Clinical Notes

Table of Contents

Clinical Case Study

Urinary Urgency in an Elderly Patient

Adult Nocturnal Enuresis

Management of Liver Failure in an Alcoholic Patient with Indigestion Symptoms

Mood Disorder Management in an Elderly Male Patient

Ofloxacin Ophthalmic Solution as an Alternative for Otic Use

Excessive Salivation

Difficulty in Urination in an Elderly Female Patient

Suspected Panhypopituitarism and Secondary Hypothyroidism (Written November 12, 2024)

Clinical Case Scenario of a Custodial Worker with Respiratory Injury Following Inadvertent Bleach Mixture and Recommended Management Strategies (Written December 17, 2024)

Attempting Hydrochloric Acid Production from Bleach and Vinegar (Written December 17, 2024)

Potential Hazards from Common Household Chemical Interactions (Written December 17, 2024)

Complications During Foley Catheter Exchange (Written December 30, 2024)

Clinical case study: endocrine and infectious considerations in a chronically critically ill female ⚕️ (Written May 12, 2025)

Case Study: Recurrent Esophageal Stricture Managed With Endoscopic Balloon Dilatation (Written May 20, 2025)

Management considerations in a 70-year-old male with malleolar tophaceous gout (Written June 10, 2025)

Progressive tracheostomy stoma narrowing and granulation in a 60-year-old female: diagnostic and therapeutic considerations (Written June 23, 2025)


Clinical Case Study and Scenario Exploration

A Case of D-Shaped Left Ventricle: Recognizing Acute Right Ventricular Failure (Written December 13, 2024)

↪ Comparative Case Study: D-Shaped Left Ventricle in Acute Pulmonary Embolism (Written December 13, 2024)

Carotid Ultrasound Findings in a 47-Year-Old Patient (Written March 24, 2025)

Ultrasound‑guided evaluation and management of elevated D‑dimer in a long‑term‑care resident (Written April 11, 2025)

Interpretation of TTE findings in an 85-year-old gentleman (Written June 20, 2025)

TTE findings and hemodynamic management in an elderly patient following traumatic subdural hemorrhage (Written July 11, 2025)

Transthoracic echocardiography assessment in a 92‑year‑old woman (Written July 29, 2025)

Interpretation of Echocardiography Findings in a Clinical Case (Written September 7, 2025)

Echocardiographic Findings of Multichamber Enlargement and Pulmonary Hypertension (Written September 7, 2025)

Echocardiographic Assessment of an 87-Year-Old Female (Written October 15, 2025)

Echo-focused case study of advanced ischemic cardiomyopathy on transthoracic echocardiography (Written April 3, 2026)


Internal jugular vein echogenicity on carotid ultrasound (Written June 14, 2025)


Felson's Roentgenology


Clinical Case Study


Urinary Urgency in an Elderly Patient

  -   Patient Profile

  -   Clinical Considerations

  -   Further Diagnostic and Treatment Approaches

Written on October 16, 2024




Adult Nocturnal Enuresis

  -   Patient Profile

  -   Clinical Considerations

  -   Treatment Options and Rationale

  -   Behavioral and Lifestyle Modifications

Written in October 16, 2024




Management of Liver Failure in an Alcoholic Patient with Indigestion Symptoms

  -   Case Summary

  -   Clinical Presentation

  -   Management Strategy

  -   Conclusion

Written on October 24, 2024




Mood Disorder Management in an Elderly Male Patient

  -   Patient Profile

  -   Clinical Considerations

  -   Treatment Strategy and Rationale

Written on November 6, 2024




Ofloxacin Ophthalmic Solution as an Alternative for Otic Use

  -   Patient Profile

  -   Clinical Considerations

  -   Dosage Recommendations

  -   Summary and Guidelines for Safe Administration

Written in November 11, 2024




Excessive Salivation

  -   Patient Profile

  -   Clinical Considerations

  -   Assessment of Medications and Potential Culprits

  -   Management Strategy

  -   Patient Monitoring and Follow-Up

Written on November 29, 2024



Difficulty in Urination in an Elderly Female Patient

  -   Patient Profile

  -   Clinical Considerations

  -   Treatment Options and Rationale

  -   Further Diagnostic and Treatment Approaches

  -   Management Strategy

Condition Medication Class Examples Dosage Mechanism Notes
Overactive Bladder or Detrusor Overactivity Anticholinergics Oxybutynin (Ditropan XL), Tolterodine (Detrol LA) Oxybutynin: 5–10 mg once daily
Tolterodine: 2–4 mg once daily
Reduces bladder muscle contractions
Beta-3 Adrenergic Agonists Mirabegron (Myrbetriq) 25–50 mg once daily Relaxes the bladder detrusor muscle Alternative for patients intolerant to anticholinergics
Underactive Bladder or Urinary Retention Cholinergic Agonists Bethanechol (Urecholine) 10–50 mg 3–4 times daily Stimulates bladder muscle contractions Avoid in patients with mechanical obstruction
Bladder Outlet Obstruction or Prolapse-Related Symptoms Estrogen Therapy Vaginal Estradiol (Estrace Cream), Estradiol Vaginal Ring (Estring) Estrace Cream: 0.5 g vaginally 2–3 times per week
Estring: Inserted every 90 days
Improves urethral and vaginal tissue integrity Consider surgical intervention for severe prolapse
Alpha-Blockers Tamsulosin (Flomax), Terazosin (Hytrin) Tamsulosin: 0.4 mg once daily
Terazosin: 1–5 mg once daily
Relaxes smooth muscles of the bladder neck and urethra Off-label use in females for functional bladder outlet obstruction
Neurogenic Bladder Antimuscarinics Oxybutynin (Ditropan XL) 5–10 mg once daily Reduces bladder muscle contractions May require dosage adjustments based on patient response and tolerance
Beta-3 Adrenergic Agonists Mirabegron (Myrbetriq) 25–50 mg once daily Relaxes the bladder detrusor muscle Alternative for patients intolerant to anticholinergics
Adjunct Therapy Intermittent Self-Catheterization As clinically indicated Facilitates complete bladder emptying Particularly useful in cases of severe urinary retention
Functional Obstruction or Urethral Spasms Alpha-Blockers Tamsulosin (Flomax), Terazosin (Hytrin) Tamsulosin: 0.4 mg once daily
Terazosin: 1–5 mg once daily
Relaxes smooth muscles of the bladder neck and urethra Off-label use in females for functional bladder outlet obstruction
Painful Urination or Urinary Tract Infection (UTI) Antibiotics Nitrofurantoin (Macrobid), Trimethoprim/Sulfamethoxazole (Bactrim), Fosfomycin (Monurol) Nitrofurantoin: 100 mg twice daily for 5–7 days
Trimethoprim/Sulfamethoxazole: 1 DS tablet twice daily for 3–5 days
Fosfomycin: 3 g single-dose sachet
Treats bacterial infections causing UTI
Adjunct Therapy Phenazopyridine (Pyridium) 200 mg 3 times daily for symptomatic relief (limited to 2–3 days) Provides symptomatic relief for painful urination

Written on December 3, 2024


Suspected Panhypopituitarism and Secondary Hypothyroidism (Written November 12, 2024)

Clinical Course Summary:

February 29, 2024 Consultation:

The patient had previously been on levothyroxine 50 mcg HS1 for hypothyroidism; however, this therapy was discontinued after normalization of thyroid function tests (TFTs) at another facility. Recent laboratory evaluations revealed progressively declining free T4 and total T3 levels, suggesting a central etiology.

These changes raised suspicion for panhypopituitarism involving secondary (central) hypothyroidism and possible secondary adrenal insufficiency. To address inadequate cortisol production secondary to ACTH deficiency, it was recommended to initiate hydrocortisone replacement (e.g., hydrocortisone 10 mg in the morning (D)2 and 5 mg in the afternoon (S)3). Because central hypothyroidism is driven by pituitary dysfunction rather than thyroid gland failure, levothyroxine dosing must be guided by Free T4 rather than TSH alone. After establishing adequate glucocorticoid coverage, the addition of levothyroxine 0.05 mg DA4 was planned for the following day. A reassessment of TFTs after one month was advised to fine-tune the levothyroxine dose.

April 1, 2024 Consultation:

Subsequent follow-up indicated normalization of Free T4 levels. Continuation of the current levothyroxine dosing and maintenance of hydrocortisone at the existing dose was recommended. The patient was advised that the development of hyponatremia or hypotension would suggest inadequate glucocorticoid replacement, potentially necessitating an increase in hydrocortisone dosage. In such circumstances, further endocrine consultation would be warranted.

October 16, 2024 Consultation:

By this time, the patient had stabilized on hydrocortisone (Hysone) 10 mg BM6 and levothyroxine (Synthyroid) at 0.05 mg DA4 on weekdays (Monday through Friday) and 0.1 mg DA4 on weekends (Saturday and Sunday). Continued vigilance for signs of adrenal insufficiency or altered thyroid hormone status was advised. Dose adjustments should be considered if clinical or laboratory abnormalities arise.


Pathophysiology and Clinical Considerations

The patient’s condition is consistent with panhypopituitarism—deficiency in multiple anterior pituitary hormones, including ACTH and TSH. Insufficient ACTH leads to secondary adrenal insufficiency, characterized by inadequate cortisol production. Insufficient TSH secretion causes central (secondary) hypothyroidism, characterized by low Free T4 with an inappropriately normal or low TSH. This scenario differs from primary thyroid disease, wherein TSH would typically be elevated in response to low thyroid hormone levels.

Central adrenal insufficiency predisposes to hypotension and hyponatremia due to compromised cortisol-mediated maintenance of vascular tone, impaired free water excretion, and possible subtle alterations in mineralocorticoid action. Initiation of levothyroxine before ensuring adequate cortisol replacement can exacerbate underlying adrenal insufficiency, precipitating an adrenal crisis. Thus, hydrocortisone therapy must be established prior to or concurrent with levothyroxine initiation.

Mechanisms Behind Hyponatremia and Hypotension

Further Management and Follow-Up

  1. Hormone Monitoring: Regular measurement of Free T4, serum sodium, and blood pressure is essential. Adjust hydrocortisone and levothyroxine doses based on clinical and laboratory findings.
  2. Stress Dosing of Steroids: Infections, surgeries, or other physiological stressors require a temporary increase in hydrocortisone to mimic normal adrenal responses.
  3. Evaluation of Other Pituitary Axes: Periodic assessment of gonadotropins, growth hormone (GH)/IGF-1, and prolactin may be warranted, given the suspicion of global pituitary dysfunction.
  4. Patient Education (Indirect): Patients should be made aware of the importance of strict adherence to medication regimens and should be counseled to seek medical evaluation if symptoms of cortisol deficiency (fatigue, weakness, hypotension) or inadequate thyroid hormone replacement (weight gain, lethargy, cold intolerance) arise.


Laboratory Normal Ranges

Test Normal Range
TSH 0.4–4.0 mIU/L
Free T4 0.8–1.8 ng/dL
Total T3 80–180 ng/dL
Cortisol* 5–25 µg/dL (morning)
ACTH 9–52 pg/mL
IGF-1 (adult) ~80–350 ng/mL (age-dependent)
Prolactin Males: 2–18 ng/mL; Females: 2–29 ng/mL

*In secondary adrenal insufficiency, cortisol levels may be lower than expected for a given clinical scenario.

Autoimmune Markers (TBII and TMAb)

Footnotes for Dosing Notation

  1. HS: At bedtime (Hora Somni)
  2. D: Morning (once daily in the morning)
  3. S: Afternoon (once daily in the afternoon)
  4. DA: Once daily (Die Ante / Daily Administration)
  5. DS: Twice daily (morning and afternoon/evening) if indicated
  6. BM: "Breakfast Meal" or "Morning Before Meal"

Parameter Primary Adrenal Insufficiency Secondary Adrenal Insufficiency Normal Range / Considerations
Pathophysiology Adrenal gland failure (e.g., autoimmune destruction in Addison’s disease), resulting in low cortisol and often low aldosterone Inadequate ACTH secretion from the pituitary, leading to low cortisol but normal or near-normal aldosterone production
Cortisol Levels Low cortisol that does not increase adequately with ACTH stimulation Low cortisol due to insufficient ACTH; however, the adrenal glands can often respond if ACTH is given Normal AM Cortisol: ~5–25 µg/dL (may vary by assay)
In secondary, cortisol may be low-normal or low, but consider ACTH test
ACTH Levels High ACTH due to loss of negative feedback (pituitary overproduction) Low or inappropriately normal ACTH due to pituitary or hypothalamic dysfunction Normal ACTH: ~9–52 pg/mL (assay-dependent)
Elevated ACTH suggests primary adrenal failure; low or normal ACTH in the face of low cortisol suggests secondary
Aldosterone Levels Often low, leading to more pronounced electrolyte disturbances (hyponatremia, hyperkalemia) Typically normal or less affected, as the renin-angiotensin system can still maintain aldosterone production Normal Aldosterone: ~1–16 ng/dL (posture and salt intake affect levels)
Monitor electrolytes carefully, especially in primary disease
Electrolytes Hyponatremia and hyperkalemia common due to aldosterone deficiency Hyponatremia may occur due to low cortisol and impaired free water excretion, but hyperkalemia is less common Normal Sodium: ~135–145 mmol/L
Normal Potassium: ~3.5–5.0 mmol/L
Monitor closely for changes indicating inadequate replacement
Renin Levels High plasma renin activity due to aldosterone deficiency Normal or slightly elevated; not typically as high as in primary disease Elevated renin suggests poor aldosterone action. Normal ranges differ by assay, but consider renin in the context of aldosterone and ACTH
Response to ACTH Stimulation Test Poor cortisol response (adrenals cannot produce sufficient cortisol) Improved cortisol response after prolonged ACTH stimulation if the adrenal glands have not atrophied significantly In a standard ACTH stimulation test, a normal response is a rise in cortisol to >18–20 µg/dL (assay-dependent) at 30 or 60 minutes
Clinical Management Considerations Requires glucocorticoid and often mineralocorticoid replacement; careful monitoring of electrolytes and blood pressure Glucocorticoid replacement is essential; mineralocorticoid usually not required. Monitor for hypotension and hyponatremia under stress Adjust medication based on clinical signs and repeated lab assessments. Normal ranges differ by lab; follow one consistent assay when possible

Written on November 12th, 2024


Clinical Case Scenario of a Custodial Worker with Respiratory Injury Following Inadvertent Bleach Mixture and Recommended Management Strategies (Written December 17, 2024)

This clinical case scenario examines a custodial worker who developed pulmonary injury after inadvertently mixing bleach with another cleaning agent, leading to the release of hazardous gases. The scenario provides insight into the pathophysiological mechanisms, outlines key management priorities, and discusses preventive measures. The emphasis is placed on understanding the behavior of these gases—such as chlorine, which is heavier than air—and the importance of educating cleaning personnel on safe chemical handling. A supplemental table is provided summarizing common bleach-based mixtures, their resultant toxic gases, associated health hazards, and recommended clinical management.

Bleach Mixture Hazardous Products Released Primary Health Damage Clinical Management
Bleach + Vinegar (Acid) Chlorine gas Severe airway irritation, bronchospasm, chemical burns to respiratory tract, potential pulmonary edema Remove from exposure; provide supplemental O2; administer bronchodilators, consider corticosteroids; monitor for ARDS.
Bleach + Ammonia Chloramine gases Airway irritation, coughing, wheezing, bronchospasm, potential acute lung injury Fresh air; O2 supplementation; bronchodilators; monitor closely for respiratory compromise.
Bleach + Baking Soda (Sodium Bicarbonate) Mild chlorine derivatives Mild to moderate upper airway irritation, potential lower airway irritation with prolonged exposure Ensure proper ventilation; symptomatic support (O2, bronchodilators if needed); generally less severe, but observe for worsening symptoms.
Bleach + Hydrogen Peroxide Reactive oxygen species and irritants Mild to moderate irritation of eyes, nose, and throat; possible lower airway irritation Remove from exposure; supplemental O2 if indicated; symptomatic care; observe until stabilization.

Introduction

Chemical cleaning agents are widely employed in various occupational settings. When bleach (sodium hypochlorite solution) is inadvertently mixed with incompatible substances such as acids, ammonia, baking soda, or hydrogen peroxide, hazardous reactions may occur. These reactions can generate toxic gases that damage the respiratory tract, leading to acute distress and, in severe cases, life-threatening conditions. The following clinical case scenario is presented to illustrate the complications associated with such exposures, highlight the underlying pathophysiology, and delineate immediate management steps.


Clinical Case Scenario

A 45-year-old custodial worker presented to the emergency department with acute onset of shortness of breath, cough, throat irritation, and chest tightness approximately 15 minutes after mixing bleach with an unidentified cleaning agent in a poorly ventilated storage room. There was notable eye irritation and a burning sensation in the throat. Vital signs indicated tachypnea, mild hypoxia, and wheezing on auscultation. The individual’s baseline health was previously unremarkable, and there were no known pre-existing pulmonary conditions.

Initial assessment revealed that the patient had likely inhaled chlorine-containing fumes. The chlorine gas, heavier than air, had pooled near the ground in the enclosed, low-ventilation environment, increasing the risk of inhalation. Mild cyanosis and persistent lower airway irritation were noted. The patient’s condition illustrated the risk posed to untrained or inadequately informed custodial staff who inadvertently release toxic gases by combining incompatible chemicals.


Pathophysiology of Inhalation Injury

  1. Bleach and Vinegar (Acid):

    Mixing bleach with an acid (such as vinegar) liberates chlorine gas. When inhaled, chlorine gas reacts with moisture in the respiratory tract to form hydrochloric acid and hypochlorous acid, directly irritating and chemically burning the mucosa of the airways. This can lead to bronchospasm, increased mucus production, and potential pulmonary edema.

  2. Bleach and Ammonia:

    Mixing bleach with ammonia produces chloramine gases. Inhalation of chloramines causes irritation to the eyes, nose, throat, and lungs. Similar to chlorine, chloramines react with pulmonary fluids to form corrosive substances, resulting in inflammation, bronchospasm, and possible acute lung injury.

  3. Bleach and Baking Soda (Sodium Bicarbonate):

    While generally less hazardous, combining bleach with baking soda can still cause the release of small amounts of chlorine or related irritants. The primary risk is irritation of the upper airways rather than severe lung damage. Nonetheless, prolonged exposure or high concentrations may still contribute to respiratory discomfort and inflammation.

  4. Bleach and Hydrogen Peroxide:

    The mixture of bleach with hydrogen peroxide can generate reactive oxygen species and possibly other irritant compounds. Although less commonly encountered, such mixtures can cause mucosal irritation and mild to moderate respiratory distress.


Management and Preventive Strategies

  1. Decontamination and Ventilation:
    • Immediately evacuate the patient to an area with fresh air.
    • Remove any contaminated clothing and flush exposed skin or eyes with copious amounts of water if needed.
  2. Supportive Respiratory Care:
    • Administer supplemental oxygen to maintain adequate oxygen saturation.
    • Provide bronchodilators (e.g., nebulized beta-2 agonists) to alleviate bronchospasm.
    • Consider inhaled or systemic corticosteroids to reduce airway inflammation and edema.
    • Monitor for signs of pulmonary edema and acute respiratory distress syndrome (ARDS), offering mechanical ventilation if necessary.
  3. Pharmacological Interventions:
    • There is no specific “antidote” for chlorine or chloramine inhalation. Treatment is primarily supportive.
    • If there is suspicion of secondary complications such as methemoglobinemia (rare in these scenarios), agents like methylene blue may be considered.
    • Antibiotics are not routinely indicated unless there is evidence of secondary infection, but prophylactic measures may be considered on a case-by-case basis.
  4. Further Monitoring and Care:
    • Continuous cardiorespiratory monitoring to detect early signs of respiratory deterioration.
    • Arterial blood gas analysis, chest imaging, and pulmonary function tests to assess the extent of injury.
    • Admission to a hospital setting for observation if symptoms are severe.
  5. Preventive Measures:
    • Educate cleaning personnel on chemical handling and the potential dangers of mixing bleach with other agents.
    • Ensure proper ventilation and avoid confined areas with insufficient airflow.
    • In environments at risk for gas accumulation, instruct personnel to remain at higher ground if heavy, noxious gases are released until the area is cleared.

Written on December 17th, 2024


Attempting Hydrochloric Acid Production from Bleach and Vinegar (Written December 17, 2024)

⚠️ Safety Warning

Combining bleach (commonly containing sodium hypochlorite, NaOCl) with vinegar (acetic acid, CH₃COOH) presents significant hazards. This reaction can generate chlorine gas (Cl₂), a highly toxic substance known to cause severe respiratory distress, eye irritation, and other serious health complications. Engaging in such experiments without proper training, adequate ventilation, specialized equipment, and meticulous safety precautions may result in harmful exposure and potentially fatal outcomes. Adopting this method to produce chlorine gas or hydrochloric acid (HCl) is strongly discouraged.

Chemical Basis of the Reaction

When sodium hypochlorite is mixed with acetic acid, an immediate chemical reaction releases chlorine gas, as illustrated in the simplified equation:

\[ \text{NaOCl} + 2\text{CH}_3\text{COOH} \rightarrow \text{Cl}_2 \uparrow + \text{CH}_3\text{COONa} + \text{H}_2\text{O} \]

Once formed, chlorine gas introduced into water can yield a mixture of hydrochloric acid (HCl) and hypochlorous acid (HOCl):

\[ \text{Cl}_2 + \text{H}_2\text{O} \leftrightarrow \text{HCl} + \text{HOCl} \]

Although this indicates a pathway to producing HCl, the resulting hydrochloric acid from such a process is neither reliably controlled nor safely concentrated. Conducting this reaction poses serious difficulties in terms of managing reaction variables and ensuring consistent product purity.

