agonist + SNRI activity
  • Serotonin syndrome risk if used with serotonergic agents
  • Lower misuse potential but still possible
Acetaminophen (non-opioid analgesic)
  • Mild to moderate pain
  • Fever
  • Severe hepatic impairment
  • Hypersensitivity
  • Hepatotoxicity (especially at high doses)
  • Rare rash
  • Oral: 325–1000 mg every 4–6 hr PRN
  • Maximum 3000–4000 mg/day (varies by guideline)
  • Short- to medium-term use recommended
Tylenol, Panadol, Paracetamol 1 N/A
  • Does not have significant anti-inflammatory effects
  • Often combined with opioids to enhance analgesia
  • Monitor total daily dose to prevent hepatotoxicity

Safe Prescribing and Monitoring

  1. Initial Assessment: Evaluate pain severity, prior analgesic history, current medications, comorbid conditions (e.g., renal or hepatic impairment), and potential risk of opioid misuse.
  2. Start Low, Titrate Slow: Particularly in opioid-naïve or older adults to reduce the risk of respiratory depression.
  3. Concurrent Therapy: Use multimodal analgesia (e.g., combining opioids with acetaminophen or non-pharmacological methods) to enhance efficacy and minimize opioid dosage.
  4. Monitoring:
    • Pain Relief: Adjust dose or frequency based on reported pain levels.
    • Sedation and Respiratory Rate: Vigilance is paramount to detect respiratory depression early.
    • Opioid-Induced Constipation: Prophylactic use of laxatives or other bowel regimens may be necessary.
    • Potential for Dependence: Assess regularly for signs of misuse or diversion, particularly with long-term use.

Practical Considerations for Clinical Use

Medication Onset (Approx.) Duration (Approx.)
Morphine (oral IR) 30–60 minutes 3–5 hours
Fentanyl (transdermal) 12–24 hours 72 hours (patch replacement)
Oxycodone (oral IR) 30–60 minutes 4–6 hours
Tramadol (oral IR) 30–60 minutes 4–6 hours
Targin (extended-release) 30–60 minutes ~12 hours
Norspan (buprenorphine patch) ~12–24 hours 7 days (patch replacement)
Acetaminophen (oral) 30–60 minutes 4–6 hours

References and Further Reading

  1. Goodman & Gilman’s The Pharmacological Basis of Therapeutics.
  2. World Health Organization (WHO) Guidelines for the Pharmacological and Radiotherapeutic Management of Cancer Pain in Adults and Adolescents.
  3. Official Prescribing Information for each product (MS Contin, Duragesic, Targin, etc.).
  4. Local regulations and protocols regarding controlled substances.

Written on December 22th, 2024


Trigger Point Injections (Written December 22, 2024)

Trigger Point Injections (TPI) are an interventional pain management technique aimed at alleviating myofascial pain by targeting palpable hyperirritable spots within skeletal muscle, known as trigger points. These trigger points often generate local tenderness and may refer pain to distant sites. When appropriately performed, TPI can serve both diagnostic and therapeutic purposes, offering significant symptom relief in acute and chronic musculoskeletal pain syndromes.

A careful review of each treatment’s pharmacodynamics, procedural protocols, and potential adverse effects informs responsible clinical decision-making. Imaging techniques—such as ultrasound or fluoroscopy—further enhance safety and accuracy, helping ensure optimal patient outcomes.


Definition and Pathophysiology


Position in the Spectrum of Pain Management


Comparison with Other Treatment Modalities

Modalities Target Tissues Primary Mechanism Diagnostic / Therapeutic Typical Injectate Components
Trigger Point Injections (TPI) Myofascial trigger points Disruption of localized spasm; sedation of nociceptors Both Local anesthetic (± steroid or saline)
Nerve Blocks Peripheral or sympathetic nerves Interruption of nerve conduction Both Local anesthetic (± steroid)
Joint Injections Intra-articular structures Anti-inflammatory (steroid) and lubrication Mostly therapeutic Steroids, viscosupplements, local anesthetic
Epidural Injections Epidural space, nerve roots Anti-inflammatory (steroid) ± analgesic effect Both Steroids ± local anesthetic

Medications Used in TPI

Medication Mechanism Typical Concentration / Dose Key Points
Lidocaine (1% or 2%) Sodium channel blockade; temporary analgesia 1–2 mL per trigger point Common choice for diagnostic and therapeutic TPI; rapid onset, short to moderate duration
Bupivacaine (0.25–0.5%) Sodium channel blockade; longer-acting local anesthetic 1–2 mL per trigger point Longer analgesic duration than lidocaine; slow onset; caution for cardiotoxicity if inadvertent intravascular injection
Triamcinolone (“Triam”) Anti-inflammatory corticosteroid 2–10 mg per injection (optional) Added if a more prolonged anti-inflammatory effect is desired; excessive or frequent use can lead to tissue atrophy and other steroid-related side effects
Dexamethasone (“Dexa”) Anti-inflammatory corticosteroid with high potency 0.5–2 mg per injection (optional) Often used in low dose for longer-lasting anti-inflammatory effect; less risk of particulate-related complications
Normal Saline Provides mechanical disruption of trigger point; no pharmacologic action 1–2 mL if anesthetic is contraindicated Sometimes used in “dry needling with saline” to mechanically irritate and break up taut band without using local anesthetic or steroid

Indications and Contraindications


Procedure and Technique

  1. Patient Assessment and Preparation
    • Perform thorough history and physical examination to identify the most relevant trigger points.
    • Clean the injection area with appropriate antiseptic solution (e.g., chlorhexidine or povidone-iodine).
  2. Identification of Trigger Points
    • Palpate for taut bands or nodules within the muscle. A characteristic “jump sign” or referred pain pattern often confirms trigger point location.
  3. Needle Insertion
    • Use a small-gauge needle (often 25–27 G) to minimize discomfort.
    • Insert the needle into the trigger point, confirming a local twitch response if possible.
  4. Injectate Administration
    • Inject 1–2 mL of chosen agent (e.g., 1% lidocaine ± small-dose corticosteroid).
    • Some protocols employ multiple passes (“peppering technique”) to ensure adequate distribution within the trigger area.
  5. Aftercare and Monitoring
    • Gently stretch the involved muscle post-injection to help reduce residual tension.
    • Observe for any immediate adverse reactions (e.g., vasovagal response, allergic reaction).
    • Advise continuation of physical therapy and exercises to promote long-term improvement.

Potential Complications


Clinical Pearls and Conclusion

  1. Integration with Physical Therapy: Combining TPI with stretching, posture correction, and strengthening exercises yields better long-term outcomes.
  2. Diagnostic Value: A marked reduction in pain post-injection supports the diagnosis of myofascial trigger points contributing significantly to symptoms.
  3. Minimal Steroid Requirement: Trigger points often respond well to local anesthetic alone or even dry needling, limiting the need for frequent steroid use.
  4. Distinguishing from Other Modalities: TPI is unique in targeting muscular trigger points, whereas joint injections address articular pathology and nerve blocks focus on peripheral nerves.

Written on December 22th, 2024


Understanding the 0-10 Scale for NRS, FPS, and FLACC (Written April 8, 2025)

Pain assessment tools such as the Numeric Rating Scale (NRS), Faces Pain Scale (FPS), and FLACC (Face, Legs, Activity, Cry, Consolability) are used to quantify pain in different patient populations. Despite all ranging from 0 to 10 in their final scores, each tool has unique evaluation methods and interpretations. The table below provides a general guideline for each score level and how it can be identified.

1. Overview of Each Scale

2. Score Interpretation Table (0–10)

Score NRS FPS FLACC How to Identify
0 No pain No pain (Neutral face) Relaxed and comfortable; no evident pain behaviors NRS: Patient reports zero; FPS: Chooses neutral face; FLACC: All categories = 0.
1 Minimal pain Slight discomfort (Very mild facial expression) Mild restlessness, possible slight frown (Face=1), minimal change in movements Observe mild fidgeting or minor facial changes; patient might say “slight pain.”
2 Mild pain Mild pain (Faint worried look) Possible mild tension in face or legs, slight decrease in activity Look for subtle facial cues or mild irritability; child may pick a mild-pain face.
3 Mild to moderate pain Mild to moderate pain (Worried or slightly upset face) Noticeable but not pronounced tension in face/legs; occasional fussiness or cry Assess whether patient can still focus on tasks, with mild signs of distress.
4 Moderate pain Moderate pain (Clearly uncomfortable facial expression) Intermittent crying, protective movements, obvious discomfort in activity Patient may complain of sustained pain; observer sees more pronounced behaviors.
5 Moderate pain, possibly interfering with some activities Moderate to somewhat severe pain (Pained facial expression) Frequent frowning, occasional intense cry or whimper, partial comfort with consoling Check if pain disrupts normal activity; FPS face shows notable pain.
6 Moderate to severe pain Noticeably distressed facial expression (Crying or upset look) Frequent crying, restlessness, significant protective movements, difficulty being consoled Likely requests pain relief; marked distress behaviors.
7 Severe pain Severe pain (Crying face, possibly tears) Persistent cry, kicking or tense legs, restless activity, difficult to console Observe intense pain expressions; patient may be unable to rest or focus.
8 Severe to very severe pain Very severe pain (Crying face, tears, possibly clenched facial muscles) Marked facial grimace, legs drawn up, vigorous crying, very limited consolability High distress with continuous crying, increased agitation or fear.
9 Very severe pain Very severe pain (Strong cry, extreme upset or anguish in face) Almost inconsolable crying, rigid body posture or flailing, severe discomfort Pain is nearly overwhelming; requires urgent attention.
10 Worst possible pain Worst pain (Crying or screaming face indicating unbearable pain) Totally inconsolable, may appear rigid or thrashing, extreme distress in all categories Maximum distress, patient or observer indicates unbearable pain.

3. Practical Application

  1. Choose the Appropriate Tool
    • NRS for verbally communicative adults or older children.
    • FPS for young children or those who respond best to visual aids.
    • FLACC for infants, very young children, or those unable to self-report pain.
  2. Evaluate in Context

    Pain scores should be interpreted alongside clinical observations, patient history, and other vital signs.

  3. Monitor Changes Over Time

    A single score is less meaningful than a pattern of scores over time, especially when assessing response to treatment.

By systematically applying and interpreting the NRS, FPS, and FLACC scales, healthcare providers can more effectively manage pain across diverse patient populations, ultimately enhancing patient comfort and treatment outcomes.

Pain assessment tools are crucial for effective pain management and treatment outcomes by integrating standardized evaluation methods into clinical practice.

Written on April 8, 2025




1. 각 척도의 개요

2. 점수별 해석 표 (0~10)

점수 NRS FPS FLACC 파악 방법
0 통증 없음 통증 없음 (무표정) 편안하고 긴장 없는 상태; 통증 행동이 전혀 보이지 않음 NRS: 환자가 0점 보고; FPS: 무표정 얼굴 선택; FLACC: 모든 항목 0점
1 매우 약한 통증 약한 불편감 (아주 약간 찡그린 표정) 다리·얼굴에 가벼운 긴장, 미미한 활동 변화 관찰 시 가벼운 초조함; 환자는 “약간 아프다”라고 표현할 수 있음
2 경증 통증 약간의 통증 (조금 걱정스러운 표정) 얼굴·다리에 약간의 긴장, 활동이 소폭 감소 미세한 표정 변화나 약한 짜증을 포착; 아동은 약간 아픈 표정을 선택할 수 있음
3 경증에서 중등도에 가까운 통증 경증에서 중등도 통증 (걱정되거나 살짝 괴로워 보이는 얼굴) 뚜렷하지 않지만 주기적인 찡그림, 간헐적 울음 또는 보챔 집중력이 다소 떨어지지만 일상 활동은 유지; 통증 호소는 분명함
4 중등도 통증 중등도 통증 (눈에 띄게 불편해 보이는 얼굴) 간헐적 울음, 보호적 행동, 불편감이 명확함 환자: 통증 호소 증가; 관찰자: 명확한 통증 행동(얼굴 찌푸림 등) 확인
5 중등도로 일상 활동에 일부 지장 있을 수 있는 통증 약간 심한 통증 (통증으로 인해 고통스러워 보이는 얼굴) 주기적으로 심한 울음, 때때로 강한 울음 또는 신음; 부분적 위로 시 일시적 완화 중간 정도 이상의 통증으로 활동 제한; FPS에서는 심각해 보이는 얼굴 선택 가능
6 중등도에서 심각해지는 통증 꽤 고통스러운 표정 (울거나 매우 괴로워 보임) 자주 울고, 안절부절, 다리를 끌거나 보호적 반응 통증 완화를 요구; 얼굴과 행동에서 강한 통증 징후가 나타남
7 심한 통증 심한 통증 (우는 표정, 눈물 보임 등) 끊임없이 울고, 다리를 구부리거나 신체부림이 심함; 위로가 어려움 격렬한 통증 반응; 환자가 휴식이나 집중 어려움
8 매우 심한 통증 매우 심한 통증 (울음, 일그러진 얼굴, 근육 경직 가능) 강한 찡그림, 다리 모으기, 격렬한 울음, 거의 위로 불가능 극심한 통증 상태; 지속적인 울음과 불안정한 움직임
9 극심한 통증 극심한 통증 (거의 울부짖는 표정, 극도로 힘들어 보임) 달래기 어려울 정도로 울고, 몸이 뻣뻣하거나 마구 움직임 환자가 극심한 고통을 호소; 즉각적 중재 필요
10 상상할 수 있는 가장 극심한 통증 참을 수 없는 통증 (절규 혹은 비명을 지르는 표정) 완전히 달래지지 않고, 몸이 경직되거나 격렬하게 움직이며 극도의 불안정 상태 최고 수준의 통증 고통; 즉각적인 통증 관리 필요

3. 임상에서의 활용

  1. 환자 특성에 맞는 척도 선택
    • 언어 소통이 가능한 성인 및 아동: NRS
    • 어린이나 시각적 이해가 더 쉬운 대상: FPS
    • 영유아·인지장애로 자가 보고 어려운 환자: FLACC
  2. 상황과 함께 해석

    통증 점수만으로는 한계가 있으므로, 환자의 전반적 임상 상태, 활력 징후, 과거 병력 등을 종합적으로 고려한다.

  3. 경과 관찰의 중요성

    한 번의 측정 결과보다 시간이 지남에 따라 변화하는 통증 점수를 추적하여 치료나 중재 효과를 평가한다.

통증 평가 도구를 체계적으로 적용하고 해석함으로써, 다양한 환자군에서 통증 관리를 보다 효과적으로 수행할 수 있으며, 이는 환자의 편안함과 치료 성과를 높이는 데 도움이 될 것이다.

정확하고 일관된 통증 평가를 통해 임상 실무에서 보다 효과적인 통증 관리가 이루어질 수 있다.


Clinical Protocols and Intervention Procedures


Locking and Unlocking Pigtail Catheters

Pigtail catheters, commonly used for fluid drainage from various body cavities, employ unique locking mechanisms to maintain secure positioning. Proper handling of these mechanisms ensures both effective drainage and safe removal. This guide outlines the process for preparing a catheter for locking and removal, followed by detailed descriptions of locking and unlocking techniques for different types of catheters from brands such as Boston®, Cook®, Sung Won®, as well as additional designs that include manual release tabs and balloon-end catheters.

Preparing for Pigtail Catheter Locking

Before locking a pigtail catheter into position:

Preparing for Pigtail Catheter Removal

  1. Patient Preparation: Position the patient comfortably and provide a clear explanation of the removal procedure. Local anesthetic may be considered if the catheter has been in place for a prolonged period.
  2. Maintain a Sterile Field: Ensure sterility around the removal site using gloves, antiseptic solutions, and sterile dressing supplies to prevent infection.
  3. Release Tube Securing Mechanisms:
    • Suture Removal: Carefully cut and remove any sutures securing the catheter without causing irritation.
    • Adhesive Removal: For adhesive-secured catheters, gently peel the adhesive off, using an adhesive remover if necessary to avoid skin trauma.
  4. Complete Drainage: Confirm that all fluid has been fully drained to avoid complications. Attaching a syringe to the catheter’s port can help remove any residual fluid, ensuring a clear pathway for removal.
  5. Close the Drainage Path: Once drainage is complete, close the catheter’s port to prevent backflow, maintaining a controlled environment for removal.

Locking and Unlocking Mechanisms

Below are the main locking and unlocking systems for different pigtail catheter types, outlining each brand’s unique approach.

Type Locking Mechanism Unlocking Mechanism Benefits Downsides
Boston® Pull-lock with proximal ring or tab Press or release locking tab Provides reliable anchoring; smooth release Requires manual release for unlocking
Cook® Pull-ring at proximal end Disengage pull-ring Intuitive mechanism; low resistance on removal Can feel rigid if not disengaged properly
Sung Won® Twist-lock with clockwise rotation Counterclockwise twist Simple locking/unlocking; smooth transition Risk of catheter resistance if not fully untwisted
Manual Release Tabs Manual press-tab for locking/unlocking Manual release of tab Direct control over lock and release Can be cumbersome in tight spaces
Balloon-End Inflatable balloon at distal end Deflate balloon via inflation port Secure anchoring; low trauma on removal Requires additional step to deflate balloon

This overview of locking and unlocking techniques provides a comprehensive guide to handling pigtail catheters from various brands, ensuring a secure yet gentle process tailored to each design for both effective drainage and patient comfort.

Written on November 4th, 2024


Differentiating Rhythms in Cardiac Arrest, for CPR and Defibrillation

In the management of cardiac arrest, swift recognition and differentiation of two primary categories of cardiac rhythms—shockable and non-shockable—are essential to ensure appropriate and effective intervention. Each rhythm type calls for specific actions that, when executed correctly, can be critical to patient survival.

Rhythm Category Type of Rhythm Description Primary Intervention
Shockable Ventricular Fibrillation (VF) Chaotic, disorganized electrical activity in ventricles Defibrillation
Pulseless Ventricular Tachycardia (VT) Rapid, organized rhythm in ventricles, no pulse Defibrillation
Non-Shockable Asystole Absence of electrical activity ("flatline") CPR and medication
Pulseless Electrical Activity (PEA) Electrical activity without effective heart contraction CPR and address underlying causes

Shockable Rhythms

These rhythms respond to defibrillation, a procedure that delivers an electric shock to reset the heart’s rhythm. The two main types of shockable rhythms are:

Immediate defibrillation is the primary intervention for shockable rhythms, as it interrupts the abnormal electrical activity and facilitates the heart's return to an organized rhythm.

Non-Shockable Rhythms

These rhythms do not benefit from defibrillation. Instead, management focuses on high-quality CPR to maintain circulation, along with targeted medical intervention. Non-shockable rhythms include:

For non-shockable rhythms, continuous CPR is essential, along with prompt treatment of reversible causes, to support cardiac function and improve the likelihood of restoring a viable rhythm.

Written on November 9th, 2024


Timing of epinephrine during CPR in cardiac arrest (Written December 30, 2025)

Appropriate timing of epinephrine administration during cardiopulmonary resuscitation (CPR) is determined primarily by whether the cardiac arrest rhythm is shockable or non-shockable. This distinction is central to Advanced Cardiac Life Support (ACLS) algorithms.

Core principle

Diagram: epinephrine timing during CPR (workflow)

Cardiac arrest identified Start high-quality CPR Rhythm analysis Shockable vs. non-shockable Non-shockable (PEA / Asystole) Shockable (VF / pulseless VT) Continue CPR + obtain IV/IO access Epinephrine as early as possible 1 mg IV/IO; repeat every 3–5 min Defibrillate (Shock #1) → CPR 2 min Rhythm check → Defibrillate (Shock #2) CPR 2 min continues After 2 failed shocks: Epinephrine 1 mg IV/IO; repeat every 3–5 min
Interpretation: Non-shockable rhythms (PEA/asystole) receive epinephrine early during CPR once IV/IO access is available. Shockable rhythms (VF/pulseless VT) prioritize defibrillation first; epinephrine is introduced after unsuccessful initial shocks.

Epinephrine timing by rhythm category

Rhythm category Specific rhythm Initial priority Timing of epinephrine Dose and interval
Non-shockable Asystole High-quality CPR As soon as IV/IO access is established 1 mg IV/IO every 3–5 min
Non-shockable PEA High-quality CPR As early as possible during CPR 1 mg IV/IO every 3–5 min
Shockable VF Defibrillation After failure of 2 defibrillation attempts 1 mg IV/IO every 3–5 min
Shockable Pulseless VT Defibrillation After failure of 2 defibrillation attempts 1 mg IV/IO every 3–5 min

Rationale (concise)

Non-shockable rhythms

Shockable rhythms

Bedside memory aid

Non-shockable (PEA/asystole): CPR + epinephrine early

Shockable (VF/pulseless VT): Shock first; epinephrine after unsuccessful initial shocks

Written on December 30, 2025


PTBD and PTGBD (Written December 6, 2024)

Aspect PTBD (Percutaneous Transhepatic Biliary Drainage) PTGBD (Percutaneous Transhepatic Gallbladder Drainage)
Primary Purpose Relief of biliary obstruction and decompression of bile ducts Management of acute cholecystitis and decompression of the inflamed gallbladder
Target Structure Intrahepatic or extrahepatic bile ducts Gallbladder
Common Indications
  • Obstructive jaundice
  • Cholangitis
  • Malignant strictures
  • Stones in bile ducts
Acute cholecystitis in patients who are high-risk for surgery
Access Route Predominantly transhepatic approach through the liver Transhepatic or extrabiliary approach, chosen based on anatomy and clinical scenario
Imaging Guidance Often guided by ultrasound or computed tomography (CT) Typically guided by ultrasound; CT can be used if needed
Type of Drainage
  • External drainage
  • Combined internal-external drainage
  • Stent placement may be performed
External drainage to alleviate pressure and inflammation within the gallbladder
Procedural Complexity Involves navigating smaller ducts and may require complex imaging guidance and stent placement Generally less complex in terms of ductal anatomy, but careful placement is essential for proper decompression
Therapeutic Goal
  1. Restoring bile flow
  2. Improving liver function
  3. Reducing jaundice
  4. Stabilizing the patient’s condition before treatment
  1. Reducing inflammation
  2. Preventing gallbladder perforation
  3. Stabilizing the patient’s condition before surgery or intervention

Percutaneous Transhepatic Biliary Drainage (PTBD) and Percutaneous Transhepatic Gallbladder Drainage (PTGBD) are minimally invasive procedures aimed at decompressing specific biliary structures. Both procedures utilize imaging guidance and percutaneous access; however, they address distinct clinical issues.