Reasons to Refrain from This Method

  1. Toxic Gas Generation: Chlorine gas, formed as an intermediate, is perilous when inhaled and can damage respiratory tissues, cause severe irritation, and potentially lead to long-term health complications.
  2. Unpredictable Outcomes: The reaction does not lend itself to easy control. Concentrations of HCl obtained through this route are unpredictable and usually insufficient for practical applications.
  3. Significant Safety Risks: Managing concentrated acids demands appropriate personal protective equipment (PPE), corrosion-resistant containers, and comprehensive training. Even minor mishandling can result in chemical burns, spills, and hazardous fumes.
  4. Legal and Environmental Considerations: Inappropriate handling and disposal of such chemicals may violate regulations and harm the environment, leading to legal repercussions.

Recommended Alternatives

For processes requiring hydrochloric acid, a more prudent and responsible approach involves obtaining commercially produced HCl solutions from reputable sources. These products are accompanied by safety data sheets (SDS), ensuring proper guidance in handling, storage, and disposal.

Written on December 17th, 2024


Potential Hazards from Common Household Chemical Interactions (Written December 17, 2024)

Household chemicals perform essential functions in cleaning, disinfecting, and maintaining indoor environments. While these products are generally safe when used according to their labels, certain combinations can lead to the unintended formation of highly toxic gases, corrosive compounds, explosive mixtures, or other dangerous byproducts. Such reactions frequently occur when acids, bases, oxidizers, organic solvents, or other reactive substances are mixed, whether purposefully or accidentally. Understanding these hazards, along with the underlying chemical principles and associated health risks, is critical for preventing accidents, safeguarding human health, and protecting the environment.

Material Mixed With Common Product Examples Representative Chemical Reaction Hazardous Products Formed Potential Health Hazards
Bleach (Sodium Hypochlorite, NaOCl) Vinegar (Acetic Acid, CH₃COOH) Clorox® Bleach + White Vinegar NaOCl + 2CH₃COOH → Cl₂↑ + CH₃COONa + H₂O Chlorine gas (Cl₂) Severe respiratory and eye irritation; potentially fatal respiratory failure
Ammonia (NH₃) Bleach + Ammonia-based Glass Cleaner (e.g., Windex®) NaOCl + 2NH₃ → NH₂Cl + NH₃Cl (complex mixture) Chloramine gases (e.g., NH₂Cl) Respiratory distress, eye irritation, chemical burns, risk of pulmonary edema
Isopropyl Alcohol (C₃H₇OH) Bleach + Rubbing Alcohol (70%/91%) NaOCl + C₃H₇OH → CHCl₃ + NaOH + H₂O Chloroform (CHCl₃) Dizziness, unconsciousness, organ damage upon inhalation
Hydrogen Peroxide (H₂O₂) Bleach + 3% Hydrogen Peroxide Rapid O₂ release (no simple eq.) Oxygen gas (O₂), unstable conditions Explosion risk in closed systems, chemical burns
Acetone (CH₃COCH₃) Bleach + Nail Polish Remover Complex reaction (may yield CHCl₃) Chloroform-like halocarbons Toxic inhalation, dizziness, organ damage
Ammonia-Based Cleaners (NH₃) Bleach (NaOCl) Ammonia-based Cleaner + Bleach NaOCl + 2NH₃ → NH₂Cl + NH₃Cl (complex mixture) Chloramine gases (NH₂Cl) Respiratory issues, eye irritation, chemical burns
Acids (e.g., Vinegar CH₃COOH, Toilet Bowl Cleaners) Ammonia Cleaner + White Vinegar NH₃ + CH₃COOH → CH₃COONH₄⁺ & possible NOx Nitrogen oxides (NOx), irritant vapors Respiratory irritation, chemical burns
Vinegar (Acetic Acid, CH₃COOH) Bleach (NaOCl) White Vinegar + Clorox® NaOCl + 2CH₃COOH → Cl₂↑ + CH₃COONa + H₂O Chlorine gas (Cl₂) Severe respiratory and eye irritation, potentially fatal
Hydrogen Peroxide (H₂O₂) White Vinegar + 3% Hydrogen Peroxide H₂O₂ + CH₃COOH → CH₃COOOH Peracetic acid (CH₃COOOH) Highly corrosive to skin, eyes, lungs
Baking Soda (NaHCO₃) White Vinegar + Baking Soda (Arm & Hammer®) NaHCO₃ + CH₃COOH → CH₃COONa + H₂O + CO₂↑ Carbon dioxide (CO₂) gas Pressure buildup in closed containers, rupture risks
Hydrogen Peroxide (H₂O₂) Vinegar (CH₃COOH) 3% Hydrogen Peroxide + White Vinegar H₂O₂ + CH₃COOH → CH₃COOOH Peracetic acid (CH₃COOOH) Corrosive to skin, eyes, lungs
Bleach (NaOCl) 3% Hydrogen Peroxide + Bleach Rapid O₂ release (no simple eq.) Oxygen gas (O₂), unstable conditions Explosion risk in closed systems, chemical burns
Flammables (e.g., Alcohols, Fuels) Hydrogen Peroxide + Rubbing Alcohol Complex oxidation reactions Unstable peroxides, ignition sources Fire, explosion hazards
Drain Cleaners (Acidic or Alkaline) Opposite-Type Drain Cleaners (Acidic vs. Alkaline) Drano® (NaOH) + Liquid-Plumr® (Acidic) H⁺ + OH⁻ → H₂O (exothermic) Heat, steam, toxic fumes Burns, inhalation damage, explosion risk
Bleach (NaOCl) Drano® + Bleach Complex reactions Chlorine gas, irritant fumes Severe respiratory irritation, chemical burns
Ammonia (NH₃) Acidic Drain Cleaner + Ammonia Complex neutralizations & side reactions NOx, irritant vapors Respiratory irritation, chemical burns
Baking Soda (NaHCO₃) Vinegar (CH₃COOH) Baking Soda (Arm & Hammer®) + White Vinegar NaHCO₃ + CH₃COOH → CH₃COONa + H₂O + CO₂↑ Carbon dioxide (CO₂) gas Pressure buildup in closed containers, rupture risks
Isopropyl Alcohol (C₃H₇OH) Bleach (NaOCl) Rubbing Alcohol + Bleach NaOCl + C₃H₇OH → CHCl₃ + NaOH + H₂O Chloroform (CHCl₃) Dizziness, unconsciousness, organ damage (inhalation)
Strong Oxidizers (e.g., H₂O₂) Rubbing Alcohol + High-concentration H₂O₂ Complex reactions (unstable peroxides formed) Unstable peroxides, ignition risk Fire, explosion hazards
Acetone (CH₃COCH₃) Bleach (NaOCl) Nail Polish Remover + Bleach Complex reaction (may yield CHCl₃) Chloroform-like halocarbons Toxic inhalation, dizziness, organ damage
Air Fresheners and Fragrances (VOCs) Ozone (O₃) Febreze®, Glade® + Ozone Purifier VOCs + O₃ → HCHO + other oxidation products Formaldehyde (HCHO) Carcinogenic, respiratory irritant

Bleach (Sodium Hypochlorite, NaOCl)

Common Products: Clorox® and similar bleach-based disinfectants
Bleach is a powerful oxidizing agent widely used for disinfection and stain removal. Its reactivity can pose significant risks when combined with other chemicals:

Ammonia-Based Cleaners (NH₃)

Common Products: Ammonia-based glass cleaners (e.g., Windex®), fertilizers, certain multipurpose cleaners
Ammonia solutions effectively remove grime but become hazardous when combined with bleach or acids:

Vinegar (Acetic Acid, CH₃COOH)

Common Products: White vinegar, culinary vinegar (5–8% CH₃COOH)
Vinegar is a mild acid commonly used for eco-friendly cleaning. However, when mixed with strong oxidizers or bases, hazardous compounds may form:

Hydrogen Peroxide (H₂O₂)

Common Products: Standard 3% first-aid solution, higher concentrations in specialty cleaners
Hydrogen peroxide acts as an oxidizer and reacts dangerously with various substances:

Drain Cleaners (Acidic or Alkaline)

Common Products: Drano® (NaOH-based), Liquid-Plumr® (often acidic)
Drain cleaners dissolve clogs by strong acid or base action. Mixing them with each other or with bleach and ammonia intensifies hazards:

Baking Soda (Sodium Bicarbonate, NaHCO₃)

Common Products: Arm & Hammer® Baking Soda
Baking soda, a mild base, reacts with acids to release carbon dioxide gas:

Isopropyl Alcohol (C₃H₇OH)

Common Products: 70% or 91% rubbing alcohol solutions
Isopropyl alcohol is a useful disinfectant but reacts dangerously with bleach and strong oxidizers:

Acetone (CH₃COCH₃)

Common Products: Nail polish removers
Acetone is a strong solvent, highly flammable, and reactive with bleach:

Air Fresheners and Fragrances (VOCs)

Common Products: Febreze®, Glade®, scented candles, plug-in diffusers
Volatile organic compounds (VOCs) enhance fragrances but can react with ozone (O₃) from certain air purifiers:

Written on December 17th, 2024


Complications During Foley Catheter Exchange (Written December 30, 2024)

-   Patient Profile

-   Clinical Presentation

-   Clinical Considerations

-   Intervention and Referral

-   Urological Evaluation and Findings

-   Management and Recommendations

-   Outcome and Lessons Learned

-   Timeline of Events

Timepoint Clinical Action Key Observations
Initial Catheter Change Attempt Routine Foley catheter exchange in ward setting Patient exhibited muscle tension, bleeding observed, failed catheter insertion
0–6 Hours Post-Attempt Monitoring for urinary output No urine output detected
6 Hours Post-Attempt Transfer to Emergency Department Referral to urology due to suspected catheter misplacement or injury
Upon ED Arrival Urological evaluation and controlled Foley catheter insertion Identification of possible false passage in bulbar urethra, mild hematuria
Post-ED Intervention Maintenance of Foley catheter without changes Recommendations to avoid catheter change for one week to prevent urethral stricture
2 Weeks Later Planned catheter exchange Anticipated healing of urethral injury, reduced risk of stricture

Written on December 30, 2024


Clinical case study: endocrine and infectious considerations in a chronically critically ill female ⚕️ (Written May 12, 2025)

I. Patient overview

A 66‑year‑old woman with quadriplegia and a history of traumatic subdural hemorrhage underwent decompressive craniectomy, subsequent cranioplasty, and ventricular shunt placement. She remains tracheostomized and ventilator‑dependent in a long‑term acute‑care setting. Chronic primary hypothyroidism is treated with oral levothyroxine; physiological‑dose hydrocortisone is co‑administered because combined (central ± primary) adrenal–thyroid axis impairment cannot be excluded. Resuscitation is limited by a do‑not‑resuscitate directive.

II. Recent clinical course 🩺

III. Endocrine background 🧬

Long‑standing hypothyroidism and possible secondary adrenal insufficiency place the patient at risk for hemodynamic instability during systemic infection. Stress‑dose glucocorticoid requirements may outstrip the current replacement regimen.

IV. Hormonal differentials to evaluate ⚠️

Condition Key triggers / clues Diagnostic tests First‑line management
Adrenal crisis 🌡️ Sepsis, fever, hydrocortisone ≤ 15 mg day‑1, hyponatremia, hyperkalemia, persistent hypotension Morning serum cortisol  |  ACTH  |  Rapid cosyntropin test Hydrocortisone 50 mg IV q6 h, aggressive isotonic fluids, taper when stabilized
Myxedema coma 🧊 Hypothermia, bradycardia, altered mental status, hyponatremia, hypoventilation TSH, free T4, free T3, electrolytes, ABG Levothyroxine 200–400 µg IV loading, then 1.6 µg kg‑1 day‑1; co‑administer stress hydrocortisone until adrenal axis verified
Thyroid storm 🔥 High‑grade fever, tachyarrhythmia, hypertension ± later collapse, goiter, recent iodine load TSH (suppressed), free T 3/T 4 markedly elevated, Burch–Wartofsky score β‑blocker, propylthiouracil/methimazole, hydrocortisone, inorganic iodide after thionamide
Sick‑euthyroid syndrome 🛌 Critical illness without primary gland disease; low T3, normal or low TSH Full thyroid profile to distinguish from primary disorders No specific therapy; treat underlying illness

V. Recommended laboratory panel 🧪

VI. Acute therapeutic plan 💊

  1. Empiric stress‑dose glucocorticoid—hydrocortisone 50 mg IV every 6 h (consider taper to baseline 15–20 mg day‑1 oral once stabilized and cosyntropin test normal).
  2. Maintain levothyroxine—continue usual oral dose via feeding tube; switch to parenteral route if absorption unreliable.
  3. Infection control—continue piperacillin/tazobactam; adjust according to culture results and renal function.
  4. Hemodynamic support—fluid resuscitation (balanced crystalloids); norepinephrine if mean arterial pressure < 65 mmHg despite fluids and steroids.
  5. Electrolyte correction—treat hyponatremia or hyperkalemia promptly to reduce cardiovascular risk.

VII. Thyroid‑related blood‑pressure patterns during infection

🔽 Hypotension‑predominant states

  1. Adrenal crisis (secondary to insufficient cortisol)—usually coexists with hypothyroidism; infection triggers vascular collapse.
  2. Myxedema coma—profound vasodilation, low cardiac output, bradycardia.
  3. Sick‑euthyroid syndrome—TSH often normal; hypotension driven by sepsis itself rather than thyroid dysfunction.

🔼 Hypertension‑predominant states

  1. Thyrotoxicosis / thyroid storm—increased β‑adrenergic tone produces systolic hypertension and wide pulse pressure.
  2. Subacute (de Quervain) thyroiditis—transient thyrotoxic phase may elevate blood pressure before a hypothyroid phase ensues.
  3. Over‑replacement with levothyroxine—iatrogenic excess can present with isolated systolic hypertension.

VIII. Prognostic reflections 🌟

Early recognition of superimposed endocrine crises in chronically critically ill patients is vital. Empiric stress‑dose steroids are justified when hypotension emerges in the context of infection and known thyroid axis impairment. Concurrent evaluation of thyroid function prevents the under‑ or over‑treatment that can tip the balance toward either refractory shock or hypertensive emergencies. A stepwise diagnostic and therapeutic algorithm, as outlined, supports safe, individualized care.

Written on May 12, 2025


Case Study: Recurrent Esophageal Stricture Managed With Endoscopic Balloon Dilatation (Written May 20, 2025)

Patient Snapshot (minimal identifiers)

Characteristic Details
Age/Sex 64-year-old male
Key Diagnoses • Esophagogastric adenocarcinoma (post-chemoradiation)
• Radiation-induced esophageal stricture with PEG feeding
• Hospital-treated pneumonia (carbapenem-resistant organism)
• Type 2 diabetes mellitus (diet-controlled)
Functional Status Wheelchair-bound; alert; PEG/TPN dependent
Current Admission Presented November 7, 2024 for supportive care and pneumonia management; now clinically stable

Clinical Course

After curative-intent chemoradiation at a tertiary center, the patient developed progressive dysphagia due to radiation-related esophageal narrowing. A percutaneous endoscopic gastrostomy (PEG) was placed for enteral feeding. Despite nutritional support, recurrent dysphagia continues to impair oral intake and quality of life.

Therapeutic Plan

Scheduled intervention: Outpatient endoscopic balloon dilatation (EBD) every 2–3 weeks, starting May 22, 2025, Gastroenterology Clinic, nearby Hospital.

Pre-procedure instructions

Rationale for Balloon Dilatation

Goal Explanation
Restore luminal diameter Radiation causes fibrosis ⇒ concentric scar ⇒ functional obstruction; EBD mechanically disrupts these rings to re-establish a patent lumen.
Relieve dysphagia & improve nutrition Wider lumen permits at least liquid–soft diet, reducing dependence on PEG/TPN.
Delay or avoid stent/surgical revision Repeated graded dilatation can maintain patency with lower morbidity than self-expanding stents or resection.

Technique (Standard Approach)

  1. Sedation & Preparation – Conscious (midazolam ± fentanyl) or monitored anesthesia care; prophylactic antibiotics if indicated.
  2. Endoscopic Assessment – Diagnostic endoscope confirms stricture length, diameter, and excludes fistula or active ulceration.
  3. Guidewire Placement – A soft-tip guidewire is advanced across the narrowing under direct vision or fluoroscopy.
  4. Balloon Selection & Inflation
    • Length: 4–6 cm; diameter sequence e.g., 6 → 8 → 10 → 12 mm.
    • Inflate with saline/contrast to target pressure (3–6 atm) for 30–60 s; observe mucosal blanching without tearing.
    • Step-up dilatations performed in the same session or over successive visits, depending on resistance and patient tolerance.
  5. Post-dilatation Care – Observe 2–4 h; start clear fluids once awake; advance diet as tolerated. PPIs are continued to reduce reflux-related restenosis.

Expected Outcomes

Risks & Mitigation

Follow-Up Strategy

Time Point Assessment
Each visit Dysphagia score, weight, PEG dependence, blood glucose control
Every 3 months CT ± PET to monitor tumor recurrence before resuming systemic therapy
Endpoint Dilatation interval ≥ 8 weeks with sustained symptom relief, or transition to alternative therapy (stent, surgery) if refractory

Teaching Points

Conclusion

In this 64-year-old post-chemoradiation esophageal-cancer survivor, scheduled endoscopic balloon dilatation offers a minimally invasive, iterative solution for radiation-induced strictures, aiming to restore oral intake and improve quality of life while definitive oncologic management is deferred until functional recovery.

Written on May 20, 2025


Management considerations in a 70-year-old male with malleolar tophaceous gout (Written June 10, 2025)

Abstract

Gout is the most prevalent inflammatory arthropathy in older men. The present clinical vignette describes a septuagenarian with a soft, fluctuant swelling over the right malleolar region, consistent with a gouty tophus. This report summarizes typical extra-articular manifestations of gout and provides an evidence-based framework for pharmacologic management, including recommended dosages and durations appropriate for elderly patients.

Case synopsis

A 70-year-old male with a known history of hyperuricemia reported a gradually enlarging, non-tender, soft mass protruding at the right malleolus (“오른쪽 복숭아뼈 부위 튀어나와있고 말랑하게 만져짐”). Acute inflammatory symptoms were absent at the time of assessment.

Typical gout manifestations beyond the first metatarsophalangeal joint

Tophaceous deposits may develop at various peri-articular and extra-articular sites. Commonly reported locations include:

Imaging and pathological reviews consistently identify the olecranon bursa, ear helix, and Achilles tendon as classical sites of extra-articular tophi . Recent radiologic series confirm the predilection for juxta-articular soft tissue and tendinous structures, with first metatarsophalangeal and malleolar regions remaining the most frequent intra-articular sites .

Therapeutic strategy

Management of gout comprises three overlapping pillars: (1) acute flare control , (2) long-term urate-lowering therapy (ULT) , and (3) prophylaxis to prevent flares during ULT initiation . Treatment selection must consider comorbidities common in the elderly (renal impairment, cardiovascular disease, gastrointestinal risk) and potential drug interactions.

1. Acute flare control

Medication class Typical regimen* Duration Key considerations
Oral NSAID (e.g., naproxen) 500 mg twice daily or loading 750 mg then 250 mg every 8 h until pain resolves 5–7 days Assess renal function, peptic risk; avoid with anticoagulation
Low-dose colchicine 1.2 mg at onset, then 0.6 mg 1 h later (max 1.8 mg day 1); thereafter 0.6 mg once or twice daily Until 2–3 days after symptom resolution Reduce dose in estimated GFR < 30 mL/min; monitor for gastrointestinal toxicity
Systemic corticosteroid Prednisone 40 mg daily, tapered by 10 mg every 2–4 days 7–10 days (oral) or single intra-articular injection Preferable where NSAIDs/colchicine contraindicated; screen for infection, uncontrolled diabetes
IL-1 inhibitor (anakinra) 100 mg subcutaneous daily 3–5 days in refractory flares Reserve for severe or contraindicated cases; evaluate for infection risk

*Doses represent common adult regimens; individualization based on renal, hepatic, and cardiovascular status is essential.

2. Urate-lowering therapy (ULT)

Initiation of ULT is indicated in patients with one or more tophi, radiographic damage, or ≥2 flares per year. A treat-to-target approach aiming for serum urate < 6 mg/dL (<5 mg/dL if extensive tophi) is endorsed by major guidelines .

Agent Starting dose Titration / Max Usual duration Notes
Xanthine-oxidase inhibitor: Allopurinol (first-line) 100 mg once daily (≤50 mg in stage ≥3 CKD) Increase by 100 mg every 2–5 weeks to max 800 mg Lifelong Monitor renal function and serum urate; counsel on HLA-B*58:01 screening in high-risk ethnicities
Xanthine-oxidase inhibitor: Febuxostat 40 mg once daily Increase to 80 mg, then 120 mg if needed Lifelong Consider cardiovascular history; discontinue if hypersensitivity occurs
Uricosuric: Probenecid 250 mg twice daily for 1 week 500 mg twice daily; increase by 500 mg every 4 weeks to max 2 g/day Lifelong Ineffective in stage ≥3 CKD; ensure hydration to prevent stones
Recombinant uricase: Pegloticase 8 mg IV infusion every 2 weeks N/A ≥6 months, reassess For refractory, tophaceous disease; administer with prophylaxis and premedication

3. Prophylaxis during ULT initiation

Anti-inflammatory prophylaxis should commence at least one week before ULT and continue for 3–6 months or longer if flares persist . Acceptable regimens include colchicine 0.6 mg once or twice daily (preferred in renal sufficiency), low-dose NSAID (e.g., naproxen 250 mg BID), or low-dose prednisone ≤10 mg daily.

Monitoring and follow-up

Conclusion

The malleolar swelling described is characteristic of tophaceous gout. Evidence-based pharmacotherapy entails prompt control of acute inflammation followed by appropriately titrated, lifelong urate-lowering therapy, with prophylaxis and vigilant monitoring. Adherence to these principles is expected to resolve tophi, prevent further flares, and preserve joint function in elderly patients.

Conflicts of interest: none declared. This summary is intended for educational purposes and should not replace individualized clinical judgment.