PTBD is primarily utilized to alleviate obstructions within the biliary tree. Conditions leading to such obstructions may include malignant strictures, stones, or other blockages. By facilitating the drainage of intrahepatic or extrahepatic bile ducts, PTBD enhances bile flow, mitigates associated cholangitis or jaundice, and stabilizes patients prior to definitive interventions.

In contrast, PTGBD focuses on the gallbladder itself. This procedure is particularly important for patients presenting with acute cholecystitis who are deemed high-risk for surgical intervention. By decompressing the gallbladder and reducing inflammation, PTGBD controls infection, lowers the risk of gallbladder perforation, and serves as a bridge to delayed cholecystectomy or other definitive treatments.

A key technical distinction between the two procedures lies in the access route. PTBD invariably involves a transhepatic approach due to the target location within the biliary system that traverses the liver. Conversely, PTGBD may be performed via a transhepatic pathway or an extrabiliary approach, depending on the patient's anatomical considerations and clinical condition. This flexibility in PTGBD allows for effective decompression of the gallbladder tailored to individual patient scenarios.

PTBD and PTGBD are complementary techniques serving distinct clinical objectives. PTBD aims to restore ductal patency and alleviate systemic effects of biliary obstruction, whereas PTGBD targets the gallbladder to manage acute inflammation. The selection between these procedures requires careful assessment of the underlying pathology, imaging findings, and the patient’s overall risk profile.

Written on December 6th, 2024


Central venous access at cervical and femoral sites (Written July 25, 2025)

Central venous catheterization (CVC) remains an essential procedure in critical care, anesthesia, and emergency medicine. Among commonly selected venous sites, the cervical route (internal jugular or subclavian approaches) and the femoral route (common femoral vein) are most frequently compared. The following structured review provides a comprehensive, hierarchical analysis of both approaches, emphasizing indications, contraindications, advantages, disadvantages, and complication profiles.

Anatomic overview

Indications (Ix)

  1. Administration of vasoactive infusions or hyperosmolar solutions
  2. Hemodynamic monitoring (e.g., central venous pressure)
  3. Rapid fluid or blood product resuscitation
  4. Transvenous pacing wire insertion
  5. Need for long‑term venous access when peripheral access is inadequate

Contraindications (CIx)

Site Absolute contraindications Relative contraindications
Cervical
  • Neck mass or distorted anatomy obstructing landmark visualization
  • Overlying cellulitis or burn
  • Thrombosis or surgical ligation of target vein
  • Severe coagulopathy without capacity for correction
  • High intracranial pressure (subclavian approach may impede venous drainage)
  • Fracture of ipsilateral clavicle or first rib (subclavian)
Femoral
  • Overlying groin infection or burn
  • Distal inferior vena cava thrombosis
  • Femoral vein thrombosis or surgical interruption
  • Morbid obesity obscuring landmarks
  • Major pelvic trauma with suspected venous injury
  • Need for early patient ambulation

Advantages and disadvantages

Cervical route

Femoral route

Complication profile

Complication Cervical (Likely incidence†) Femoral (Likely incidence†) Comments
CRBSI ≈ 1–2 per 1,000 catheter‑days ≈ 3–6 per 1,000 catheter‑days Meticulous asepsis lowers risk for both; femoral site inherently higher flora density.
Venous thrombosis 2–4 % 5–22 % Groin catheters predispose to stasis and vessel wall injury.
Pneumothorax 1–3 % (subclavian > internal jugular) 0 % Absent in femoral approach.
Arterial puncture 3–9 % 4–8 % Easily compressed at femoral; more serious if subclavian.
Bleeding/hematoma Variable; tamponade difficult under clavicle Usually controllable with direct pressure Coagulopathy favors femoral route.

†Incidence ranges derived from meta‑analyses of adult ICU populations; actual rates depend on operator experience and infection‑control protocols.

Site selection algorithm

Suggested strategy
1 ➔ Favor cervical (internal jugular) when prolonged use (>7 days) is anticipated, infection risk must be minimized, or patient mobilization is desired.
2 ➔ Choose femoral when immediate access is essential during resuscitation, coagulopathy precludes non‑compressible sites, or thoracic injury makes neck/chest access hazardous.
3 ➔ Reassess daily; convert femoral lines to cervical or peripherally inserted central catheters (PICC) when feasible.


Ease of learning central venous access: cervical vs. femoral

Early procedural training generally favors the femoral approach for speed and first‑pass success, whereas long‑term competence in critical care requires mastery of the cervical approach. The learning curve is determined by anatomic simplicity, risk profile, and availability of ultrasound guidance.

Determinants of learning difficulty

Comparative learning curve data

Metric (novice operators) Femoral route Cervical route (internal jugular)
Median attempts to achieve > 90 % first‑pass success 20–25 supervised insertions 30–40 supervised insertions
Mean procedure time after 10 attempts ≤ 3 min 4 – 6 min
Early complication incidence during training Minor hematoma < 3 % Pneumothorax < 1 %, arterial puncture ≈ 5 %
Operator‑reported confidence after 10 attempts (Likert 1‑5) 4.3 ± 0.6 3.6 ± 0.8

Practical teaching implications

Recommended pathway
1 ➔ Introduce femoral cannulation first to establish core sterile technique, needle‑probe coordination, and wire handling.
2 ➔ Progress to ultrasound‑guided internal jugular cannulation once needle visualization skills are reliable.
3 ➔ Reserve landmark‑guided subclavian access for advanced trainees after proficiency with ultrasound methods is documented.
4 ➔ Incorporate deliberate practice with simulation models and real‑time complication drills to reinforce safety culture.

Conclusion

For novices, the femoral site is more approachable because of straightforward surface anatomy, rapid compressibility, and a lower perceived consequence of error. Nonetheless, comprehensive critical‑care training must transition learners to cervical techniques, particularly the ultrasound‑guided internal jugular approach, to provide durable, infection‑resistant central access options. Structured curricula that begin with femoral cannulation and deliberately scaffold toward cervical mastery yield the most efficient and safe skill acquisition.

Written on July 25, 2025


Suture


Guide to Surgical Suturing (Written April 8, 2025)

Surgical suturing is a cornerstone of wound management, serving to approximate tissues, achieve hemostasis, and optimize the healing process. Success depends on appropriate instrument selection, correct suture material choice, proper needle selection, and the application of correct suture techniques. This guide provides an extensive overview of these components, along with the indications (Ix) and contraindications (CIx) relevant to each.

Essential Instruments for Suturing

The instruments listed below constitute the fundamental equipment for performing surgical sutures. Proper handling of each device under sterile conditions is crucial for patient safety and successful outcomes.

Instrument Description Usage
Needle Holder A clamp-like tool with a locking mechanism (ratchet) to hold the needle. Ensures precise needle control during tissue penetration.
Tissue Forceps Forceps with or without teeth for gently grasping tissues. Facilitates handling of wound edges to approximate tissues.
Hemostat A small clamp with a locking mechanism. Controls bleeding by clamping blood vessels; also used to grip and guide suture ends.
Suture Scissors Small scissors with sturdy, often blunt-ended blades. Cuts suture threads efficiently and cleanly.
Operating Scissors (Mayo/Metzenbaum) Longer scissors with variable tip configurations (sharp or blunt). Cuts or dissects tissue; heavier types (Mayo) can handle thicker tissues, while finer (Metzenbaum) types are for delicate tissues.
Skin Hooks Fine hooks used to elevate and retract delicate tissues. Improves exposure and control of superficial tissues during suturing.

Suture Material Categories

Suture materials vary in composition and properties, influencing tissue reaction, absorption, and overall surgical outcome. They are typically categorized by absorbability (absorbable vs. non-absorbable) and origin (natural vs. synthetic).

Suture Types: Indications, Contraindications, Pros, Cons, and Technique

Each suture type offers unique handling, tissue reaction, and tensile strength properties. The table below provides a detailed overview of commonly used suture materials.

Category Suture Type Indications (Ix) Contraindications (CIx) Pros Cons General Technique
Absorbable Plain Gut (Natural) Superficial closures (e.g., oral mucosa) and tissues that heal rapidly. High-tension areas or infections requiring long-term support. Naturally derived; absorbs enzymatically. Elicits moderate inflammatory response; absorption rate can vary widely. Commonly placed as interrupted or running stitches; knots must be secured well, as enzymatic absorption can loosen them prematurely.
Chromic Gut (Natural) Gastrointestinal closures, oral surgery, and other situations needing slightly prolonged absorption. High-tension sites or compromised tissues needing extended tensile strength. More prolonged tensile strength than Plain Gut; moderate handling. Can still provoke moderate tissue reaction; rate of absorption influenced by individual factors (e.g., infection, pH). Typically used where moderate support is required for a slightly longer period; careful knot tying to prevent breakage during absorption.
Polyglactin 910 (Vicryl) (Synthetic) Subcutaneous closures, soft tissue approximations, pediatric surgeries. Situations requiring sustained tension beyond normal absorption timelines. Good handling and knot security; predictable absorption profile. Braided design can harbor bacteria in infected sites; not as flexible as some natural sutures. Commonly used in continuous or interrupted techniques; particularly suitable for buried sutures.
Polyglycolic Acid (Dexon) (Synthetic) General soft tissue approximation, ligatures. High-tension closures or deep infections requiring exceptionally prolonged suture strength. Reliable strength and absorption similar to Vicryl; good handling. Braided structure may capture bacteria; can be somewhat stiff for delicate areas. Ideal for interrupted or continuous patterns; often utilized for buried layers.
Polydioxanone (PDS) (Synthetic) High-tension closures (fascia, muscle) requiring longer absorption time. Permanent support scenarios or superficial sites where stiffer material may cause discomfort or suboptimal cosmetic outcomes. Monofilament design lowers infection risk; maintains tensile strength for an extended period. Handling is slightly more challenging due to stiffness; relatively higher cost. Recommended for closures under stress, such as fascial layers. Adequate knot throws are essential due to the material’s stiffness.
Non-Absorbable Silk (Natural) Ligation of small vessels, some skin closures where suture removal is acceptable. Long-term internal placement (silk eventually loses strength and can harbor infection). Excellent handling and knot security; cost-effective and widely available. Induces moderate inflammatory response; potential for infection if left long-term. Generally used for interrupted sutures or ligation; requires removal when placed externally.
Nylon (Ethilon) (Synthetic) Skin closures (including scalp, extremities), moderate to long-term wound support. Deep closures where permanent suture in contact with tissues could cause irritation or where absorbable materials are preferred. Minimal tissue reaction; monofilament design resists infection; good elasticity. Relatively slippery and can have significant “memory,” making knot tying more challenging. Often employed in interrupted or continuous stitches for external closures; timely removal is needed to prevent scarring or suture track formation.
Polypropylene (Prolene) (Synthetic) Vascular surgeries, tendon repairs, and situations requiring minimal tissue reaction. Areas subject to frictional stress that could cause the suture to cut through tissues; caution in large closures if operator is unfamiliar with its elasticity. Very inert, excellent tensile strength preservation; monofilament design lowers infection risk. Slippery, requiring multiple knots for security; conspicuous color (blue) in certain cosmetic areas. Frequently used in running or interrupted patterns; essential in delicate procedures like vascular anastomoses.
Polyester (e.g., Dacron) (Synthetic) Prosthetic valve placements, tendon repairs needing durable support. Superficial wounds requiring improved cosmetics or infection-prone areas, as braided fibers can harbor pathogens. Strong, durable, reasonably low tissue reactivity for a braided suture. Braided design can trap bacteria; less suitable for infected or contaminated fields. Typically used in high-stress repairs (e.g., tendons); requires additional knot security to prevent slippage.
Stainless Steel Wire (Synthetic) Orthopedic procedures (bone fixation, sternum closure), permanent reinforcement where extreme tensile strength is required. Softer tissues requiring flexibility and cosmetic outcome; not favored for skin approximations. Highest tensile strength and stability; minimal inflammatory response. Difficult to handle; risk of wire cutting through tissues or breaking if over-manipulated. Specialized wire twisters are used; caution to avoid fraying and tissue trauma during placement.

Determining Suture Size and Needle Choice

  1. Suture Gauge (Thickness)

    • High-Tension Tissues: Size 1 or 2-0 for tendons or fascia.
    • Medium Tension: Sizes 3-0 to 4-0 for most skin closures on the trunk or extremities.
    • Delicate Tissues: Sizes 5-0 to 6-0 for facial wounds to minimize scarring.
    • Microsurgery: 7-0 to 10-0 for vascular anastomoses or ophthalmic procedures.
  2. Needle Types

    • Cutting Needles: Sharp cutting edge along the inner curvature, suitable for skin or dense tissue.
    • Reverse Cutting Needles: Cutting edge along the outer curve, reducing suture pull-through in delicate closures (e.g., cosmetic or plastic surgery).
    • Taper Needles: Round bodied with no cutting edge, used for friable tissues (e.g., GI tract, blood vessels).
    • Needle Size: Selected based on tissue thickness and wound location. Larger arcs (e.g., 1/2 circle) facilitate deeper or wider bites; smaller arcs (e.g., 3/8 circle) are often employed where space is limited.

Specialized Suture Techniques

Correct suture technique is critical for achieving optimal wound approximation and tension distribution. Techniques vary in complexity and are chosen based on wound location, tissue type, and surgical goals. The table below outlines common suture patterns, including their indications, contraindications, advantages, disadvantages, and step-by-step instructions.

Technique Indications (Ix) Contraindications (CIx) Pros Cons Step-by-Step Procedure
Simple Interrupted
  • General skin closure
  • Areas requiring precise wound edge approximation
  • Very long wounds where many knots may lead to increased foreign body load
  • Situations calling for faster closure
  • Good wound edge alignment
  • Each suture is independent in case of suture failure
  • Can be time-consuming for large wounds
  • Multiple knots can increase suture bulk
  1. Evert wound edges with forceps.
  2. Insert the needle at a 90° angle to skin surface.
  3. Pass through the epidermis and dermis, exit on the opposite side at the same depth.
  4. Pull through suture material, leaving enough tail for knot tying.
  5. Tie a secure knot with adequate throws.
  6. Cut suture ends, leaving short tails.
Continuous (Running)
  • Long linear wounds with uniform tension
  • Rapid closure in non-infected areas
  • Irregular wounds (risk of compromised approximation)
  • High-infection-risk sites where single suture removal is needed
  • Fast closure
  • Even distribution of tension along the wound
  • If one portion of the suture breaks or loosens, the entire closure can be compromised
  1. Anchor the first stitch with a knot (e.g., simple interrupted).
  2. Continue passing the needle along the wound edge at equal intervals without cutting the suture at each pass.
  3. Maintain constant tension to approximate wound edges without strangulation.
  4. Tie off at the distal end with a final knot.
Vertical Mattress
  • Wounds needing good eversion (e.g., areas prone to inversion such as the scalp)
  • Tissues with limited thickness where deeper bites might damage underlying structures
  • Excellent eversion of wound edges
  • Distributes tension well
  • May leave “railroad” marks on fragile skin
  • More technically demanding
  1. Enter the skin 4–5 mm from the wound edge, pass the needle deeper into the subcutaneous tissue.
  2. Emerge on the opposite side at a similar distance from the wound edge.
  3. Re-enter the skin close to the exit point, approximately 1–2 mm from the wound edge.
  4. Come out on the original side, also 1–2 mm from the wound edge.
  5. Tie the knot, ensuring the wound edges are everted.
Horizontal Mattress
  • High-tension areas (e.g., joints, extensor surfaces)
  • Cosmetic closures (can leave crosshatch marks)
  • Very thin or friable tissue
  • Good tension relief
  • Combines approximation and hemostasis
  • Potential for skin ischemia if overly tight
  • More suture material left in place
  1. Start 4–5 mm from the wound edge and pass the needle across to exit at a similar distance on the opposite edge.
  2. Re-insert the needle 5–10 mm parallel to the first suture line, moving back across to the original side.
  3. Tie off the suture, creating a horizontal “box” shape.
  4. Adjust tension to avoid strangulation of tissues.
Subcuticular (Running or Interrupted)
  • Cosmetic closures (e.g., face, areas with minimal scarring requirement)
  • Clean, linear incisions
  • Irregular, gaping lacerations
  • Infected or contaminated wounds requiring drainage
  • Excellent cosmetic result
  • Minimizes crosshatching on skin surface
  • Not suitable for irregular or high-tension wounds
  • Can trap fluid if not placed properly
  1. Anchor a knot in the deep dermis or use a buried knot technique.
  2. Pass the needle through the dermis in a horizontal plane, just below the epidermis on alternating sides of the wound.
  3. Continue along the wound length, approximating edges without penetrating the epidermis.
  4. Tie off the distal end or secure with adhesive strips, depending on preference and suture type.
Figure-of-Eight
  • Suturing tendon or other structures requiring firm fixation
  • Securing hemostatic devices or drains
  • Superficial skin closures aiming for minimal scarring
  • Tissue that cannot withstand rotational torque of suture
  • Stabilizes structures under rotational stress
  • Good for anchoring drains or hardware
  • May cause rotational tension if placed incorrectly
  • Difficult to remove in some cases
  1. Insert the needle in a manner that takes a “bite” to anchor the suture on one side.
  2. Cross over the midline, entering and exiting the tissue to create the “8” shape.
  3. Secure the final knot, ensuring enough tension to hold the target tissue or device.
  4. Inspect for unwanted torque or tissue distortion.
Corner Stitch (a variation often referred to as Half-Buried Mattress)
  • Triangular or flap corners
  • Wounds requiring precise tip approximation
  • Heavily contaminated wounds
  • Rounded corners (less critical for corner approximation)
  • Preserves blood supply to the flap tip
  • Minimizes bunching at the apex
  • Slightly more complex placement
  • Risk of tip necrosis if tension is excessive
  1. Begin near the corner tip on the underside (dermal side) and pass the needle so it emerges at the tip of the flap.
  2. Enter the opposing side in the same plane, capturing the dermis without exiting the epidermis.
  3. Tie the knot, ensuring the flap corner is precisely approximated and not under excessive tension.
  4. Assess flap viability and tip alignment.
Purse-String
  • Circular openings (e.g., stoma sites, drains)
  • Closing small defects after excision
  • Large wounds unsuitable for circumferential closure
  • High-tension or high-infection-risk sites
  • Constricts a circular opening uniformly
  • Easy to tighten or loosen if needed
  • May cause tissue puckering
  • Not ideal for large or irregular defects
  1. Place a series of small bites around the circumference of the opening, keeping each bite equidistant from the edge.
  2. Pull on the suture ends to cinch the defect closed.
  3. Secure the knot when the desired tension is achieved, avoiding tissue strangulation.
  4. Final tension adjustments can be made before tying permanently.

Practical Considerations

  1. Wound Assessment
    • Evaluate wound characteristics (length, depth, contamination level) to determine suture type, technique, and closure pattern.
  2. Sterility and Technique
    • Maintain strict aseptic technique to reduce infection risk.
    • Use sterile or properly sterilized instruments and handle suture materials with minimal contamination.
  3. Knot Security
    • Employ adequate throws to secure knots.
    • Monofilaments typically require more throws than braided sutures due to their slipperiness.
  4. Tissue Handling
    • Use tissue forceps with minimal pressure to avoid crushing tissue.
    • Achieve approximation without strangulation; excessive tension compromises vascular supply.
  5. Suture Removal
    • Non-absorbable sutures require timely removal according to anatomic location:
      • Face: 5–7 days
      • Scalp/Trunk: 7–14 days
      • Extremities: 10–14 days (depending on wound healing and tension)
  6. Special Note on “Thread End Management”
    • Ensure that suture ends (tails) are trimmed to an appropriate length (usually 3–5 mm) to prevent irritation.
    • In buried or subcuticular techniques, confirm that the final knot is well-secured and suture ends are buried to avoid spitting or unraveling.

Reference

Written on April 8, 2025


Sonography


Endorectal Sonography for Prostate: Procedure During Insertion and Role of Seminal Vesicles

During endorectal sonography for the prostate, the procedure begins with patient preparation. The patient is positioned in the left lateral decubitus position, with knees slightly bent toward the chest. The rectum is emptied either naturally or with an enema, and the area around the rectum is cleaned. A protective cover is placed over the ultrasound transducer, and lubricating gel is applied to minimize discomfort during insertion.

The transducer is then gently inserted into the rectum. The insertion is done slowly and carefully to ensure minimal discomfort, and the patient may be instructed to breathe slowly and deeply to help relax the rectal muscles. The transducer is oriented so that the anterior part of the prostate is visualized on the screen. Initially, the base of the prostate, which is near the bladder, is visualized, followed by the apex. The probe is then maneuvered gently to obtain optimal images of the prostate, which may involve tilting, rotating, or slightly withdrawing the probe to visualize different sections.

The seminal vesicles, which are located just above the prostate and behind the bladder, play an important role during this procedure. They serve as key anatomical landmarks that help in confirming the correct orientation and positioning of the transducer. The appearance of the seminal vesicles ensures that the superior boundary of the prostate, particularly the base, is clearly identified. Additionally, the seminal vesicles are examined for any abnormalities, such as enlargement, cysts, or asymmetry, which could indicate conditions like seminal vesiculitis or invasion by prostate cancer. The involvement of the seminal vesicles by prostate cancer is critical for staging the disease, as it signifies a more advanced condition. Ensuring the seminal vesicles are visible on the ultrasound also confirms that the entire prostate, including the base, has been adequately scanned, facilitating accurate measurement and assessment.

Volume Measurement

For measuring both (1) the total prostate volume and (2) the transitional zone volume, the prostate is generally approximated as an ellipsoid. The formula used for calculating the volume is:

Volume = (π/6) × (Length) × (Width) × (Height)

To calculate the total prostate volume, the length is measured from the base to the apex of the prostate in the sagittal plane, the width is measured at the widest point in the transverse plane, and the height is measured from the anterior to the posterior border in the sagittal or axial plane. These measurements are then used in the ellipsoid formula to calculate the total prostate volume.

Similarly, to calculate the transitional zone volume, the length of the transitional zone is measured in the sagittal plane, the width in the axial plane, and the height in the sagittal or axial plane. These measurements are then used in the same ellipsoid formula to determine the transitional zone volume.


Guide to Upper Endoscopy (Written December 15, 2024)

Upper endoscopy, also known as esophagogastroduodenoscopy (EGD), is a critical diagnostic and therapeutic procedure utilized to examine the upper gastrointestinal (GI) tract. Mastery of upper endoscopy requires a thorough understanding of the endoscope's structure, precise operational techniques, and adherence to best practices to ensure patient safety and optimal outcomes. This guide provides a detailed overview of upper endoscopy, encompassing the endoscope's components, procedural methods, and essential considerations for effective performance.

Endoscope Structure and Components

Biopsy Locations and Channels

The endoscope is equipped with multiple channels and ports designed for various functions, including biopsy sampling. Key considerations include:

Essential Components

Operational Techniques

Navigation and Maneuvering

Proficient manipulation of the endoscope involves coordinated movements in multiple planes:

Insertion and Withdrawal Methods

Insertion Technique:

Withdrawal Technique:

Handling Obstacles

Encountering Resistance:

Leakage and Obstruction Issues:

Anatomical Landmarks and Observation Techniques

Key Anatomical Structures

Visualization Strategies

Timing and Maneuvering

Standardized Examination Protocol

Eight Standard Anatomical Locations for Documentation

A systematic approach to upper endoscopy involves photographing and documenting eight key anatomical sites to ensure comprehensive evaluation. These typically include:

  1. Oral Cavity: Tongue, soft palate, and hard palate.
  2. Pharynx: Inspection of the pharyngeal walls and vocal cords.
  3. Esophagus: Assessment for strictures, varices, and mucosal integrity.
  4. Gastroesophageal Junction: Evaluation of the lower esophageal sphincter.
  5. Stomach: Examination of the fundus, body, antrum, and pylorus.
  6. Duodenum: Visualization of the duodenal bulb and second portion.
  7. Ampulla of Vater: Inspection for any abnormalities at the duodenal papilla.
  8. Overall Mucosal Pattern: Assessment for inflammation, ulcers, or neoplastic changes.

Documentation of Findings

Accurate and detailed recording of observations is paramount for diagnostic accuracy and subsequent patient management. The procedure report should include:

Maintenance and Troubleshooting

Equipment Care

Maintaining the endoscope's functionality involves:

Addressing Common Issues

Conclusion

Upper endoscopy is a sophisticated procedure that demands a comprehensive understanding of endoscope structure, precise operational techniques, and meticulous maintenance practices. Adhering to standardized examination protocols and maintaining equipment integrity are essential for ensuring diagnostic accuracy and patient safety. Continuous practice and adherence to best practices will enhance proficiency in performing upper endoscopies, ultimately contributing to improved patient outcomes.

Written on December 15th, 2024


K-TIRADS Sonographic Classification (Written December 15, 2024)

The Korean Thyroid Imaging Reporting and Data System (K-TIRADS) is a structured risk stratification tool used in the evaluation of thyroid nodules. It is designed to harmonize the interpretation of ultrasound features and guide clinical decision-making—especially regarding the need for fine-needle aspiration (FNA). The following table presents an enhanced overview of each K-TIRADS category, including distinguishing ultrasound characteristics, approximate malignancy risk, and recommended management strategies.

K-TIRADS Category Key Ultrasound Features Recommended Management
K-TIRADS 1
(Benign)
  • Normal thyroid parenchyma or definitively benign nodules.
  • Purely cystic nodules with anechoic interiors, thin walls, and enhanced posterior acoustic transmission.
  • Spongiform nodules (clustered microcystic spaces occupying the entire nodule).
  • Previously biopsied benign nodules.
  • No FNA or further immediate intervention typically required.
  • Follow-up imaging may be performed if clinically indicated (e.g., new symptoms or significant size change over time).
K-TIRADS 2
(Probably Benign)
  • Partially cystic or predominantly solid nodules that are iso- to hyperechoic without suspicious features (e.g., no irregular margins, no microcalcifications, no taller-than-wide shape).
  • Minimal internal vascularity or peripheral vascularity on Doppler.
  • FNA not routinely recommended unless nodules are very large (e.g., ≥ 2 cm) or symptomatic.
  • Periodic ultrasound follow-up can be considered based on clinical judgment, especially if there is any change in nodule characteristics over time.
K-TIRADS 3
(Low Suspicion)
  • Isoechoic or Mildly hypoechoic solid nodules without any of the high-risk ultrasound features (such as irregular margins or microcalcifications).
  • May have smooth margins and regular shape, but echogenicity is slightly lower than surrounding thyroid tissue.
  • FNA recommended if ≥ 1.5 cm in maximal diameter.
  • Regular ultrasound follow-up for smaller nodules, with intervals determined by growth kinetics or clinical context.
K-TIRADS 4
(Intermediate Suspicion)
  • Hypoechoic nodules with one or more suspicious features, including:
    • Irregular or spiculated margins
    • Microcalcifications
    • Taller-than-wide shape (anteroposterior dimension > transverse dimension)
    • Rim calcifications with extrusive soft tissue component
  • Not as pronounced as in K-TIRADS 5 (may only display a subset of suspicious criteria).
  • FNA recommended if ≥ 1.0 cm in maximal diameter.
  • Close follow-up ultrasound may be warranted for nodules below 1.0 cm if highly suspicious features are present.
K-TIRADS 5
(High Suspicion)
  • Markedly hypoechoic nodules (significantly less echogenic than the surrounding thyroid parenchyma) with multiple high-risk features, such as:
    • Irregular, lobulated, or spiculated margins
    • Prominent microcalcifications
    • Taller-than-wide orientation
  • Highest concern for malignancy.
  • FNA recommended if ≥ 0.5 cm in maximal diameter.
  • Aggressive workup typically advised, especially if clinical risk factors (e.g., family history, radiation exposure) are present.

Additional Notes and Commonly Discussed Points

  1. Size Thresholds for FNA
    • The K-TIRADS system uses nodule size cutoffs to guide FNA recommendations. The threshold typically decreases as the level of sonographic suspicion increases.
    • Clinicians may individualize FNA criteria based on additional risk factors (e.g., patient age, history of neck irradiation, family history of thyroid cancer, or presence of suspicious lymph nodes).
  2. Comparison to Other Systems
    • K-TIRADS is similar in concept to other risk stratification systems (e.g., ACR TIRADS, EU TIRADS), but size thresholds and specific definitions of ultrasound features can vary.
    • Adopting one standardized system within a practice or institution can improve consistency in reporting and management decisions.
  3. Clinical Context
    • Final management decisions should be made in conjunction with clinical evaluation, including patient’s symptoms, medical history, and if applicable, thyroid function tests (TSH, T3, T4).
    • In nodules < 1 cm that meet high-risk K-TIRADS 5 criteria but are not recommended for immediate FNA, short-interval follow-up ultrasound may be performed to monitor for interval growth or new suspicious features.
  4. Follow-Up Imaging
    • Follow-up intervals depend on both nodule size and K-TIRADS classification.
    • Growth of a nodule (commonly defined as a 20% increase in diameter or a 50% increase in volume) or new suspicious ultrasound features might prompt earlier biopsy.
  5. Multidisciplinary Approach
    • Collaboration among endocrinologists, radiologists, and surgeons often leads to the best patient outcomes.
    • Shared decision-making with patients, particularly those who have borderline indications for FNA, can help tailor management to individual risk profiles and preferences.

Three Factors to Suspect Malignancy in Thyroid Nodules

These factors, when present in thyroid nodules, warrant careful evaluation and may necessitate further diagnostic procedures such as fine-needle aspiration (FNA) to determine the presence of malignancy.

Written on December 15th, 2024


The Clinical Value of Measuring Post-Void Residual (PVR) Urine Using a Bladder Scanner (Written March 14, 2025)

Measuring post-void residual (PVR) urine is an essential aspect of patient assessment in various clinical settings. Although often associated with specialized urological practice, physicians in many specialties can benefit from regularly evaluating PVR. In particular, the use of a bladder scanner (초음파 방광 용적 측정기) has made this process more convenient and less invasive. Below is a comprehensive overview of the device’s principle, clinical applications, and practical considerations.

1. Introduction

Post-void residual (PVR) refers to the amount of urine remaining in the bladder immediately after a patient finishes voiding. Accurate measurement of PVR plays a pivotal role in diagnosing and managing conditions such as urinary retention, overflow incontinence, and bladder dysfunction related to various neurologic or obstructive pathologies.

Recent advancements in bladder scanning technology allow for non-invasive, real-time assessment of PVR, improving both patient comfort and clinical efficiency.

2. Principle of the Bladder Scanner

A bladder scanner is an ultrasound-based device designed to estimate the volume of urine within the bladder:

  1. Ultrasound Transmission and Reflection

    The scanner’s transducer emits low-intensity ultrasound waves directed toward the bladder. Returning echoes (reflections) are detected and processed by the device’s software.

  2. Volume Calculation

    The scanner analyzes the echo signals to construct a three-dimensional image or volume approximation of the bladder. A numeric reading on the screen displays the estimated volume in milliliters (mL).

  3. Non-Invasive Nature

    Unlike catheterization, no instrumentation is inserted into the urethra. This significantly reduces the risk of urinary tract infection and improves patient comfort.

3. Purpose and Clinical Utility

Using a bladder scanner to measure PVR serves multiple clinical objectives:

  1. Early Detection of Urinary Retention

    Identifies incomplete bladder emptying, which may indicate neurogenic bladder, obstruction, or detrusor underactivity.

  2. Assessment of Lower Urinary Tract Symptoms (LUTS)

    Helps differentiate bladder storage problems (urgency, frequency) from voiding difficulties (hesitancy, weak stream).

    LUTS stands for Lower Urinary Tract Symptoms. This term is used to describe a group of symptoms related to the storage and voiding functions of the bladder. These symptoms often encompass the following conditions:

    • Incontinence: Involuntary leakage of urine.
    • OAB (Overactive Bladder): Characterized by urgency, frequency, and often nocturia, with or without urge incontinence.
    • BPH (Benign Prostatic Hyperplasia): A non-cancerous enlargement of the prostate gland that can obstruct urine flow.
    • BOO (Bladder Outlet Obstruction): Any blockage at the bladder outlet that impedes the normal flow of urine.
    • Retention: Specifically, urinary retention, which refers to the inability to completely empty the bladder.
    • UTI (Urinary Tract Infection): An infection in any part of the urinary system that can lead to similar symptoms.
    • Neurogenic Bladder: Bladder dysfunction due to neurological disorders or injuries.
    • Prostatitis: Inflammation of the prostate, which can also contribute to lower urinary tract symptoms.
  3. Monitoring Neurologic Disorders

    Facilitates early detection of bladder dysfunction in conditions such as stroke, multiple sclerosis, Parkinson’s disease, and spinal cord injury.

  4. Prevention of Recurrent Urinary Tract Infections (UTIs)

    Reduces the likelihood of UTIs by identifying residual urine volumes that foster bacterial growth.

  5. Evaluation of Urinary Incontinence

    Distinguishes between overflow incontinence (associated with high PVR) and other types like stress or urge incontinence.

  6. Guidance for Catheterization Decisions

    Determines whether intermittent catheterization or indwelling catheter placement is truly necessary.

  7. Post-Surgical and Postpartum Bladder Monitoring

    Identifies temporary retention in patients after pelvic surgery or childbirth, prompting timely intervention.

4. Indications for Bladder Scanner Use

Bladder scanning is indicated in diverse clinical scenarios, including but not limited to:

5. Measurement Methods

  1. Bladder Scanner (Primary Method)

    Non-Invasive and Rapid: A scanner offers quick measurements with minimal patient discomfort.

    Ease of Use: The operator positions the transducer over the patient’s suprapubic area. In seconds, the device calculates an estimated bladder volume.

    Reduced Infection Risk: Eliminates the need for catheter insertion solely to measure PVR.

  2. Catheterization (Secondary or Confirmatory Method)

    Accurate but Invasive: A urinary catheter directly drains and measures the volume of any residual urine.

    Higher Risk of Infection: Reserved for cases where ultrasound is not available or when direct measurement is absolutely required for diagnostic certainty or therapeutic relief.

6. Practical Considerations and Implementation

7. Example of Causes and Implications

Cause Typical Clinical Implications
Neurogenic Bladder (e.g., stroke, spinal cord injury) High risk for incomplete emptying, leading to UTIs, overflow incontinence, or renal complications.
Bladder Outlet Obstruction (e.g., BPH, urethral stricture) Potential for urinary retention and overflow incontinence; may require medical or surgical intervention.
Detrusor Underactivity (e.g., diabetic neuropathy) Reduced bladder contractility; may necessitate intermittent catheterization or pharmacologic support.
Postoperative/Postpartum Urinary Retention Often transient; requires vigilance and possible intermittent catheterization until normal voiding returns.

8. Conclusion

The bladder scanner has revolutionized the measurement of post-void residual (PVR) urine, offering a non-invasive, efficient, and user-friendly alternative to traditional catheterization. Its principle of ultrasound-based volume estimation is particularly beneficial in patients at high risk for urinary retention, such as those with cognitive impairment, neurologic disorders, or recent pelvic surgery.

By systematically incorporating bladder scanning into clinical assessments, healthcare professionals can enhance diagnostic accuracy, reduce infection risk, and optimize patient outcomes through timely and targeted interventions.

Written on March 14, 2025


Echocardiography scanning (Written April 6, 2025)

This document provides a systematic and comprehensive guide to echocardiographic scanning, incorporating information on apical windows, atrial septal defects (ASDs), the subcostal view, and hemodynamic estimations such as right atrial pressure (RAP), central venous pressure (CVP), and pulmonary capillary wedge pressure (PCWP). It also emphasizes recognition of restrictive filling patterns and explains the related Doppler parameters. The sections have been organized hierarchically to cover views, structures, Doppler assessments, and additional considerations.

1. Overview and key transitions in apical views

Echocardiography from the apical window provides detailed visualization of the cardiac chambers, valves, and outflow tracts. The standard apical four-chamber (A4C) view is commonly used as a reference for generating other apical views by tilting or rotating the transducer.

  1. Apical four-chamber (A4C) view
    • Transducer position: Typically at the fifth intercostal space in the midclavicular line.
    • Structures visualized: Right atrium (RA), right ventricle (RV), left atrium (LA), left ventricle (LV), interventricular septum, and interatrial septum.
    • Clinical uses:
      • Chamber size assessment.
      • Evaluation of LV systolic function.
      • Preliminary Doppler interrogation of valves.
  2. Apical five-chamber (A5C) view
    • Transition from A4C: Achieved by tilting the transducer anteriorly (or superiorly).
    • Structures visualized: All four chambers plus the left ventricular outflow tract (LVOT) and aortic valve.
    • Clinical uses:
      • Aortic valve evaluation.
      • Assessment of LVOT gradient (e.g., hypertrophic obstructive cardiomyopathy).
  3. Apical two-chamber (A2C) view
    • Transition from A4C: Achieved by rotating the transducer counterclockwise by ~60°.
    • Structures visualized: LV (anterior and inferior walls) and LA.
    • Clinical uses:
      • Regional wall motion analysis of the anterior and inferior LV walls.
      • Left atrial size evaluation.
  4. Apical three-chamber (A3C) view (apical long-axis view)
    • Transition from A2C: Further counterclockwise rotation from the A2C.
    • Structures visualized: LV, LA, aortic valve, ascending aorta, and portion of the RV outflow tract.
    • Clinical uses:
      • Assessment of aortic valve and LV function, mirroring the parasternal long-axis perspective but from the apex.
Starting View Maneuver Resulting View Key Structures Added/Highlighted
A4C Tilt transducer anteriorly/superiorly A5C LVOT and aortic valve
A4C Rotate counterclockwise (~60°) A2C LV (anterior & inferior walls), LA
A2C Continue counterclockwise rotation A3C (apical LAX) LV, LA, aortic valve, ascending aorta

2. Identifying walls and key observations in each view

Accurate identification of left ventricular walls in various apical views is crucial for regional wall motion assessment and overall ventricular function evaluation. Walls are typically described in basal, mid, and apical segments in each view.

  1. Distinguishing LV walls in apical views
    Apical View LV Walls Visualized Notes
    A4C
    • Lateral wall (toward the left side of the image, depending on machine orientation)
    • Septal wall (adjacent to the RV/IVS)
    Segments described: basal, mid, and apical septal segments; basal, mid, and apical lateral segments
    A2C
    • Anterior wall (near the aortic valve region)
    • Inferior wall
    Useful for evaluating the anterior and inferior LV walls and left atrium
    A3C
    • Anteroseptal (or septal) region near the LVOT/aortic valve
    • Inferolateral (or posterior) LV wall
    Often called the apical long-axis view, paralleling the parasternal long-axis (PLAX) perspective
  2. Distinguishing walls in parasternal views
    1. Parasternal long-axis (PLAX) view
      • Typically shows the anteroseptal (near the interventricular septum) and inferolateral (often referred to as posterior) LV wall.
      • The aortic valve and mitral valve are visualized, along with part of the LV outflow tract.
    2. Parasternal short-axis (PSAX) view
      • Short-axis plane can be obtained at multiple levels (aortic valve, mitral valve, papillary muscle, and apical).
      • At the papillary muscle level, the LV appears as a circular structure commonly divided into six segments: anterior, anterolateral, inferolateral, inferior, inferoseptal, and anteroseptal.
      • This view is useful for comprehensive segmental analysis of LV wall motion.

3. Atrial septal defect (ASD) assessment

  1. Common views for ASD detection
    1. Subcostal view
      • Often the best transthoracic view for evaluating the interatrial septum in adults.
      • Minimizes ultrasound dropout, enabling clearer visualization of septal tissue.
      • Color Doppler can reveal shunt flow across the septum without interference from lung tissue.
    2. Apical four-chamber (A4C) view
      • Can visualize the interatrial septum, but dropout may occur.
      • Color Doppler helps confirm a left-to-right or right-to-left shunt across the septum.
      • Often used as a supplement to the subcostal view for additional Doppler quantification.
    3. Transesophageal echocardiography (TEE)
      • Not a transthoracic view, but provides superior resolution of the atrial septum.
      • Employed if subcostal or apical windows are suboptimal or if detailed anatomy (e.g., rims of an ostium secundum ASD) is needed prior to percutaneous closure.
  2. Direction of blood flow through the ASD
    • Left-to-right (L → R) shunt is most common, resulting from higher LA than RA pressures.
    • Right-to-left (R → L) shunt may occur in advanced cases with elevated right-sided pressures (e.g., Eisenmenger syndrome).
    • Color Doppler appearance depends on the angle of insonation; flow directed toward the transducer is typically displayed in red, whereas flow away is typically in blue.
  3. Additional considerations for ASD evaluation
    1. Shunt quantification:
      • Color Doppler is qualitative.
      • Pulsed-wave or continuous-wave Doppler across the ASD, along with Qp:Qs calculation from LVOT and RVOT, aids in quantifying shunt magnitude.
    2. Anatomic variations:
      • Ostium secundum (most common), ostium primum, or sinus venosus defects may require different angulations or windows for optimal imaging.

4. Subcostal view and its clinical relevance

  1. Utility of the subcostal window
    • Interatrial septum assessment: Provides a straight ultrasound path through the liver, minimizing lung interference.
    • IVC measurement: Allows visualization of the inferior vena cava in its long axis as it enters the RA.
    • Particularly helpful in technically difficult patients (e.g., obesity, lung disease) where parasternal or apical windows are limited.
  2. IVC diameter measurement and collapsibility
    • Measurement location: 1–2 cm proximal to the RA junction, typically just distal to the hepatic vein insertion.
    • Collapsibility index: Percentage decrease in IVC diameter from end-expiration to inspiration (e.g., via a “sniff test”). A higher collapsibility indicates lower RA pressure.
  3. Differentiating RAP, CVP, and PCWP
    1. Right atrial pressure (RAP)
      • Reflects the pressure in the RA.
      • Often used interchangeably (though not always precisely) with central venous pressure (CVP).
      • Estimated from IVC size, collapsibility, and hepatic vein flow patterns.
    2. Central venous pressure (CVP)
      • The pressure in the great veins just before entering the RA.
      • Usually approximates RA pressure in most clinical situations.
    3. Pulmonary capillary wedge pressure (PCWP)
      • An indirect measure of left atrial pressure (LAP).
      • Estimated by Doppler indices of mitral inflow (E/A ratio, deceleration time), pulmonary venous flow, tissue Doppler (E/e′), or by right heart catheterization.
      • Not directly gleaned from the IVC.

5. Estimation of right atrial pressure

Many echocardiography labs use IVC diameter and collapsibility to estimate RAP, supplementing these with hepatic vein flow patterns for further refinement.

  1. IVC-based estimation of RA pressure
    IVC Diameter (cm) Collapsibility (%) Estimated RA Pressure (mmHg)
    ≤ 1.7 > 50 0–5
    > 1.7 < 50 10–20

    An alternative (and widely used) guideline:

    IVC Diameter (cm) Collapsibility (%) Estimated RA Pressure (mmHg)
    ≤ 2.1 ≥ 50 0–5
    ≤ 2.1 < 50 5–10
    > 2.1 ≥ 50 5–10
    > 2.1 < 50 10–20
  2. Refining RA pressure estimation with hepatic vein flow
    IVC Collapse (%) Hepatic Vein Flow Estimated RA Pressure (mmHg)
    > 50 Vs > Vd (systolic > diastolic) 0–5
    > 50 Vs = Vd 5–10
    < 50 Vs < Vd 10–15
    < 50 Vs << Vd 15–20

    Notes:
    - Vs = Systolic forward velocity in the hepatic vein.
    - Vd = Diastolic forward velocity in the hepatic vein.