Written on June 10, 2025


Progressive tracheostomy stoma narrowing and granulation in a 60-year-old female: diagnostic and therapeutic considerations (Written June 23, 2025)

I. Introduction

Progressive difficulty in exchanging T-tube cannulas often heralds clinically significant peristomal stenosis or intraluminal granulation. Careful endoscopic assessment is essential to delineate the underlying pathology and to guide an evidence-based, least-invasive intervention pathway.

II. Clinical history

Timeline of cannula exchanges

Interval (months)T-tube size (mm)Ease of insertion
07.0Unremarkable
66.5Mild resistance
126.0Moderate resistance
146.0Significant resistance & bleed

III. Pathophysiological considerations

Granulation at the mucocutaneous junction develops from chronic friction, tube motion, infection, or foreign-body reaction. Hypergranulation may progressively encroach on the lumen, converting a pliable tract into a rigid stenosis that resists downsizing alone.

IV. Assessment strategy

  1. Flexible naso-laryngoscopy

    • Visualises the suprastomal tract and vocal cords.
    • Estimates granulation volume and proximity to the subglottis.
  2. Multi-detector CT with virtual bronchoscopy

    • Quantifies residual lumen (cross-sectional area) and defines depth of tracheal involvement.
  3. Operative endoscopy

    • Rigid bronchoscopy under general anaesthesia for dynamic sizing, balloon calibration, and immediate intervention if needed.
    • If anatomy permits, conjunctive use of a flexible bronchoscope through the rigid barrel for distal inspection.

V. Therapeutic options

  1. Cryotherapy via flexible bronchoscope
    • Applies −80 °C nitrogen or −196 °C nitrous oxide to devitalise granulation with minimal charring.
    • Favourable for circumferential, friable, or vascular lesions.
    • Repeat cycles (5–10 s freeze, 30 s thaw) until blanching occurs.
  2. Mechanical debulking under rigid bronchoscopy
    • Microdebrider, sharp-tip modified blade, or cup forceps; adequate airway control and bleeding management required.
  3. Adjuncts
    • Topical mitomycin-C (0.4 mg/mL, 2 min) to inhibit fibroblast proliferation.
    • Low-dose steroid ointment around the stoma to reduce inflammatory stimulus.
  4. Surgical revision
    Reserved for failure of bronchoscopic techniques or concentric tracheal cartilage collapse.

VI. Proposed management plan

  1. Schedule combined rigid–flexible bronchoscopy in an OR setting with standby jet ventilation.
  2. Perform circumferential mapping; record stenosis length and diameter.
  3. Debulk bulky granulation mechanically; apply cryotherapy to residual bases.
  4. Instil mitomycin-C; re-fashion the stoma edges where feasible.
  5. Up-size to 6.5 mm T-tube intra-operatively; reassess leak pressure.
  6. Plan follow-up endoscopy at 6 weeks; if stable, gradual return to 7.0 mm tube.

VII. Rationale

Cryotherapy offers controlled, superficial tissue destruction with lower risk of airway fire compared with laser or electrocautery, and preserves cartilaginous integrity. Rigid bronchoscopy secures ventilation, affords bimanual manoeuvres, and enables immediate haemostasis when granulation is vascular. Sequential dilation and topical antimitotic agents reduce recurrence rates reported in recent case series.

VIII. Follow-up

IX. Conclusion

Progressive stoma narrowing in long-term tracheostomy warrants early endoscopic evaluation. A combined rigid–flexible approach facilitates definitive diagnosis and safe, staged therapy. Cryotherapy, supplemented by topical antimitotic agents and careful tube sizing, constitutes a pragmatic, minimally invasive strategy with favourable safety and recurrence profiles.

X. 요양급여 의뢰서 (Referral Letter)

수신: ○○○○○ 종합병원 호흡기내과(또는 흉부외과) 교수님 귀하

제목: 요양급여의뢰서 – Flexible Bronchoscopy Cryotherapy 의뢰

환자정보
  • 성명 / 성별 / 연령: ○○○ 여, 60세
  • 기왕력: 장기 기관절개, Montgomery T-tube 사용 중
  • 현재상태: T-tube 교환 시 좁아진 기도 및 육아조직으로 6.0 mm 관도 삽입 곤란, 간헐적 출혈 동반

의뢰 사유
  • 기관절개구 주변의 과육아조직(granulation tissue)으로 인한 기도 협착 완화를 위하여, Flexible bronchoscopy + Cryotherapy 시술이 최선의 비수술적 치료로 판단됨.
  • 시술 중 기도 확보 및 지혈이 용이하며, 연골 손상을 최소화하여 재협착 위험을 줄일 수 있음.

요청 내용
  1. Flexible bronchoscopy 하 Cryotherapy 시술 시행
  2. 필요 시 육아조직 기계적 절제 및 Mitomycin-C 국소 도포
  3. 시술 후 내원 6주·3개월 경과 관찰 계획에 따라 결과 회신 요청

첨부: 최근 기관지내시경 소견, 흉부 CT 영상 사본

위와 같이 의뢰하오니, 환자 진료에 협조해 주시기 바랍니다.

감사합니다.
(발급의사 성명 및 면허번호)

XI. 보호자 설명

본 시술은 기관절개 부위에 과도하게 자라난 육아조직을 −80 °C 이하의 저온으로 냉각하여 괴사시키는 방법입니다. 시술 시간은 약 20–30분이며, 국소·경한 전신 마취 후 시행되어 통증은 최소화됩니다. 조직을 태우지 않아 출혈과 흉터가 적고, 기도 연골을 보존하여 재협착 위험을 낮출 수 있습니다. 시술 당일 또는 익일 퇴원이 가능하며, 6주 뒤 내시경 재평가를 통해 효과를 확인합니다. 환자분의 호흡 곤란 및 반복 출혈을 완화하고, 기존 T-tube를 안정적으로 유지하기 위한 필수 치료이오니 양해와 협조 부탁드립니다.

Written on June 23, 2025


Echo-focused case study of advanced ischemic cardiomyopathy on transthoracic echocardiography (Written April 3, 2026)

This case study intentionally minimizes nonessential patient information and focuses on transthoracic echocardiographic interpretation. The discussion is based on the written report sheet and numeric measurement page rather than direct re-review of cine loops; accordingly, emphasis is placed on the reported data, integrated echo reasoning, and practical study points.

I. Case context and quoted report excerpt

A late-70s man with known ischemic cardiomyopathy and atrial fibrillation underwent advanced transthoracic echocardiography. Rhythm and loading conditions are important in this study because the report also documents tachycardia and very low blood pressure.

Selected report statements

"Dilated LV cavity size (65/57 mm) with reduced LV systolic function (EF = 24% by Simpson's)"

"Akinesia with thinning of base to mid anterior, anteroseptal, inferoseptal wall & entire apex"

"Severe hypokinesia of base to mid inferior, inferolateral, anterolateral wall"

"Loss of A wave d/t A. fibrillation (E/e' 15)"

"Small amount of pericardial effusion (RA side 0.66 cm)"

"Mild pulmonary hypertension (RVSP=42mmHg, RAP=15mmHg) - Dilated IVC( 25.2mm) with plethora"

II. Measurement summary

Category Reported data Echo-focused first read
Rhythm and hemodynamic context Atrial fibrillation
HR 115 bpm
BP 65/30 mmHg
"3D were done"
Beat-to-beat variability and load dependence are highly relevant for volumetric, diastolic, and regurgitation measurements.
Left ventricular size and geometry LVEDD 64.5 mm
LVESD 57.1 mm
LVEDV/LVESV 151.4/115.0 mL
IVSd/PWd 7.6/6.8 mm
LV mass index 104.4 g/m²
RWT 0.21
Dilated, thin-walled, eccentrically remodeled left ventricle rather than a concentrically hypertrophied ventricle.
LV systolic function LVEF 21.6% by 2D mode
LVEF 24.0% by biplane Simpson
Severe global LV systolic dysfunction.
Regional wall motion Akinesia with thinning: base to mid anterior, anteroseptal, inferoseptal, entire apex
Severe hypokinesia: base to mid inferior, inferolateral, anterolateral
Extensive ischemic scar/remodeling pattern with dysfunction extending beyond a small focal territory.
Diastolic and atrial data E 110.03 cm/s
Septal e′ 7.23 cm/s
Lateral e′ 6.95 cm/s
E/e′ 15.22
DT 127 ms
LA A-P 42.4 mm
LA volume index 31.7 mL/m²
Elevated LV filling pressure is likely in the setting of atrial fibrillation and severe LV dysfunction, although LA volume is not frankly enlarged.
Valve data MV: native, slightly thickened; MR grade I+; EROA 0.14 cm²; RVol 17.2 mL
AV: native, senile sclerocalcified; Vmax 2.03 m/s; mean PG 9.4 mmHg; DVI 0.5; AVA 1.66 cm²
AR grade I; AR PHT 385.4 ms
TR grade I
PR trace
Mild multivalvular regurgitation with calcific aortic sclerosis but no hemodynamically important stenosis.
Right-sided data RV basal/mid 30.6/17.5 mm
TR Vmax 2.62 m/s
RVSP 42.5 mmHg
RAP 15 mmHg
IVC 25.2 mm
Mild elevation of estimated RVSP with elevated right atrial pressure and venous congestion; RV size is not enlarged by the reported linear dimensions.
Pericardial and ancillary wording Narrative comment: small RA-side pericardial effusion 0.66 cm
Structured line later: pericardial effusion "No"
Intracardiac mass/thrombus: "Unidentifiable"
Small effusion is probable if the narrative comment is accepted; thrombus is not definitively excluded by the wording used.

III. Criteria at a glance

The following thresholds are simplified study aids rather than an exhaustive guideline summary. In this case, rhythm, loading conditions, and integrated interpretation matter greatly.

Topic Simplified study threshold Case value Teaching read
LV cavity size Male normal LVEDD about 42.0-58.4 mm
Male normal LVESD about 25.0-39.8 mm
LVEDD 64.5 mm
LVESD 57.1 mm
Definite LV dilatation
LV ejection fraction Severe systolic dysfunction when EF < 30% 24.0% Severe LV systolic dysfunction
LV geometry RWT > 0.42 suggests concentric geometry 0.21 Markedly eccentric remodeling pattern
LA volume index Normal ≤ 34 mL/m²
Mild 35-41 mL/m²
Moderate 42-48 mL/m²
Severe > 48 mL/m²
31.7 mL/m² Not enlarged by volume criteria
Diastolic support in AF General abnormal average E/e′ > 14
AF-supportive septal E/e′ above about 11
E/e′ 15.22 Elevated filling pressure likely
Mitral regurgitation Mild if EROA < 0.20 cm² and RVol < 30 mL
Severe if EROA ≥ 0.40 cm² and RVol ≥ 60 mL
EROA 0.14 cm²
RVol 17.2 mL
Mild MR
Aortic regurgitation AR PHT > 500 ms suggests mild AR
AR PHT < 200 ms suggests severe AR
Intermediate values require integration
385.4 ms Gray-zone PHT; overall dataset still favors mild AR
Aortic stenosis / sclerosis Aortic sclerosis often has Vmax ≤ 2.5 m/s
Severe AS usually requires Vmax ≥ 4.0 m/s, mean PG ≥ 40 mmHg, AVA < 1.0 cm², or DVI < 0.25
Vmax 2.03 m/s
Mean PG 9.4 mmHg
AVA 1.66 cm²
DVI 0.5
Calcific sclerosis without significant AS
RAP and RVSP Dilated, poorly collapsing IVC commonly supports RAP 15 mmHg
RVSP = 4V² + RAP
IVC 25.2 mm
TR Vmax 2.62 m/s
RVSP 42.5 mmHg
Elevated RAP materially drives the RVSP estimate
Pericardial effusion size Small effusion if diastolic echo-free space is < 10 mm 0.66 cm Small effusion if the narrative line is accepted

IV. Structured echocardiographic discussion

  1. Left ventricular size and geometry

    The dominant structural abnormality is left ventricular cavity dilatation. LVEDD 64.5 mm and LVESD 57.1 mm are well beyond usual male reference limits. Biplane LV volumes show a dilated ventricle with a markedly increased residual end-systolic volume, which is especially useful when studying advanced systolic failure. Septal and posterior wall thicknesses are not increased, LV mass index is not strikingly elevated, and the relative wall thickness is only 0.21. The geometric pattern is therefore markedly eccentric rather than concentric, fitting chronic ischemic remodeling.

  2. LV systolic function and regional wall motion

    Global systolic function is severely reduced, with EF reported as 21.6% by 2D mode and 24.0% by biplane Simpson. The more instructive feature, however, is the wall-motion pattern. The quoted description of akinesia with thinning in the anterior, anteroseptal, inferoseptal, and apical segments strongly favors chronic scarred myocardium rather than transient ischemia alone. Additional severe hypokinesia of the inferior, inferolateral, and anterolateral segments indicates dysfunction extending beyond a narrow focal abnormality. From an echocardiographic perspective, this is a study of severe ischemic substrate and adverse remodeling, not merely a study of low EF.

  3. Diastolic findings in atrial fibrillation

    The report appropriately notes "Loss of A wave d/t A. fibrillation." Because atrial fibrillation removes a meaningful transmitral A wave, routine E/A-based grading cannot be used. In this setting, reduced annular e′ velocities, an elevated E/e′ ratio, and short deceleration time become more helpful. Septal e′ is 7.23 cm/s, lateral e′ is 6.95 cm/s, E/e′ is 15.22, and DT is 127 ms. Taken together, these findings support elevated LV filling pressure.

    A further study point is the atrial dataset. LA A-P diameter is 42.4 mm, but the preferred contemporary parameter is LA volume index, and the reported LA volume index is 31.7 mL/m², which is not frankly enlarged. This is a reminder that in atrial fibrillation and advanced cardiomyopathy, filling-pressure assessment should remain multiparametric rather than anchored to a single atrial size value.

  4. Mitral regurgitation

    The mitral valve is described as native and slightly thickened, with MR grade I+. Quantitative MR data show PISA radius 0.56 cm, EROA 0.14 cm², and regurgitant volume 17.2 mL. These values are in the mild range. Given the ischemic, dilated, poorly contracting ventricle and the absence of a primary major leaflet lesion in the report, the most plausible mechanism is mild secondary functional MR.

    This portion is useful for study because secondary MR often has a crescentic orifice and nonhemispheric flow convergence. Under those conditions, 2D PISA can underestimate severity. Even with that caveat, the present numerical dataset remains far from the severe MR range.

  5. Aortic valve and aortic regurgitation

    The aortic valve is described as senile sclerocalcified, but the hemodynamics do not indicate clinically important stenosis. Peak aortic velocity is 2.03 m/s, mean gradient is 9.4 mmHg, DVI is 0.5, and calculated AVA is 1.66 cm². The integrated conclusion is calcific aortic sclerosis without hemodynamically significant aortic stenosis. In a low-flow, low-EF ventricle, valve area should never be interpreted in isolation from the rest of the Doppler dataset.

    AR is graded as I, while AR pressure half-time is 385.4 ms. That value sits in an intermediate zone and should not be over-read. Severe LV dysfunction, tachycardia, and very low diastolic blood pressure can all shorten AR pressure half-time independently of true regurgitation severity. The integrated report therefore supports mild AR rather than moderate-to-severe AR.

  6. Right-sided pressure estimate and venous congestion

    TR is graded as I, and the tricuspid regurgitant velocity is 2.62 m/s. By the simplified Bernoulli equation, this yields an RV-RA gradient of about 27.5 mmHg. Once the assigned RAP of 15 mmHg is added, the estimated RVSP becomes 42.5 mmHg. The educational point is that the elevated RVSP is driven importantly by the high right atrial pressure estimate rather than by a markedly high TR velocity.

    The IVC is 25.2 mm and described as plethoric, which fits elevated systemic venous pressure and congestion. Reported RV basal and mid-cavity dimensions are 30.6 mm and 17.5 mm, which are not enlarged by common RV linear thresholds. Because TAPSE, tissue S′, FAC, and RV strain are not displayed on the sheet, formal RV systolic grading should be withheld.

  7. Pericardial and ancillary observations

    The narrative comment states "Small amount of pericardial effusion (RA side 0.66 cm)," which corresponds to a small effusion by usual size convention. Later, the structured field appears to state that no pericardial effusion is present. This internal inconsistency is a useful reporting lesson. The sheet also marks intracardiac mass and thrombus as "Unidentifiable." In a ventricle with extensive apical dysfunction, that wording is important because unidentifiable is not equivalent to absent.

V. Integrated interpretation

Pathophysiologic chain: extensive ischemic scar and LV dilatation → severe global systolic failure → elevated LV filling pressure in atrial fibrillation → mild secondary MR and mild pulmonary pressure elevation → plethoric IVC with elevated RAP.

The echocardiographic picture is most consistent with a ventricle-dominant ischemic remodeling case, not a valve-dominant case. The core message of the TTE is advanced ischemic cardiomyopathy with severe LV systolic dysfunction and secondary hemodynamic consequences.

In integrated form, the study supports the following:

VI. Interpretive caveats and reporting lessons

  1. Atrial fibrillation and beat selection matter

    Atrial fibrillation with HR 115 bpm makes volumetric, inflow, tissue Doppler, and VTI-based measurements more vulnerable to beat selection. For learning purposes, this is a reminder that matched RR intervals and averaging of multiple representative beats are especially important in AF.

  2. Loading conditions materially affect Doppler interpretation

    The documented blood pressure of 65/30 mmHg indicates an extreme loading condition. Such a state can alter AR pressure half-time, modify the visual appearance of regurgitant jets, and complicate interpretation of filling-pressure surrogates. The present case therefore rewards integrated reading more than isolated threshold reading.

  3. Aortic valve area should not dominate the stenosis assessment

    In a severely dysfunctional, low-flow ventricle, aortic valve area by itself can invite overinterpretation. Here, the low peak velocity, low mean gradient, and DVI around 0.5 all argue against significant aortic stenosis despite calcific leaflet disease.

  4. Right ventricular function is incompletely characterized on the sheet

    RV basal size is not enlarged, but TAPSE, tissue S′, FAC, and RV strain are not reported. Direct image review would be required for a firm RV systolic assessment. The note that "3D were done" is informative, but the decisive values actually shown on the report are the 2D and Doppler values.

  5. Unidentifiable and contradictory wording should be taken seriously

    "Intracardiac thrombus: Unidentifiable" is not equivalent to a negative thrombus statement, particularly in a ventricle with severe apical dysfunction. Likewise, the narrative comment of a small pericardial effusion and the later structured entry of no effusion should be reconciled before final sign-out or case discussion.

VII. Suggested teaching impression

Suggested teaching impression: Advanced ischemic cardiomyopathy with marked LV dilatation and severely reduced LV systolic function (biplane EF about 24%), extensive chronic regional wall motion abnormality with wall thinning consistent with prior infarction, elevated LV filling pressure in atrial fibrillation, mild secondary MR, mild AR, mild TR, mild elevation of estimated RVSP with high RAP and plethoric IVC, calcific aortic sclerosis without significant stenosis, and probable small RA-sided pericardial effusion.

VIII. Study pearls

Written on April 3, 2026


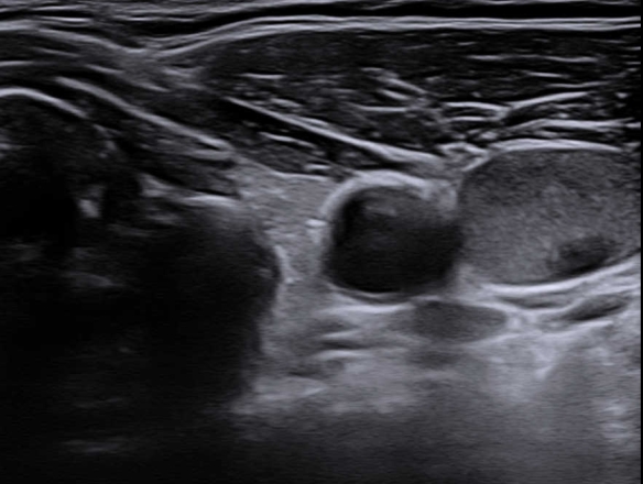
Internal jugular vein echogenicity on carotid ultrasound (Written June 14, 2025)

I. 원문 전체 인용

경동맥 초음파 케이스 하나 여쭙니다. 고진선처 바랍니다.

경동맥초음파에서 오른쪽은 internal jugular vein가 저렇게 속이 까맣게 깨끗하게 보이는데.
Right internal jugular vein — anechoic lumen

왼쪽 vein는 왜 속에 마치 thrombus가 있는 것처럼 지저분하게 보일까요. 아~주 예전에도 이런 분이 한명 있어서 CT 찍었는데 정상으로 나오더라구요. 오늘 또 이런 한분을 만났는데. 무엇인지요.
Left internal jugular vein — heterogeneous echoes

초보입니다. 비난말고 한수 알려주시면 감사하겠습니다.

도플러도 올려보라고 하셔서올립니다.
Colour Doppler assessment of left IJV
혹시 thrombi 인가해서 compression도 해봤지만 compression도 잘 됩니다.뭘까요. CT 찍어야 할까요.

English Translation

A junior otolaryngologist requests guidance on a carotid ultrasound case. On the right side the internal jugular vein (IJV) appears anechoic and “clean,” whereas on the left side the lumen looks heterogeneous and dirty, mimicking thrombus. A similar-looking patient in the distant past yielded a normal CT angiogram, and a second such patient has just been encountered. Doppler clips were obtained; compression of the vessel is easy. Advice is sought regarding the nature of the finding and whether CT is warranted.

II. Comment-by-comment quotation & discussion

  1. 원글의 초음파 스킬이 떨어지는데 기계도 좋지 않아 아티팩트가 많이 생김
    기계탓 , 본인 스킬탓임

    The reply attributes the echogenic debris to combined operator-dependency and limited hardware quality, implying that artefact rather than pathology predominates. Ultrasound of superficial neck vessels is highly sensitive to gain, focus, and probe angulation; sub-optimal settings can seed reverberations and noise that mimic intraluminal material.

  2. Doppler 도 해서 올려봐봐

    A request for colour or spectral Doppler emphasises that true thrombus shows absent or dampened flow, whereas spontaneous echo contrast (SEC) retains slow swirling velocities. Doppler interrogation is therefore pivotal to discrimination.

  3. flow가 느려서 그런데, 종종 보이는 소견입니다. embolic risk 당연히 올릴수 있는데, 예방적 항응고제 사용해야 하는지에 대해서는 교수들도 의견이 분분하고, 환자 risk factor, 임상 상황 고려 해서 결정 해야 겠죠.

    This opinion introduces SEC as a common, low-flow phenomenon and recognises divergent expert attitudes toward prophylactic anticoagulation. Clinical context and individual risk stratification are framed as decisive.

  4. 도플러에 왜 색깔이 없어요? 색깔 봐서는 어딘가 와류 생긴거 같은데.

    Absence of colour fill is questioned. Turbulent vortices (“swirl sign”) often appear colour-mosaic; lack thereof may indicate incorrect pulse-repetition frequency (PRF) or a genuinely stagnant segment.

  5. 경정맥 확장, 혈전 차있는거 엄청 심해서 헉하고 대학병원 보내면 아무것도 안하고 돌려보냅니다

    A seasoned clinician notes that markedly “thrombotic”-looking IJVs are often referred but ultimately dismissed by tertiary centres, underlining low positive predictive value when appearances alone trigger escalation.

  6. 영상은 영상의에게 믿고 맡기세요

    Imaging interpretation is urged to remain within the expertise of radiologists, hinting that interdisciplinary consultation mitigates misclassification.

  7. 도플러 색깔 진짜 없냐?????? … 진짜면 thrombus 맞나본데?? … 그런건 대병에서 책임져야지

    Colour silence is equated with thrombosis; referral obligation is stressed should genuine flow absence be confirmed. The comment again underscores the diagnostic weight of Doppler findings.

  8. compression 해봐도 잘 눌러지거든요. thrombi면 안 눌리지 않을까요.

    The original poster highlights full compressibility, favouring SEC or artefact over thrombus. Venous thrombus typically displays partial or absent compressibility in B-mode real-time scanning.

  9. thrombus 아닙니다!! blood flow가 느려서 보이는 spontaneous echo contrast로 보입니다.

    A decisive statement labels the finding as SEC. Literature indicates SEC arises from erythrocyte rouleaux in low-shear environments, producing intraluminal smoke-like echoes while maintaining patency.

  10. 에휴... 이러고선 영상의들 흉보고 다녔나???

    The reply implicitly criticises non-radiologists who prematurely interpret complex sonograms, advocating humility and specialised training to curb misinformation.

  11. IVC→Internal jugular vein… thrombus 맞는것 같고 compression여부는 큰 혈관이라 …

    Confusion between vena cava and jugular anatomy is corrected. The writer maintains a thrombus hypothesis, arguing that displacement within a capacious vein could mask compression findings.

  12. 앗 수정했습니다. internal jugular vein 맞습니다.

    The original poster amends the anatomical label, showing responsiveness to peer feedback and reinforcing that precise nomenclature matters in vascular imaging.

  13. 오답.

    A terse dismissal underscores the contentious atmosphere and the absence of consensus among contributors.

  14. 리플이 이렇게 많이 달려있는데 … 그냥 당연히 보이는 artifact 를 가지고 아무도 얘기를 안해주는건 뭔 상황임… thrombi가 저렇게 생기면 사람 디져요…

    The commenter laments the oversight of artefact, reminding that extensive jugular thrombosis would precipitate severe morbidity. The statement reinforces the need for correlation with clinical status.

  15. 네 감사합니다. blood flow가 느려서 보이는 걸로 의견이 모아지는 것 같네요…

    Consensus appearance emerges around low-flow SEC. The poster acknowledges residual curiosity about why left-sided velocities are disproportionately reduced, hinting at haemodynamic asymmetry or extrinsic compression.

  16. longi는 artifact라 하더라도 axial에서 보이는것을 artifact라고 넘기면… 참고로 artifact가 많이 보이는것은 사실입니다

    Longitudinal imaging artefact is conceded, yet reliance on a single projection is criticised. Orthogonal views and optimal presets remain obligatory before ruling on pathology.

  17. 볼 줄 모르면 하지를 말자.

    A blunt admonition re-emphasises the skill requirement for sonography, contributing to the forum’s pedagogical tone.

  18. chylomicron

    An unconventional hypothesis points to lipid-rich chylomicrons entering the systemic circulation via the thoracic duct into the left IJV, potentially generating echogenic speckles.

  19. 소화관의 지방흡수를 chylomicron이 림프관을 통해 운반… left jugular vein으로 들어가서 chylomicron이 저렇게 보입니다

    Physiological details are elaborated: intestinal chylomicrons travel via lymphatics to the venous angle, entering predominantly the left IJV. Although imaginative, published Doppler studies rarely implicate chylomicrons in sonographic hyperechogenicity.

  20. 그럴듯한데. 진짠가?

    Skepticism appears, illustrating how alternative explanations invite critical appraisal rather than immediate acceptance.

  21. Pus 입니다.

    The suggestion of intravascular pus is made, yet without corroborative evidence such as systemic infection, making this interpretation empirically weak.

  22. 경동맥초음파인데 정맥은 왜 찍지?

    Scope creep is questioned. Nevertheless, routine carotid studies often visualise adjacent IJVs; incidental venous abnormalities can surface, providing serendipitous diagnostic value.

  23. 한번 다른 혈관도 찍어보세요. … 다 정맥 저럴 수 있음.

    The comment proposes comparative scanning of additional venous beds, positing that similar echogenic lumens may be physiologic and encouraging broader pattern recognition.

  24. IVJ 막히면 줄줄이 막혀서 symptom있을듯. 혈류는 계속 흐릅니다.

    Clinical logic is applied: extensive jugular occlusion would propagate collateral obstruction and symptoms, yet continuous flow counters major thrombosis.

  25. 정상을 정상이라고 이야기하는게 젤 어렵죠

    The final insight encapsulates diagnostic humility: recognising normalcy amid suspicious imaging may be the greatest challenge.

III. Consolidated key topics ☑️

IV. In-depth analysis of core ideas

  1. Physiology and pathogenesis of spontaneous echo contrast

    SEC arises when shear stress falls below the threshold that maintains homogeneous erythrocyte dispersion. Red-cell aggregation creates discrete ultrasonic interfaces, producing the classic “smoke” appearance. Common settings include congestive heart failure, dehydration, or external compression that reduces venous flow velocity. In the jugular veins, upright posture, Valsalva manoeuvre, or end-expiratory breath-hold can transiently accentuate SEC.

  2. Imaging hallmarks separating thrombus from SEC

    Thrombus typically demonstrates fixed echogenicity, non-compressibility, and absent colour flow. SEC, in contrast, exhibits dynamic swirling echoes, remains fully compressible, and reveals slow but present flow when PRF is reduced below ≈ 5 cm/s. Longitudinal cine clips accentuate this mobility difference. A high mechanical-index flash or probe tap will often disperse SEC but not organised thrombus.

  3. Artefact recognition and avoidance

    Reverberation from the near-wall interface, side-lobe scatter, and gain overshoot can masquerade as intraluminal debris. Systematic optimisation — depth-specific TGC balancing, focus positioning at mid-lumen, utilisation of tissue harmonic imaging, and orthogonal sweeps — mitigates misleading artefact.

  4. When is cross-sectional imaging indicated?

    Computed tomography or MR venography becomes reasonable if compressibility is equivocal, colour flow absent despite technical adjustments, or the patient exhibits neck swelling, neurologic sequelae, unexplained fever, or a hypercoagulable background. In asymptomatic individuals with unequivocal SEC characteristics, cross-sectional studies rarely alter management.

  5. Left–right haemodynamic asymmetry

    The left IJV may display slower flow owing to thoracic-duct lymph inflow, a longer intrathoracic course, and occasional extrinsic compression by the common carotid artery or thyroid lobe. These factors, combined with imaging at low heart-rate phases, can accentuate SEC unilaterally.

V. Diagnostic criteria table 📊

Parameter Thrombus Spontaneous echo contrast Artefact Practical note
Compressibility Reduced or absent Fully collapsible Fully collapsible Use generous probe pressure in short-axis view.
Colour Doppler fill None or focal defect Slow, swirling flow at low PRF <5 cm/s Variable; improves after gain/PRF adjustment Optimise PRF and wall-filter to reveal sluggish flow.
Echo pattern Fixed, heterogeneous or layered Dynamic “smoke” or rouleaux aggregates Stationary speckle adjacent to wall; disappears after TGC change Cine loop helps identify mobility.
Long- & short-axis concordance Consistent Present in both but fluctuating Often inconsistent between planes Scan orthogonally before concluding.
Clinical correlation Pain, swelling, hypercoagulable risk Often asymptomatic or systemic low-flow state Nil Symptoms elevate pre-test probability of thrombosis.
Need for CT/MRV Strong Weak, unless risk factors or uncertainty persist None Radiological escalation guided by duplex uncertainty.

Written on June 14, 2025


Clinical Case Study and Scenario Exploration


A Case of D-Shaped Left Ventricle: Recognizing Acute Right Ventricular Failure (Written December 13, 2024)

Abstract

A middle-aged female patient presented with a two-week history of progressive dyspnea and fluid retention. Imaging studies, including chest radiography and computed tomography (CT), revealed severe pulmonary edema, pleural effusion, and ascites. Transthoracic echocardiography identified a D-shaped left ventricle, suggesting acute right ventricular (RV) pressure overload. Despite the absence of a clear underlying cause, such as pulmonary embolism, her hemodynamic status deteriorated rapidly. This case emphasizes the importance of promptly recognizing acute right heart failure and the need for urgent referral when no immediate etiologic factor is identified.

Introduction

Acute right heart failure can be life-threatening, often progressing rapidly and posing management challenges distinct from chronic right-sided dysfunction. While left-sided heart failure is more common and well-characterized, acute right-sided failure demands prompt identification and intervention due to its potential for rapid clinical decline. Echocardiographic evidence of a D-shaped left ventricle strongly suggests RV pressure overload and can serve as an immediate clue to underlying acute right heart stress. This report details a case in which a patient with acute right ventricular failure and a D-shaped left ventricle was urgently referred for advanced care, highlighting the importance of timely diagnosis and management.

Case Presentation

A female patient in her fifth decade of life presented with a two-week history of progressively worsening dyspnea and edema. Prior to admission, she had been receiving care at a non-specialized medical facility, delaying advanced cardiopulmonary assessment. On evaluation, she exhibited severe respiratory distress and systemic congestion. A chest radiograph demonstrated marked pulmonary edema. Additional CT imaging revealed significant pleural effusions and ascites, yet no evidence of pulmonary embolism or other structural cardiopulmonary abnormalities was noted.

Transthoracic echocardiography revealed a characteristic D-shaped deformation of the left ventricle, reflecting interventricular septal shifting due to elevated RV pressure or volume load. Only mild tricuspid regurgitation (grade I) was observed, which does not align with the profound regurgitation typically seen in chronic right-sided failure, thus suggesting an acute process. Despite extensive evaluation, the immediate precipitant of acute RV strain could not be identified.

Given the patient’s severe condition and the rapid progression of symptoms, initial management focused on stabilizing intravascular volume with intravenous diuretics. With the imminent risk of hemodynamic collapse, the patient was urgently transferred to a tertiary care university hospital for further advanced diagnostic evaluation and potential intervention.



Key Concepts

Background

Why is Right Ventricular Failure Unique?

Pathophysiological Mechanisms Leading to RV Failure:

  1. Increased Afterload: Sudden rises in pulmonary arterial pressure (e.g., acute pulmonary embolism, severe acute pulmonary hypertension).
  2. Direct Myocardial Injury: Isolated RV infarction, myocarditis predominantly affecting the right heart.
  3. Volume Overload: Rapid fluid shifts or conditions causing abrupt RV dilation.
  4. External Constraints: Pericardial tamponade or constrictive processes can indirectly compromise RV filling.

Common Etiologies of Acute RV Failure

Etiology Typical Causes Key Diagnostic Clues
Acute Pulmonary Embolism (PE) Thromboembolic event in PA CT pulmonary angiogram (CTA) findings
Acute Severe Pulmonary HTN Autoimmune flare, acute vasospasm Elevated RV systolic pressures, no PE
Myocarditis (RV Predominant) Viral or inflammatory process Cardiac MRI, biopsy if indicated
Acute RV Infarction Coronary artery occlusion (RCA) ECG changes, coronary angiography
Mechanical Obstructions Tumor, large vegetations, hernia Imaging studies (CT, MRI, echo)

Note: In this case, PE was ruled out early via CT.



Case Presentation (Re-Visited)

Patient Profile:

Initial Findings:

Echocardiography Key Finding:

Suspected Mechanisms in this Case:


Interpreting the D-Shaped LV

Why the LV Becomes D-Shaped:

Implications of a D-Shaped LV:


Differential Considerations in This Case

  1. Acute Pulmonary Hypertension (e.g., autoimmune flare):
    • Possibly Takayasu arteritis or another vasculitis causing sudden rise in PA pressures.
    • Systemic autoimmune conditions can suddenly worsen, triggering acute pulmonary vascular changes.
  2. Myocardial Process (e.g., Isolated RV Myocarditis):
    • Less common, but possible if inflammatory insults selectively target the RV.
  3. Rare Embolic Sources (Non-Thrombotic):
    • Fat or air embolism, though these often have other clinical clues.

Diagnostic and Management Strategies

Initial Diagnostic Approach:

  1. Exclude Common Causes First:
    • Pulmonary embolism ruled out by early CT scan.
    • No pericardial effusion or valvular lesion to suggest tamponade or severe valvular dysfunction.
  2. Assess Hemodynamics:
    • RVSP ~54 mmHg: Elevated, but not as high as in longstanding severe RV failure, supporting an acute event.
  3. Consider Specialized Tests:
    • Autoimmune markers, inflammatory tests.
    • Cardiac MRI or advanced imaging if stable enough.

Initial Management Measures:


Lessons Learned



Conclusion

Acute right ventricular failure presenting with a D-shaped left ventricle on echocardiography can present without classic etiologies like pulmonary embolism. In such scenarios, less common causes such as autoimmune-mediated acute pulmonary hypertension must be considered. Rapid recognition, careful volume management, and urgent referral to a tertiary care center for advanced diagnostic and therapeutic modalities are essential to improve patient outcomes.

Written on December 13th, 2024


D-Shaped Left Ventricle in Acute Pulmonary Embolism (Written December 13, 2024)

This work represents a rewritten interpretation of the original case study by Dr. Gabe Alagna (PGY1) and Dr. Lauren McCafferty, MD, intended to enhance understanding and facilitate learning for others while giving full credit to the original authors. A D-shaped left ventricle (LV) is a significant echocardiographic finding frequently observed when right ventricular (RV) pressures escalate. One critical clinical scenario associated with this pattern is acute pulmonary embolism (PE). For those seeking to broaden their understanding of the D-shaped LV in various clinical scenarios, a related case study is available at Intern Ultrasound of the Month: A Sign of Acute Pulmonary Embolism. This case, originally presented by Dr. Gabe Alagna (PGY1) and edited by Dr. Lauren McCafferty, MD (Alagna & McCafferty, 2024), features a 77-year-old female with a history of end-stage renal disease, heart failure, and lung cancer who presented to the emergency department after experiencing sudden unresponsiveness.

During her resuscitation for pulseless electrical activity (PEA) arrest, a cardiac point-of-care ultrasound was performed, revealing distinct echocardiographic findings indicative of acute PE, including marked RV enlargement and free wall hypokinesis with preserved apical contractility (McConnell’s sign). These findings, in conjunction with her underlying malignancy and abrupt hemodynamic deterioration, heightened the suspicion for an acute PE as the underlying cause of her clinical instability.

By reviewing this additional case, readers can gain a more comprehensive perspective on the various presentations and underlying mechanisms of a D-shaped LV. Comparing different etiologies, such as acute pulmonary embolism versus other causes of acute right ventricular failure, enhances the overall understanding of how this echocardiographic sign can manifest in diverse clinical contexts. Exploring multiple cases will aid in recognizing the nuanced differences and similarities, ultimately contributing to more accurate and timely diagnoses in emergency medicine.

This integrative approach underscores the importance of recognizing specific echocardiographic patterns, like the D-shaped LV and McConnell’s sign, within the broader clinical framework. Such recognition facilitates prompt and appropriate therapeutic interventions, thereby improving patient outcomes in acute and often life-threatening situations.


Case Overview

A 77-year-old female with a complex history, including end-stage renal disease, heart failure, and lung cancer, experienced a sudden change in mental status. She became unresponsive while seated, prompting activation of emergency medical services (EMS). Although initially awake during transport, she deteriorated upon arrival at the emergency department (ED) and suffered a pulseless electrical activity (PEA) cardiac arrest. Advanced Cardiac Life Support (ACLS) protocols were initiated. During a brief return of spontaneous circulation (ROSC), a point-of-care ultrasound (POCUS) examination revealed marked RV enlargement and free wall hypokinesis with relatively preserved apical contractility (McConnell’s sign). These findings raised strong suspicion for an acute PE, especially given the patient’s underlying malignancy and abrupt hemodynamic deterioration.


Key Echocardiographic Findings


Diagnostic Considerations

Table: Key Differences in Echocardiographic Findings Between Acute PE-Related RV Strain and Other Causes

Parameter Acute PE (RV Strain) Other Causes (e.g., RV Ischemia)
McConnell’s Sign Common and highly specific Possible but rare
RV/LV Size Ratio ≥1:1 Frequently observed May or may not be present
D-Shaped LV (Septal Bowing) Pronounced due to pressure load Can occur, but less classically observed
TAPSE Often reduced Varies, depends on underlying pathology

This table illustrates that while several findings may overlap between PE and other etiologies of RV dysfunction, the combination of McConnell’s sign and a D-shaped LV strongly directs attention to acute PE, particularly in the setting of hemodynamic instability and risk factors such as cancer-associated hypercoagulability.


Clinical Impact and Management Strategies

Acute PE spans a broad spectrum of severity, ranging from incidental findings in asymptomatic patients to sudden cardiovascular collapse. Hemodynamically unstable PE, once known as “massive” PE, demands rapid intervention. In this case, the recognition of McConnell’s sign prompted immediate therapeutic decisions. Systemic thrombolysis (IV tPA) was administered during recurrent PEA arrest, leading to ROSC. Subsequent stabilization permitted confirmatory imaging via CT angiography, which demonstrated a saddle PE.

  1. Immediate Stabilization:
    Ensure airway patency, adequate oxygenation, and hemodynamic support. Vasopressors, fluids, and, in select cases, mechanical circulatory support can be employed.
  2. Echocardiographic Assessment:
    Rapid bedside ultrasound can detect RV dilatation, reduced RV contractility, McConnell’s sign, and septal flattening. These findings guide further diagnostic and therapeutic steps, especially when hemodynamic instability precludes safe transfer for CT imaging.
  3. Therapeutic Decision-Making:
    Initiation of anticoagulation is fundamental. In severe cases (e.g., persistent hypotension, recurrent arrest), systemic thrombolysis may be necessary. When systemic therapy is contraindicated or ineffective, catheter-directed therapy or surgical embolectomy might be considered.
  4. Long-Term Management:
    After stabilization, a comprehensive diagnostic workup identifies risk factors, such as malignancy or inherited thrombophilia, informing secondary prevention strategies.

Broader Perspectives for Improved Patient Outcomes

While echocardiographic findings drive urgent decision-making, the integration of clinical context is paramount. In patients with cancer, there is an elevated risk for venous thromboembolism, necessitating a high index of suspicion for PE. Early recognition of McConnell’s sign, combined with an understanding of the patient’s comorbidities, can expedite life-saving interventions. Additionally, careful follow-up and consideration of inferior vena cava filters, long-term anticoagulation, and involvement of a multidisciplinary team (cardiology, pulmonology, hematology, and oncology) can improve patient outcomes.

Incorporating advanced imaging techniques, serial echocardiograms, and emerging biomarkers may further refine the diagnostic pathway. Further research and case studies offer insight into the nuanced interpretation of RV strain patterns, allowing for more targeted and individualized therapy.


References


This refined summary honors the original work, provides comprehensive echocardiographic and clinical context, and presents additional perspectives, aiding in the prompt recognition and management of acute PE.

Written on December 13th, 2024


Carotid Ultrasound Findings in a 47-Year-Old Patient (Written March 24, 2025)

1. Original Question and Responses

View Original Korean

Question (Korean)

f.47환자인데 우측 CCA 140cm/s ICA는 80cm/s 측정되는데 이걸 어떻게 해석해야하나요?
이상해서 측정을 두번했구요
경화반이나 죽상반 협착소견은 없었습니다
CCA velocity가 비정상적으로 높네요

Responses (Korean)

  1. Response 1 (Korean)
    ICA로 가면서 떨어지면 괜찮은거 아닌가요?
    근데 CCA에서 plaque가 없고 IMT가 두껍지 않아도 V 높은 경우가 기저 고혈압이 심하거나
    CCA 탄성이 감소한 경우 아닐까싶은데
    책에보면 수축기 최고속도가 20-40세 100+20m/s, 40-59세 89+17m/s로 나오네요
  2. Response 2 (Korean)
    두꺼워 보이면 약주면 될꺼 아냐?
  3. Response 3 (Korean)
    책에서는 Peak systolic velocity >125 혹은 130cm/sec이상, PSV(ICA)/PSV(CCA)>=2이상이면 NASCET상 50%이상 협착이라는 군요
  4. Response 4 (Korean)
    CCA psv 상승으로 불안하신거같은데.IMT 문제없소. ICA velocity 정상이라서 CCA상승이 큰 문제 없어보이네요. ECA velocity도 문제 없다면 추적검사 해서 체크 해보셔도 될거같네요.
  5. Response 5 (Korean)
    중요한 것은 ICA 속도인 것으로 알고 있고, 자세히 알려면 복잡하지만 수축기 최고 속도 ICA 가 125 이상이면 50% ICA가 막혀서 의미있는 협착으로 본다는 정도를 알면 좋을 것 같습니다.
View English Translation

Question (English Translation)

A 47-year-old female patient shows a peak systolic velocity (PSV) of 140 cm/s in the right common carotid artery (CCA) and 80 cm/s in the internal carotid artery (ICA). How should this be interpreted?
The measurements were repeated because the findings seemed unusual.
There was no evidence of plaque or atherosclerotic stenosis.
The CCA velocity appears abnormally high.