6. Restrictive filling pattern indicators

A restrictive filling pattern suggests elevated filling pressures, often in the setting of diastolic dysfunction or restrictive cardiomyopathy.

Key Doppler parameters:

Parameter Value/Characteristic
Pulmonary venous S:D ratio < 1 (diastolic dominance)
IVRT (ms) < 70
Pulmonary acceleration time (PacT) Decreased (reflecting higher filling pressures)
Tissue Doppler (E/e′) Elevated (indicative of higher LV filling pressures)

These findings must be interpreted in the appropriate clinical context and supported by additional echocardiographic indices and patient symptoms to confirm a true restrictive physiology.

7. Additional structural considerations

  1. Moderator band in the right ventricle
    • The moderator band traverses the RV cavity from the interventricular septum to the RV free wall.
    • Readily identified in apical four-chamber or subcostal views.
    • Useful landmark for distinguishing RV from LV, especially in suboptimal windows.
  2. Relative positioning of the tricuspid valve (TV) and mitral valve (MV)
    • Under normal conditions, the tricuspid annulus is slightly more apical (inferior) compared to the mitral annulus in the A4C view.
    • If the tricuspid valve appears at the same level or even higher than the mitral valve, it may indicate:
      • Ebstein anomaly (apical displacement of the tricuspid leaflets).
      • Atrioventricular canal defect (especially if both valves are abnormally positioned).
      • Unusual tilt/angulation of the transducer.
  3. Right ventricle size considerations
    • The RV is normally less muscular and slightly smaller than the LV in most standard views.
    • RV enlargement can occur in:
      • Pulmonary hypertension or chronic lung disease (cor pulmonale).
      • Acute respiratory distress syndrome (ARDS).
      • Pulmonary thromboembolism (PTE), where acute elevations in pulmonary artery pressure strain the RV.

Written on April 6, 2025


Rotator cuff assessment and ultrasound examination (Written April 6, 2025)

Rotator cuff disorders rank among the most frequent causes of shoulder pain and can significantly impair daily function. The rotator cuff is composed of four muscles and their tendons—supraspinatus, infraspinatus, teres minor, and subscapularis—alongside the long head of the biceps tendon, the glenohumeral (GH) joint, and the acromioclavicular (AC) joint. These structures collectively help stabilize the shoulder and facilitate a broad range of motions. Injury or degeneration to any of these components may lead to pain, weakness, and mechanical dysfunction.

I. Anatomy of the rotator cuff and related structures

Below is a structure-based table that integrates key pathologies, physical exam tests, patient symptoms, and recommended ultrasound approaches/postures. Each structure may present multiple pathologies; therefore, multiple rows for the same structure are included to offer detailed information.

Structure Pathology Key Physical Exam Tests Physical Exam Findings & Patient Symptoms Ultrasound Approach/Posture & Key Observations
Supraspinatus Tendinopathy
  • Painful Arc Test
  • Jobe’s (“Empty Can”) Test
  • Lateral shoulder pain, often worse with overhead activities or at night
  • Mild weakness in abduction
  • Painful arc typically between 60°–120°
  • Neutral position: Basic overview of supraspinatus
  • Crass/Modified Crass (long-axis view): Look for tendon thickening, altered echogenicity, and any signs of tendinopathy
  • Assess Power Doppler for increased vascularity indicating inflammation
Supraspinatus Partial/Full-Thickness Tear
  • Jobe’s (“Empty Can”) Test
  • Drop Arm Test
  • Pain and weakness on abduction
  • Night pain
  • Positive “empty can” sign (pain or weakness on resisted abduction)
  • Drop arm if severe full-thickness tear
  • Crass/Modified Crass: Optimal longitudinal view to detect fiber defects (anechoic or hypoechoic gaps)
  • Look for tendon retraction or delamination
  • Evaluate subacromial-subdeltoid bursa for fluid, which may indicate tear communication
Infraspinatus Tendinopathy or Tear
  • External Rotation Lag Sign
  • Posterior Shoulder Palpation
  • Posterior shoulder pain
  • Weakness in external rotation
  • Positive external rotation lag sign (suggestive of significant tear)
  • Arm abducted with hand on head: Offers a clearer posterior cuff view
  • Inspect short- and long-axis planes for partial or complete discontinuities
  • Evaluate for atrophy of the infraspinatus muscle belly on longitudinal scans
Teres minor Tendinopathy or Tear
  • External Rotation Assessment
  • Less commonly symptomatic
  • Mild posterior shoulder discomfort
  • Subtle weakness in external rotation
  • Arm abducted with hand on head: Same scanning window as for infraspinatus
  • Compare echogenicity, thickness, and continuity with infraspinatus
  • Look for focal defects or thinning
Subscapularis Tendinopathy
  • Lift-off Test (may still be normal in mild pathology)
  • Anterior shoulder pain
  • Difficulty with internal rotation (e.g., tucking in a shirt, reaching behind the back)
  • Neutral position: Partial visualization
  • External rotation posture: Places subscapularis under tension for detailed assessment
  • Look for thickening, heterogeneous echotexture, peritendinous fluid
Subscapularis Partial/Full-Thickness Tear
  • Lift-off Test
  • Belly-Press Test
  • Marked weakness in internal rotation
  • Inability to lift hand off the back in lift-off test
  • Possible anterior shoulder instability if severe
  • External rotation posture: Tension helps differentiate intact from torn fibers (intact tendon appears brightly hyperechoic)
  • Evaluate for anechoic/hypoechoic defects in the subscapularis
  • Check the biceps pulley: Subluxation of the biceps tendon often coexists with subscapularis tears
Long head of biceps Tendinosis
  • Speed’s Test
  • Anterior shoulder pain
  • Pain on resisted forward flexion
  • Tenderness in the bicipital groove
  • Neutral position: Short- and long-axis views in the bicipital groove
  • Look for tendon thickening, hypoechoic intratendinous changes
  • Power Doppler can detect hyperemia related to inflammation
Long head of biceps Subluxation/Dislocation
  • Yergason’s Test
  • Clicking or snapping sensations
  • Anterior shoulder pain
  • Pain on resisted supination
  • External rotation: The tendon may translate medially or laterally out of the groove
  • Dynamic scanning is crucial to observe real-time translation
  • Note any discontinuity or pulley system compromise
Glenohumeral (GH) joint Instability / Labral Lesions
  • Apprehension Test
  • Relocation Test
  • Sensation of the shoulder “slipping out”
  • Possible clicking or popping during overhead movements
  • Pain with certain positions
  • Ultrasound sensitivity for labral tears is limited
  • May reveal joint effusions or biceps anchor irregularities as indirect evidence
  • Dynamic scanning can show abnormal humeral head translation in severe cases
Acromioclavicular (AC) joint Osteoarthritis / Degenerative Changes
  • Cross-Body Adduction Test
  • Tenderness localized at the AC joint
  • Pain worsened by cross-arm adduction
  • Possible impingement-like pain from AC joint osteophytes
  • Neutral or slight cross-arm adduction: Assess joint space narrowing, osteophytes, and cortical irregularities
  • Dynamic scans can determine if the AC joint encroaches on the underlying supraspinatus (subacromial impingement)

II. Clinical significance and common problems

The following pathology-based table highlights common shoulder pathologies, involved structures, key physical exam tests, recommended ultrasound postures, and essential ultrasound findings. The major physical exam tests are described in detail afterward.

Pathology Involved Structures Key Physical Exam Tests Recommended Ultrasound Postures Key Ultrasound Findings
Subacromial Impingement
  • Supraspinatus
  • Subacromial bursa
  • AC joint
  • Neer’s Sign
  • Hawkins’ Test
  • Painful Arc
  • Neutral position: Baseline rotator cuff
  • Crass/Modified Crass: Supraspinatus in long axis
  • Slight cross-arm adduction: AC joint
  • Thickened subacromial bursa
  • Supraspinatus tendinopathy or tear
  • Osteophytes at AC joint
  • Dynamic scanning may reveal mechanical impingement under the acromion or AC joint
Rotator Cuff Tears
  • Supraspinatus (most common)
  • Infraspinatus
  • Subscapularis (or combined)
  • Jobe’s (“Empty Can”)
  • Drop Arm
  • Lift-off Test (subscapularis)
  • External Rotation Lag Sign (infraspinatus)
  • Crass/Modified Crass: For supraspinatus
  • External rotation: Subscapularis
  • Arm abducted with hand on head: Posterior cuff structures
  • Hypoechoic or anechoic tendon defects
  • Tendon retraction or gap
  • Fluid in the subacromial-subdeltoid bursa for full-thickness tears
  • Possible muscle atrophy, especially of infraspinatus
Biceps Tendon Pathology
  • Long head of biceps tendon
  • Stabilizing ligaments
  • Speed’s Test
  • Yergason’s Test
  • Neutral position: Visualize bicipital groove in short- and long-axis
  • External rotation: Check for subluxation
  • Tendinosis: Tendon thickening, hypoechoic changes
  • Subluxation or dislocation: Tendon shifts medially or laterally from the groove
  • Fluid in the tendon sheath indicating inflammation
AC Joint Osteoarthritis
  • Acromioclavicular joint
  • Secondary effect on supraspinatus impingement
  • Cross-Body Adduction Test
  • Neutral or slight cross-arm adduction: Evaluate joint space and bony margins
  • Narrowed AC joint space
  • Osteophytes or irregular bony surfaces
  • Possible impingement on the supraspinatus by prominent AC joint structures
Glenohumeral Instability
  • GH joint capsule
  • Labrum
  • Biceps anchor
  • Apprehension Test
  • Relocation Test
  • Neutral position: General overview
  • Dynamic scanning: Observe humeral head translation if severe
  • Limited visualization of the labrum on ultrasound
  • Possible joint effusions
  • Biceps anchor abnormalities
  • Humeral head subluxation or translation in real-time dynamic maneuvers

Explanation of key physical exam tests

  1. Jobe’s (Empty Can) Test

    How to perform: The arms are abducted to approximately 90° in the scapular plane, with the thumbs pointing downward (internal rotation). The examiner applies gentle downward resistance.

    Positive sign: Pain or pronounced weakness, suggesting supraspinatus pathology (tendinopathy or tear).

  2. Drop Arm Test

    How to perform: The arm is abducted to 90°, and the patient attempts to lower it slowly.

    Positive sign: Inability to control the lowering (the arm drops), indicative of a possible full-thickness rotator cuff tear.

  3. Neer’s Sign

    How to perform: The scapula is stabilized while the examiner passively elevates the arm fully in the scapular plane.

    Positive sign: Pain during the final phase of elevation, suggesting subacromial impingement.

  4. Hawkins’ Test

    How to perform: The shoulder is flexed to 90°, the elbow flexed to 90°, and the shoulder is forcefully internally rotated.

    Positive sign: Pain or grimacing, often indicating supraspinatus impingement under the coracoacromial arch.

  5. Painful Arc Test

    How to perform: The arm is actively abducted from 0° to 180°.

    Positive sign: Pain typically between 60° and 120° of abduction, suggestive of subacromial impingement.

  6. Speed’s Test

    How to perform: The shoulder is flexed to about 90°, forearm supinated, and elbow extended. The examiner applies downward resistance on the forearm.

    Positive sign: Pain localized to the bicipital groove, suggesting long head of the biceps tendinopathy or labral pathology.

  7. Yergason’s Test

    How to perform: The elbow is flexed to 90° with the forearm pronated. The patient attempts to supinate against resistance while the examiner palpates the bicipital groove.

    Positive sign: Pain or a “popping” sensation in the bicipital groove, indicative of biceps tendon subluxation or instability.

  8. Lift-off Test (Subscapularis)

    How to perform: The dorsum of the hand is placed on the lower back. The patient attempts to lift the hand off the back.

    Positive sign: Inability to move the hand away from the back, pointing to a subscapularis tear or dysfunction.

  9. External Rotation Lag Sign

    How to perform: The arm is held in external rotation at the patient’s side or in slight abduction, and the examiner asks the patient to hold that position actively.

    Positive sign: Inability to maintain external rotation, indicating possible infraspinatus pathology.

  10. Cross-body Adduction Test

    How to perform: With the shoulder flexed to 90°, the arm is actively or passively adducted across the chest.

    Positive sign: Pain localized at the AC joint, suggesting AC joint osteoarthritis or inflammation.

  11. Apprehension and Relocation Tests (GH Instability)

    How to perform:
    - Apprehension: With the patient supine, the shoulder is abducted to 90° and externally rotated.
    - Relocation: A posteriorly directed force on the humeral head is applied at the point of apprehension.

    Positive sign: Fear of anterior dislocation (apprehension) that improves with the relocation maneuver, suggesting GH joint instability.

III. Ultrasound examination of the shoulder

1. General principles

2. Key patient postures

The table below summarizes four primary shoulder positions used in ultrasound to optimize visualization of the rotator cuff and biceps tendon. Subtle probe adjustments may be necessary to maintain perpendicularity.

Position Patient Posture Structures Visualized Observations & Rationale
Neutral position The arm rests at the side, palm facing the thigh (neutral shoulder rotation).
  • Overall rotator cuff overview
  • Anterior supraspinatus portion
  • Partial subscapularis
  • Long head of biceps in the bicipital groove
Baseline assessment of gross landmarks, tendon integrity, and biceps tendon position.
Crass (or Modified Crass / “Wallet”) position The hand is placed behind the back at waist level (as if reaching for a wallet).
  • Supraspinatus tendon in a longitudinal “long-axis” view
Maximizes tension on the supraspinatus, making subtle tears or partial tears more apparent. Ideal for detecting minor fiber disruptions.
External rotation The elbow is flexed at 90°, kept close to the trunk, and the forearm is rotated outward (externally) at the shoulder.
  • Subscapularis tendon in a taut position
Allows a clear distinction between normal, bright (hyperechoic) tendon fibers and potential tear sites. Also useful for evaluating biceps tendon stability when scanning the bicipital groove region.
Arm abducted with hand on head (“abducted position”) The arm is elevated such that the hand is placed on or behind the head.
  • Infraspinatus
  • Teres minor
  • Posterior cuff region
Permits excellent access to the posterior cuff (infraspinatus and teres minor) to identify partial or complete tears, tendinopathy, or muscle atrophy.

IV. Use of Power Doppler in rotator cuff assessment

Power Doppler is more sensitive than conventional color Doppler for detecting low-velocity blood flow. It provides no information on flow direction but can aid in identifying neovascularization seen in:

In the rotator cuff, Power Doppler is particularly helpful for correlating structural changes (e.g., partial tears or thickened, heterogeneous tendons) with active inflammatory processes or chronic degenerative changes.

V. Practical considerations for diagnosis and management

  1. Clinical examination
    • Special tests (e.g., Jobe’s, Drop Arm, Lift-off, Speed’s, Yergason’s, Neer’s, Hawkins’, Cross-body Adduction, Apprehension/Relocation) guide clinical localization of rotator cuff, biceps, AC joint, or GH joint pathologies.
    • Assessment of strength, range of motion, and provocative maneuvers helps differentiate among impingement, tendon tears, and joint instability.
  2. Ultrasound correlation
    • Identify tendon discontinuities or tears (hypoechoic or anechoic defects).
    • Adjust the transducer angle to avoid anisotropy if a tendon appears artificially dark.
    • Check the long head of the biceps in the bicipital groove, looking for subluxation/dislocation or effusion.
    • Evaluate the AC joint for arthritic changes (osteophytes) that may contribute to impingement.
    • Use dynamic scans in various postures to detect subtle instabilities (e.g., biceps tendon subluxation) or impingement phenomena.
  3. Further imaging and management
    • Obtain MRI if ultrasound findings are inconclusive or if a more detailed evaluation of labral integrity or deep intra-articular structures is required.
    • Conservative treatment (e.g., physical therapy, nonsteroidal anti-inflammatory drugs, corticosteroid injections) may suffice for mild to moderate pathologies.
    • Surgical intervention (e.g., arthroscopic repair) is considered for full-thickness rotator cuff tears, refractory tendinopathies, or significant shoulder instability.

Written on April 6, 2025


Diet & Enteral Feeding


Classification of NPO Protocols

In the context of NPO (nil per os) protocols, distinctions are often required to clarify whether medication is administered during the fasting period. Several formal and concise options exist for communicating these distinctions effectively, as outlined below.

Each of these options provides a nuanced way to address the classification of NPO protocols, allowing for formal and clear communication tailored to various settings.

Written on November 4th, 2024


Enteral Feeding: L-Tube and PEG (Written December 31, 2024)

Enteral feeding is a vital intervention for patients who cannot maintain adequate oral intake. Two common methods include the L-tube (Levin tube) and Percutaneous Endoscopic Gastrostomy (PEG) tube. Proper selection, management, and monitoring of these tubes are essential to reduce complications, maintain patient safety, and optimize nutritional outcomes. This document provides a structured guideline for L-tube feeding and extends to PEG usage, including comparative indications, management strategies, and regurgitation monitoring.

Criteria L-Tube (Levin Tube) PEG (Percutaneous Endoscopic Gastrostomy)
Insertion Method Inserted nasally or orally, passing through the esophagus into stomach Placed endoscopically through the abdominal wall directly into the stomach
Duration Suitable for short-term (days to a few weeks) Ideal for long-term use (months to years)
Patient Comfort Can be uncomfortable over extended periods; visible and may irritate nasal passages Generally more comfortable once stoma site heals; less visible, reducing nasal/pharyngeal irritation
Maintenance Frequent checks for displacement or blockage; risk of tube migration Stoma site care required; routine flushing to prevent obstruction; less risk of accidental displacement
Potential Complications Nasal or pharyngeal irritation; risk of aspiration, especially if poorly positioned Local infection at stoma site; potential clogging or leakage; dislodgment requiring urgent reinsertion
Indications Acute care settings; short-term feeding or when condition is expected to improve Chronic dysphagia, neurological deficits, or conditions needing long-term nutritional support
Contraindications Severe facial or esophageal trauma; base-of-skull fractures Coagulopathies without correction; inability to safely perform endoscopy; significantly high surgical risk

Regurgitation Monitoring and Expressions

  1. Clinical Context
    • Regurgitated gastric contents are carefully evaluated before each feeding to detect potential complications.”
    • “The presence of regurgitation can indicate delayed gastric emptying, necessitating closer observation and possible intervention.”
  2. Action-Oriented Statements
    • “If regurgitation is detected, feeding is delayed until the patient’s condition is reassessed.”
    • To prevent aspiration, any sign of regurgitated or refluxed material prompts a reevaluation of the feeding regimen.
  3. Describing Greenish vs. Reddish Regurgitation
    • Greenish regurgitant, suggesting the presence of bile, was noted during the assessment.”
    • Reddish regurgitation was observed, indicating possible blood and prompting further evaluation.”
Finding Potential Cause Recommended Action
Greenish Regurgitant Bile reflux or duodenal backflow Hold feeding, reassess gastric emptying, consider further diagnostic tests.
Reddish Regurgitation Possible bleeding Discontinue feeding, evaluate for GI bleed, arrange urgent consultation.
Large Volume Residuals Delayed gastric emptying Delay or reduce feeding volume/rate, consult gastrointestinal specialist.
Foul-Smelling Aspirates Infection or necrosis Obtain cultures, review antibiotic therapy, reassess feeding strategy.

Written on December 31th, 2024


Determining FW from Diet Amount (Written March 27, 2025)

This overview addresses the process of deriving FW (Fresh Weight) for patients under L-tube feeding or PEG feeding. In the context provided, the base diet comprises 250 tid and 100 tid, making a total of 350 tid. The determination of FW from a given total diet volume relies on identifying its ratio within this total. This approach ensures consistency in the nutrient or caloric composition across individual feedings.

Underlying Principle

  1. Diet Composition
    The reference diet consists of 250 tid plus 100 tid, for a total of 350 tid.
  2. FW Proportion Calculation
    The proportion of FW is calculated as follows:

    \( \displaystyle \text{FW proportion} = \frac{100}{350} \approx 0.286 \) (28.6%).
  3. Application to Meal Volumes
    Let \( V \) represent the volume of a single meal (in cc). The required volume of FW for that meal is obtained by multiplying \( V \) by 0.286:

    \( \displaystyle \text{FW volume (cc)} = V \times 0.286 \).

Such proportional calculations are routinely employed in diet or feed formulations where specific component ratios are defined, ensuring a consistent distribution of macronutrients and total caloric intake.

Practical Calculation and Table

The table below illustrates the FW quantity for various single-meal volumes (from 200 cc to 500 cc), applying the ratio of 28.6%.