Responses (English Translation)

  1. Response 1 (English Translation)
    If the velocity decreases in the ICA, perhaps there is no major issue.
    Even without plaque or thick intima in the CCA, high velocity can occur if the patient has severe underlying hypertension or if the CCA has reduced elasticity.
    A reference suggests that peak systolic velocity in individuals aged 20–40 is about 100 ± 20 cm/s, and for those aged 40–59, about 89 ± 17 cm/s.
  2. Response 2 (English Translation)
    If it looks thick, wouldn’t giving medication resolve the issue?
  3. Response 3 (English Translation)
    According to a reference, if the peak systolic velocity exceeds 125 or 130 cm/s, or if the ratio PSV(ICA)/PSV(CCA) is ≥2, it suggests ≥50% stenosis based on NASCET criteria.
  4. Response 4 (English Translation)
    The elevated CCA PSV seems to be a concern, but the intima-media thickness (IMT) is normal. Because the ICA velocity is normal, the elevated CCA velocity does not appear to be a significant problem. If the ECA velocity is also normal, regular follow-up examinations might be sufficient.
  5. Response 5 (English Translation)
    The important parameter is the ICA velocity. The details can be complex, but generally, if the ICA peak systolic velocity exceeds 125 cm/s, it implies a 50% ICA blockage that is considered clinically significant stenosis.

2. Explanation, Background, and Analysis

A carotid ultrasound evaluates blood flow in the common carotid artery (CCA), internal carotid artery (ICA), and external carotid artery (ECA). In this particular case, the patient’s CCA peak systolic velocity (PSV) is elevated (140 cm/s) on the right side, whereas the ICA-PSV is 80 cm/s. No plaque or significant intima-media thickening (IMT) is observed.

  1. Key Carotid Ultrasound Parameters

    • Peak Systolic Velocity (PSV)
      • Represents the highest velocity of blood flow during systole (heart contraction).
      • Often compared against established normal ranges or thresholds to assess for possible stenosis.
    • Intima-Media Thickness (IMT)
      • Measures the combined thickness of the intima and media layers of the arterial wall.
      • Normal IMT usually indicates minimal atherosclerotic change, but does not fully exclude early disease.
    • PSV Ratios
      PSV(ICA)/PSV(CCA) is a common index for evaluating the severity of stenosis.
      • Ratios ≥2 often indicate ≥50% ICA stenosis based on certain guidelines (e.g., NASCET).
    • Plaque Assessment
      • B-mode imaging visualizes atherosclerotic plaques or calcifications.
      • Absence of visible plaque greatly reduces the likelihood of significant obstruction.
  2. Normal and Abnormal Ranges: PSV, IMT, and Ratios

    Carotid artery velocity and IMT values vary by age, sex, cardiovascular risk profile, and methodology. Table 1 provides approximate reference ranges and classifications for each major carotid segment (CCA, ICA, ECA), including possible differences by sex if reported in certain references. It is important to note that exact cutoffs differ among studies and clinical protocols.

    Parameter Sex Normal Range Mild Abnormality Moderate Abnormality Severe Abnormality
    PSV (CCA)
    (cm/s)
    M/F¹ ~70–125 cm/s (20–60 yrs)
    IMT <0.9 mm²
    125–140 cm/s 140–180 cm/s >180 cm/s (especially if plaque present)
    PSV (ICA)
    (cm/s)
    M/F¹ <125 cm/s (IMT <0.9 mm) 125–150 cm/s 150–200 cm/s >200 cm/s (≥70% stenosis often suspected)
    PSV (ECA)
    (cm/s)
    M/F¹ ~60–120 cm/s (IMT <0.9 mm) 120–150 cm/s 150–200 cm/s >200 cm/s (unusual unless significant disease exists)
    PSV Ratio
    PSV(ICA)/PSV(CCA)
    M/F¹ <2.0 (suggesting <50% stenosis) 2.0–2.5 (possible ≥50% stenosis) 2.5–4.0 (often 60–70% stenosis) >4.0 (≥70% stenosis likely)
    IMT
    (mm)
    M/F¹ <0.9 mm 0.9–1.1 mm 1.1–1.4 mm >1.4 mm (considered significantly abnormal)
  3. NASCET Criteria and Additional Guidelines

    The North American Symptomatic Carotid Endarterectomy Trial (NASCET) established widely utilized benchmarks for carotid stenosis severity based on angiographic measurements. Ultrasound criteria (PSV, velocity ratios, presence of plaque) have been correlated with these angiographic findings. Frequently cited thresholds include:

    • ICA-PSV ≥125–130 cm/s for ≥50% stenosis
    • ICA-PSV ≥200–230 cm/s for ≥70% stenosis
    • PSV(ICA)/PSV(CCA) ≥2 often suggests ≥50% stenosis
    • PSV(ICA)/PSV(CCA) ≥4 often suggests ≥70% stenosis

    Below is an example summary table correlating Doppler velocity measurements with approximate NASCET-based stenosis grading:

    Stenosis Category (NASCET) ICA-PSV (cm/s) PSV(ICA)/PSV(CCA) Ratio Approx. Luminal Narrowing
    <50% <125 cm/s <2.0 Minimal or no significant stenosis
    50–69% 125–230 cm/s 2.0–4.0 Moderate stenosis
    ≥70% ≥230 cm/s ≥4.0 Severe stenosis

    Clinical decisions often rely on Doppler ultrasound findings combined with plaque visualization, patient symptoms, and risk factor status. If ultrasound findings are equivocal or if the patient is symptomatic, additional imaging (CT/MR angiography) may be warranted.

  4. Analysis for This Patient’s Findings

    1. Elevated Right CCA-PSV (140 cm/s)
      Slightly above general upper-normal limits. However, no plaque is identified, and IMT is not notably thick.
    2. Normal ICA-PSV (80 cm/s)
      • Well below the typical threshold of 125 cm/s that would suggest ≥50% stenosis.
      • PSV ratio (ICA/CCA) <1.0, far from the ≥2.0 cutoff for significant stenosis.
    3. Absence of Plaque
      Suggests that the high CCA velocity is not due to a focal stenosis or atherosclerosis.
    4. Possible Explanations
      Hypertension or reduced arterial compliance could elevate flow velocity.
      Technical Factors: Angle of insonation or sampling location can artificially elevate measured velocities.
  5. Recommendations for Clinical Management

    1. Blood Pressure Optimization
      High systemic blood pressure can affect carotid velocities. Ensuring controlled blood pressure is crucial for vascular health.
    2. Risk Factor Modification
      Smoking cessation, lipid management, glycemic control, and a balanced diet can help prevent atherosclerotic progression.
    3. Periodic Ultrasound Follow-Up
      Repeat carotid ultrasound to monitor any changes in CCA-PSV, ICA-PSV, and IMT, especially if cardiovascular risk factors are present.
    4. Further Imaging if Warranted
      In cases of ambiguous ultrasound findings or symptomatic patients (e.g., transient ischemic attacks), CT/MR angiography may be considered to exclude significant stenosis definitively.

3. Detailed Analysis of This Patient’s Condition and Proposed Approach

Below is an expanded discussion that recaps the key question and the main responses (in English), followed by an analysis.

  1. Recap of the Key Question (English)

    Question:
    A 47-year-old female patient has a right common carotid artery (CCA) peak systolic velocity (PSV) of 140 cm/s, while the right internal carotid artery (ICA) PSV is 80 cm/s. No plaque or significant intima-media thickening is seen. How should this elevated CCA velocity be interpreted?

  2. Recap of the Main Responses (English)

    1. Response 1: Suggests that if the ICA velocity is normal, it might not be a significant issue. Possible explanations for elevated CCA velocity without plaque include severe hypertension or reduced arterial elasticity.
    2. Response 2: Briefly mentions that if the vessel looks thick, medication might help—implying that treatment could be aimed at addressing underlying risk factors.
    3. Response 3: References a standard guideline where PSV >125–130 cm/s and PSV(ICA)/PSV(CCA) ≥2 may indicate ≥50% stenosis.
    4. Response 4: Notes that elevated CCA PSV is not necessarily concerning if the ICA PSV is normal and IMT shows no abnormality.
    5. Response 5: Emphasizes that ICA velocity is the more critical parameter and a threshold of 125 cm/s for ICA PSV is often used to define >50% stenosis.
  3. Analysis of the Responses and Proposed Approach

    • Since no plaque or significant intimal thickening is detected, and the ICA velocity (80 cm/s) is comfortably below the ≥125 cm/s threshold, there is no immediate ultrasound evidence of clinically significant stenosis.
    • The elevated CCA-PSV (140 cm/s) may reflect:
      • Underlying hypertension or arterial stiffness.
      • Technical factors during the ultrasound exam (e.g., Doppler angle or sampling error).
    • Because the ICA-PSV is well within normal limits, standard guidelines (including the NASCET-based criteria) do not support a diagnosis of >50% stenosis.
    • Management at this point primarily involves:
      • Ensuring blood pressure control and addressing other cardiovascular risk factors.
      • Follow-up ultrasounds to detect any emerging plaque or changes in velocity over time.
      • Further imaging (CT/MRA) only if new symptoms arise or if velocities/IMT significantly change in follow-up.
    • This approach aligns with the consensus in the responses: the normal ICA flow strongly suggests no hemodynamically significant stenosis at present.

In conclusion, the elevated CCA velocity alone—without plaque, abnormal IMT, or elevated ICA velocity—likely reflects a low-risk situation. Emphasis should be on general cardiovascular risk management and periodic follow-up, rather than invasive intervention.

References

  1. Bluth EI, Ultrasound: A Practical Approach to Clinical Problems. Thieme Medical Publishers, 2008.
  2. Grant EG, et al. Carotid Artery Stenosis: Gray-Scale and Doppler US Diagnosis—Society of Radiologists in Ultrasound Consensus Conference. Radiology 2003;229(2):340–346.
  3. Barnett HJM, Taylor DW, Eliasziw M, et al. Benefit of Carotid Endarterectomy in Patients with Symptomatic Moderate or Severe Stenosis. N Engl J Med 1998;339(20):1415–1425.

Written on March 24, 2025


Ultrasound‑guided evaluation and management of elevated D‑dimer in a long‑term‑care resident (Written April 11, 2025)

Clinical vignette

An 85‑year‑old male resident of a long‑term‑care facility (LTCF) reported progressive exertional dyspnoea. Sputum culture yielded multidrug‑resistant Acinetobacter baumannii (MRAB). Previous episodes of hyperkalaemia had been managed conservatively. The facility possessed point‑of‑care ultrasound (POCUS) but lacked CT and MRI capability.

Three sets of plasma biomarkers were obtained over 48 h:

Day D‑dimer (mg L⁻¹) NT‑proBNP (pg mL⁻¹) Creatinine (mg dL⁻¹)
0 1.24 202 0.73
1 1.18 225 0.72
2 1.20 238 0.74

Values remained mildly but consistently above the upper reference limits for D‑dimer and NT‑proBNP, whereas renal clearance stayed preserved.

Sonographic armamentarium for an elevated D‑dimer

Region‑specific study Principal target Key measurements / signs Diagnostic thresholds Salient limitations
Lower‑extremity compression venous duplex Proximal & distal deep‑vein thrombosis (DVT) Compressibility of common femoral, popliteal, and calf veins; intraluminal echogenicity; colour‑flow augmentation Non‑compressibility or visible thrombus = DVT Limited sensitivity for isolated pelvic or calf DVT; operator dependent
Transthoracic echocardiography (TTE) Right‑ventricular (RV) strain & pulmonary hypertension; left‑ventricular (LV) function RV/LV end‑diastolic diameter ratio, TAPSE, S′ wave, interventricular septal flattening, estimated PASP, LV ejection fraction RV/LV > 1, TAPSE < 17 mm, PASP > 35 mmHg support acute pulmonary embolism (PE); LV EF < 50 % or E/e′ > 14 suggest heart failure PE may exist without RV strain; sub‑costal views sometimes sub‑optimal
Lung ultrasound (LUS) Peripheral emboli, pneumonia, interstitial oedema Pleural‑based wedge‑shaped consolidations, B‑line patterns, pleural effusion, dynamic air bronchograms Wedge lesion without air bronchogram favours PE; confluent B‑lines favour heart failure; focal consolidation with air bronchogram favours pneumonia Central PE not visualised; overlapping patterns in mixed pathology
Inferior vena cava (IVC) & hepatic/portal vein Doppler Volume status, right‑atrial pressure IVC diameter & collapsibility, hepatic vein systolic/diastolic flow IVC > 2.1 cm with < 50 % collapse → RAP > 10 mmHg Confounded by mechanical ventilation & chronic pulmonary disease
Pelvic/iliac venous Doppler Iliac or caval thrombosis when leg duplex negative Colour‑flow and spectral Doppler of common & external iliac veins Absent or continuous monophasic flow suggests proximal obstruction Technical difficulty in obesity or immobility
Upper‑extremity & jugular venous Doppler Catheter‑related thrombosis Compressibility & intraluminal echoes Same as lower‑limb criteria Less standardised; false‑positives with phlebitis

Reference values and graded abnormality thresholds

Sonographic parameter Normal range Mild abnormality Moderate abnormality Severe abnormality
Lower‑extremity duplex
‑ Vein compressibility Complete apposition (< 2 mm residual lumen) Incomplete compression with residual lumen 2–4 mm Non‑compressible segment < 5 cm Non‑compressible segment ≥ 5 cm / visible thrombus
‑ Colour‑flow augmentation ≥ 50 % increase with distal squeeze 30–49 % increase < 30 % increase Absent flow
Transthoracic echocardiography
‑ RV/LV end‑diastolic diameter ratio < 0.90 0.90–1.00 1.01–1.20 > 1.20
‑ TAPSE (mm) ≥ 17 13–16 9–12 < 9
‑ Tricuspid annular S′ (cm s⁻¹) ≥ 10 8–9.9 6–7.9 < 6
‑ Estimated PASP (mmHg) ≤ 30 31–40 41–55 > 55
‑ LV ejection fraction (%) ≥ 52 ♂ / 54 ♀ 41–51 30–40 < 30
Lung ultrasound
‑ B‑lines per intercostal space ≤ 2 3–4 (focal) ≥ 5 (diffuse in ≤ 2 zones) ≥ 5 (diffuse in ≥ 3 zones)
‑ Pleural effusion depth (cm) None / < 0.3 0.3–1.0 1.1–2.0 > 2.0
IVC & hepatic/portal Doppler
‑ IVC diameter & collapse ≤ 2.1 cm with > 50 % collapse 2.2–2.5 cm or 35–49 % collapse 2.6–3.0 cm or 20–34 % collapse > 3.0 cm or < 20 % collapse
‑ Hepatic vein systolic dominance S > D S ≈ D D > S Flow reversal
Pelvic / iliac venous Doppler
‑ Spectral waveform phasicity Triphasic Biphasic Continuous Absent flow / echogenic thrombus
Upper‑extremity / jugular Doppler
‑ Vein compressibility Complete Incomplete < 3 cm Incomplete ≥ 3 cm Non‑compressible / thrombus visualised

Abbreviations: RV – right ventricle; LV – left ventricle; TAPSE – tricuspid annular plane systolic excursion; S′ – tissue Doppler systolic velocity; PASP – pulmonary artery systolic pressure; IVC – inferior vena cava; RAP – right‑atrial pressure; S – systolic wave; D – diastolic wave.

Stepwise diagnostic algorithm in a sono‑only environment

Elevated D‑dimer  →  Clinical VTE probability score
                         │
           ┌─────────────┴─────────────┐
           │                           │
   Low / intermediate            High probability
       probability                      │
           │                           │
Compression venous duplex        Duplex + immediate TTE
           │                           │
    ┌──────┴──────┐              ┌─────┴─────┐
    │             │              │           │
Positive       Negative      RV strain   No RV strain
    │             │              │           │
Anticoag.   TTE + LUS        Treat as    LUS ± repeat
(see § 4)       │            presumptive    duplex
           ┌────┴────┐          PE
           │         │
        PE signs   No PE signs
           │         │
    Anticoag.   Re‑evaluate other

Management pathways based on sonographic findings

Ultrasound outcome Immediate therapy Further measures Treatment caveats in the present case
Proximal DVT or imaging‑confirmed PE Therapeutic anticoagulation with LMWH or a direct oral anticoagulant (DOAC) Continue ≥ 3 months; monitor haemoglobin & platelets; perform periodic duplex to document resolution Monitor serum potassium while on heparin owing to risk of hypo‑aldosteronism‑induced hyperkalaemia
RV strain without visualised DVT/PE Anticoagulation as presumptive PE if no alternate cause Reassess with serial NT‑proBNP & TTE; consider transfer for CT if deterioration Adjust dose for creatinine clearance; weigh bleeding risk in frail elderly
LV systolic/diastolic dysfunction Optimise preload (IVC‑guided), initiate low‑dose loop diuretics, ACEi/ARB/ARNI, β‑blocker as tolerated Repeat NT‑proBNP in 1–2 weeks; titrate therapy Loop diuretics lower potassium; vigilance for hypokalaemia in patient with prior hyperkalaemia
LUS pattern compatible with pneumonia Tailored antimicrobial therapy for MRAB (e.g., high‑dose ampicillin/sulbactam or cefiderocol per susceptibility) Serial LUS to monitor aeration; CRP trend Avoid nephrotoxic agents; adjust doses to preserved GFR
Isolated distal (calf) DVT Surveillance duplex on day 7 and 14 or anticoagulation if extension risk factors present (immobility, active infection) Escalate therapy if thrombus propagates Same potassium/bleeding considerations as above
No abnormal findings Close clinical observation; repeat biomarkers if symptoms evolve Encourage early mobilisation, calf‑pump exercises Maintain vigilance for occult iliac thrombosis

Guardian consent obtained for IRB-approved clinical research aimed at disseminating better clinical practices in hemodynamics.

Written on April 11, 2025


Interpretation of TTE findings in an 85-year-old gentleman (Written June 20, 2025)

An 85-year-old male underwent TTE to evaluate valvular and ventricular function. Normal reference limits follow contemporary recommendations from the American Society of Echocardiography (ASE), American College of Cardiology (ACC) and European Society of Cardiology (ESC).

1. Novisible thrombi in this study
2. Non-RHD:
suspicious severe AS & mild AR (I/IV) d/t senile sclerocalcified AV c LOM
(AVA=0.70/1.87cm2 by 2D/CE, AVAi=0.43cm2/m2 by 2D, Vmax=2.18m/s,
peak/meanPG=19/11mmHg, AV annulus=25.3mm, SVi=40.1ml/m2)
with post stenotic dilatation of ascending aorta=4.2cm
mild to moderate MS & mild MR (I/IV) d/t thickended MV c MAC
(MVA=1.21cm2 by 2D, MDPG=4.49mmHg)
2. Moderate global hypokinesia of LV
3. Enlarged LA (LAVI=58ml/m2) & RA sizes c reduced global LV systolic fx(EF=45%)
4. Moderate RVP (RVSP=58mmHg)
5. Mobile hyperechoic material(=0.58mm) at annulus of mitral valve
r/o calcium debris
6. indeterminate LV filling pattern

Findings and commentary

Guardian consent obtained for IRB-approved clinical research aimed at disseminating better clinical practices in hemodynamics.

Written on June 20, 2025


TTE findings and hemodynamic management in an elderly patient following traumatic subdural hemorrhage (Written July 11, 2025)

An 82-year-old male developed epilepsy after recovery from a traumatic subdural hemorrhage (T-SDH). Transthoracic echocardiography (TTE) performed during routine evaluation revealed ischemic myocardial injury and impaired ventricular function, prompting initiation of low-dose carvedilol for blood-pressure (BP) control.

TTE demonstrated an ischemic insult in the left anterior descending (LAD) coronary artery territory with moderate left-ventricular (LV) systolic dysfunction (left-ventricular ejection fraction = 43%); blood pressure was therefore managed with Dilatrend® 3.125 mg, half tablet.

Interpretation of key findings

ParameterMeasured valueReference rangeClinical meaning
Ischemic territoryLAD distributionSuggests prior anterior-wall infarction or ongoing ischemia
LVEF43 %> 55 % (normal)Moderate systolic dysfunction
Global LV contractilityHypokineticNormokineticReduced stroke volume and cardiac output

Rationale for carvedilol (Dilatrend®) 3.125 mg ½ tablet

  1. Neurohormonal modulation. Carvedilol antagonises β1, β2, and α1 receptors, attenuating the adrenergic drive that aggravates ischemia and LV remodeling.
  2. Mortality benefit in ischemic cardiomyopathy. Clinical trials demonstrate reduced all-cause mortality and rehospitalisation when β-blockers are introduced at low dose and titrated upward in LV dysfunction.
  3. Blood-pressure control with vasodilation. The additional α1 blockade offers gentle peripheral vasodilation, lowering afterload without provoking reflex tachycardia.
  4. Low starting dose for frailty. A half-tablet (≈ 1.56 mg) minimises initial bradycardia or hypotension in an elderly, potentially volume-sensitive patient recovering from intracranial pathology.

Suggested up-titration schedule*

Time intervalProposed dose (bid)Haemodynamic targetMonitoring
Week 0 – 21.56 mgSBP > 100 mmHg, HR > 60 bpmOrthostatic BP, dizziness, fatigue
Week 3 – 43.125 mgStable BP, HR 55-70 bpmSerum electrolytes, renal function
> Week 56.25 mgOptimal neurohormonal blockadeSigns of decompensation, CNS symptoms

*Dose escalation contingent on tolerance; slower titration advisable in orthostatic intolerance.