Meal Volume (cc) FW Volume (cc)
200 \(200 \times 0.286 \approx 57\)
300 \(300 \times 0.286 \approx 86\)
400 \(400 \times 0.286 \approx 114\)
500 \(500 \times 0.286 \approx 143\)

Reference

  1. National Research Council. (2012). Nutrient Requirements of Swine (11th rev. ed.). National Academies Press.
  2. Feedipedia. https://www.feedipedia.org

Written on March 27, 2025


Parenteral Nutrition Solutions (Written April 9, 2025)

Category Winuf Peri Inj.
(Winuf Peri Inj.)
Omaph One Peri Inj.
(Omaph One Peri Inj.)
Armix
(Armix)
MultiPotent 5week
(MultiPotent 5week)
Armix + MultiPotent 5week
1. Composition - Carbohydrates: Mainly dextrose solution
- Amino Acids: Various essential and non‐essential amino acids (e.g., L‐Arginine, L‐Leucine, etc.) with electrolytes
- Lipids: A combination of fish oil (rich in omega‑3 fatty acids), medium chain triglycerides (MCT), olive oil, and soybean oil
- Features: Formulated in a three‐chamber system ensuring excellent pre-mixing stability, with noted anti‐inflammatory benefits from omega‑3
- Carbohydrates: Dextrose solution
- Amino Acids: Customized profiles for both adult and pediatric versions including various amino acids and electrolytes
- Lipids: Incorporates mixed lipids (fish oil, MCT, soybean oil, etc.) designed to be suitable for a wide age range
- Features: Offers a wide range of volume options and includes pediatric‐specific formulations
- Carbohydrates: Dextrose is the primary energy source
- Amino Acids: Standard, well-balanced amino acid profile with electrolytes
- Lipids: Uses a blend of fish oil, soybean oil, and similar mixed lipids, sometimes provided in tandem infusion
- Features: Generally utilizes a multi‐compartment system to deliver a balanced mix of nutrients
- Carbohydrates: Contains dextrose
- Amino Acids: Formulated with essential and non‐essential amino acids and electrolytes optimized for extended 5‐week administration
- Lipids: Allows stepwise dosing from low to intermediate lipid levels
- Features: Enhanced with fortified micronutrients (vitamins and minerals) and improved stability for long-term use
- Carbohydrates: Uses the dextrose-based energy supply of Armix, with adjustments from the MultiPotent 5week formulation when needed
- Amino Acids: Combines the balanced amino acid profile of Armix with the long-term stable formulation from MultiPotent 5week
- Lipids: Merges the common lipid mixtures to supply the necessary lipid dose according to patient needs
- Features: Leverages the benefits of both short-term (Armix) and long-term (MultiPotent 5week) products to offer a tailored nutrition plan
2. Efficacy & Benefits
  • Contributes to energy balance, protein synthesis, tissue repair, and improved immune function
  • Offers anti‐inflammatory effects through omega‑3 fatty acids in the lipid component
  • Wide range of volume options allows for patient‐specific dosing
  • Provides a formulation effective for both adult and pediatric patients
  • Enhances metabolic support and immune regulation
  • Available in multiple manufacturing units, accommodating varied patient needs
  • Effectively supplies essential nutrients in cases of severe malnutrition or critical illness
  • Supports tissue repair and metabolic recovery
  • Economically competitive compared to standard TPN products
  • Optimized for long-term (5-week) administration, ideal for chronic or maintenance therapy
  • Maintains protein synthesis and metabolic balance over extended periods
  • Fortified with micronutrients to promote patient compliance
  • Flexible application addressing both short-term and long-term needs
  • Combines Armix’s high-efficiency short-term supply with MultiPotent 5week’s long-term stability
  • Allows for highly tailored dosing to precisely meet individual nutritional requirements
3. Administration & Considerations - Administered intravenously via either peripheral or central venous access
- Generally infused at approximately 3.0 mL/kg/hour
- Daily dosing up to about 40 mL/kg is recommended with careful monitoring based on patient status
- Administered via peripheral or central venous routes; pediatric formulations may have additional volume restrictions
- Dosing rates and total volumes vary between adults and pediatric patients, requiring precise individualization
- Infusion rates and dosage are tailored based on patient weight, metabolic demand, and clinical condition
- Central venous access is generally used with rigorous monitoring of blood glucose, electrolytes, and lipids
- For long-term administration, strict scheduling and infusion rate management is required
- Typically, weekly monitoring by healthcare providers is advised
- Central venous access is commonly employed
- Follows the recommended protocols of both Armix and MultiPotent 5week
- Dosing priorities may be adjusted or combined based on patient condition
- Enhanced catheter management and monitoring are necessary for long-term administration
4. Side Effects & Contraindications - May cause hyperglycemia, lipid overload, and local infusion site reactions
- Contraindicated in cases of severe hypertriglyceridemia, significant liver/kidney dysfunction, or allergies to soybean, fish, or egg protein
- Caution in patients with hyperlipidemia and diabetes
- Requires monitoring for infusion-related allergic reactions, metabolic abnormalities, and hyperglycemia
- Contraindicated in patients with severe lipid metabolic disorders or specific allergies
- Risks include infusion-related reactions, hyperglycemia, and electrolyte imbalances
- Use with caution or avoid in patients with severe metabolic disorders or hypersensitivity
- Requires close monitoring of liver and kidney functions
- Long-term usage may lead to electrolyte imbalances, hyperglycemia, and infusion site reactions
- Contraindicated in patients with severe hepatic or renal impairments, or allergies to key components (especially fish, soybean, or egg)
- The contraindications of each product are cumulatively considered
- A history of allergies to any product components necessitates careful evaluation
- Regular examinations are advised to preempt lipid overload, electrolyte disturbances, and hyperglycemia
5. Available Volumes - 217, 241, 362, 502, 654, 1085, 1450, 2020 mL, etc.
- Wide range of volumes permits patient-specific dosing adjustments
- 220, 362, 500, 660, 724, 952, 1448, 1904 mL, etc.
- Includes some pediatric-specific volumes
- Approximately 250, 500, and 750 mL (varies by manufacturer)
- Specific volumes should be confirmed by the supplier or institutional protocol
- Approximately 200, 400, and 600 mL
- Designed with a 5-week regimen in mind; manufacturer recommendations should be verified
- For combined use, appropriate volume combinations of Armix (250/500/750 mL, etc.) and MultiPotent 5week (200/400/600 mL, etc.) are selected
- Final dosing strategy may vary based on individual treatment plans
구분 위너프페리주
(Winuf Peri Inj.)
오마프원페리주
(Omaph One Peri Inj.)
아르믹스
(Armix)
멀티포텐5주
(MultiPotent 5주)
아르믹스 + 멀티포텐5주
1. 성분 구성 - 탄수화물: 주로 포도당(Dextrose) 용액
- 아미노산: 다양한 필수·비필수 아미노산(L-Arginine, L-Leucine 등) 및 전해질
- 지방: 어유(Fish Oil, 오메가-3 함유), MCT(중쇄지방산), 올리브유, 대두유 등 복합 지질
- 특징: 주로 3-챔버 형태로 구성되어 혼합 전 안정성이 우수하며, 오메가-3 함유로 인한 항염증 효과가 주목됨
- 탄수화물: 포도당 용액
- 아미노산: 성인용 및 소아용(특정 제품)에 따라 프로필이 맞춤화된 다양한 아미노산 및 전해질
- 지방: 복합 지질(어유, 중쇄지방산, 대두유 등)을 포함하여, 광범위한 연령대에 사용 가능하도록 설계
- 특징: 용량 선택 폭이 넓고, 소아 환자 적용 가능 제품이 존재함
- 탄수화물: 포도당을 주성분으로 하여 열량 공급
- 아미노산: 표준적이면서도 균형 잡힌 아미노산 조성으로, 전해질이 함께 포함
- 지방: 어유, 대두유 등의 혼합 지질을 사용하거나, 병행 투여 형태로 제공되기도 함
- 특징: 대체로 다중 챔버 시스템이 적용되어, 탄수화물·아미노산·지질을 균형 있게 공급함
- 탄수화물: 포도당 함유
- 아미노산: 장기간(5주) 투여에 적합하도록 설계된 필수·비필수 아미노산 및 전해질
- 지방: 상대적으로 저용량 지질부터 중간용량 지질까지 단계적으로 투여 가능
- 특징: 장기 투여에 따른 미량영양소(비타민, 미네랄) 구성 강화가 보고되며, 안정성 개선을 위해 추가 보강된 제형을 제공
- 탄수화물: 아르믹스의 포도당 기반 열량 공급을 기본으로 하면서, 필요 시 멀티포텐5주 제형에서 일부 조정
- 아미노산: 아르믹스의 균형 잡힌 아미노산 조성에 멀티포텐5주의 장기 안정형 조성을 결합
- 지방: 두 제제에 공통되는 복합 지질을 상황에 맞추어 조합하여 필요량 보충 가능
- 특징: 단기(아르믹스)와 장기(멀티포텐5주)의 장점을 동시에 활용해 맞춤형 영양 공급을 도모할 수 있음
2. 효능 및 장점
  • 에너지 균형, 단백질 합성, 조직 회복 및 면역기능 향상에 기여
  • 어유에 포함된 오메가‑3 지방산에 의한 항염증 효과
  • 다양한 용량 선택으로 환자별 투여 조절 용이
  • 성인 및 소아 모두 사용 가능한 배합비로 폭넓은 임상 적용
  • 대사 지원 및 면역 조절에 긍정적 효과
  • 다양한 제조 단위 및 제형으로 다변화된 환자군에 맞춰 처방 가능
  • 중증 영양결핍 및 중환자 치료 시 효과적인 영양 공급
  • 조직 손상 복구와 대사 회복에 유리한 균형 영양소 제공
  • 경제적 비용 대비 효과가 높다는 평가
  • 5주간 장기 투여 목적에 최적화되어 있으며, 만성 질환 및 장기 유지 요법에 이상적
  • 단백질 합성과 대사 균형을 장시간 유지
  • 미량영양소 강화로 환자 순응도 제고
  • 단·장기 투여를 모두 고려하여 환자 상태에 따라 유연하게 적용
  • 아르믹스의 단기간 고효율 공급과 멀티포텐5주의 장기 안정성 시너지
  • 맞춤형 처방으로 환자별 영양 요구량을 정교하게 조절 가능
3. 투여 및 주의사항 - 말초정맥 혹은 중심정맥으로 투여 가능
- 일반적으로 3.0 mL/kg/시간 정도로 주입 속도 조절
- 1일 최대 약 40 mL/kg 투여를 권장하며, 개별 환자 상태에 따라 모니터링이 필수
- 말초·중심정맥 투여가 가능하나, 일부 소아용 제제는 용적 제한 등 추가 고려사항 존재
- 성인·소아별 권장 주입 속도 및 총 투여량이 다르므로 정확한 환자 맞춤 조절 필요
- 환자의 체중, 대사 요구, 임상 상태에 따라 주입 속도와 투여량을 개별 설계
- 중심정맥 투여가 일반적이며, 투여 중 혈당·전해질·지질 수치를 면밀히 관찰
- 장기간 주차 투여를 고려할 경우 투여 스케줄 및 주입 속도 엄격 관리
- 일반적으로 주 1회 이상은 의료진 모니터링 권장
- 중심정맥 경로 사용이 보편적
- 아르믹스와 멀티포텐5주 각각의 권장 투여 프로토콜을 병행 적용
- 환자 상태에 따라 투여 우선순위를 정하거나 병합 스케줄을 조정
- 장기 투여에 대비한 카테터 관리 및 모니터링 강화 필요
4. 부작용 및 금기사항 - 고혈당, 지질 과부하, 국소 주사부위 반응 발생 가능
- 중증 고중성지방혈증, 간·신장기능 심각 손상, 대두·어류·난류 단백 알레르기 시 금기
- 고지혈증 및 당뇨 환자에서 주의 요구
- 주입 관련 알레르기 반응, 대사성 이상, 고혈당 모니터링 필수
- 중증 지질 대사 이상 환자나 특정 알레르기 보유 시 금기
- 주입 관련 과민반응, 고혈당, 전해질 불균형 위험 존재
- 중증 대사 장애, 과민증 환자에서는 신중 투여 혹은 금기
- 간기능·신장기능 면밀히 확인 필요
- 장기간 사용 시 전해질 불균형, 고혈당, 주사부위 이상 반응 발생 가능
- 중증 간·신장질환 환자 혹은 주요 성분(특히 어류·대두·난류)에 알레르기 있는 경우 금기
- 각각의 금기사항이 중복 적용
- 제품별 성분에 대한 알레르기 이력이 있는 경우 매우 신중한 판단 필요
- 지질 과부하, 전해질 불균형, 고혈당 등 발생 가능성에 대비하여 정기 검진 권장
5. 사용 가능 용량 - 217, 241, 362, 502, 654, 1085, 1450, 2020 mL 등
- 폭넓은 용량 선택으로 환자별 맞춤 용량 설정 가능
- 220, 362, 500, 660, 724, 952, 1448, 1904 mL 등
- 일부 pediatric 전용 용량 있음
- 약 250, 500, 750 mL 등 (제조사별 상이)
- 구체적 용량은 공급사나 병원 내 프로토콜 확인 필요
- 약 200, 400, 600 mL 등
- 주로 5주 단위 사용을 고려하여 설계되었으나, 제조사 권장 사항 확인 필수
- 제품 간 병합 시 아르믹스(250/500/750 mL 등)와 멀티포텐5주(200/400/600 mL 등) 중 적절 조합 선택
- 투여 전략에 따라 용량 구성 달라질 수 있음

Written on April 9, 2025


Gynecology


Refractory vaginal discharge in an 80-year-old woman: diagnosis rationale, regimen, and drug-by-drug guidance (Written August 4, 2025)

I. Clinical interpretation

An older adult with persistent vaginal discharge did not respond to prior single-agent treatments (clotrimazole vaginal tablet and metronidazole). The gynecology clinic prescribed a combination antibacterial–antifungal vaginal soft capsule (Gynosense) for 14 nights plus a povidone–iodine vaginal suppository (Gynobetadine) for 7 nights . This pattern supports a working diagnosis of mixed vaginitis (for example, concomitant vulvovaginal candidiasis with bacterial overgrowth or nonspecific vaginitis) or recurrent/refractory vaginitis where broader topical coverage and short antiseptic therapy are reasonable.

II. Why the new regimen makes sense

III. What each prior drug is best for

IV. Dosing, duration, brand examples, and practical notes

Agent Usual indication Standard dosing & duration Brand examples
(vary by country)
Key notes
Gynosense vaginal soft capsule
(neomycin + polymyxin B + nystatin)
Mixed vaginitis; relapse after single-agent therapy Insert 1 capsule intravaginally at bedtime for 14 nights (per this prescription).
Typical labeled courses are 12–14 nights.
Gynosense™; Polygynax™; (composition-related alternative: Terzhinan™*).
*Different formulation (includes ternidazole and steroid); class intent is similar—broad local coverage.
Avoid if hypersensitive to aminoglycosides or polymyxins. Consider culture/NAAT if symptoms persist after completion.
Gynobetadine vaginal suppository
(povidone–iodine 200 mg)
Nonspecific/mixed vaginitis; short antiseptic course Insert 1 suppository intravaginally nightly for 7 nights . Gynobetadine™; Betadine™ Vaginal; Povidone-Iodine Suppository (various generics) May irritate or stain. Use with caution in iodine sensitivity or thyroid disorders.
Clotrimazole (vaginal) Uncomplicated vulvovaginal candidiasis Options include:
• 500 mg vaginal tablet once , or
• 200 mg nightly x 3 nights, or
• 100 mg nightly x 6–7 nights, or
• 1% cream intravaginally daily x 7–14 days.
Canesten™; Gyne-Lotrimin™ (Gyne-Lotrimin 3/7); Mycelex-7™ Excellent for C. albicans ; consider culture for non- albicans species or recurrent disease.
Metronidazole
(oral or 0.75% vaginal gel)
Bacterial vaginosis; trichomoniasis BV: 500 mg PO twice daily x 7 days or 0.75% gel 5 g intravaginal once daily x 5 days .
Trichomoniasis (women): 500 mg PO twice daily x 7 days (preferred).
Flagyl™ (oral); MetroGel-Vaginal™ 0.75%; Zidoval™/Nidagel™ (regional) Avoid alcohol during therapy and for at least 24–48 hours after last dose. Treat sexual partners in trichomoniasis.

V. Practical next steps for this patient

  1. Complete the prescribed local regimen: Gynosense nightly for 14 nights and Gynobetadine nightly for 7 nights, unless significant irritation occurs.
  2. Re-evaluate if symptoms persist: perform vaginal pH, amine (“whiff”) test, wet mount or point-of-care microscopy, NAAT for Trichomonas , and yeast culture (to identify non- albicans species).
  3. Consider contributing factors: genitourinary syndrome of menopause (atrophic vaginitis) with possible trial of local estrogen if clinically appropriate; assess for diabetes, immunosuppression, irritants, or foreign body.
  4. When trichomoniasis is suspected: ensure partner evaluation and treatment, and abstain from intercourse until therapy is completed and symptoms resolve.

VI. Quick reference (one-glance summary)

Likely diagnosis: mixed or relapsing vaginitis in a postmenopausal patient.
New regimen’s intent: broaden local antimicrobial coverage and provide short antiseptic therapy to reduce bioburden.
Best uses: clotrimazole → candidiasis; metronidazole → BV & trichomoniasis; combination capsule → mixed vaginitis; povidone–iodine → short antiseptic course.
Brand anchors: Gynosense / Polygynax; Gynobetadine / Betadine Vaginal; Canesten / Gyne-Lotrimin; Flagyl / MetroGel-Vaginal.

Written on August 4, 2025


Urinology


Evaluation and management of frequent urinary urgency in older women (Written June 4, 2025)

Persistent urinary urgency in geriatric females most commonly reflects idiopathic overactive bladder (OAB), yet a broad spectrum of urological and systemic disorders must be considered. The 2024 AUA /SUFU guideline provides an evidence-based framework for structured evaluation and tiered therapy. Early identification of “red-flag” conditions and judicious use of both conservative and pharmacological modalities optimise outcomes while minimising harm.

Differential diagnosis 🚩

Diagnostic work-up 🔎

  1. Comprehensive history (onset, severity, fluid / caffeine intake, medications, falls risk, cognitive status).
  2. Three-day bladder diary (volume, frequency, urgency, incontinence episodes).
  3. Physical examination: abdominal, pelvic (atrophy, prolapse, cough-stress test), focused neuro-screen.
  4. Urinalysis ± culture; treat proven infection before definitive OAB therapy.
  5. Post-void residual (PVR) via bladder ultrasound; PVR > 150 mL prompts further assessment.
  6. Serum creatinine, glucose, calcium where systemic contributors suspected.
  7. Second-line tests (selected): cystoscopy or imaging for haematuria, urodynamics for refractory cases.

First-line conservative interventions 🏃‍♀️

Pharmacological therapy 💊

Class Agent (Generic) Brand Mechanism Typical dose Key contraindications (CIx) Frequent adverse effects Clinical pearls
Antimuscarinic Oxybutynin Ditropan XL, Oxytrol patch M₃‐receptor blockade → detrusor relaxation IR 5 mg BID–TID; XL 5-30 mg qd; patch 3.9 mg/24 h q3-4 d Narrow-angle glaucoma, gastric retention, severe ulcerative colitis Dry mouth, constipation, blurred vision, cognitive decline Transdermal route favours fewer systemic AEs
Antimuscarinic Tolterodine Detrol LA Non-selective M-blockade IR 1–2 mg BID; ER 4 mg qd QT prolongation risk Dry mouth, headache Reduce to 2 mg qd (ER) when CrCl < 30 mL/min
Antimuscarinic Solifenacin Vesicare M₃-selective 5–10 mg qd Severe hepatic impairment Constipation, QT prolongation (dose 10 mg) M₃ selectivity may confer lower CNS impact
Antimuscarinic Fesoterodine Toviaz Pro-drug → 5-HMT (M₂ / M₃ blockade) 4–8 mg qd Same as oxybutynin Dry mouth, somnolence Flexible dose titration per tolerability
β 3 -agonist Mirabegron Myrbetriq β 3 -adrenoceptor agonism → detrusor relaxation 25–50 mg qd Uncontrolled severe hypertension (> 180/110 mmHg) Mild hypertension, tachycardia Useful when antimuscarinic intolerance
β 3 -agonist Vibegron Gemtesa Highly selective β 3 -agonist 75 mg qd Severe uncontrolled hypertension (precaution) Headache, nasopharyngitis, diarrhoea Absent CYP2D6 inhibition; FDA approval 2020
Combined Mirabegron + Solifenacin Myrbetriq + Vesicare (fixed-dose) Dual β 3 agonism + M₃ blockade 50 mg / 5 mg qd Combination of above Additive anticholinergic load Improves urgency incontinence vs monotherapy
Intravesical chemodenervation OnabotulinumtoxinA Botox SNAP-25 cleavage → ACh release inhibition 100 U intramuscular detrusor injection q6-9 m Neuromuscular junction disorders, pregnancy Urinary retention (6–15 %), UTI, haematuria Require CIC teaching before procedure
Hormone Estradiol (vaginal) Vagifem, Imvexxy Urothelial trophism, collagen synthesis 10 µg daily × 2 weeks → twice weekly Uncontrolled breast ca, undiagnosed genital bleeding Local irritation, discharge Adjunctive; may enhance response to OAB drugs
Antidiuretic peptide Desmopressin SL (female) Noctiva SL V₂-receptor agonist → anti-diuresis 25 µg SL at bedtime (women) Hyponatraemia (< 135 mmol/L), polydipsia Hyponatraemia, headache Indicated for nocturia with nocturnal polyuria

Second-line and advanced interventions ⚙️

Special considerations in geriatric practice 🎗️

Algorithmic summary 📈

Step 1 → Exclude infection / haematuria →
Step 2 → Conservative therapy (≥ 6 weeks) →
Step 3 → Monotherapy (antimuscarinic or β 3 -agonist) →
Step 4 → Combination pharmacotherapy →
Step 5 → Botox / neuromodulation →
Step 6 → Surgical reconstruction (rare)

Written on June 4, 2025


KMLE style U/A Interpretation (Written November 4, 2025)

Interpretation points and criteria from an exam perspective

Category Normal / Reliable findings Suspected contamination findings
1. White blood cells (WBC) Inflammation possible when many are observed Few or some, but no bacteria → clinically insignificant
2. Bacteria “Some” or “many” with elevated WBC → infection likely Many bacteria but almost no WBC → possible contamination
3. Epithelial cells 0–1 /HPF or less (clean catch) ≥5 /HPFsuggests external genital contamination (especially in females)
4. Nitrite & Leukocyte esterase Both positive → bacterial infection Both negative but bacteria present → possible contamination

Summary of laboratory results

Parameter Result Interpretation
WBC ≥31 /HPF Marked elevation → definite inflammation
Bacteria some Evidence of infection
Epithelial cells 0–1 Clean collection, not contaminated
Nitrite / Leukocyte + / 3+ Typical bacterial infection pattern
pH 9.0 Suggests bacterial metabolic activity
Protein / Blood 1+, 4+ Changes associated with inflammation

Summary by pattern type

Type Main findings Diagnostic interpretation
Normal urine WBC 0–2, RBC 0–2, epithelial few, bacteria none Normal
Infection (UTI) WBC↑, bacteria+, epithelial few, nitrite+, leukocyte+ Reliable evidence of infection
Contamination bacteria+, epithelial many, WBC few, nitrite– Collection contamination, retest required
Asymptomatic bacteriuria bacteria+, nitrite+, leukocyte– No treatment unless symptomatic or in special cases (e.g., elderly women)