Clinical considerations

Guardian consent obtained for IRB-approved clinical research aimed at disseminating better clinical practices in hemodynamics.

Written on July 11, 2025


Transthoracic echocardiography assessment in a 92‑year‑old woman (Written July 29, 2025)

I. Patient background

II. Quantitative echocardiographic findings

1. Normal sized cardiac chambers with normal global left‑ventricular systolic function (EF: 67 %).

2. Relaxation abnormality of LV filling pattern (E/e′: 14).

3. Moderate circumferential pericardial effusion without hemodynamic significance:
   • LV posterior: 1.62 cm
   • LV apex: 1.71 cm
   • RV side: 1.77 cm
   • RA side: 0.35 cm

4. Concentric left‑ventricular hypertrophy.

5. Slightly dilated sinus of Valsalva (36 mm) and ascending aorta (37 mm).

III. Guideline‑based evaluation

  1. Left‑ventricular size and systolic function

    ParameterNormalPatientInterpretation
    LVEF≥ 53 % (women)67 %Normal
    LV internal dimensions / volumesWithin reference rangeNormal by reportNo dilation
  2. Diastolic function  –  grading criteria

    CriterionGradePatient
    I (impaired relaxation)II (pseudonormal)III (restrictive, reversible)IV (restrictive, fixed)
    E/A ratio< 0.80.8–2.0> 2.0> 2.0Not provided*
    Average E/e′< 1414–15> 15> 1514
    Tricuspid regurgitation Vmax< 2.8 m/s> 2.8 m/s> 2.8 m/s> 2.8 m/sNot provided
    LA volume index< 34 mL/m²> 34 mL/m²> 34 mL/m²> 34 mL/m²Not provided
    • *Given the reported “relaxation abnormality” and borderline E/e′ of 14, the pattern is most compatible with Grade I (impaired relaxation) with borderline filling pressures.
  3. Pericardial effusion size classification

    Maximum separationClassificationPatient (RV side 1.77 cm)
    < 1.0 cmMildModerate
    1.0–2.0 cmModerate
    > 2.0 cmLarge

    No hemodynamic compromise is documented; therefore, tamponade physiology is absent.

  4. Left‑ventricular hypertrophy (LVH)

    IVS / PW thicknessNormalLVH thresholdPatientInterpretation
    Posterior wall< 1.0 cm (women)≥ 1.1 cm1.62 cmConcentric LVH
    Interventricular septum*< 1.0 cm≥ 1.1 cmNot provided
    • *Septal thickness was not included but concentric geometry is inferred from concentric wall thickening and preserved cavity size.

    Geometry pattern Left ventricular mass index (LVMI) Relative wall thickness (RWT)
    Normal geometry Normal (< 95 g/m² in women, < 115 g/m² in men) Normal (≤ 0.42)
    Concentric remodeling Normal (< 95 g/m² in women, < 115 g/m² in men) Increased (> 0.42)
    Concentric hypertrophy Increased (≥ 95 g/m² in women, ≥ 115 g/m² in men) Increased (> 0.42)
    Eccentric hypertrophy Increased (≥ 95 g/m² in women, ≥ 115 g/m² in men) Normal (≤ 0.42)
  5. Aortic root and ascending aorta dimensions

    SegmentUpper normal (women, age > 40)PatientInterpretation
    Sinus of Valsalva≤ 34 mm36 mmSlightly dilated
    Ascending aorta≤ 35 mm37 mmSlightly dilated

IV. Integrated assessment

V. Clinical implications

  1. Blood‑pressure optimization: Intensify antihypertensive strategy to limit further hypertrophic remodeling and aortic dilatation.
  2. Volume management: Coordinate with dialysis team to achieve euvolemia, thereby reducing left‑atrial pressure and diastolic filling pressures.
  3. Pericardial effusion monitoring: Repeat echocardiography if new symptoms (dyspnea, orthopnea, hypotension) occur or if an inflammatory etiology is suspected.
  4. Serial aortic imaging: Consider annual echocardiographic or computed‑tomographic surveillance; expedite if growth > 3 mm appears within a year.
  5. Comprehensive geriatric cardiac care: Continue multidisciplinary follow‑up focusing on frailty, cerebrovascular prevention, and dialysis‑related cardiovascular risk.

VI. Key teaching points

Guardian consent obtained for IRB-approved clinical research aimed at disseminating better clinical practices in hemodynamics.

Written on July 29, 2025


Interpretation of Echocardiography Findings in a Clinical Case (Written September 7, 2025)

I. Case Echocardiography Report (English Translation)

Limited study due to supine position
Tachycardia (around 105 bpm)
Tracheostomy present

  1. Grossly small LV cavity size with normal LV systolic function (LVEF = 60–65%).
  2. Summation of E/A wave due to tachycardia.

LVEDD: 36.8 mm
LVESD: 26.3 mm
IVSD: 9.5 mm
PWd: 9.4 mm
LA (AP dimension): 29.9 mm
PASP: 21.0 mmHg

II. Detailed Analysis of Echocardiographic Findings

Technical Limitations and Patient Condition

Limited study due to supine position
Tachycardia (around 105 bpm)
Tracheostomy present

The echocardiogram was technically limited by the patient's condition. The patient remained supine and had a tracheostomy in place, which likely impeded optimal positioning for transthoracic imaging. Additionally, the heart rate was elevated (~105 beats per minute), shortening the cardiac cycles. These factors contributed to suboptimal acoustic windows and reduced image quality, making the study less comprehensive than usual.

Left Ventricular Size and Systolic Function

Grossly small LV cavity size with normal LV systolic function (LVEF = 60–65%).

The study notes a markedly small left ventricular (LV) cavity, while the systolic function remains normal. LVEF (left ventricular ejection fraction) is approximately 60–65%, which falls within the normal range for adults, indicating preserved pumping ability. A small LV cavity size means the internal dimensions of the LV are on the lower end of normal or below normal. This could reflect the patient's body size, low blood volume, or dehydration, or a hyperdynamic state where the heart contracts vigorously. Importantly, despite the reduced chamber size, the normal ejection fraction suggests that the ventricular muscle contractility is intact and the stroke volume is maintained through compensatory mechanisms (such as the higher heart rate).

Diastolic Filling Pattern (E/A Wave)

Summation of E/A wave due to tachycardia.

The report indicates that the early (E) and atrial (A) filling waves on transmitral Doppler have merged into a single summation wave. This is attributable to the tachycardia: at a heart rate of ~105 bpm, the diastolic filling period is so short that the normal two distinct filling phases (early passive filling and late atrial contraction filling) overlap. As a result, it is challenging to separate E and A waves, making it difficult to assess diastolic function in the usual way. Under normal conditions (with lower heart rates), the E/A ratio is evaluated to gauge diastolic function. In this patient, because of E–A fusion, a reliable E/A ratio could not be obtained. It is therefore not possible to determine the diastolic dysfunction grade from this study. For reference, in an adult heart at normal heart rates, an E/A ratio around 1–1.5 is expected in normal diastolic function, whereas values significantly below or above that range suggest diastolic dysfunction (Grade I, II, or III as shown below).

Table: Grading of Left Ventricular Diastolic Dysfunction (Adults)

Grade E/A Ratio (Criteria) Diastolic Filling Characteristics
I (Impaired Relaxation) E/A < 0.8 Delayed relaxation; prolonged deceleration time; normal or low filling pressures (often asymptomatic).
II (Pseudonormal) E/A 0.8–1.5 (appears normal) Filling pattern looks normal, but atrial pressures are elevated (indicated by other findings like elevated E/e′ and LA enlargement).
III (Restrictive) E/A ≥ 2.0 Rapid filling with short deceleration time; significantly elevated left atrial pressure (a severe diastolic dysfunction pattern).

Comparison with Previous Study

Poor acoustic window makes it difficult to compare accurately with the previous echocardiogram from May 23, 2023, but the LV cavity size appears reduced (42/29 mm then vs 37/26 mm now).

The report compares the current findings with a prior echocardiographic study (performed on May 23, 2023). Due to the poor imaging quality of the current study, an exact side-by-side comparison is limited. However, it is noted that the left ventricular cavity dimensions have decreased since the previous exam. Previously, the LV end-diastolic dimension (LVEDD) and end-systolic dimension (LVESD) were approximately 42 mm and 29 mm, respectively. In the current study, these measurements are about 37 mm (LVEDD) and 26 mm (LVESD). Such a reduction in chamber size over time could be influenced by differences in volume status, measurement technique, or patient condition between the two exams. In a stable clinical scenario, a significantly smaller LV cavity now might suggest the patient has a lower circulating volume or higher sympathetic tone at the time of the exam. It is also possible that the previous study had more optimal imaging, and the current measurements underestimated the true size due to suboptimal visualization.

Other Quantitative Measurements

LVEDD: 36.8 mm
LVESD: 26.3 mm
IVSD: 9.5 mm
PWd: 9.4 mm
LA (AP dimension): 29.9 mm
PASP: 21.0 mmHg

The table below summarizes the key echocardiographic measurements for this patient and compares them to normal adult reference ranges:

Parameter Patient Value Normal Range (Adults) Interpretation
Left Ventricular Ejection Fraction (LVEF) 60–65% 53–73% (normal) Normal
LV End-Diastolic Dimension (LVEDD) 36.8 mm 42–58 mm (male)
38–52 mm (female)
Smaller than normal
LV End-Systolic Dimension (LVESD) 26.3 mm 25–40 mm (male)
22–35 mm (female)
Low end of normal (small)
Interventricular Septum Thickness (IVS) 9.5 mm 6–10 mm Normal
Posterior Wall Thickness (PW) 9.4 mm 6–10 mm Normal
Left Atrial AP Diameter 29.9 mm < 40 mm Normal (no enlargement)
Pulmonary Artery Systolic Pressure (PASP) 21.0 mmHg < 30 mmHg Normal

As shown above, the patient's cardiac dimensions and pressures are mostly within normal limits, aside from the notably small LV cavity size. The LVEDD is below the typical normal range even for a female patient, which aligns with the qualitative observation of a small LV cavity. The ventricular wall thicknesses (IVS and PW) are in the normal range, indicating no LV hypertrophy. The left atrial size is normal (not enlarged), and the estimated pulmonary artery systolic pressure is also normal, suggesting no evidence of pulmonary hypertension. Overall, aside from the reduced LV chamber size, there are no abnormal structural findings.

III. Clinical Implications and Next Steps

In summary, this echocardiographic evaluation reveals a small left ventricular cavity with preserved systolic function and indeterminate diastolic function due to tachycardia. These findings must be interpreted in the context of the patient's clinical state. Below are possible contributing factors for these echo findings and recommended subsequent steps in management and evaluation.

Potential Contributing Factors

Recommended Next Steps

Written on September 7, 2025


Echocardiographic Findings of Multichamber Enlargement and Pulmonary Hypertension (Written September 7, 2025)

I. Introduction

The following report presents an adult patient’s echocardiographic findings, which are notable for multiple chamber enlargements, preserved left ventricular systolic function, and evidence of pulmonary hypertension. It is written as a case study for a clinical audience ranging from medical trainees to experienced cardiologists. This report will translate the key echocardiography results from the original Korean report into English and provide a detailed interpretation of each finding. No identifiable patient information is included, and the discussion is focused on understanding the clinical significance of the findings, reviewing normal reference ranges (for adults), and outlining the differential diagnosis and recommended next steps in management.

II. Summary of Echocardiographic Findings

  1. Enlarged LA (LAVI: 87 mL/m2) with normal global LV systolic function (EF: 70%).
  2. Enlarged RA and RV with mildly reduced RV systolic function (FAC: 33%).
  3. Moderate pulmonary hypertension (RVSP: 57 mmHg) with IVC plethora (25 mm).
  4. Elevated LV filling pressure (E/e′: 13).
  5. At least moderate TR (grade II–III/IV) with dilated TV annulus (45 mm) and slightly thickened leaflet.
  6. Concentric remodeling of LV.
  7. Dilated sinus of Valsalva (39 mm) and ascending aorta (36 mm).

In summary, the echocardiogram (transthoracic echocardiography) reveals severe left atrial enlargement, biatrial and right ventricular enlargement, preserved left ventricular ejection fraction, mild right ventricular systolic dysfunction, and evidence of moderate pulmonary hypertension. Notably, there is significant tricuspid regurgitation with annular dilatation, and the left ventricle shows concentric remodeling consistent with long-standing pressure load. The aortic root is mildly dilated. Table 1 below provides key measurements compared to normal adult reference ranges for clarity:

MeasurementPatientReference Range (Adult)Interpretation
Left Atrial Volume Index (LAVI, mL/m2)8716–34 (normal)Severely enlarged
Left Ventricular Ejection Fraction (EF, %)70~50–70 (normal)Normal (high-normal)
Right Atrial SizeEnlargedArea < 18 cm2 normalEnlarged
Right Ventricular Basal Diameter (mm)Enlarged< 42 (normal max)Enlarged
Right Ventricular FAC* (%)33≥ 35 (normal)Mildly reduced
Right Ventricular Systolic Pressure (RVSP, mmHg)57< ~35 (normal); 35–50 (mild PH)Moderate PH
Inferior Vena Cava (IVC) diameter (mm)25 (plethoric)< 21 and collapsible (normal)Elevated RA pressure
E/e′ Ratio13< 8 (normal); 8–12 (borderline)Elevated (high borderline)
Tricuspid Regurgitation (TR) GradeModerate (II–III)I (mild), II (moderate), III (severe)Significant
Tricuspid Valve Annulus (mm)45~28–35 (normal); > 40 dilatedDilated
LV RemodelingConcentricNormal geometrySuggests pressure overload
Aortic Root (Sinus of Valsalva, mm)39~< 38 (normal)Mildly dilated
Ascending Aorta (mm)36~< 35 (normal)Mildly dilated

*FAC: Fractional Area Change (measurement of RV systolic function)

III. Detailed Interpretation of Findings

A. Left Atrial Enlargement and LV Systolic Function

1. Enlarged LA (LAVI: 87 mL/m2) with normal global LV systolic function (EF: 70%).

The left atrium (LA) is markedly enlarged, as indicated by a left atrial volume index (LAVI) of 87 mL/m2. In adults, normal LAVI is ≤ 34 mL/m2; thus, this value represents severe LA enlargement. Such a large LA volume usually reflects chronically elevated left atrial pressure over time, often due to longstanding diastolic dysfunction or other causes of impaired filling. The consequence of severe LA enlargement is significant because it predisposes to atrial fibrillation and other atrial arrhythmias. Despite this enlargement, the left ventricular (LV) ejection fraction is 70%, which is within normal to high-normal range, indicating preserved global LV systolic function. In other words, the pumping ability of the LV is intact, suggesting that the patient’s issues are not due to systolic heart failure but more likely related to diastolic function (filling of the heart). A normal EF with a large LA strongly points toward heart failure with preserved ejection fraction (HFpEF), where the heart’s relaxation is abnormal. It is also worth noting that an EF of 70% can be seen in hyperdynamic states or simply as the upper end of normal; in this context, it confirms that systolic function is not impaired.

B. Right Atrium and Right Ventricle Enlargement; RV Function

2. Enlarged RA and RV with mildly reduced RV systolic function (FAC: 33%).

Both the right atrium (RA) and right ventricle (RV) are enlarged. In a normal adult heart, the RA area is usually less than ~18 cm2, and the RV’s basal dimension is typically under 42 mm. Although exact measurements are not listed here, the qualitative description indicates the dimensions exceed those normal limits. RV enlargement often accompanies chronic pressure or volume overload of the right heart. In this case, a likely reason is the elevated pressure in the pulmonary circulation (discussed below) causing strain on the RV, and significant tricuspid regurgitation causing volume overload of the RA.

The RV systolic function is reported as mildly reduced, with a fractional area change (FAC) of 33%. FAC is a percentage that measures how much the RV area decreases from diastole to systole; a normal RV FAC is ≥ 35%. Thus, 33% represents a slight reduction in RV contractile performance. Mild RV dysfunction in the presence of RV dilation suggests that the RV is starting to struggle against increased afterload (pressure in the pulmonary artery) or volume load. However, the dysfunction is only mild at this stage, which means the RV is still compensating relatively well. Monitoring RV function is important, because progressive pulmonary hypertension or ongoing volume overload can further impair the RV over time.

C. Pulmonary Hypertension and IVC Plethora

3. Moderate pulmonary hypertension (RVSP: 57 mmHg) with IVC plethora (25 mm).

The estimated right ventricular systolic pressure (RVSP) is 57 mmHg, which indicates pulmonary hypertension (PH). By echocardiographic criteria, an RVSP above approximately 50 mmHg falls into the moderate range of pulmonary hypertension. (For reference, normal RVSP is typically < 35 mmHg, and values of 35–50 mmHg suggest mild PH, while values above ~50–60 mmHg indicate at least moderate PH.) This RVSP is derived from the tricuspid regurgitation jet velocity on Doppler echocardiography using the modified Bernoulli equation, plus an estimate of right atrial pressure. In this case, the inferior vena cava (IVC) is dilated to 25 mm and noted to be plethoric (full and with poor collapse), which suggests an elevated RA pressure (often ~15 mmHg). The dilated, non-collapsing IVC is an important ancillary sign supporting the presence of pulmonary hypertension and right heart strain. An elevated RA pressure is often seen when there is chronic pressure overload on the right side of the heart.

Moderate pulmonary hypertension in this patient is likely a consequence of left heart pathology (post-capillary pulmonary hypertension). The severely enlarged LA and elevated filling pressures (see finding D) raise pressure in the pulmonary veins, which transmits back to the pulmonary artery, causing increased pulmonary artery pressure. This is known as Group II pulmonary hypertension (pulmonary hypertension secondary to left heart disease). The presence of PH has significant clinical implications: it increases workload on the RV, can lead to symptoms like shortness of breath, and requires investigation into reversible causes or direct management of the underlying cause (in this case, treating the left heart dysfunction). Confirmation of the severity and type of pulmonary hypertension can be pursued with a diagnostic right heart catheterization if needed.

D. Elevated Left Ventricular Filling Pressure (Diastolic Dysfunction)

4. Elevated LV filling pressure (E/e′: 13).

The ratio of early mitral inflow velocity to mitral annular early diastolic velocity (E/e′) is 13. This Doppler index is used to estimate left ventricular filling pressures (i.e., pressure in the left atrium during diastole). In general, an E/e′ ratio above 14 is considered indicative of elevated LV filling pressure, while values between about 8 and 12 are borderline or inconclusive by themselves. An E/e′ of 13 is at the high end of borderline, and given the context of markedly enlarged LA and other echocardiographic features, it strongly suggests that the patient has elevated left-sided filling pressures. In simpler terms, the pressure in the left heart when the ventricle is relaxing is higher than normal.

This finding is consistent with diastolic dysfunction of the LV. When the LV has impaired relaxation or reduced compliance (stiffness), it leads to higher pressure for any given volume of filling, which then transmits to the left atrium. The combination of this E/e′ ratio with the LA enlargement and the tricuspid regurgitation velocity (which contributes to the RVSP) points to at least moderate diastolic dysfunction (often categorized as Grade II diastolic dysfunction, or “pseudonormal” filling pattern, if mitral inflow patterns were analyzed). Essentially, the heart’s filling phase is impaired, corroborating the diagnosis of HFpEF (heart failure with preserved ejection fraction). Recognizing elevated filling pressures is crucial, as it guides therapy (e.g., diuretics, blood pressure control) and helps explain symptoms like exercise intolerance or dyspnea even though EF is preserved.

E. Tricuspid Regurgitation and Tricuspid Valve Changes

5. At least moderate TR (grade II–III/IV) with dilated TV annulus (45 mm) and slightly thickened leaflet.

The echocardiogram indicates at least moderate tricuspid regurgitation (TR), graded roughly as II–III on a scale where I is mild and IV is severe. Moderate TR means a significant amount of blood is leaking back through the tricuspid valve from the right ventricle to the right atrium during systole. The tricuspid valve (TV) annulus is measured at 45 mm, which is dilated well beyond normal. (Typically, a normal tricuspid annulus diameter is around 28–35 mm in adults; an annulus > 40 mm is clearly enlarged.) A dilated annulus often accompanies significant TR, since the valve leaflets can no longer coapt fully when the ring is enlarged. The mention of a slightly thickened leaflet suggests there are some structural changes to the valve leaflets (which could be due to age-related degeneration or other pathology), but no gross malformation is noted.

These findings together point toward functional (secondary) TR rather than primary valvular disease. In functional TR, the valve itself is essentially normal but becomes incompetent due to dilation of the annulus and distortion of the valve geometry, usually from right atrial and right ventricular enlargement. The most common cause for this scenario is pulmonary hypertension or left heart failure leading to volume overload in the right heart. Here, the moderate TR is likely a consequence of the elevated pulmonary pressures (and consequent RV enlargement) discussed above. Moderate TR can contribute to further RA enlargement and signs of systemic venous congestion (like liver congestion or edema) if severe enough. It is an important finding because if TR becomes severe, it can lead to significant morbidity, and interventions (such as surgical tricuspid valve repair or newer catheter-based treatments) might be considered. At the moderate stage, management focuses on treating the underlying cause (reducing pulmonary pressures and venous congestion) and observing if the regurgitation progresses.

F. Concentric LV Remodeling

6. Concentric remodeling of LV.

The left ventricle is described as having “concentric remodeling.” This term indicates that the LV walls are relatively thickened (or the chamber radius is relatively small) without a significant increase in overall LV mass beyond normal. In concentric remodeling, the wall thickness increases as an adaptation to pressure overload, but the LV cavity size is normal and muscle mass is not excessively enlarged (distinguishing it from concentric hypertrophy, where there is an increase in muscle mass as well). This pattern is commonly seen in patients with long-standing hypertension or other conditions that impose chronic pressure load on the heart. Essentially, the heart muscle thickens to make the wall stronger to pump against high pressure.