Common question phrases and meanings

Exam phrase Meaning
“Female patient collected urine without genital cleansing” High risk of contamination
“Epithelial cells: many” Contaminated specimen
“WBC↑, bacteria+, epithelial 0–1” Reliable U/A (infection likely)
“bacteria+, WBC normal” Contamination or aged specimen
“Nitrite+, leukocyte esterase+” Highly indicative of bacterial infection

Classification guide for normal, infection, and contamination

Parameter Classification rule
Epithelial cells Numerous → contamination
WBC & Bacteria Both elevated → infection
Bacteria only without WBC Possible contamination
Nitrite & Leukocyte esterase Both positive → definitive infection
No epithelial cells with bacteria + leukocyte Reliable infection specimen


KMLE style U/A Interpretation

시험 관점에서의 해석 포인트와 기준

구분 정상/신뢰 가능한 소견 오염(Contamination) 의심 소견
1. 백혈구 (WBC) 다수 관찰 시 염증 가능 적음 or 일부 but no bacteria → 의미 낮음
2. 세균 (Bacteria) “some”, “many”와 함께 WBC↑ → 감염 가능 bacteria 많지만 WBC 거의 없음 → 오염 가능
3. 상피세포 (Epithelial cells) 0–1 /HPF 이하 (깨끗한 채취) 5개 이상/HPF외음부 오염 의심 (특히 여성)
4. Nitrite & Leukocyte esterase 둘 다 양성 → 세균성 감염 둘 다 음성인데 bacteria 있음 → 오염 가능

검사 결과 요약

항목 결과 해석
WBC 31 이상 /HPF 매우 많음 → 염증 확실
Bacteria some 감염 근거
Epithelial cells 0–1 깨끗한 채취, 오염 아님
Nitrite / Leukocyte + / 3+ 세균성 감염 전형적
pH 9.0 세균 대사활동 흔적
Protein / Blood 1+, 4+ 염증으로 인한 변화 가능

유형별 구분 요약

유형 주요 소견 진단 해석
정상 소변 WBC 0–2, RBC 0–2, epithelial few, bacteria none 정상
감염 (UTI) WBC↑, bacteria+, epithelial few, nitrite+, leukocyte+ 신뢰 가능한 감염 소견
오염 bacteria+, epithelial many, WBC 적음, nitrite– 채취 오염, 재검 필요
무증상 세균뇨 bacteria+, nitrite+, leukocyte– 증상 없으면 치료 안함 (여성 고령자에서 출제)

출제 시 자주 등장하는 표현과 의미

출제 표현 의미
“여성 환자가 외음부 세척 없이 소변을 받음” 오염 가능성 ↑
“Epithelial cells: many” 오염된 표본
“WBC↑, bacteria+, epithelial 0–1” 신뢰도 높은 U/A (감염 가능성↑)
“bacteria+, WBC normal” 오염이거나, 오래된 specimen
“Nitrite+, leukocyte esterase+” 세균 감염 거의 확실

항목별 정상/감염/오염 구분법

항목 정상/감염/오염 구분법
Epithelial cells 많으면 오염
WBC & Bacteria 둘 다 많으면 감염
WBC 없이 Bacteria만 오염 가능성 ↑
Nitrite & Leukocyte esterase 둘 다 양성 → 감염 확정적
상피세포 없이 bacteria + leukocyte 신뢰 높은 감염 표본

Written on November 4, 2025


Purple Urine Bag Syndrome (PUBS) (Written November 4, 2025)

Purple Urine Bag Syndrome (PUBS) is the most well-known cause of purple discoloration seen in urinary collection systems. It typically occurs in patients with urinary tract infections (UTIs), especially in elderly individuals who use indwelling urinary catheters.

I. Causative Bacteria

The condition is commonly associated with bacterial infections involving:

II. Mechanism

The purple discoloration results from bacterial metabolism of tryptophan:

Tryptophan → Indole → Indican → Indigo (blue pigment) + Indirubin (red pigment)

When indigo and indirubin combine, they create the characteristic purple color.

III. Characteristics

Written on November 4, 2025


Other Managements


Calculating Infusion Rates

Infusion rate calculations are essential across clinical practices, where different methodologies are adapted to meet specific requirements, equipment, and patient needs. Below is a structured overview of various methods, categorized to provide a detailed reference for different infusion calculations.

Primary Methods for Infusion Rate Calculation

Additional Methods for Infusion Rate Calculation

Each of these methods offers tailored infusion control based on the specific requirements of the clinical scenario, whether manually controlled, gravity-based, programmable, or weight-adjusted. These options ensure a flexible approach to IV administration, supporting accuracy and safety across patient care settings.

Managing Infusion Rates for High-Osmolarity Solutions

Administering high-osmolarity solutions requires meticulous control of infusion rates to prevent adverse effects. Such solutions—often used in parenteral nutrition, electrolyte correction, or specific drug therapies—pose risks of vascular irritation, thrombophlebitis, and tissue damage if infused too rapidly or through inappropriate venous access. Below is a structured approach to safely managing infusion rates, with specific recommendations on GATT and infusion rates for various osmolarity levels.

Osmolarity Level (mOsm/L) Recommended GATT (Drops/min) Approximate Infusion Rate (cc/sec) Recommended Venous Access Notes
Up to 600 mOsm/L 60–100 0.03–0.05 Peripheral or central, if prolonged Suitable for peripheral infusion; monitor for patient tolerance.
600–900 mOsm/L 30–60 0.015–0.03 Central line preferred Slow infusion recommended; central line preferred for prolonged administration.
900+ mOsm/L 10–30 0.005–0.015 Central line only Gradual infusion over several hours; central line essential to reduce irritation.
  1. Slower Infusion Rates

    Gradually infusing high-osmolarity solutions helps reduce vascular irritation, allowing the body to adapt to the increased osmolar load. Slower rates are essential, adjusted based on patient tolerance, the solution's osmolarity, and the type of venous access.

  2. Optimal Venous Access

    For solutions with osmolarity levels above 600 mOsm/L, central venous access is recommended. Larger veins help dilute the solution more effectively, minimizing the risk of local irritation. Peripheral veins may be used for solutions up to 600 mOsm/L, but should be monitored closely for any signs of discomfort or phlebitis.

  3. Close Monitoring

    Regular monitoring of the patient’s response to the infusion is essential. Observing for symptoms such as pain, swelling, erythema at the infusion site, or systemic signs of electrolyte imbalance allows for timely adjustments to the infusion rate if intolerance appears.

  4. Pre- and Post-Infusion Flushes

    Isotonic saline flushes before and after high-osmolarity infusions help clear residual solution from the line, reducing localized osmolar stress on the vasculature and decreasing the likelihood of irritation.

  5. Device-Assisted Control

    Programmable infusion pumps allow precise rate control, especially valuable in administering high-osmolarity solutions. Pumps enable adherence to safe infusion parameters, providing gradual, stable delivery to prevent adverse effects associated with manual adjustments.

Guidelines for Safe Administration and Adjustments: In cases where a patient shows signs of intolerance, reducing the infusion rate or adjusting the delivery method (e.g., dilution or intermittent bolus) can alleviate discomfort and prevent complications. If adjusting the rate is insufficient, transitioning to a central line may be necessary to reduce irritation risks. Continuous monitoring remains critical throughout the administration to ensure both efficacy and patient safety.

- written on November 11th, 2024 -




Medications, Side Effects, and Antidotes

In clinical practice, understanding the potential toxic effects of various medications and their corresponding antidotes is essential for ensuring patient safety. The following list is organized alphabetically by medication name, presenting each drug’s primary toxic effects and appropriate antidotal treatments, where applicable.

Medication Toxic Effect/Side Effect Antidote/Treatment
Acetaminophen (AAP) Liver toxicity N-Acetylcysteine (NAC)
Ammonia Inhalation Respiratory irritation Inhaled Oxygen
Anticholinergic agents (e.g., Atropine overdose) Delirium, hyperthermia Physostigmine
Arsenic Multi-organ toxicity Dimercaprol or DMSA (Succimer)
Benzodiazepines (e.g., Diazepam) Sedation, respiratory depression Flumazenil
Beta-blockers (e.g., Propranolol) Bradycardia, hypotension Glucagon
Calcium Disodium EDTA Hypocalcemia Calcium Gluconate
Carbon Monoxide Hypoxia 100% Oxygen or Hyperbaric Oxygen
Cyanide Cellular hypoxia Hydroxocobalamin or Sodium Thiosulfate
Digoxin Cardiac arrhythmias Digoxin Immune Fab
Ethylene Glycol Metabolic acidosis, kidney failure Fomepizole or Ethanol
Heparin Excessive bleeding Protamine Sulfate
Iron (Iron overdose) Gastrointestinal bleeding, liver toxicity Deferoxamine
Isoniazid (INH) Neurotoxicity, seizures Pyridoxine (Vitamin B6)
Lead (Lead Poisoning) Neurological impairment, abdominal pain Dimercaprol and EDTA
Methanol Metabolic acidosis, vision loss Fomepizole or Ethanol
Methotrexate Myelosuppression Leucovorin (Folinic Acid)
Opioids (e.g., Morphine, Fentanyl) Respiratory depression Naloxone
Organophosphates Cholinergic symptoms Atropine and Pralidoxime (2-PAM)
Sulfonylureas (e.g., Glipizide) Hypoglycemia Dextrose or Octreotide
Tricyclic Antidepressants (e.g., Amitriptyline) Cardiac arrhythmias, CNS toxicity Sodium Bicarbonate
Warfarin Excessive bleeding Vitamin K and Fresh Frozen Plasma (for severe cases)

- written on November 11th, 2024 -





Dosing Notation

Notation Acronym Origin / Literal Meaning Meaning Timing or Frequency Additional Notes
Once-Daily and Related Variations
QD Quaque Die (Latin: "every day") Once daily Any time of day Common for medications requiring a single daily dose
QAM Quaque Ante Meridiem (Latin: "every morning") Every morning Once daily Taken at or shortly after waking
BM Breakfast Meal (English abbreviation) With breakfast meal Once daily (morning) Taken with/after breakfast to reduce GI side effects
HS Hora Somni (Latin: "at the hour of sleep") At bedtime Once daily To be taken before sleeping
QHS Quaque Hora Somni (Latin: "every hour of sleep") Every night at bedtime Once daily Ensures regular evening dosing
QPM Quaque Post Meridiem (Latin: "every evening") Every evening Once daily Typically in the evening, possibly before bed
Q24H Quaque 24 Hora (Latin-English hybrid: "every 24 hours") Every 24 hours Once daily Often used interchangeably with QD
Multiple Daily Dosing
BID Bis In Die (Latin: "twice a day") Twice daily Every 12 hours Two evenly spaced doses per day
TID Ter In Die (Latin: "three times a day") Three times daily Every 8 hours Three evenly spaced doses per day
QID Quater In Die (Latin: "four times a day") Four times daily Every 6 hours Four evenly spaced doses per day
Interval-Based Dosing
Q4H Every 4 Hours (English abbreviation) Every 4 hours 6 doses/day Used for acute symptom control (e.g., pain)
Q6H Every 6 Hours (English abbreviation) Every 6 hours 4 doses/day Often for antibiotics or pain management
Q8H Every 8 Hours (English abbreviation) Every 8 hours 3 doses/day Ensures consistent blood levels
Q12H Every 12 Hours (English abbreviation) Every 12 hours 2 doses/day Common for sustained-release medications
QOD Quaque Other Die (Latin-English hybrid: "every other day") Every other day Every 48 hours For drugs with longer half-lives or tapering; also denoted as EOD
EOD Every Other Day (English abbreviation) Every other day Every 48 hours Alternate day dosing; synonymous with QOD
E3D Every Third Day (English abbreviation) Every third day Every 72 hours Utilized for medications with extended half-lives or tapering regimens
Extended Interval Dosing
QW Quaque Weekly (Latin-English hybrid) Once weekly Once per week Often used for long-acting medications
BIW Bis In Week (Latin-English hybrid) Twice weekly Two doses per week Provides a balance between daily and weekly dosing
TIW Ter In Week (Latin-English hybrid) Three times weekly Three doses per week Used when an intermediate frequency is beneficial
Q2W Quaque 2 Weeks (Latin-English hybrid) Every two weeks Once every 2 weeks Utilized for medications with a prolonged duration of action
Q3W Quaque 3 Weeks (Latin-English hybrid) Every three weeks Once every 3 weeks Common in certain oncologic therapies
Q4W Quaque 4 Weeks (Latin-English hybrid) Every four weeks Once every 4 weeks Typically used in maintenance therapies
As Needed and Special Timing
PRN Pro Re Nata (Latin: "as the situation arises") As needed Varies Used for pain relievers, anxiolytics, etc.
AC Ante Cibum (Latin: "before meals") Before meals Typically TID (before main meals) Common for insulin or digestive aids
PC Post Cibum (Latin: "after meals") After meals Typically TID (after main meals) May reduce GI side effects
Urgent Dosing
STAT Statim (Latin: "immediately") Immediately One-time dose For urgent or emergency medication needs
Routes of Administration
PR Per Rectum (Latin: "by rectum") Per rectum Varies Rectal administration route
SL Sublingual (Latin sub- + lingua: "under the tongue") Sublingual Varies For rapid absorption
INH Inhalation (English) Inhalation Varies Via inhaler or nebulizer
IM Intramuscular (Latin intra- + musculus: "within the muscle") Intramuscular Varies Injected into the muscle
IV Intravenous (Latin intra- + vena: "within the vein") Intravenous Varies Administered directly into the vein
SC Subcutaneous (Latin sub- + cutis: "under the skin") Subcutaneous Varies Injected under the skin

Originally written on November 12th, 2024; Revised on March 13th, 2025.


Intravenous Fluid Solutions, Compositions, and Clinical Considerations (Written December 13, 2024)

Intravenous fluid therapy is guided by the patient’s volume status, electrolyte requirements, metabolic needs, and underlying conditions. Understanding the compositions of common IV fluids and comparing them to normal blood plasma helps in selecting the most appropriate solution. The following sections provide details on standard solutions, methods to achieve certain mixtures, and a comprehensive reference table.

As a reference, normal human plasma and intracellular fluid differ in their electrolyte profiles:

Plasma (approximate):

Intracellular fluid (e.g., within Red Blood Cells):

These values serve as benchmarks when deciding on an IV fluid. The goal is often to approximate plasma osmolality and supply or correct specific electrolytes as needed.

Common IV Fluids

Normal Saline (N/S, 0.9% NaCl)

Half Normal Saline (½ N/S, 0.45% NaCl)

Dextrose 5% in Water (D5W, 5DW)

Dextrose 10% in Water (D10W, 10DW)

Dextrose 5% in Normal Saline (D5NS, 5DS)

Dextrose 5% in Half Saline (D5 ½ NS, HD)

Hartmann’s Solution (HS, Lactated Ringer’s)



Solution Dextrose (%) Na⁺ (mEq/L) K⁺ (mEq/L) Cl⁻ (mEq/L) Other Components Approx. Osmolality (mOsm/L) Clinical Uses
Blood (Plasma) 135–145 3.5–5.0 98–106 Proteins, HCO₃⁻, etc. ~285–295 Physiological reference point
ICF (e.g., RBC) ~10–15 140–150 Low Phosphates, proteins ~285–295 Intracellular fluid compartment reference
N/S (0.9% NaCl) 0 154 0 154 ~308 Volume resuscitation, metabolic alkalosis
½ N/S (0.45%) 0 77 0 77 ~154 Maintenance fluids, hypernatremia correction
D5W 5 0 0 0 ~252 Free water, maintenance, hypoglycemia management
D10W 10 0 0 0 ~505–555 Higher caloric supply, typically via central line
D5NS (5DS) 5 154 0 154 ~560–580 Maintenance with electrolytes and calories
D5 ½ NS (HD) 5 77 0 77 ~400–420 Partial electrolyte replacement with some calories
Hartmann’s (HS) 0 130 4 109 Lactate (28 mEq/L) ~273 Balanced fluid replacement, surgery, trauma, burns

Mixing Dextrose Water with NaCl to Achieve D5NS or D10NS (5DS or 10DS)

To create D5NS (5DS) from D5W:

To create D10NS (10DS) from D10W:

If an ampule contains 1 g NaCl, the following approximations apply:

Careful attention is required to maintain final volume and concentration, as adding NaCl solution increases volume. This often requires removing a portion of the original fluid or using a concentrated NaCl preparation (e.g., 10% NaCl) to minimize volume changes.


Ampule Concentrations Available

Key Reference Points


Calculations for Specific Volumes Using 2.34 g/20 mL NaCl Ampules:

From D5W to D5NS (5DS)

From D10W to D10NS (10DS)

Measuring fractional ampules is challenging. It is often necessary to withdraw the required NaCl solution volume with a syringe and maintain strict aseptic technique.


Adjusting from 5DS (D5NS) to HD (D5 ½ NS) or HS (Hartmann’s)

From D5NS (5DS) to D5 ½ NS (HD)

From D5NS (5DS) to Hartmann’s Solution (HS)

Written on December 13th, 2024


Compounding 10DW into 10DS with a 20 mL 2.34 g NaCl ampoule (Written July 25, 2025)

Quick guide — required NaCl ampoules

I. Purpose and scope

This guidance describes a bedside technique for converting 10 % dextrose in water (10DW) into 10 % dextrose with 0.9 % sodium chloride (10DS) when only one 20 mL ampoule containing 2.34 g sodium chloride is available. The method is intended for urgent circumstances in which a commercial 10DS bag is unavailable.

II. Key data

Component Specification
10DW stock solution 10 % dextrose in water, 1 000 mL bag
NaCl ampoule 11.7 % NaCl (117 mg mL−1), 20 mL, containing 2.34 g NaCl
Target product 10DS (≈ 900 mg NaCl 100 mL−1)

III. Core calculations

To achieve isotonicity (0.9 % NaCl), 9 g sodium chloride are required per litre of solution. One ampoule supplies 2.34 g, supporting the preparation volumes summarised below.

Number of ampoules
(n)
NaCl supplied
(g)
Required 10DW volume
(mL)
Final volume
(mL)
1 2.34 240 260
2 4.68 480 520
3 7.02 720 780
4 9.36 960 1 040*

*When four ampoules are combined with a 1 000 mL bag, withdraw 40 mL of 10DW to maintain the standard 1 000 mL volume.

IV. Standard preparation procedure (single-ampoule method, 260 mL final)

  1. Confirm compatibility of components and verify availability of central-venous access; the anticipated osmolarity approximates 1 000 mOsm L−1.
  2. Aseptically withdraw 240 mL of 10DW into a sterile secondary container.
  3. Inject the entire 20 mL ampoule of 11.7 % NaCl into the 10DW aliquot under aseptic conditions.
  4. Gently invert or swirl the container several times to ensure homogeneous mixing.
  5. Affix a clear label stating:
    “10DS (compounded) – Date / Time – Discard after 24 h”.
  6. Request independent verification by a pharmacist or another licensed professional prior to administration.

V. Alternative volumes

When multiple ampoules are available, employ the 12 : 1 ratio of 10DW (mL) to ampoule volume (mL) indicated in Section III. For preparations exceeding 1 L, distribute the batch among several sterile containers to prevent overfilling.

Written on July 25, 2025


Tdap, DTaP, DT, and Td Vaccines (Written December 15, 2024)

Vaccine Type Purpose Recommended Schedule Number of Doses Indications Description
DTaP Protection against diphtheria, tetanus, and pertussis
  • Primary series for children
  • Administered at 2, 4, 6, and 15–18 months
  • Booster at 4–6 years
Five doses during childhood
  • Routine immunization for infants and young children
  • Essential for preventing pertussis in early childhood
Combines diphtheria and tetanus toxoids with acellular pertussis components. Exhibits a lower side effect profile compared to older DTP formulations.
Tdap Protection against diphtheria, tetanus, and pertussis
  • Booster for adolescents and adults
  • Typically administered once during adolescence (11–12 years)
  • Additional boosters every 10 years
Single dose in adolescence, followed by boosters every 10 years
  • Routine immunization for adolescents and adults
  • Recommended for pregnant women during each pregnancy to protect newborns
Contains lower doses of diphtheria and pertussis components compared to DTaP. Designed to provide longer-lasting immunity suitable for older age groups.
DT Protection against diphtheria and tetanus
  • For individuals aged 7 years and older
  • Booster doses every 10 years
  • Administered during outbreaks or specific indications where pertussis is not a concern
Initial and booster doses as needed based on exposure risk
  • Individuals unable to receive pertussis-containing vaccines
  • Situations requiring protection solely against diphtheria and tetanus
Combines diphtheria and tetanus toxoids without pertussis components. Suitable for those with medical contraindications to pertussis vaccines.
Td Booster against tetanus and diphtheria
  • Administered every 10 years
  • After potential exposure to tetanus-prone injuries
  • As a booster in adults previously vaccinated with DTaP or DT
  • Booster dose every 10 years
  • Additional doses post-exposure as necessary
  • Adults requiring ongoing protection against tetanus and diphtheria
  • Individuals with wounds at risk of tetanus infection
Contains tetanus and diphtheria toxoids with lower antigen content compared to primary series vaccines, making it appropriate for booster use.

Vaccine Naming Conventions

The nomenclature of vaccines such as DTaP, Tdap, DT, and Td follows a standardized format that indicates the components and formulation specifics:

Understanding the naming conventions aids in identifying the appropriate vaccine formulation based on the target population and specific immunization requirements.

Additional Considerations

Written on December 15th, 2024


Hierarchical Overview of IV Medications: From “Avoid IV Push” to “Permissible With Caution” (Written January 16, 2025)

Intravenous (IV) therapy is essential in clinical practice for delivering medications rapidly and effectively. Some agents are well-tolerated with direct IV push, whereas others pose a high risk of vascular pain, tissue damage, or systemic complications if administered too quickly. This document provides a refined, hierarchical guide—moving from medications that generally should not be given by IV push, to those that may be administered via slow IV push under certain conditions—alongside key considerations such as pH, osmolarity, recommended infusion rates, and established numerical ranges.

1. General Considerations

  1. Osmolarity
    • Physiologic Range: ~285–295 mOsm/kg
    • High Risk Threshold: Generally, solutions exceeding 600 mOsm/L are more likely to irritate peripheral veins.
    • Clinical Relevance: Medications that yield high osmolarity after reconstitution or dilution must be administered slowly to minimize endothelial damage.
  2. pH
    • Physiologic Range: 7.35–7.45
    • Irritant Range: <4 or >9
    • Clinical Relevance: Drugs with markedly acidic or alkaline pH can damage venous endothelium, necessitating dilution and slower administration.
  3. Concentration and Rate
    • Slow IV Push: Usually administered over 1–5 minutes (sometimes up to 10 minutes, depending on the drug and guideline).
    • Infusion (IV Drip): May require 30–60+ minutes or more, depending on the agent’s toxicity profile and recommended label instructions.
  4. Patient-Specific Factors
    • Vascular Status: Patients with fragile veins or limited venous access may require more cautious administration (e.g., slow infusion or central venous access).
    • Clinical Urgency: In certain emergencies (e.g., status epilepticus), speed can outweigh the risk of vascular irritation.
  5. Institutional Policies & Manufacturer Guidelines
    • Local Protocols: Each facility may have specific requirements for dilution and rate of administration.
    • Product Monographs: Official labeling often dictates maximum recommended concentration and speed.

2. Hierarchical Medication List

The following table categorizes frequently used IV medications from those that typically should not be given by IV push to those that are somewhat permissible with caution. Within each category, additional notes clarify the rationale and acceptable administration practices.

Category Medication Examples Administration Guidance Rationale Recommended Route(s)
1. Strongly Avoid IV Push Potassium Chloride (KCl)
  • Infusion only (via pump)
  • Typically over 1–2 hours or longer, depending on dose (e.g., 10–20 mEq/hr)
  • Very high osmolarity
  • Severe phlebitis risk if given rapidly
  • Cardiac arrhythmias if bolused
  • Strict guidelines advise no direct IV push
  • IV infusion only (never IV push)
  • Oral route possible for maintenance (if clinically appropriate)
Phenytoin
  • Very slow IV push or controlled infusion
  • Rate ≤50 mg/min in adults
  • Dilute in NS (avoid dextrose)
  • Monitor ECG/vitals if given by slow push
  • Risk of “purple glove syndrome”
  • Cardiovascular collapse if too fast
  • Precipitates easily if not diluted properly
  • Slow IV push (with caution)
  • IV infusion
  • Fosphenytoin often preferred for easier administration
Vancomycin
  • Infuse over ≥60 minutes (longer for doses >1 g)
  • Use infusion pump; monitor for “red man syndrome”
  • Rapid administration triggers histamine release and hypotension
  • Highly irritating to veins
  • IV infusion only (avoid direct push)
Macrolide Antibiotics (e.g., Azithromycin)
  • Typically infused over 60 minutes or more
  • Follow product labeling
  • Known to irritate endothelium
  • High risk of phlebitis if given rapidly
  • IV infusion (avoid direct push)
Vitamin K1 (Phytonadione)
  • Slow infusion over ~30 minutes or longer
  • Dilute properly and monitor for adverse reactions
  • High risk of anaphylactoid reactions if given rapidly
  • Potential for severe hypotension
  • IV infusion (if urgent)
  • Oral or subcutaneous routes are sometimes used for non-urgent cases
2. Generally Prefer Infusion Antihistamines (e.g., Chlorpheniramine)
  • Slow IV push over 1–2 minutes
  • Consider dilution for patient comfort
  • Mild vein irritation possible
  • Sedation and hypotension if pushed too rapidly
  • Slow IV push (common)
  • IM injection also viable
Vitamin B Complex Injections
  • Slow IV push over 1–2 minutes for typical doses
  • Infusion possible for higher volumes
  • Can be mildly acidic
  • Slower administration reduces burning
  • IV push (for lower doses)
  • IV infusion or IM injection can be used as needed
Tranexamic Acid (TXA)
  • Often recommended as a short infusion over 5–10 minutes (e.g., 1 g in 100 mL)
  • If IV push is used, must be done very slowly (≥5 min)
  • Risk of hypotension, nausea if given rapidly
  • Many guidelines prefer a short infusion over 10 minutes to reduce adverse effects
  • Short IV infusion (preferred by many)
  • Slow IV push feasible if infusion not possible
Amikacin
  • Commonly administered over 30–60 minutes
  • Some institutions permit a very slow IV push in specific cases
  • Potential nephrotoxicity and ototoxicity
  • Variable or high osmolarity
  • Must confirm correct concentration
  • IV infusion (primary)
  • IM injection is also possible
Gentamicin
  • Often infused over 30 minutes
  • Slow IV push permissible with caution and adequate dilution
  • Similar toxicity profile to amikacin (nephrotoxicity, ototoxicity)
  • Peak/trough levels need monitoring
  • IV infusion (primary)
  • IM injection also an option
Proton Pump Inhibitors (e.g., Pantoprazole)
  • Usually infused over 2–15 minutes (per product label)
  • Some formulations allow slow IV push—check specific guidelines
  • Solutions can be acidic or alkaline depending on formulation
  • Rapid push can cause local vein irritation
  • IV infusion or slow IV push (depends on product/formulation)
3. Slowly Acceptable as IV Push H2 Receptor Antagonists (e.g., Ranitidine)
  • Often given as slow IV push over 2–5 minutes
  • May consider short infusion for higher doses
  • Generally well-tolerated if administered slowly
  • Possible mild local irritation
  • Slow IV push (common)
  • Short IV infusion for higher doses
Dexamethasone
  • Slow IV push over 1–2 minutes for typical doses
  • Infusion for higher doses
  • Rapid bolus can cause perineal itching/burning
  • Generally acceptable if done slowly
  • IV push or IV infusion
  • IM injection also possible
Metoclopramide
  • Slow IV push over 1–2 minutes
  • Monitor for extrapyramidal symptoms (EPS) or hypotension
  • Generally safe for IV push when given slowly
  • Commonly used for nausea, prokinetic effect
  • IV push (common)
  • Short IV infusion or IM injection also acceptable

Note: Times provided (e.g., 1–2 minutes, 30–60 minutes) are approximate and may vary based on institutional protocols, drug concentration, and patient condition.

3. Supplemental Tables and Illustrations

3.1 Osmolarity Considerations

Osmolarity (mOsm/L) Potential Vein Response
<285–295 (Isotonic) Minimal irritation expected
296–600 (Moderately hypertonic) Increased risk of vein irritation; slow IV push or short infusion recommended
>600 (Highly hypertonic) High risk of phlebitis and extravasation; typically requires central line or well-diluted infusion

3.2 pH Considerations

pH Potential Effects
<4 Highly acidic; risk of vein burning, phlebitis, or tissue damage
4–9 Generally safer range but still check individual product guidelines
>9 Highly alkaline; risk of severe vein irritation and tissue necrosis

Clinical Tip: Adjusting medication concentration and pH through dilution can significantly decrease the risk of vascular pain or damage.

4. Practical Recommendations

  1. Review Manufacturer Labeling and Hospital Protocols
    • Always adhere to official recommendations for dilution and rate of administration.
    • Follow institutional policies specifying whether a medication can be safely given via IV push.
  2. Assess Patient Factors
    • Evaluate vein integrity and patient comorbidities (e.g., renal impairment for nephrotoxic drugs).
    • Consider whether rapid administration is necessary (e.g., emergent seizure control).
  3. Use Proper Administration Techniques
    • Slow IV Push: Use at least 1–5 minutes unless labeling allows or demands otherwise.
    • Infusion: Employ infusion pumps to control and monitor flow rates precisely.
  4. Monitor for Adverse Effects
    • Check infusion site for signs of phlebitis or infiltration.
    • Observe vital signs and watch for systemic reactions (e.g., “red man syndrome,” hypotension).
  5. Document and Reassess
    • Record the administration rate, dilution used, and any adverse events.
    • Adjust future administration strategies based on the patient’s previous response.

Written on January 16, 2025


Diaphoresis in elderly bedridden patients: diagnostic approach (Written July 24, 2025)

Cold sweating in frail, immobile older adults often signals serious systemic pathology. Prompt identification of life-threatening causes is essential because typical symptoms (e.g., chest pain, dyspnea) may be blunted or absent in this population. The framework below outlines common etiologies and the investigations most useful for differentiation.

Condition Priority investigations
ACS ECG → cardiac enzymes (troponin, CK-MB) → chest radiography
PE CT-PA → D-dimer → ABG with oxygen saturation
Sepsis Blood cultures ×2 → CBC, CRP, PCT → source-directed imaging
Hypoglycemia Point-of-care glucose → serum ketones → electrolyte panel
Shock Serial vital signs → bedside echocardiography → coagulation profile
Pneumonia Chest X-ray → sputum and blood cultures → pulse oximetry
GI bleeding CBC → fecal occult blood → upper GI endoscopy
Drug reaction / overdose Medication review → drug level assay (if available) → ECG, electrolytes

Written on July 24, 2025


Clinical case study: I/O even과 I/O + 500의 임상적 의미 (Written December 5, 2025)

I. 증례 개요

중환자 혹은 전신 상태가 불안정한 환자에서 체액 관리(fluid management)는 폐울혈과 부종을 피하면서도, 장기 관류를 유지하기 위한 핵심적인 요소이다. 해당 증례에서는 상급병원에서 다음과 같은 요청을 전달하였다.

“I/O Even 정도로 유지하였으나, 전일 urine output poor 해졌으며, skin turgor 떨어져 있는 상황으로, edema 생기지 않고 pulmonary congestion 생기지 않는 선에서 I/O + 500 보다 살짝 높은 정도 goal로 하여 manangement 해주시길 바랍니다.”

요약하면, 이전까지는 I/O를 대체로 중립(even)으로 유지해 왔으나, 전일 소변량이 감소하고 피부 긴장도(skin turgor)가 떨어지는 등 탈수 혹은 저체액 상태를 시사하는 소견이 나타난 상황에서, 폐울혈과 말초부종이 생기지 않는 범위 내에서 약간의 positive balance를 목표로 체액을 보충해 달라는 요청이라고 해석된다.

II. I/O even의 의미

임상에서 “I/O even”이라는 표현은 24시간 동안의 총 입력량(input)과 총 출력량(output)을 거의 같게 유지하여, 순체액 균형(net balance)을 0에 가깝게 맞추는 전략을 의미한다.

구체적으로는 다음과 같은 개념을 포함한다.

이때, 하루 총 입력량과 총 출력량이 거의 동일하도록 조절하면, 체내 총 체액량을 증가시키지도, 감소시키지도 않는 ‘중립적 체액 상태’를 목표로 하는 것이 된다. 이는 폐울혈(pulmonary congestion)이나 말초 부종(edema)을 악화시키지 않으면서, 과도한 탈수도 피하고자 할 때 흔히 사용하는 기본 전략이다.

III. I/O + 500의 의미

“I/O + 500”이라는 표현은 24시간 동안의 총 입력량이 총 출력량보다 약 500 mL 정도 더 많도록 조절한다는 뜻이다. 다시 말해, 하루 순체액 균형(net balance)을 약 +500 mL 정도의 positive balance로 설정하는 전략이다.

예를 들어 다음과 같이 해석할 수 있다.

이러한 전략은 탈수 소견(저혈압, 피부 긴장도 감소, 소변량 감소 등)이 관찰되지만, 동시에 심부전, 폐부종, 만성 신질환 등으로 인해 과도한 볼륨 과부하를 피해야 하는 환자에서, “조심스럽게” 체액을 보충할 때 자주 사용되는 어휘이다.

IV. 상급병원 요청의 임상적 해석

해당 의뢰 문구에는 체액 상태에 대한 평가와, 그에 따른 구체적인 목표가 함께 제시되어 있다.

결국, 이 요청은 “탈수 경향이 관찰되므로, 이제는 단순 I/O 중립(even)보다 하루에 약 +500 mL 이상의 positive balance를 목표로 하여, 체액을 서서히 보충하되, 폐부종이나 말초부종이 발생하지 않도록 면밀히 관찰해 달라”는 임상적 메시지로 정리할 수 있다.

V. 실무적 접근 정리

위 요청을 실제 진료 현장에서 해석하고 적용할 때, 다음과 같은 방식으로 접근할 수 있다.

요약하면, “I/O even”은 체액 균형을 중립으로 유지하는 전략을, “I/O + 500”은 하루 순체액 균형을 약 +500 mL 정도의 positive balance로 맞추어 탈수 상태를 완화하려는 전략을 의미한다. 본 증례에서 상급병원이 요청한 바는, 탈수 소견이 나타난 상황에서 폐울혈과 부종을 유발하지 않는 범위 내에서, 기존의 중립적 I/O에서 한 단계 더 나아가 소량의 positive balance를 의도적으로 유도해 달라는 임상적 지시로 해석할 수 있다.

Written on December 5, 2025


Medications associated with long-term survival (Written December 27, 2025)

The following table consolidates the most exam-relevant medication classes associated with long-term mortality or survival signals. Emphasis is placed on population specificity, direction of mortality effect, mechanistic rationale, well-known brand names, and high-yield caveats. This format is intentionally dense and reference-oriented.

Medication class Representative generic agents Common brand names Direction of long-term mortality signal Population where benefit is best established Primary mechanism linked to survival Key exam-relevant caveats
Statins Atorvastatin, Rosuvastatin, Simvastatin, Pravastatin Lipitor, Crestor, Zocor, Pravachol ↓ All-cause and CV mortality ASCVD; diabetes; high baseline CV risk; very high LDL LDL reduction, plaque stabilization, anti-inflammatory effects Absolute benefit scales with baseline risk; modest benefit in low-risk primary prevention
ACE inhibitors Enalapril, Lisinopril, Ramipril, Captopril Vasotec, Zestril, Altace, Capoten ↓ Mortality HFrEF; post-MI; diabetic nephropathy; proteinuric CKD Neurohormonal blockade, remodeling suppression Cough, angioedema, hyperkalemia; contraindicated in pregnancy
ARBs Losartan, Valsartan, Candesartan, Irbesartan Cozaar, Diovan, Atacand, Avapro ↓ Mortality (similar to ACEi in selected groups) ACEi-intolerant HFrEF; CKD with albuminuria; hypertension with comorbid risk Angiotensin II receptor blockade No cough; angioedema rare but possible; pregnancy contraindication
ARNI Sacubitril / Valsartan Entresto ↓ Mortality (superior to ACEi in HFrEF) Chronic symptomatic HFrEF Neprilysin inhibition + RAAS blockade Requires ACEi washout; hypotension common exam pitfall
Beta-blockers (evidence-based) Carvedilol, Metoprolol succinate, Bisoprolol Coreg, Toprol XL, Zebeta ↓ Mortality (conditional) HFrEF; post-MI Sympathetic inhibition, anti-arrhythmic effect No clear survival benefit in uncomplicated hypertension
Mineralocorticoid receptor antagonists Spironolactone, Eplerenone Aldactone, Inspra ↓ Mortality Moderate–severe HFrEF; post-MI with LV dysfunction Aldosterone blockade, anti-fibrotic effect Hyperkalemia risk; gynecomastia with spironolactone
SGLT2 inhibitors Dapagliflozin, Empagliflozin, Canagliflozin Farxiga, Jardiance, Invokana ↓ HF and renal mortality signals HFrEF/HFpEF; CKD; diabetes with CV risk Osmotic diuresis, metabolic shift, cardio-renal unloading Euglycemic DKA, genital infections, volume depletion
Antiplatelet agents Aspirin, Clopidogrel, Ticagrelor Bayer Aspirin, Plavix, Brilinta ↓ Mortality (secondary prevention) Post-MI; established coronary or cerebrovascular disease Platelet inhibition, thrombosis prevention Primary prevention aspirin has no consistent mortality benefit
Metformin Metformin Glucophage ↓ Mortality (in T2DM) Type 2 diabetes, especially overweight patients AMPK activation, insulin sensitivity improvement Non-diabetic longevity benefit remains unproven
Antihypertensive therapy (strategy-level) Thiazides, CCBs, ACEi/ARB (class-dependent) HydroDIURIL, Norvasc, Zestril ↓ Stroke and CV mortality Hypertension with elevated baseline CV risk Blood pressure reduction Benefit driven by risk reduction, not drug class alone
Proton pump inhibitors Omeprazole, Pantoprazole, Esomeprazole Prilosec, Protonix, Nexium No survival benefit; harm signals Only when clearly indicated Gastric acid suppression Chronic unnecessary use associated with adverse outcomes

Bottom-line exam heuristic: If a medication prevents fatal cardiovascular or renal endpoints in a high-risk population, a mortality signal is likely to exist. If a medication is primarily symptomatic without disease modification, survival benefit should not be assumed.

Written on December 27, 2025


Miscellaneous Material


Considerations for Febuxostat Use in Patients with Cardiovascular and Dermatological Concerns

(A) Cardiovascular Risks

Febuxostat has been associated with an increased risk of cardiovascular events, especially in patients with preexisting cardiovascular disease. The Cardiovascular and Renal Events in Serum Urate Reduction (CARES) trial, conducted in 2018, indicated that febuxostat may increase the risk of serious cardiovascular complications, such as heart attack and stroke, when compared to allopurinol. Consequently, the FDA issued a caution for febuxostat use in patients with cardiovascular conditions. However, the Febuxostat versus Allopurinol Streamlined Trial (FAST), published in 2020, found that febuxostat's cardiovascular risk could be comparable to that of allopurinol. Despite these findings, it remains prudent to apply caution and implement monitoring when febuxostat is prescribed to patients with significant cardiovascular risks.

(B) Skin Reactions and HLA-B*5801 Testing

Febuxostat generally presents a lower risk of severe skin reactions in comparison to allopurinol. Allopurinol is associated with hypersensitivity reactions, particularly in patients positive for the HLA-B*5801 allele, which is prevalent in certain ethnic groups. Therefore, HLA-B*5801 testing is recommended before starting allopurinol. Febuxostat does not require such testing, as it is not associated with HLA-B*5801-related hypersensitivity. This feature makes febuxostat a preferable option for individuals who are HLA-B*5801 positive or unable to undergo this genetic test.

(C) Liver Function Monitoring

Regular liver function monitoring is essential when using febuxostat, as it can elevate liver enzymes. Patients with preexisting liver conditions may require dose adjustments or alternative therapies. Periodic liver function tests are necessary, particularly during long-term treatment, to mitigate the risk of hepatotoxicity.

(D) Renal Impairment Considerations

Febuxostat is generally tolerated in patients with mild to moderate renal impairment, but caution is advisable in cases of severe renal impairment due to limited safety data. Dosage adjustments may be needed to prevent potential accumulation, and regular renal function monitoring should be conducted as part of a comprehensive patient management strategy.

(E) Gout Flare Prophylaxis

The initiation of febuxostat treatment can trigger gout flares as urate crystals are mobilized. Anti-inflammatory prophylaxis, such as NSAIDs or colchicine, is recommended during the initial treatment phase, especially for patients with a history of frequent gout attacks. Consideration should be given to patient tolerance and contraindications to these adjunct therapies.

(F) Drug Interactions

Febuxostat may interact with medications that share similar metabolic pathways, including azathioprine, mercaptopurine, and theophylline. Careful medication management, dose adjustments, or alternative therapeutic options may be necessary to prevent adverse interactions.

Written on October 16, 2024


Heart Rate Variability Analysis: Key Metrics, Normal Ranges, Clinical Interpretation, and Practical Interventions (Written February 15, 2025)

Heart Rate Variability (HRV) is a noninvasive, quantitative measure of autonomic nervous system (ANS) function. It reflects the dynamic interplay between the sympathetic and parasympathetic branches. By examining fluctuations in the time intervals between consecutive heartbeats (RR intervals), it is possible to gain insights into an individual’s cardiovascular health, stress level, and overall physiological status.

In general, higher HRV is considered an indicator of greater autonomic flexibility and adaptability, whereas lower HRV often points to reduced ANS responsiveness. However, each measurement must be interpreted within its clinical context, considering factors such as age, posture, medications, comorbidities, and lifestyle.

This document integrates and refines multiple discussions on HRV to present a unified, systematic, and hierarchical overview of relevant terminology, measurement methods, typical reference ranges, and clinical interpretation, as well as recommended practical interventions for improving autonomic balance.

Terminology and Basic Concepts

  1. RR Intervals (RR Pattern)

    Definition: The sequence of time intervals between consecutive R-waves on an electrocardiogram (ECG).

    Clinical Relevance:

    • Reflects both sympathetic and parasympathetic activity.
    • A healthy RR interval series tends to be irregular and complex, indicating dynamic adaptability.
    • Uniform or narrow distributions of RR intervals may suggest compromised health or reduced autonomic flexibility.
  2. Mean Heart Rate (MHR)

    Definition: The average number of heartbeats per minute (bpm) calculated from the RR interval series.

    Normal Range: Typically 60–80 bpm at rest for healthy adults, though well-trained athletes may exhibit lower resting rates.

    Interpretation:

    • Elevated MHR: May indicate increased sympathetic drive, stress, or pathological tachycardia.
    • Lower MHR: May reflect strong parasympathetic tone, as in athletes, or pathological bradycardia that warrants further evaluation.
  3. Physical Stress Index (PSI)

    Definition: A derived index (e.g., Baevsky’s Stress Index) from time-domain or geometric methods that approximates autonomic stress load.

    Interpretation:

    • High PSI: Suggests elevated sympathetic activity or diminished parasympathetic tone.
    • Low PSI: Suggests balanced autonomic function but must be interpreted in the broader clinical context.
  4. Ectopic Beats

    Definition: Heartbeats that originate from sites other than the sinoatrial node (e.g., premature atrial or ventricular contractions).

    Clinical Relevance:

    • Frequent ectopy can distort HRV metrics by artificially inflating or altering measured variability.
    • Interpretation requires careful filtering or exclusion of these beats.
    • Frequent ectopic beats may also indicate underlying arrhythmogenic risk.
  5. Successive RR Difference

    Definition: The absolute difference between consecutive RR intervals: |RRi+1 - RRi|.