Concentric remodeling is consistent with the patient’s other findings that suggest hypertensive heart disease. It contributes to diastolic dysfunction because a thicker, less compliant ventricle relaxes and fills less easily. Along with the elevated filling pressures and LA enlargement, the concentric remodeling of the LV further supports the idea that the patient’s cardiac changes are due to chronic pressure overload (likely high blood pressure over time). Management of a patient with concentric remodeling focuses on aggressive control of blood pressure and other risk factors to prevent progression to heart failure or overt LV hypertrophy.

G. Dilated Aortic Root (Sinus of Valsalva) and Ascending Aorta

7. Dilated sinus of Valsalva (39 mm) and ascending aorta (36 mm).

The sinus of Valsalva (the aortic root just above the aortic valve) measures 39 mm, and the ascending aorta measures 36 mm in diameter. These values are mildly elevated above normal expectations for an adult (typical normal upper limits for the aortic root are in the mid-30s millimeter range, varying with age and body size). While different guidelines have slightly different cutoff values, generally an aortic root diameter of around 40 mm or more would be considered dilated. In this case, 39 mm is at the borderline of mild dilatation, and 36 mm in the ascending aorta is also slightly enlarged.

Mild dilation of the aortic root and ascending aorta can be associated with long-standing hypertension (which can cause the aorta to enlarge over time due to the constant high pressure load on the vessel wall). Other causes can include connective tissue disorders (like Marfan syndrome or bicuspid aortic valve with aortopathy), but those typically cause larger degrees of dilation and often at younger ages. There is no indication from the echocardiogram of any aortic valve dysfunction, and the dilation is modest. The clinical approach to a mildly dilated aorta is to ensure optimal blood pressure control and to follow the aortic dimensions over time with serial imaging. Usually, no surgical intervention is indicated until the diameter is significantly larger (for example, ≥ 45–50 mm depending on patient-specific factors and guidelines). Thus, these findings serve as a reminder to manage risk factors and plan follow-up imaging to monitor the aorta for any further enlargement.

IV. Synthesis and Differential Diagnosis

When integrating all of these echocardiographic findings, a unifying theme emerges: the heart shows changes consistent with long-standing pressure overload and diastolic dysfunction, with secondary effects on the right heart. The severe left atrial enlargement, elevated filling pressure, and concentric LV remodeling point strongly toward a chronic hypertensive heart disease picture leading to heart failure with preserved ejection fraction (HFpEF). In HFpEF caused by hypertension (or similar conditions), the thickened LV walls and stiffness elevate the pressure in the left ventricle during diastole, which in turn raises left atrial pressure and causes the left atrium to enlarge markedly. The elevated left-sided pressures transmit to the pulmonary circulation, causing pulmonary hypertension. As a result, the right ventricle faces increased resistance and gradually dilates and weakens slightly, and the tricuspid valve annulus stretches, leading to functional tricuspid regurgitation and right atrial enlargement.

Chronic pressure overload Systemic hypertension / risk factors LV concentric remodeling ↑ stiffness, impaired relaxation Elevated LV filling pressure E/e′ ≈ 13 Left atrial pressure ↑ & dilation LAVI 87 mL/m² Post-capillary pulmonary hypertension RVSP ≈ 57 mmHg; IVC plethoric (25 mm) RV pressure/volume overload RV/RA dilation; FAC 33% Functional TR Annulus 45 mm Legend and clinical anchors: • HFpEF pattern: preserved EF (70%) with markedly enlarged LA (LAVI 87 mL/m²) and high-borderline E/e′ (13). • Secondary (Group II) PH from left heart disease: elevated RA pressure suggested by IVC plethora (25 mm). • Right-sided impact: RV/RA enlargement, mild RV systolic dysfunction (FAC 33%), functional TR with dilated annulus (45 mm).
Figure: Simplified flowchart illustrating how elevated left heart pressures (due to diastolic dysfunction) lead to pulmonary hypertension, which in turn causes right heart dilation and tricuspid regurgitation.

This interconnected pathophysiology is illustrated in the flowchart above. The most likely diagnosis that ties these echo findings together is heart failure with preserved ejection fraction due to chronic hypertension. However, it is important to consider other potential differential diagnoses that could produce a similar echocardiographic profile, such as:

Overall, chronic hypertension leading to diastolic dysfunction and HFpEF is the best fit for this constellation of findings. The differential considerations above would typically be evaluated if the clinical picture or additional data suggested those possibilities (for example, signs of systemic disease for amyloidosis or history of tuberculosis for constrictive pericarditis, etc.).

V. Recommendations and Next Steps

A. Further Diagnostic Evaluation

B. Management Strategies

In summary of management, the focus is on treating the underlying causes of the echocardiographic findings: controlling blood pressure and any other factors contributing to diastolic dysfunction, managing heart failure symptoms conservatively, preventing complications like arrhythmias and thromboembolism, and keeping a vigilant eye on the progression of valvular regurgitation and aortic dilation. A multidisciplinary approach involving cardiology (and possibly pulmonary hypertension specialists if needed) will ensure the patient receives comprehensive care.

VI. Conclusion

This case highlights the importance of a systematic approach to echocardiography interpretation and the interconnected nature of cardiac findings. The patient’s echocardiogram demonstrates how chronic pressure overload (likely from hypertension) can lead to a cascade of changes: a stiff left ventricle causing high filling pressures and a large left atrium, which then results in pulmonary hypertension and secondary right heart dilation with tricuspid regurgitation. Despite a normal ejection fraction, the patient exhibits features of heart failure with preserved EF, underlining that heart failure is not solely a disease of reduced systolic function.

For clinicians and trainees, this case reinforces several key points. First, understanding normal reference ranges and grading severity (as provided in the table) is crucial for recognizing the extent of abnormalities. Second, each echocardiographic finding should be interpreted in the broader clinical context — here, the combination of findings paints a clearer picture than any single measurement. Third, the management of such a patient requires addressing the root cause (e.g., hypertension and diastolic dysfunction) and the consequences (pulmonary hypertension and TR) in a coordinated fashion. By following the recommended evaluation and treatment steps, clinicians can improve hemodynamic profiles and potentially the patient’s symptoms and long-term outcomes. Ongoing follow-up with repeat imaging and clinical assessment will be important to monitor changes in chamber sizes, valve function, and aortic dimensions, and to adjust the management plan accordingly.

In conclusion, this echocardiographic case study serves as a comprehensive example of evaluating a patient with multichamber cardiac remodeling and highlights the essential links between imaging findings and clinical management strategies in cardiology.

Written on September 7, 2025


Echocardiographic Assessment of an 87-Year-Old Female (Written October 15, 2025)

I. Patient Background

An 87-year-old female was admitted with a subdural hematoma and required mechanical ventilatory support. During her hospital stay, a comprehensive transthoracic echocardiogram (TTE) was performed to evaluate her cardiac function. Details of her initial cardiovascular status were limited, but the echocardiogram provided important insights into her heart structure and function.

II. Echocardiographic Findings and Interpretation

A. Cardiac Chamber Dimensions and Systolic Function

Parameter Patient Value Reference Range Comment
IVS Thickness (diastole) 10.5 mm ≤ 10 mm Mildly increased
Posterior Wall Thickness 10.2 mm ≤ 10 mm Upper normal limit
LV End-Diastolic Diameter 53.1 mm ~37–53 mm (female) Upper normal limit
LV End-Systolic Diameter 35.1 mm ~20–37 mm* Normal
Relative Wall Thickness 0.38 0.22–0.42 Normal
LV Mass Index 114.3 g/m2 ≤ 95 g/m2 (female) Elevated (moderate LVH)
LVEF (by 2D) 56.3% 53–73% (female) Normal systolic function
LA Diameter (AP) 43.4 mm 27–38 mm (female) Enlarged (moderate)
LA Volume Index 49.7 mL/m2 ≤ 34 mL/m2 Severely increased
Ascending Aorta Diameter 39.5 mm < ~35 mm Mildly dilated

Note: Normal LV end-systolic dimension depends on overall heart size and ejection fraction.

Interpretation: The left ventricular (LV) walls are at the upper limit of thickness with a mildly increased septal thickness (suggesting borderline hypertrophy). The LV chamber size is normal (diastolic diameter ~53 mm, at the upper normal limit for an elderly female) and systolic function is preserved (ejection fraction ~56%). The LV mass index is elevated, indicating left ventricular hypertrophy (LVH); given the normal relative wall thickness, this hypertrophy is likely an eccentric pattern (possibly related to long-standing pressure and volume load, as seen in hypertension or aging hearts). The left atrium (LA) is significantly enlarged (LA volume index ~50 mL/m², which is markedly above normal), reflecting chronically elevated filling pressures. The ascending aorta is mildly dilated, which can be an age-related degenerative change.

B. Valvular Findings

C. Diastolic Function and Filling Pressures

Parameter Patient Normal Range/Cutoff Comment
E/A Ratio 0.96 0.6–1.3 (age > 60) Borderline (low for young, normal for age)
Deceleration Time (DT) 185 ms 150–220 ms Normal
Septal e' (peak) 8.1 cm/s > 7 cm/s (septal) Slightly reduced
Lateral e' (peak) 8.3 cm/s > 10 cm/s (lateral) Reduced
Average E/E' Ratio 10.9 < 10 (normal) Slightly elevated

Interpretation: The mitral inflow pattern shows an impaired relaxation profile. Specifically, the early diastolic filling (E-wave) is slightly lower than the late filling (A-wave), yielding an E/A ratio of ~0.96. In a younger individual, an E/A ratio below 1 would be abnormal, but in this 87-year-old patient it is near the expected range for her age (healthy older adults often have E/A around 0.8–1.0 due to reduced early filling). However, tissue Doppler imaging reveals that the mitral annular relaxation velocities (e') are reduced (septal e' 8.1 cm/s, lateral e' 8.3 cm/s), which is a sign of diastolic dysfunction. The combination of a borderline E/A ratio with low e' velocities and a large LA volume suggests that Grade I–II diastolic dysfunction is present. The E/E' ratio of ~11 is slightly above normal, indicating that left ventricular filling pressures are modestly elevated. This is further corroborated by the enlarged left atrium (an indicator of chronic elevation of filling pressure). Overall, the diastolic function findings reflect a relaxation abnormality (impaired relaxation of the left ventricle) with some evidence of increased filling pressure, consistent with diastolic dysfunction commonly seen in hypertensive heart disease or simply due to advanced age-related myocardial stiffness.

D. Pulmonary Artery Pressure Estimation

Parameter Measured Value Normal Range Comment
Tricuspid Regurgitation Jet Velocity 2.97 m/s ≤ 2.8 m/s Slightly elevated
Estimated RVSP 50 mmHg < 35 mmHg Elevated (moderate PH)

Interpretation: The peak tricuspid regurgitation (TR) jet velocity is about 2.97 m/s, which is mildly elevated above the normal upper limit (~2.8 m/s). Using this TR velocity and an estimated right atrial pressure (based on a dilated inferior vena cava of 23 mm with reduced respiratory collapse), the right ventricular systolic pressure (RVSP) is calculated to be approximately 50 mmHg. An RVSP of 50 mmHg at rest suggests the presence of pulmonary hypertension (PH) (normal RVSP is around 20–25 mmHg, and values above ~35–40 mmHg at rest indicate PH). In this patient, the pulmonary hypertension is likely secondary (post-capillary), due to the elevated left heart filling pressures (diastolic dysfunction) and left atrial hypertension transmitted to the pulmonary circulation. There may also be contributions from any underlying pulmonary pathology or the effects of positive pressure ventilation, but the chronic LA enlargement points to left-sided heart disease as a major factor.

III. Clinical Impression and Recommendations

Summary Impression: This echocardiographic assessment of an elderly patient demonstrates preserved left ventricular systolic function with moderate left ventricular hypertrophy. The most notable valvular lesion is degenerative aortic stenosis of mild-to-moderate severity, which, at present, does not cause severe obstruction but will require monitoring. The mitral valve shows calcification with only mild regurgitation and no significant stenosis. Importantly, there is clear diastolic dysfunction (impaired relaxation) of the left ventricle, as indicated by the filling pattern and enlarged left atrium. This has led to moderately elevated pulmonary artery pressures (reflecting secondary pulmonary hypertension likely due to left-heart diastolic pressures). Overall, the findings are consistent with the cardiac effects of long-standing hypertension and aging: a stiff hypertrophied left ventricle, mild valvular degenerative changes, and resultant pulmonary pressure elevation.

Recommendations: In light of these findings, the following considerations are advised for management and follow-up:

  1. Maintain optimal blood pressure control to reduce left ventricular afterload. This may help slow further hypertrophy and alleviate diastolic filling pressures, given the likelihood of underlying hypertension contributing to the LVH and diastolic dysfunction.
  2. Monitor for any symptoms of aortic stenosis (such as exertional dizziness, chest pain, or dyspnea). Although the aortic stenosis is only moderate, symptom development would prompt re-evaluation by cardiology. In the absence of symptoms, routine follow-up echocardiography (for example, annually or biannually) can be considered to track progression of the stenosis.
  3. Manage the patient’s diastolic heart function through careful volume status control and heart rate management. Avoiding fluid overload and tachycardia will help prevent heart failure symptoms, since the ventricle has impaired relaxation and relies on adequate filling time and normal volume load.
  4. Address the pulmonary hypertension indirectly by treating the underlying diastolic dysfunction and optimizing lung health. This includes ensuring good management of any pulmonary conditions (to minimize any additional pulmonary arterial pressure elevation) and maintaining adequate oxygenation, especially if the patient remains on ventilatory support. If the pulmonary hypertension is predominantly due to left heart factors, improving those will in turn reduce the strain on the right heart.
  5. Be vigilant for the development of atrial fibrillation or other atrial arrhythmias, as the markedly enlarged left atrium predisposes to such rhythm disturbances. If atrial fibrillation occurs, appropriate rate/rhythm control and anticoagulation (considering stroke risk) should be implemented in accordance with guidelines.
  6. Coordinate care between neurology and cardiology as the patient recovers from the subdural hematoma. Any interventions or rehabilitation plans should take into account her cardiac status (for example, ensuring cardiovascular stability during physical therapy and understanding that her exercise tolerance might be limited by the moderate aortic stenosis and diastolic dysfunction).

Overall, this case highlights how an elderly patient with neurological issues also has significant cardiac findings on echocardiography. A comprehensive, multi-disciplinary approach is warranted to manage her cardiovascular health in concert with her neurological recovery, always with attention to gentle and cautious management given her advanced age and combined conditions.

Guardian consent obtained for IRB-approved clinical research aimed at disseminating better clinical practices in hemodynamics.


Written on October 15, 2025


Felson's Roentgenology

This study note has been carefully crafted as an educational tool, presenting key concepts from Felson's Principles of Chest Roentgenology: A Programmed Text (3rd edition, 2006) by Lawrence R. Goodman. The content has been refined and reorganized through a personal study process, with the assistance of AI tools, to ensure clarity, professional tone, and logical flow. The note not only summarizes essential concepts but also fills in gaps and upgrades the logic, making it easier to understand and reference.

1. Fair Use Doctrine (for Educational and Non-Commercial Use)

The content here aligns with the Fair Use Doctrine, which permits limited use of copyrighted material for academic, informational, or commentary purposes, without commercial intent. Four primary considerations guide this application:

  1. Transformative Use
    – The original material is restructured through summarization, analysis, and additional insights.
    – Key concepts have been reorganized into outlines and explanatory paragraphs, making the material distinct from the original.
  2. Purpose
    – This study note is intended solely for educational benefit, facilitating a deeper understanding of chest roentgenology.
    – No commercial activity is involved.
  3. Amount Used
    – Only the most relevant excerpts are cited or summarized.
    – Long verbatim passages are avoided unless essential to illustrate a critical point.
  4. Effect on Market
    – The notes do not supplant the textbook’s value; on the contrary, they encourage consultation of the original text for thorough comprehension.
    – Links and references to the book are provided as appropriate.

2. Proper Citation

All borrowed material is attributed to Felson's Principles of Chest Roentgenology: A Programmed Text by Lawrence R. Goodman. Specific citation details, such as publication year and publisher, are clearly provided. Below is the recommended APA reference:

Goodman, L. R. (2006). Felson's principles of chest roentgenology: A programmed text (3rd ed.). Saunders.

Whenever possible, additional references or links to the publisher’s official website are included to facilitate further reading.

3. Content Transformation

To ensure originality and to maintain an educational focus:

4. Legal and Ethical Considerations

In adhering to legal requirements:


Radiographic Projections: AP, PA, Lateral, and Oblique Chest X-ray Views (Chapter 1)

Chest radiography is a cornerstone of diagnostic imaging, offering crucial insights into the thoracic cavity. Multiple projections—including Anterior-Posterior (AP), Posterior-Anterior (PA), Lateral, and Oblique views—are employed to optimize diagnostic accuracy. Each projection possesses distinct geometric features that influence magnification, sharpness, and the apparent position of thoracic structures. This document presents an integrated, hierarchical discussion of these views, emphasizing technical considerations and clinical implications.


Comparison of AP and PA Chest X-rays

  1. Overview and Positioning

    • PA View: The patient faces the detector, with the X-ray source positioned behind. This positioning is often the standard in outpatient and routine inpatient settings, assuming the patient can stand or sit upright.
    • AP View: The patient’s back is against the detector, with the X-ray source in front. This view is commonly used for supine or bedridden patients, such as those in intensive care units.
  2. Image Sharpness and Magnification

    Two key principles in radiographic geometry—object-detector distance and object-source distance—govern image sharpness and magnification:

    • Sharpness

      • Structures are sharper when closer to the detector.
      • In the PA view, the heart and lungs lie nearer to the detector, minimizing geometric unsharpness.
      • In the AP view, the heart is farther from the detector, resulting in slightly reduced edge definition.
    • Magnification

      • Magnification increases when structures are closer to the X-ray source.
      • The AP view tends to enlarge the cardiac silhouette because the heart is closer to the source.
      • The PA view keeps the heart and mediastinum nearer to the detector, reducing magnification and yielding a more anatomically accurate representation.
  3. Diaphragm Position

    The right hemidiaphragm is typically higher than the left due to the underlying liver. This positional difference remains consistent in both AP and PA views, although respiratory phase and body habitus can subtly influence diaphragm contour.

  4. Perceived Cardiac Size

    • AP View: The heart appears larger because of the shorter distance between the heart and the X-ray source.
    • PA View: The heart silhouette is less magnified, facilitating more reliable assessment of cardiomegaly and mediastinal contours.
Feature PA View AP View
Patient Position Facing detector Back against detector
Image Sharpness Higher (structures closer to detector) Lower (heart farther from detector)
Magnification Minimal (heart closer to detector) Greater (heart closer to X-ray source)
Diaphragm Position Right hemidiaphragm higher than left Right hemidiaphragm higher than left
Cardiac Silhouette Smaller, more anatomically accurate Apparent enlargement of the heart
Common Usage Routine upright imaging, ambulatory patients Bedridden patients, ICU settings, portable X-rays

The Left Lateral View

  1. Purpose and Positioning

    The Left Lateral view is frequently performed alongside the PA projection to provide additional information on the anterior-posterior dimension of thoracic structures.

    • The patient’s left side is placed against the detector (cassette).
    • The X-ray source is positioned to the right of the patient.
  2. Effect on Nodule Appearance

    • A nodule located on the right side of the thorax appears slightly larger in the Left Lateral view because it is farther from the detector and nearer to the X-ray source.
    • Conversely, left-sided nodules are closer to the detector and thus experience less magnification, appearing closer to true size.
  3. Diagnostic Value

    • Provides depth localization of lesions suspected on the PA view.
    • Helps distinguish lesions in the anterior, middle, or posterior compartments of the thorax.

Combining PA and Oblique Views

  1. Rationale for Additional Views

    When a lesion is detected on a PA radiograph but overlaps with other structures, anterior oblique projections (e.g., Right Anterior Oblique [RAO] or Left Anterior Oblique [LAO]) can help determine whether the lesion lies in the anterior or posterior thoracic region.

  2. Identifying Anterior vs. Posterior Lesions

    Anterior Lesions (e.g., breast tissue, pectoralis muscle) tend to move laterally on an anterior oblique view relative to the thoracic cage. Posterior Lesions (e.g., scapular lesions, paravertebral masses) tend to move medially on an anterior oblique view.

    Lesion Location Direction of Movement in Anterior Oblique View Clinical Examples
    Anterior Moves laterally Breast, pectoralis muscle
    Posterior Moves medially Scapula, spine, paravertebral lesions
  3. Clinical Application

    This shift on oblique views enables a more precise localization of lesions. Soft tissue shadows from breasts, pectoralis muscles, or scapulae can thus be distinguished from true pathological findings.


Effect of Expiration on Chest X-rays

  1. Lung Appearance

    • Expiration reduces lung volume, increasing lung density on the radiograph.
    • The diaphragm appears elevated, potentially obscuring or compressing portions of the lung fields.
    • This can simulate pathology (e.g., consolidation or effusion) if the phase of respiration is not considered.
  2. Cardiac Silhouette

    • The heart may appear larger in expiration due to the elevated diaphragm and reduced thoracic volume.
    • This effect can mimic or exaggerate cardiomegaly, underscoring the importance of using full inspiration when feasible.
  3. Best Practice

    Performing chest X-rays during deep inspiration generally produces optimal lung expansion, a more accurate cardiac silhouette, and improved visualization of the pulmonary vasculature.

Written on January 7, 2025


Cross-Sectional Imaging Techniques for the Thorax (Chapter 2)

Cross-sectional imaging has revolutionized thoracic diagnostics by providing detailed visualization of the lungs, mediastinum, vascular structures, and surrounding tissues. Common modalities include Computed Tomography (CT), Magnetic Resonance Imaging (MRI), and Ultrasound (US). Each modality has specific strengths, limitations, and optimal clinical applications. This document presents an integrated discussion of imaging planes, image interpretation, characteristic features of different modalities, and considerations for selecting the best imaging technique.