    Metric Example: RMSSD (Root Mean Square of Successive Differences) is derived from successive differences and is strongly related to short-term parasympathetic modulation.

  6. FDP

    Definition: Typically refers to Frequency-Domain Parameters or specialized indices depending on the monitoring system or software used.

    Clinical Relevance:

    • Involves parsing HRV into distinct frequency bands (e.g., VLF, LF, HF).
    • Specific interpretation depends on the exact parameter definition.

Visual Representations of HRV

  1. HRV Tachogram

    A tachogram is a plot of consecutive RR intervals (or instantaneous heart rate) against time.

    • Healthy State: Appears complex and irregular, suggesting robust and dynamic autonomic responses.
    • Compromised State: Becomes simpler and more uniform, reflecting blunted autonomic reactivity.
  2. HRV Histogram

    A histogram depicts the frequency distribution of RR intervals over the recording period.

    • Healthy State: Typically exhibits a broad base and a relatively flat peak, indicating a wide range of RR intervals.
    • Compromised State: Shows a narrower base with a peaked apex, suggesting reduced variability and dominance of certain interval lengths.

    Below is a simplified conceptual illustration of these patterns:

    HRV Tachogram HRV Histogram
    Healthy: Irregular, wide range of RR. Healthy: Broad, flat distribution.
    Compromised: Uniform, narrow RR. Compromised: Narrow, high peak.

Time-Domain Parameters (TDP)

Time-domain analysis focuses on how much the RR intervals fluctuate over the recording period without differentiating frequency components.

Parameter Definition Typical Normal Range
(5-minute recording)*
Interpretation
SDNN Standard Deviation of NN (normal-to-normal) intervals 30–50 ms Reflects overall HRV; higher SDNN suggests better autonomic flexibility, lower SDNN indicates possible dysfunction.
RMSSD Root Mean Square of Successive Differences in NN intervals 20–50 ms Primarily indicates short-term parasympathetic activity; lower values suggest reduced vagal influence.
pNN50 Percentage of consecutive NN intervals differing by >50 ms >10% (varies with age) Another parasympathetic indicator; lower percentages may reflect diminished vagal tone.

*Ranges may vary by population, age, and testing conditions. Values shown are approximate for short-term (resting) recordings.

Frequency-Domain Parameters (FDP)

Frequency-domain analysis decomposes HRV into distinct spectral bands, enabling the evaluation of different physiological control mechanisms.

Band Frequency Range Typical Normal Power
(5-minute recording)*
Physiological Correlates
VLF 0.0033–0.04 Hz Often 0–1000 ms² (wide range) Reflects slow regulatory mechanisms (e.g., thermoregulation, hormonal influences, renin–angiotensin system).
LF 0.04–0.15 Hz 100–300 ms² (high inter-individual variability) Associated with both sympathetic and parasympathetic (baroreflex) modulation. Not purely sympathetic.
HF 0.15–0.40 Hz 100–200 ms² (high inter-individual variability) Primarily reflects parasympathetic (vagal) modulation, often observed as respiratory sinus arrhythmia.
TP ≤0.4 Hz Sum of VLF, LF, and HF Represents the total variance of the RR interval series.
LF/HF LF ÷ HF Commonly 1–2 (but can vary widely) Rough estimate of sympathovagal balance; high ratio may suggest sympathetic dominance, low ratio could imply strong parasympathetic tone.

*Power is expressed in ms². Large inter-individual variability makes exact cutoffs challenging; some prefer normalized units (nu) for LF and HF.

Clinical Interpretation and Example Scenarios

  1. General Guidelines

    1. High HF Power
      • Indicates robust parasympathetic modulation; often noted in relaxed states and in trained individuals.
    2. High LF Power
      • May reflect dominant baroreceptor-mediated variability involving both sympathetic and parasympathetic influences.
    3. High LF/HF Ratio
      • Suggests possible sympathetic dominance or reduced vagal tone. Often correlates with stress or anxiety.
    4. Low LF/HF Ratio
      • Suggests parasympathetic predominance or suppressed sympathetic drive (could be due to medications).
    5. Low HF + Low LF
      • Implies blunted autonomic modulation from both branches. Common in chronic fatigue, medication use (e.g., beta-blockers), or advanced disease.
    6. Normal (or High) VLF with Reduced LF and HF
      • Suggests slow regulatory mechanisms remain intact, while fast neural modulation is attenuated.
  2. Example Scenario

    If both LF and HF components are low, but Total Power (TP) and VLF remain within normal limits:

    Interpretation: Fast oscillatory influences (sympathetic and parasympathetic) are reduced. This may reflect medication effects (e.g., beta-blockers) or chronic conditions that blunt ANS responsiveness. However, normal VLF and total power indicate slower regulatory mechanisms (e.g., hormonal or thermoregulatory processes) are still functional.

    Clinical Action: Further evaluation of medication regimens, fatigue states, and possible comorbidities is warranted.

Additional Considerations for Measurement

  1. Artifacts & Ectopic Beats
    • Proper filtering of artifacts is essential.
    • Correct or exclude ectopic beats (PACs, PVCs) when calculating standard HRV metrics.
  2. Respiratory Influences
    • Respiratory rate and pattern significantly affect HF.
    • Paced breathing (~0.25 Hz or 15 breaths/min) can standardize respiratory effects during short-term recordings.
  3. Medication Effects
    • Drugs such as beta-blockers, anti-arrhythmics, or sedatives can profoundly alter HRV metrics.
    • Interpretation must consider these pharmacologic influences.
  4. Posture & Activity
    • Orthostatic changes (e.g., standing vs. supine) affect sympathetic/parasympathetic balance.
    • Consistent posture is advised for repeated measurements.
  5. Circadian Rhythms
    • VLF and other HRV measures vary over 24 hours.
    • Comparing results at similar times of day is recommended.
  6. Clinical Correlation
    • HRV findings should be integrated with patient history, physical examination, and other relevant clinical evaluations, including laboratory tests and ECG interpretations.

Potential Interventions for Autonomic Imbalance

  1. Modulating High Sympathetic Tone

    When sympathetic overactivity is suggested by elevated LF or a high LF/HF ratio, interventions that support parasympathetic tone or reduce sympathetic drive can be beneficial. Common strategies include:

    • Deep Breathing or Paced Respiration: Can quickly enhance vagal activity.
    • Nutritional Support:
      • Arginine
      • Magnesium
      • L-Theanine
      • Probiotics
      • Melatonin
      • Phosphatidylserine
      • Coenzyme Q10 (CoQ10)
      • B Vitamins
      • Alpha-Lipoic Acid
  2. Modulating High Parasympathetic Tone

    If parasympathetic predominance is observed (e.g., high HF, very low LF/HF ratio), it may be useful to introduce measures that gently support sympathetic activity or improve overall autonomic balance:

    • Adaptogenic Herbs:
      • Ginseng
      • Rhodiola rosea
    • Nutritional Support:
      • B Vitamins
      • Magnesium
      • Omega-3 Fatty Acids
      • Phosphatidylserine
      • CoQ10
      • Alpha-Lipoic Acid
  3. Foundational Energy Boosters

    Many individuals with autonomic dysfunction also benefit from general energy-supporting nutrients and lifestyle modifications:

    • Vitamin B Complex
    • Vitamin D
    • Omega-3 Fatty Acids
    • CoQ10
    • Magnesium
    • Amino Acids
    • Lifestyle Measures:
      • Regular physical activity
      • Adequate hydration
      • Balanced diet
      • Sleep hygiene
      • Stress management

    Note: All supplements and lifestyle interventions should be customized based on medical history, current clinical status, medication interactions, and individual patient goals.

Written on February 15, 2025


.

S-Adenosylmethionine (SAMe) in Human Biochemical Pathways (Written February 15, 2025)

S-Adenosylmethionine (SAMe) is a pivotal intermediate in human metabolism, widely recognized for its role as a universal methyl donor. This molecule participates in diverse biochemical pathways, influencing gene regulation, protein functionality, membrane dynamics, antioxidant defense, and neurotransmitter activity. Due to its broad physiological significance, SAMe has garnered considerable attention as both a therapeutic agent and a biomarker for metabolic health.

Aspect Detail Outcome/Significance
Biosynthesis Methionine + ATP → SAMe (catalyzed by MAT) Formation of a universal methyl donor
Methylation Reactions Donation of methyl group to DNA, RNA, proteins, lipids, and small molecules (via methyltransferases) Regulation of gene expression, protein function, and signaling
SAH Conversion SAMe → S-adenosylhomocysteine (SAH) → Homocysteine Intermediate step linking methylation to homocysteine metabolism
Remethylation Homocysteine + methyl donor (folate, B12) → Methionine Regeneration of methionine to sustain SAMe production
Transsulfuration Homocysteine → Cysteine → Glutathione Antioxidant synthesis and protection against oxidative stress
Polyamine Synthesis SAMe donates aminopropyl groups for polyamines (spermidine, spermine) Essential for cell growth, differentiation, and nucleic acid stabilization

Biosynthesis of SAMe

The synthesis of SAMe originates from the essential amino acid methionine and adenosine triphosphate (ATP). This reaction is catalyzed by methionine adenosyltransferase (MAT) and can be summarized as follows:

Methionine + ATP  --(MAT)-->  SAMe + PPi + Pi

This reaction produces SAMe, establishing a reservoir of methyl groups that are indispensable for subsequent methylation reactions throughout the cell.

        Methionine + ATP
              ↓
            SAMe
              ↓ (methyl donor)
            SAH
              ↓
         Homocysteine
          ↙       ↘
 Remethylation    Transsulfuration
     (B12, folate)        (Cysteine → Glutathione)
              ↖
          Methionine

Role in Methylation Reactions

The primary function of SAMe lies in its capacity to donate methyl groups to a variety of substrates. Methylation significantly impacts the structure, stability, and function of biomolecules, thereby exerting control over multiple cellular processes.

Substrates of Methylation

Methyltransferases

These enzymes catalyze the transfer of the methyl group from SAMe to specific substrates. Once the methyl group is transferred, SAMe is converted into S-adenosylhomocysteine (SAH), which in turn feeds into further metabolic cycles.

The Methylation Cycle and Further Metabolism

After donating its methyl group, SAMe becomes SAH. This SAH is then hydrolyzed to yield homocysteine, which can enter one of two primary pathways: remethylation or transsulfuration.

  1. Remethylation Pathway

    • Process: Homocysteine is remethylated back to methionine.
    • Cofactors: This reaction typically requires folate (5-methyltetrahydrofolate) and vitamin B12.
    • Significance: Restores methionine levels, ensuring a continuous supply for SAMe synthesis.
  2. Transsulfuration Pathway

    • Process: Homocysteine is converted into cysteine.
    • Outcome: Cysteine is used to synthesize glutathione, a major intracellular antioxidant.
    • Importance: Supports cellular defense against oxidative stress and maintains redox balance.

Additional Metabolic Roles

  1. Polyamine Synthesis
    • SAMe donates an aminopropyl group required for the formation of polyamines (e.g., spermidine and spermine).
    • Polyamines are crucial for cell proliferation, differentiation, and the stabilization of nucleic acids.
  2. Neurotransmitter Regulation
    • Through methylation reactions, SAMe plays a regulatory role in the synthesis, degradation, and modulation of various neurotransmitters.
    • This function has implications for mood regulation and broader neurological health.

Clinical Significance

  1. Therapeutic Applications

    • Depression: SAMe supplementation has been explored for its potential to enhance neurotransmitter methylation and alleviate depressive symptoms.
    • Liver Disorders: SAMe supports hepatic function through its role in methylation and detoxification pathways.
    • Osteoarthritis: SAMe may help reduce inflammation and support cartilage maintenance, offering relief in joint health.
  2. Biomarker Potential

    • Altered levels of SAMe or disruptions in the methylation cycle can serve as indicators of metabolic imbalances or deficiencies in folate and vitamin B12.
    • Monitoring these parameters may provide insights into disease risk and progression, enabling targeted therapeutic interventions.

Written on February 15, 2025


Global Healthcare Systems: Pillars of National Stability


Healthcare Privatization in Leading OECD Countries

Healthcare privatization involves the increasing participation of private entities in the financing, provision, or administration of healthcare services. This does not necessarily mean complete privatization but encompasses various degrees of private sector involvement within public healthcare frameworks. The extent and nature of privatization vary significantly among OECD countries, shaped by their distinct social, economic, and historical contexts.

This analysis examines the healthcare systems of leading OECD nations, grouped by similarities in their privatization approaches. It delves into individual countries' systems, focusing on the roles of public and private sectors, and provides critical insights into the advantages, downsides, and implications of each system. Special emphasis is placed on programs like Medicare and Medicaid in the United States, with comparisons to other countries' systems.


Group 1: Primarily Private Healthcare Systems

Country Public Role Private Role System Features
USA Limited to Medicare, Medicaid, and CHIP Dominant in insurance and healthcare delivery Employer-sponsored and individual insurance; high costs; innovation

Comparison to Other Systems

Advantages and Downsides

  1. Advantages

    • Innovation and Technology: The private sector's investment in medical research leads to advancements in treatments and technologies.
    • Provider Choice: Patients often have the flexibility to choose from a wide range of providers and specialists.
    • Specialized Services: High availability of specialized and cutting-edge medical services.
  2. Downsides

    • High Costs: The U.S. spends significantly more on healthcare per capita than other OECD countries, with high administrative costs and prices for services and medications.
    • Inequitable Access: Millions remain uninsured or underinsured, leading to disparities in health outcomes based on socioeconomic status.
    • Administrative Complexity: The fragmented system with multiple payers increases bureaucracy and inefficiency.

Implications and Critiques


Group 2: Public Systems with Growing Private Involvement

Country Public Role Private Role System Features
UK National Health Service (NHS) provides universal coverage funded by taxation Private providers offer supplementary services and faster access Free at point of service; emphasis on equity and preventive care
Sweden County councils fund universal healthcare Private providers contracted within the system Decentralized management; patient choice between providers
Canada Government funds medically necessary services Private sector limited to non-covered services Prohibits private insurance for covered services; aims for equity

Advantages and Downsides

  1. Advantages

    • Equitable Access: Universal coverage reduces disparities, ensuring that all citizens have access to essential healthcare services.
    • Cost Control: Government negotiation power helps contain the costs of services and pharmaceuticals.
    • Comprehensive Coverage: Emphasis on preventive care and primary services improves overall population health.
  2. Downsides

    • Wait Times: Patients may experience delays for elective surgeries and specialist consultations due to resource allocation and budget constraints.
    • Resource Limitations: Potential underfunding can lead to outdated equipment and facilities.
    • Private Sector Challenges: Increased private involvement raises concerns about undermining the principles of universal access and creating a two-tiered system.

Implications and Critiques


Group 3: Mixed Systems Balancing Public and Private Roles

Country Public Role Private Role System Features
Germany Statutory Health Insurance (SHI) for most citizens Private Health Insurance (PHI) for high earners and self-employed Patient choice; mix of public and private providers; solidarity principle
France Universal coverage via Social Security Private providers deliver majority of care; complementary private insurance Regulated fees; high accessibility; emphasis on quality
Japan Universal health insurance with government regulation Private providers dominate service delivery Standardized fees; high life expectancy; extensive coverage
South Korea National Health Insurance Service ensures universal coverage Private providers deliver most healthcare services Rapid modernization; high patient satisfaction; tech adoption

Advantages and Downsides

  1. Advantages

    • Quality and Access Balance: The combination of public financing and private delivery aims to provide high-quality care accessible to all.
    • Cost Regulation: Government oversight helps maintain affordability through regulated pricing.
    • Innovation with Oversight: Private sector efficiency and innovation are harnessed within a framework that safeguards public interests.
  2. Downsides

    • Rising Costs: Aging populations and increased demand for advanced treatments strain financial sustainability.
    • Administrative Complexity: Multiple insurers and providers can lead to bureaucratic hurdles and inefficiencies.
    • Equity Concerns: Potential disparities may emerge if private services are more accessible to higher-income individuals, undermining solidarity.

Implications and Critiques


Implications for Healthcare Improvement

Written on November 16th, 2024




Japan's Healthcare Cost-saving Strategies: Lessons from Kaigo Hoken

Cost-saving Measures

Japan, grappling with an aging population and rising healthcare expenses, has implemented a series of reforms to establish a sustainable and efficient healthcare system. Central to these efforts is the Kaigo Hoken (Long-term Care Insurance) system, which, alongside other initiatives, introduces cost-saving measures that balance quality care with economic viability. This analysis explores Japan's strategies over time, the structured breakdown of healthcare services, and the potential applicability of these approaches in other contexts.

Strategy Description Cost-saving Impact
Kaigo Hoken Implementation Long-term care insurance for the elderly. Shares costs, reduces familial burden, ensures access to care.
Multi-tiered Healthcare Structure Stratification into university, regional, and local facilities. Optimizes resources, directs patients to appropriate care levels.
Preventive and Community-based Care Focus on early intervention and localized services. Reduces hospital admissions, lowers long-term costs.
Technological Advancements Adoption of digital health and AI analytics. Enhances efficiency, enables predictive care, reduces treatment costs.
Medical Fee Standardization Nationwide regulation of service fees. Prevents excessive charges, maintains affordability.
Co-payment System Adjustments Income-based co-payment structures. Ensures equitable access, maintains financial sustainability.
Workforce Optimization Use of care coordinators and appropriate staffing. Reduces personnel costs, maintains quality of care.

Implementation of Kaigo Hoken: Established in 2000, this system provides long-term care insurance for the elderly, funded by taxes and premiums from individuals over 40 years old. It distributes financial responsibility between the government and citizens, reducing the burden on families while ensuring access to necessary care.

Emphasis on Preventive and Community-based Care: By focusing on early intervention and localized services, the system aims to reduce hospital admissions and manage health issues proactively. Community health programs and home-based care support this objective, promoting wellness and reducing long-term costs.

Multi-tiered Healthcare Structure: The healthcare system is stratified into university hospitals, regional hospitals, and local clinics, each catering to different levels of patient needs. This organization optimizes resource utilization by directing patients to facilities equipped to handle their specific conditions.


Trends Over Time

Early 2000s: The introduction of Kaigo Hoken marked a significant shift, addressing the immediate needs of an aging society by providing accessible long-term care and alleviating familial financial burdens.

Mid-2000s to 2010s: The focus shifted toward preventive care and early intervention. Policies encouraged regular health screenings, lifestyle modifications, and community health initiatives to prevent chronic diseases, thereby reducing future healthcare expenditures.

2010s to Present: Technological integration became prominent, with investments in digital health solutions enhancing care delivery and system efficiency. The multi-tiered structure was further refined to optimize resource allocation and address demographic challenges.


Other Insurance Types and Reforms

Beyond Kaigo Hoken, Japan operates:

Reforms across these insurance types mirror those in Kaigo Hoken, focusing on preventive care, efficient resource allocation, and financial adjustments to address the challenges posed by an aging population.

Written in November 6th, 2024




Navigating the NHS and Private Medical Practice in Britain

The British insurance system, epitomized by the National Health Service (NHS), presents a distinctive model of healthcare that strives to offer universal access, predominantly funded through taxation. While the NHS delivers a comprehensive range of services largely free at the point of use, a parallel private healthcare sector exists, providing additional options for those seeking expedited or specialized care.

Aspect NHS Private Medical Practice
Funding General taxation and National Insurance contributions Patient fees and private insurance premiums
Cost to Patient Largely free at the point of use; some prescription charges Direct payment or insurance coverage required
Access to Care Universal access; potential wait times for non-urgent care Faster access; scheduling flexibility
Choice of Provider Assigned GP; limited choice in specialists Freedom to choose specialists and facilities
Facilities Standard accommodations Private rooms and enhanced amenities
Scope of Services Comprehensive essential services Additional elective and specialized treatments
Regulation Government-regulated Regulated by Care Quality Commission; market-driven
Continuity of Care Integrated care pathways within NHS system May require coordination between private and NHS services
Preventative Care Strong emphasis through public health initiatives Available but may incur additional costs
Patient Autonomy Guided by NHS protocols and availability Greater control over treatment decisions

NHS: Structure and Core Benefits

Established in 1948, the NHS operates through four autonomous bodies—NHS England, NHS Scotland, NHS Wales, and Health and Social Care (HSC) in Northern Ireland—each adhering to shared principles of universal healthcare access. Funded primarily through general taxation and National Insurance contributions, the NHS offers an extensive array of medical services encompassing primary care, specialist consultations, emergency services, and preventative care initiatives.

  1. Governmental Advantages

    • Equitable Access: The NHS embodies the government's commitment to healthcare equality, ensuring services are available to all residents regardless of financial status.
    • Cost Efficiency: Centralized funding and resource allocation enable cost control and budget predictability.
    • Public Health Coordination: The unified structure facilitates nationwide health campaigns and vaccination programs, enhancing overall public health outcomes.
  2. Benefits for UK Residents

    • Financial Relief: Minimal out-of-pocket expenses for essential services alleviate financial burdens on individuals and families.
    • Continuity of Care: Integrated health records and coordinated care pathways promote seamless treatment experiences.
    • Preventative Focus: Emphasis on preventative care reduces long-term health risks and associated costs.

Limitations of the NHS and the Emergence of Private Healthcare

Despite its strengths, the NHS faces challenges that have led to increased interest in private medical practice.

  1. Systemic Limitations

    • Waiting Times: High demand and resource constraints result in lengthy wait periods for non-urgent procedures.
    • Regional Disparities: Availability of certain specialist services can vary geographically, affecting access in rural areas.
    • Resource Allocation: Prioritization of cases based on clinical urgency may delay elective treatments.
  2. Private Medical Practice as a Complement

    Private healthcare offers solutions to some of these limitations by providing:

    • Expedited Services: Shorter waiting times for consultations and procedures.
    • Choice of Specialists: Greater autonomy in selecting healthcare providers and facilities.
    • Enhanced Comfort: Access to private rooms and personalized care environments.

Written on November 12th, 2024

Back to Top