Parameter CT MRI T1-Weighted MRI T2-Weighted Ultrasound
Key Indications
  • Pulmonary nodules, masses, infections
  • Trauma evaluation (chest wall, lung)
  • Pulmonary embolism (CTPA)
  • Anatomical detail (chest wall, mediastinal fat)
  • Post-contrast imaging (gadolinium)
  • Fluid collections (effusions, cysts)
  • Inflammatory or edematous changes
  • Assessing pleural effusions, empyemas
  • Guidance for fluid drainage
Advantages
  • Fast acquisition, high spatial resolution
  • 3D reconstructions
  • Excellent for demonstrating fat and soft tissue interfaces
  • Better anatomical contrast than CT for certain tissues
  • Highly sensitive to fluid, edema, and inflammation
  • Cine imaging for dynamic motion (cardiac)
  • No radiation
  • Portable and real-time
Limitations
  • Ionizing radiation
  • Iodinated contrast risks
  • Longer scan times
  • Costly and less available than CT
  • Susceptible to motion artifacts
  • Not all patients tolerate MRI environment
  • Limited penetration through air or bone
  • Operator-dependent
Contraindications / Cautions
  • Pregnancy (relative; avoid if possible)
  • Severe renal insufficiency (contrast studies)
  • Metallic implants, pacemakers
  • Claustrophobia
  • Same as T1 (MRI environment restrictions)
  • Gadolinium caution in renal failure
  • Bone or air-filled areas limit utility
  • Obesity can reduce image quality

Imaging Planes: Axial, Sagittal, Coronal, and Oblique

  1. Axial (Transverse) Plane

    Oriented horizontally, dividing the body into superior (upper) and inferior (lower) parts.

    Chest CT images are conventionally viewed as if looking up from the patient’s feet (i.e., from below). The patient’s right side appears on the left side of the image.

  2. Sagittal Plane

    Divides the body into right and left portions.

    Useful for assessing anterior-to-posterior relationships within the thorax, such as the position of mediastinal masses relative to the sternum or vertebral column.

  3. Coronal Plane

    Splits the body into anterior (front) and posterior (back) segments.

    Aids in evaluating the lungs and mediastinal structures in a frontal perspective.

  4. Oblique Plane

    Any plane that deviates from the standard axial, sagittal, or coronal orientations.

    Employed to better delineate lesions or structures that follow complex trajectories (e.g., vascular or bronchial abnormalities).


Computed Tomography (CT) of the Chest

  1. Basic Principles

    CT imaging uses X-rays and computer processing to generate cross-sectional slices. Structures can be evaluated based on their Hounsfield Unit (HU) measurements, which quantify tissue density.

    Hounsfield Scale (Approximate Ranges)

    Tissue / Structure HU Value Comments
    Air (e.g., pneumothorax) ~ –1000 Most radiolucent
    Lung Parenchyma ~ –800 Varies with inflation and pathology
    Fat ~ –80 to –120 Subcutaneous or mediastinal fat
    Water 0 Reference point
    Muscle ~ +40 Soft tissue density
    Bone ~ +350 (can range +300 to +1000) Highly radiodense
    • Higher HU values indicate denser (more radiopaque) tissues (e.g., bone).
    • Lower (negative) HU values represent radiolucent (less dense) tissues or air (e.g., lung, pneumothorax).

    Window Settings in Chest CT

    • Lung Window: Optimized to visualize parenchymal detail (e.g., nodules, consolidation, interstitial patterns).
    • Mediastinal Window: Highlights mediastinal structures (e.g., heart, vessels, lymph nodes).
    • Bone Window: Enhances bony detail for detecting rib fractures or focal lesions in vertebrae.
  2. Advantages of CT

    • Rapid imaging with high spatial resolution, ideal for evaluating lung parenchyma, pleural abnormalities, and acute chest conditions.
    • Widely available and relatively straightforward to perform in most clinical settings.
    • Enables three-dimensional reconstructions for surgical planning or further analysis.
  3. Disadvantages of CT

    • Ionizing Radiation exposure.
    • Frequent use of iodinated contrast agents, which may pose risks for nephrotoxicity or allergic reactions in susceptible individuals.
  4. Common Indications and Contraindications for Chest CT

    Indications Contraindications / Cautions
    • Detection and characterization of pulmonary nodules, masses, or infections
    • Evaluation of pulmonary embolism (CT pulmonary angiogram)
    • Assessment of traumatic injuries to the chest wall, lungs, or mediastinum
    • Preoperative mapping for thoracic surgery
    • Severe contrast allergy or renal insufficiency (when contrast is indicated)
    • Concerns about radiation dose in pregnant patients or pediatric populations
    • Need to avoid iodinated contrast in hyperthyroidism or specific drug interactions

Magnetic Resonance Imaging (MRI) of the Chest

  1. Basic Principles

    MRI relies on the interaction of hydrogen nuclei with strong magnetic fields and radiofrequency pulses. Different pulse sequences emphasize various tissue properties such as fat, fluid, and blood flow. Unlike CT, MRI does not use Hounsfield Units; instead, tissue characterization is based on signal intensities, primarily determined by T1 and T2 relaxation times.

  2. T1-Weighted vs. T2-Weighted Imaging

    Sequence Key Characteristics Common Applications
    T1-Weighted
    • Fat appears bright (high signal)
    • Water/Fluid appears darker
    • Good anatomical detail
    • Evaluating normal anatomical structures
    • Assessing fat-containing lesions
    • Post-contrast imaging (e.g., gadolinium enhancement)
    T2-Weighted
    • Fluids (e.g., edema, cystic lesions) appear bright
    • Fat may appear relatively darker
    • Highlights fluid and inflammation
    • Identifying fluid collections, edema, inflammatory changes
    • Characterizing cystic lesions or pleural effusions
  3. Contrast Agents and Safety Considerations

    • Gadolinium-Based Contrast Materials: Used to enhance vascularity and tissue perfusion in MRI.
    • Advantages of MRI include the absence of ionizing radiation and avoidance of iodinated contrast, reducing certain risks associated with CT. However, gadolinium agents can be contraindicated in patients with severe renal dysfunction due to the risk of nephrogenic systemic fibrosis.
  4. Indications and Contraindications for Chest MRI

    Indications Contraindications / Cautions
    • Cardiac imaging: functional assessment of the heart in systole and diastole
    • Vascular and mediastinal tumors: delineation of vascular invasion and soft tissue detail
    • Assessment of complex chest wall or spinal involvement (e.g., Pancoast tumors)
    • Further characterization of indeterminate soft tissue lesions
    • Presence of certain metallic implants, pacemakers, or devices incompatible with strong magnetic fields
    • Claustrophobia or inability to remain still (though sedation or open MRI scanners may mitigate these issues)
    • Renal insufficiency when using gadolinium-based agents

Ultrasound (US) of the Chest

  1. Role of Ultrasound

    Ultrasound is less commonly employed for routine lung imaging because air-filled lung parenchyma impedes sound wave transmission. However, it is highly valuable for pleural assessments and other specific thoracic applications.

  2. Evaluating Pleural Effusions and Empyema

    • Ultrasound can differentiate transudates vs. exudates by comparing echogenicity relative to the liver or spleen.
    • Transudates often appear anechoic or hypoechoic (similar or slightly darker than liver).
    • Exudates or empyemas may show internal echoes, septations, or debris, indicating higher protein or cellular content.
    • Real-time guidance for thoracentesis or drainage makes ultrasound indispensable in managing pleural fluid collections.
  3. Advantages and Limitations

    • Advantages: No radiation, real-time imaging, portability (e.g., bedside use), excellent for fluid assessment and guided interventions.
    • Limitations: Air in the lungs and bony structures limit visualization of deeper thoracic structures.

Best Imaging Modality for Specific Clinical Scenarios

  1. Pleural Effusion

    Ultrasound is highly sensitive for detecting and characterizing pleural fluid, guiding thoracentesis, and differentiating between transudates and exudates.

  2. Tumor Invading the Mediastinum

    MRI is often preferred for superior soft tissue delineation and assessment of tumor invasion into mediastinal structures, major vessels, or the spine.

  3. Assessment of Heart in Systole and Diastole

    MRI offers detailed cine sequences to visualize cardiac function dynamically.

    CT can provide gated images of the heart but typically relies on rapid data acquisition rather than continuous real-time evaluation.

Written on January 7, 2025


Chatper 3: The Normal Chest X-ray: Reading Like the Pros

Normal chest X-ray anatomy diagram
Diagram illustrating normal chest X-ray anatomy with labeled structures.
Real chest radiograph with labels
Real chest radiograph corresponding to the anatomical diagram with labels.
Additional chest X-ray radiograph with labels
Additional chest X-ray radiograph showcasing labeled anatomical features.
Another chest X-ray radiograph with labels
Another chest X-ray radiograph highlighting labeled features.

Differentiating Alveolar and Interstitial Changes

Understanding the distinction between alveolar (often referred to as radiolucent under normal conditions but appearing radiodense when filled with fluid or exudate) and interstitial (commonly described as radiodense when thickened) lung changes is essential in interpreting chest imaging findings and guiding clinical management. Alveolar and interstitial patterns manifest differently on radiographs or computed tomography (CT) scans and are associated with distinct pathological processes, most notably alveolar pneumonia vs. interstitial pneumonia or alveolar consolidation vs. interstitial thickening.

Feature Alveolar (Airspace) Pattern Interstitial Pattern
Appearance on X-ray/CT Fluffy, confluent opacities; air bronchograms Linear, reticular, or reticulonodular markings
Primary Location Alveolar spaces filled with exudate/fluid Alveolar walls, septa, connective tissue
Radiodensity Radiodense when alveolar spaces are filled Radiodense lines or nets within lung interstitium
Clinical Examples Lobar pneumonia, pulmonary edema, hemorrhage Interstitial pneumonia, pulmonary fibrosis, edema
Onset Often acute Often subacute or chronic
Typical Symptoms Productive cough, acute fever, localized signs Progressive dyspnea, dry cough, diffuse findings

I. Alveolar Region and Alveolar (Airspace) Changes

  1. Normal Appearance of Alveoli
    • The alveoli are typically air-filled, creating a radiolucent appearance on standard chest radiographs.
    • Under normal conditions, the alveolar walls and spaces are not individually visible because of their thin structure and the dominance of air.
  2. Alveolar (Airspace) Opacification
    • When alveoli become filled with fluid, pus, blood, or cells (e.g., in pneumonia, hemorrhage, or edema), they appear more radiodense (opaque) on imaging.
    • Alveolar opacification often presents as fluffy, confluent, or homogeneous densities that may obscure normal anatomic landmarks, such as vascular markings or airway outlines.
  3. Alveolar Pneumonia (Consolidation)
    • Pathophysiology: Characterized by an infectious or inflammatory process within the alveolar spaces. Exudate accumulates in the alveoli, reducing air content and increasing radiodensity on imaging.
    • Radiological Features:
      • Homogeneous or segmental consolidations.
      • Air bronchograms (air-filled bronchi made visible by surrounding alveolar opacification).
    • Clinical Correlation: Often presents with acute symptoms (fever, productive cough, and localized auscultatory findings).
  4. Alveolar Consolidation
    • Definition: Consolidation refers to the filling of alveolar spaces with fluid or cells, leading to increased density.
    • Imaging Appearance:
      • Lobar or segmental distribution of opacities.
      • Tendency to have clearly demarcated borders correlating with anatomical lung segments.

II. Interstitial Region and Interstitial (Supporting Framework) Changes

  1. Normal Interstitium
    • The interstitium consists of alveolar septa, connective tissue, and the supporting framework of the lung.
    • Under normal conditions, it contributes subtle linear markings without forming dense, reticular, or nodular patterns on standard chest radiographs.
  2. Interstitial Thickening (Radiodense)
    • Thickening or infiltration of the interstitial tissues (by fluid, fibrosis, or inflammatory cells) increases radiodensity in a linear, reticular, or reticulonodular pattern.
    • Unlike alveolar consolidation, the airspace is generally preserved, so air bronchograms are less common.
  3. Interstitial Pneumonia
    • Pathophysiology: Involves inflammation primarily within the interstitial and alveolar wall regions rather than the alveolar spaces.
    • Radiological Features:
      • Reticular or reticulonodular markings.
      • Ground-glass opacities on CT scans.
      • More diffuse involvement, often bilateral, reflecting widespread interstitial inflammation.
    • Clinical Correlation: Symptoms may be more chronic or subacute (e.g., progressive dyspnea, a dry cough, and diffuse auscultatory findings).
  4. Interstitial Thickening
    • Definition: Thickening of alveolar septa or interstitial tissues by edema, fibrotic changes, or infiltration.
    • Imaging Appearance:
      • Linear septal lines (Kerley B lines).
      • Ground-glass changes on high-resolution CT.
      • “Honeycombing” in fibrotic conditions.

III. Clinical and Diagnostic Implications

  1. Alveolar Pneumonia vs. Interstitial Pneumonia
    • Alveolar pneumonia: Typically caused by bacteria (e.g., Streptococcus pneumoniae) presenting with lobar consolidation and acute symptoms.
    • Interstitial pneumonia: More commonly associated with viruses, atypical bacteria, or chronic processes (e.g., Mycoplasma, fungi, or idiopathic pulmonary fibrosis), presenting with a more gradual onset.
  2. Alveolar Consolidation vs. Interstitial Thickening
    • Alveolar consolidation: Rapidly developing opacities that can obscure vascular markings, often associated with exudative processes.
    • Interstitial thickening: Progressive radiodensities in linear or reticular patterns suggesting fibrosis or infiltrative disease.
  3. Treatment Considerations
    • Alveolar (Consolidation) Processes: Require treatments targeting the cause (e.g., antibiotics for bacterial pneumonia, diuretics for edema).
    • Interstitial Processes: Often managed with anti-inflammatory agents (corticosteroids), immunosuppressants, or supportive measures, depending on the underlying etiology.
  4. Prognostic Differences
    • Alveolar disorders can often resolve completely if treated appropriately.
    • Interstitial disorders (particularly fibrotic changes) may result in permanent structural lung alterations if not addressed early.
Image 1 Image 2 Image 3 Image 4 Image 5 Image 6 Image 7

Written on January 7, 2025


Chatper 4: Chest CT

CT Image 2A
CT Image 3
CT Image 8A
CT Image 10B
CT Image 11A
CT Image 11B

Major Oblique and Minor Horizontal Fissures (Chapter 5: p73~75)

The human lungs are divided into distinct lobes by anatomical grooves known as fissures. These fissures, namely the major oblique fissure and the minor horizontal fissure, serve as critical landmarks that separate the lobes of the lungs. Their orientation, separation roles, and visibility from various anatomical views are essential for a thorough understanding of pulmonary anatomy and its clinical implications.

Fissure Location Separates Visibility
Major Oblique Fissure Both Left and Right Lungs
  • Left Lung: Upper and Lower Lobes
  • Right Lung: Upper (and Middle) Lobe from Lower Lobe
Lateral View
Minor Horizontal Fissure Primarily Right Lung Right Upper Lobe and Right Middle Lobe Can be visible in both the frontal and lateral views, though it often appears only in lateral view if the fissure is not perfectly horizontal or is anatomically incomplete.

Major Oblique Fissure

  1. Orientation and Separation Role

    The major oblique fissure is a prominent structure present in both the left and right lungs.

    • In the left lung, this fissure separates the upper lobe from the lower lobe.
    • In the right lung, the major oblique fissure divides the lung into the upper lobe (which includes the middle lobe anteriorly) and the lower lobe, effectively separating the superior and middle portions from the inferior portion.
  2. Visibility

    Due to its diagonal orientation, the major oblique fissure is not typically visible from a frontal view.

    It becomes most apparent on a lateral view, where the oblique trajectory through the lung can be observed as a line extending from the apex towards the posterior-inferior border.

Minor Horizontal Fissure

  1. Orientation and Separation Role

    The minor horizontal fissure is primarily associated with the right lung and separates the right middle lobe from the right upper lobe.

    • Typically, this fissure runs along or near the level of the fourth rib, extending from the lateral aspect of the lung toward the right major oblique fissure.
    • In an erect patient, the minor fissure is usually horizontal and parallel to the floor, which often allows for its visualization on imaging.
    • Note: Although textbooks commonly refer to the minor fissure in the right lung only, a small percentage of people have a left minor fissure between the lingula and the rest of the upper lobe. Watch for it!
  2. Visibility

    In an erect patient, the minor horizontal fissure is often visible in both frontal and lateral views. However, in many patients, the fissure is not perfectly horizontal; its anterior portion or the entire fissure may slope downward or appear bowed, making it visible only on the lateral projection.

    In other individuals, the fissure may be anatomically incomplete and therefore not visible in one or both views. These variations in orientation and completeness account for the frequent inconsistencies in recognizing the minor fissure on standard radiographic images.

X-ray beam parallel and perpendicular to fissures
(A) X-ray beam is parallel to the fissure or septum. The fissure will be visible on the radiograph. (B) X-ray beam is perpendicular to the visceral pleural surfaces. The fissure will not be visible on the radiograph.
Major oblique vertical fissure in the left lung
In the left lung, the upper lobe (U) is separated from the lower lobe (L) by the major oblique vertical fissure. The major fissure is parallel to the X-ray beam only in the lateral projection.
Main diagram image
Main diagram image illustrating key anatomical features.
Accessory fissures - Azygos
Three accessory fissures: Azygos, inferior accessory, and superior accessory fissures (Image A).
Accessory fissures - Additional details
Three accessory fissures: Azygos, inferior accessory, and superior accessory fissures (Image B).

Written on January 7, 2025


Radiographic Differentiation of Interstitial and Alveolar Lung Diseases (Chapter 9) (Written January 8, 2025)

Lung parenchyma is broadly divided into two key components: the interstitium (supporting structures such as arteries, veins, and bronchi) and the alveoli (air sacs). On a normal chest radiograph (CXR), these structures manifest distinct appearances that help differentiate various pulmonary pathologies—primarily interstitial lung disease versus alveolar (airspace) filling disease.


Normal Lung Anatomy and Radiographic Appearance

Interstitium

Alveoli

Normal Radiographic Signs



Feature Interstitial Disease Alveolar (Airspace) Filling Disease
Visibility of Pulmonary Vessels Prominent, often more numerous or distorted Diminished or obscured within the consolidated areas
Lung Aeration Maintained (alveoli remain air-filled) Reduced or absent in involved regions (alveoli filled with fluid)
Air Bronchogram Rarely visible Often present (unless bronchi are also filled with fluid)
Silhouette Sign Not typical, as aerated lung usually surrounds vessels and mediastinal borders Common, especially if consolidation abuts the heart, diaphragm, or aortic arch
Disease Pattern Reticular, nodular, or reticulonodular; in chronic cases, shows distortion or honeycombing Homogeneous or patchy consolidation, may exhibit air bronchograms and silhouette sign
  1. Interstitial Lung Disease

    Thickening or alteration of the supporting structures (bronchi, vessels, connective tissue) while alveoli typically remain aerated. Lungs appear aerated, yet pulmonary markings are increased in number, prominence, or distortion.

    1. Acute vs. Chronic Interstitial Disease

      • Acute Interstitial Changes:
        • Markings appear hazy or ill-defined.
        • No significant angular or irregular distortions of vessels.
      • Chronic Interstitial Changes:
        • Markings are sharp, well-defined, and distorted (e.g., angular, bowed, or irregular).
        • May exhibit characteristic findings such as honeycombing or other fibrotic patterns.
    2. Types of Interstitial Patterns

      1. Reticular (Linear) Pattern
        • Appears as a network of fine lines.
        • May progress to coarse reticulation or honeycombing in chronic stages.
      2. Nodular Pattern
        • Manifests as discrete nodular densities scattered throughout the lungs.
        • Can be focal, multifocal, or diffuse.
      3. Reticulonodular Pattern
        • Combination of both linear and nodular changes.
    3. Silhouette and Air Bronchogram in Interstitial Disease

      • Silhouette Sign: Typically absent because aerated alveoli remain interposed between pulmonary vessels and adjacent structures (e.g., diaphragm, heart, aorta).
      • Air Bronchogram: Rarely seen, since the bronchi are still surrounded by aerated lung tissue.
  2. Alveolar (Airspace) Filling Disease

    Filling of alveoli by fluid, exudate, or other material, replacing the normal air content. Portions of the lung appear opaque, obscuring the underlying vascular markings in those areas.

    1. Radiographic Characteristics

      1. Reduced Visibility of Vessels in the consolidated regions.
      2. Homogeneous or Patchy Opacification indicating alveolar filling.
      3. Air Bronchogram Sign
        • Often present because bronchi remain air-filled while the surrounding alveoli are opacified with fluid/disease.
        • Absent if the bronchi themselves are also filled with fluid.
      4. Silhouette Sign
        • Present when consolidated (water-density) alveoli are in direct contact with adjacent water-density structures (e.g., heart border, diaphragm, aorta).
        • Absent if the consolidation does not physically contact a structure of similar density.
    2. Multifocal Alveolar Disease

      Small, multiple areas of alveolar consolidation may not consistently demonstrate air bronchograms (especially if bronchi are filled or if the area of consolidation is too small). The silhouette sign appears only when consolidation abuts a known anatomical border.


Key Radiographic Signs

  1. Silhouette Sign
    • Loss of the normal interface between the lung and adjacent structures when both become the same radiographic density.
    • Typical of alveolar consolidation abutting the heart border, diaphragm, or aortic knob.
    • Rare in interstitial disease because some aerated lung typically remains at the interface.
  2. Air Bronchogram
    • Visualization of air-filled bronchi within an opaque (consolidated) lung field.
    • Characteristic of alveolar filling disease when bronchi remain patent.
    • Uncommon in interstitial disease because surrounding alveolar spaces are still air-filled.
  3. Hyperinflation
    • Diaphragms appear flattened and depressed to or below the 10th posterior rib.
    • Often noted in emphysema, sometimes accompanied by visible bullae (lucent areas devoid of normal lung markings).

Additional Considerations

Written on January 8, 2025






Reference

Goodman, L. R. (2006). Felson's principles of chest roentgenology: A programmed text (3rd ed.). Saunders.

Back to Top